Поверхностный кариес — начальная стадия разрушения зубной эмали, которая может привести к серьезным стоматологическим проблемам, если не будет вовремя выявлена и устранена. В статье рассмотрим основные причины возникновения поверхностного кариеса, его симптомы и методы лечения. Знание этих аспектов поможет читателям распознать проблему на ранних этапах и предпринять меры для сохранения здоровья зубов, что способствует улучшению состояния полости рта и предотвращению более серьезных заболеваний.
Причины возникновения поверхностного кариеса
Почему меловое пятно может привести к кариесу? Процесс разрушения зубной эмали начинается с деминерализации. На первом этапе эмаль выглядит целой, но кариес уже развивается. Если на этой стадии провести лечение, можно остановить проблему.
Основной причиной эрозии, особенно у детей, является активность бактерий. Это часто связано с недостаточной гигиеной полости рта, но есть и другие факторы:
- недостаток фтора;
- наследственность;
- ослабленный иммунитет;
- несбалансированное питание;
- изменение состава слюны.
Зубной налет накапливается на зубах, включая зубы мудрости, образуя бляшку, которая покрывает дентин. В результате брожения остатков пищи образуются органические кислоты, что изменяет pH во рту и ускоряет разрушение эмали. Развитие кариозной полости также ускоряют ортодонтические конструкции, протезы, соматические заболевания, аномалии прикуса и гипосаливация.
Врачи отмечают, что поверхностный кариес — одна из самых распространенных стоматологических проблем. Основные причины его появления — недостаточная гигиена, неправильное питание и генетическая предрасположенность. Симптомы включают чувствительность зубов к горячему и холодному, а также небольшие пятна на эмали. На этой стадии кариес еще можно обратить. Специалисты рекомендуют регулярно проходить профилактические осмотры и профессиональную чистку зубов. Лечение поверхностного кариеса обычно включает удаление пораженной ткани и пломбирование. Своевременное обращение к стоматологу помогает избежать серьезных осложнений и сохранить здоровье зубов.
Поверхностный кариес является распространенной стоматологической проблемой, и его причины часто связаны с недостаточной гигиеной полости рта, неправильным питанием и высоким потреблением сахара. Эксперты отмечают, что начальные симптомы могут включать легкую чувствительность к холодному или сладкому, а также появление белых пятен на эмали. Важно не игнорировать эти признаки, так как на ранних стадиях кариес можно эффективно лечить.
Стоматологи рекомендуют регулярные профилактические осмотры и профессиональную чистку зубов, что позволяет выявить проблему на раннем этапе. Лечение поверхностного кариеса обычно включает реминерализацию эмали с использованием фторсодержащих препаратов или композитных материалов для восстановления поврежденной области. Важно помнить, что своевременное обращение к специалисту может предотвратить развитие более серьезных форм кариеса и сохранить здоровье зубов.
https://youtube.com/watch?v=NwTFODqHdgA
Симптомы
При поверхностном кариесе нет такой яркой симптоматики, как при глубоком повреждении дентина. Из-за скудности признаков человек редко вовремя обращает внимание на проблему. В ряде случаев выявить ее способен только стоматолог, особенно если разрушение затронуло апроксимальную поверхность.
К симптомам, которые помогут определить проблему, относят:
- Боль кратковременного характера.
- Небольшие дефекты на эмали.
- Дискомфорт при чистке зубной щеткой.
- Шероховатость зубов.
Сам вид пораженного дентина будет неровный, меловидный. Нередко предшествуют кариесу появление белых пятен, так как эмаль теряет свой блеск и начинает разрушаться. Болевые ощущения чаще наблюдаются при локализации процесса у шейки зуба. Если появляется эрозия на выпуклом участке, то длительное время дискомфорта не ощущается из-за нарастания дентина, призванного защищать пульпу.
Характерным признаком может стать застревание пищи в месте дефекта. Если он расположен близко к десне, то постепенно она воспалится, будет кровоточить при контакте, появится отек.
| Причина | Симптом | Лечение |
|---|---|---|
| Недостаточная гигиена полости рта (нерегулярная чистка зубов, неправильная техника чистки) | Изменение цвета эмали (появление белых или коричневых пятен), шероховатость поверхности зуба, незначительная чувствительность к температурным раздражителям | Профессиональная чистка зубов, реминерализирующая терапия (фторирование, аппликации препаратов с кальцием и фосфором), изменение гигиенических привычек |
| Кислотная атака (частое употребление сладких и кислых продуктов и напитков) | Появление меловидных пятен на эмали, небольшая пигментация, незначительная чувствительность к сладкому и кислому | Диета с ограничением сладкого и кислого, реминерализирующая терапия, использование фторсодержащих ополаскивателей |
| Нарушение минерализации эмали во время формирования зуба | Белые пятна на эмали, повышенная чувствительность к температурным раздражителям | Реминерализирующая терапия, в некоторых случаях – эстетическая реставрация (микропротезирование) |
| Недостаток фтора | Повышенная чувствительность зубов, появление пятен на эмали | Прием фторсодержащих препаратов, использование фторсодержащих зубных паст и ополаскивателей |
| Генетическая предрасположенность к кариесу | Появление кариозных пятен в раннем возрасте | Регулярная профессиональная гигиена полости рта, реминерализирующая терапия, тщательная гигиена полости рта |
Интересные факты
Вот несколько интересных фактов о поверхностном кариесе, его причинах, симптомах и лечении:
-
Причины развития: Поверхностный кариес чаще всего возникает из-за сочетания бактерий, содержащихся в зубном налете, и сахаров, которые мы потребляем. Бактерии метаболизируют сахар, производя кислоты, которые разрушают эмаль зуба. Интересно, что даже небольшие изменения в диете, такие как частое употребление сладких напитков, могут значительно увеличить риск развития кариеса.
-
Симптомы на ранних стадиях: На начальных этапах поверхностного кариеса симптомы могут быть минимальными или вовсе отсутствовать. Однако, если внимательно следить за состоянием зубов, можно заметить изменения в цвете эмали — она может стать более матовой или приобрести светло-коричневый оттенок. Это может быть первым признаком начала кариозного процесса.
-
Методы лечения: Лечение поверхностного кариеса может быть неинвазивным. На ранних стадиях возможно применение реминерализующих препаратов, содержащих фтор или кальций, которые помогают восстановить эмаль. В некоторых случаях стоматологи могут рекомендовать специальные лаки или гели, которые укрепляют зубы и предотвращают дальнейшее развитие кариеса, что делает лечение менее болезненным и более щадящим по сравнению с традиционным сверлением.
https://youtube.com/watch?v=q8nBQk_HUj8
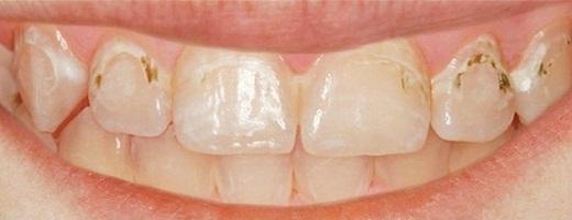
Фото
Поверхностный кариес — распространенная проблема. Основные факторы его возникновения: недостаточная гигиена полости рта, частое употребление сладостей и нехватка фтора. На ранних стадиях симптомы могут быть незаметными, но некоторые пациенты отмечают легкий дискомфорт или повышенную чувствительность к горячей или холодной пище.
Лечение поверхностного кариеса включает удаление поврежденной ткани и установку пломбы. Стоматологи подчеркивают важность регулярных осмотров для раннего выявления кариеса. Пациенты также отмечают эффективность реминерализующих паст и ополаскивателей, которые укрепляют эмаль и предотвращают прогрессирование заболевания. Профилактика и своевременное обращение к стоматологу имеют решающее значение в борьбе с кариесом.
Виды
► Заболевание по Блэку бывает следующих видов:
- Фиссурный кариес затрагивает естественные полости и углубления.
- Апроксимальный – может распространяться на режущие и коренные зубы. Повреждения сосредотачиваются часто на кромке.
- Пришеечный вид располагается у основания коронки. Для этого подтипа характерно то, что патологический процесс поражает сразу несколько зубов.
► Классификация по повторности возникновения:
- первичный – участок не подвергался лечению, никаких патологических процессов ранее здесь отмечено не было;
- вторичный – рецидив в области пломбы или под ней.
► Подразделить кариес можно и по остроте его симптомов:
- Компенсированный – прогресс очень медленный, зуб практически не беспокоит и другие симптомы могут отсутствовать. Для этого вида болезни характерна вероятность полной остановки развития кариозной полости. В таких случаях предотвратить ее формирование возможно обычными методами гигиены.
- Субкомпенсированный – хотя течение нельзя назвать вялым, но все равно первые признаки, особенно выражающиеся в боли и дискомфорте, человек ощущает поздно.
- Декомпенсированный – разрушение дентина происходит стремительно, поэтому начальная стадия быстро перетекает в глубокий кариес.
По интенсивности заболевания выделяют множественный и единичный процессы.
Поверхностный кариес – лечение
Поверхностное разрушение дентина — первая стадия кариеса, которую можно лечить без сверления. Стоматолог удаляет поврежденный слой с помощью мягкого шлифования. На очищенную поверхность зуба наносят гель или аппликацию (стерильный бинт с раствором) с использованием следующих средств:
- лак с фтором;
- глюконат кальция;
- ремодент;
- фторид натрия.
Перед лечением проводится диагностика для различения кариеса и других заболеваний эмали. Для определения локализации повреждений и необходимости сверления зуба выполняются осмотр и рентгенография.
Чаще всего восстановление эмали происходит после реминерализации, но стоматолог может предложить методику Icon. В этом случае защитный слой в области дефекта истончается и становится пористым, что требует применения уплотнителя. Процесс восстановления коронки включает:
- Протравка – обработка зубной ткани щадящим составом, что позволяет избежать сверления и шлифовки.
- Высушивание поверхности спиртовым раствором.
- Нанесение инфильтрата на пораженную область – после его проникновения в поры эмали происходит полимеризация под воздействием света.
Стоматолог наблюдает за состоянием зуба, и если эрозия углубляется, выполняется полноценное пломбирование.
Профилактика
При своевременном лечении и обращении внимания в дальнейшем на качественную гигиену рта высок благоприятный исход. Истончение дентина прекращается, если дополнить регулярную чистку зубов ополаскиваниями ротовой полости после приема пищи, использованием флоссов и периодическим осмотром у стоматолога.
- лучше отказаться от еды с сильными раздражителями (кислое, чрезмерно соленое, чипсы). Сократить стоит количество всяческих перекусов углеводами;
- если на эмали возникли матовые участки, нужно обращаться к стоматологу для лечения и минерализации;
- после перекуса сладким и мучным в течение 10 минут следует почистить зубы;
- регулярное снятие зубного камня и профессиональная очистка от налета;
- чередование паст с лечебным эффектом и очищающим действием;
- прием витаминных препаратов;
- обработка зубов кальцием и фтором – в этом случае можно откорректировать рацион для получения достаточного количества минералов. Ежедневно выпивать стоит 1-2 стакана фторированной воды.
Профилактика позволит избежать разрушения зуба и избавит от необходимости их лечения. Своевременные меры уберегут от неприятных последствий вроде пульпита и протезирования.
Видео: лечение поверхностного кариес под микроскопом.
https://youtube.com/watch?v=rPb__LYCb9s
Дополнительные вопросы
► Код по МКБ-10
По международной классификации болезней данное заболевание имеет код K02.
► Нужно ли лечение?
Поверхностный кариес следует лечить немедленно, иначе он прогрессирует. Это приведет к более затратному лечению и может вызвать стоматологические проблемы и инфицирование здоровых зубов.
Последствия untreated поверхностного кариеса
Поверхностный кариес, если его не лечить, может привести к ряду серьезных последствий, которые негативно сказываются на здоровье зубов и общем состоянии полости рта. Первоначально, кариес затрагивает только эмаль зуба, но по мере его прогрессирования могут возникнуть более серьезные проблемы.
Одним из первых последствий untreated поверхностного кариеса является развитие более глубоких форм кариеса, таких как средний и глубокий кариес. Эти формы кариеса проникают в дентин, что может вызвать сильные боли и дискомфорт. В результате этого процесса зуб становится более уязвимым к инфекциям и воспалениям.
Кроме того, untreated поверхностный кариес может привести к образованию зубного абсцесса. Это состояние характеризуется накоплением гноя в области корня зуба, что вызывает сильную боль, отек и может потребовать хирургического вмешательства для удаления гноя и лечения инфекции.
Еще одним важным последствием является риск потери зуба. Если кариес не лечить, он может привести к разрушению зуба до такой степени, что его невозможно будет восстановить, и потребуется удаление. Это не только влияет на эстетику улыбки, но и может вызвать проблемы с жеванием и нарушением прикуса.
Кроме физических последствий, untreated поверхностный кариес может также оказывать влияние на общее состояние здоровья. Исследования показывают, что инфекции в полости рта могут быть связаны с различными системными заболеваниями, такими как диабет, сердечно-сосудистые заболевания и даже респираторные инфекции. Это подчеркивает важность своевременного лечения кариеса для поддержания не только здоровья зубов, но и общего состояния организма.
Таким образом, игнорирование поверхностного кариеса может привести к множеству серьезных последствий, которые требуют более сложного и дорогостоящего лечения. Регулярные визиты к стоматологу и соблюдение правил гигиены полости рта помогут предотвратить развитие кариеса и его осложнений.
Вопрос-ответ
Каковы симптомы поверхностного кариеса?
Боль от лёгкой до острой при употреблении сладкого, горячего или холодного. Видимые ямки или отверстия в зубах. Коричневые, чёрные или белые пятна на любой поверхности зуба. Боль при надкусывании.
Для поверхностного кариеса характерны симптомы?
Симптомы поверхностного кариеса могут включать: белые или коричневые пятна на поверхности зуба, особенно вокруг краев и бугорков зубов. Чувствительность зубов при употреблении сладкой, кислой или горячей пищи и напитков. Боль и дискомфорт при касании или жевании пищи.
Советы
СОВЕТ №1
Регулярно посещайте стоматолога для профилактических осмотров. Это поможет выявить поверхностный кариес на ранних стадиях, когда лечение будет менее инвазивным и более эффективным.
СОВЕТ №2
Обратите внимание на свою гигиену полости рта. Чистите зубы дважды в день и используйте зубную нить, чтобы удалить остатки пищи и налет, которые могут способствовать развитию кариеса.
СОВЕТ №3
Сбалансируйте свой рацион, включая в него продукты, богатые кальцием и фосфором, такие как молочные продукты, орехи и зеленые овощи. Это поможет укрепить зубную эмаль и снизить риск кариеса.
СОВЕТ №4
Используйте фторсодержащие зубные пасты и ополаскиватели. Фтор помогает укрепить зубную эмаль и делает зубы более устойчивыми к кариесу, особенно в условиях повышенного риска.
