Гингивит — воспаление десен, способное вызвать серьезные проблемы с зубами и полостью рта при отсутствии лечения. В статье рассмотрим основные симптомы гингивита у взрослых, его причины и эффективные методы лечения. Эти знания помогут своевременно распознать заболевание и предпринять меры для поддержания здоровья десен и зубов. Также предоставим фотографии для лучшего понимания внешнего вида гингивита и ключевых признаков.
Что такое гингивит?
Гингивит — это воспаление десен, которое может затрагивать как отдельные сосочки между зубами, так и обширные участки челюсти. Заболевание затрагивает только слизистую оболочку, костная структура остается неизменной, и зубы не становятся подвижными.
Симптомы гингивита зависят от тяжести заболевания и включают:
- Гиперемия десневого края.
- Кровоточивость.
- Отечность мягких тканей.
Гингивит может вызывать болевые ощущения, затрудняющие прием пищи. Это одно из легких проявлений патологии пародонта, которое при своевременном лечении легко корректируется без осложнений.
Гингивит у взрослых — распространенная проблема десен, проявляющаяся покраснением, отеком и кровоточивостью. Основные причины включают недостаточную гигиену полости рта, курение и некоторые системные заболевания, такие как диабет. Важно своевременно диагностировать и лечить гингивит, так как запущенное состояние может привести к пародонтиту. Лечение включает профессиональную чистку зубов, антисептики и, в некоторых случаях, антибиотики. Рекомендуются регулярные профилактические осмотры у стоматолога и соблюдение правил гигиены для предотвращения рецидивов. Визуальные изменения, такие как покраснение и отек десен, можно фиксировать на фотографиях для мониторинга состояния пациента.
Эксперты в области стоматологии подчеркивают, что гингивит является распространенным заболеванием десен, которое может проявляться в виде покраснения, отека и кровоточивости десен. Основными причинами его возникновения являются недостаточная гигиена полости рта, курение, а также системные заболевания, такие как диабет. Важно отметить, что игнорирование симптомов может привести к более серьезным проблемам, таким как пародонтит. Лечение гингивита обычно включает профессиональную чистку зубов, а также рекомендации по улучшению домашнего ухода за полостью рта. В некоторых случаях могут быть назначены антисептические растворы или гели. Регулярные визиты к стоматологу помогут предотвратить развитие заболевания и сохранить здоровье десен.
https://youtube.com/watch?v=_1tGor9xDls
Виды и классификация
Практикующие стоматологи придерживаются клинической классификации заболевания, в которой присутствует разделение гингивита по степени тяжести, форме болезни, локализации и прочим признакам.
► По степени тяжести гингивит классифицируют:
- легкая форма – проявляется слабой гиперемией сосочка, при этом человек не предъявляет жалоб, за исключением возникновения кровотечений в процессе чистки зубов;
- средняя – захватывает весь край свободной десны, при этом отмечается кровоточивость, легкая припухлость и покраснение;
- тяжелая – воспалительный процесс распространяется на альвеолярную часть слизистой, возникает галитоз, сильная отечность и гиперемия, вызывающая сильную боль.
- острый – клиническая картина сильно выражена, пациент указывает на ухудшение состояния, сильный дискомфорт во рту и воспаление десны;
- хронический – характеризуется вялотекущим развитием болезни, которое не нарушает привычный образ жизни;
- обострение хронического гингивита – патология возникает после воздействия причинных факторов и напоминает острую форму заболевания.
► Внешние проявления гингивита проявляются его видом. По форме и различию клинической картины заболевание подразделяется на четыре группы:
- катаральный – самая простая форма и проявляется в воспалении межзубных сосочков и маргинальной десны. При этом она становится сглаженной, теряется рельефность, при зондировании возникает кровоточивость и определяется большое количество как мягкого, так и минерализованного налета;
- язвенно-некротический – характеризуется тяжелым течением, к стандартным проявлениям воспаления десны присоединяется ухудшение состояния, гипертермия, на слизистой оболочки образуются язвочки;
- гипертрофический – происходит разрастание мягких тканей, из-за чего коронки зубов частично или полностью скрыты десной, которая болит и сильно зудит, а также кровоточит;
- атрофический – при данной форме гингивита наблюдается патологический процесс, противоположный предыдущему – происходит убыль мягких тканей, что ведет к образованию рецессий. Заболевание распространено среди детей.
► Воспаление десны бывает не только самостоятельным заболеванием – некоторые его формы являются сопутствующими и говорят о присутствии нарушений в функционировании организма.
- Десквамативный гингивит – часто сопровождает дерматологические нарушения либо является одним из симптомов аллергии. Выражается в слущивании эпителия десны, из-за чего она становится алой, кровоточащей и болезненной.
- Герпетический гингивит – возникает на фоне ослабления иммунной реакции организма и вызывается вирусом простого герпеса. Имеет характерные черты герпетической инфекции – везикулы, после повреждения которых, возникают эрозии.
- Гингивит Венсана – причиной болезни принято считать спирохету Венсана. Проявляется язвенно-некротическими очагами на десне.
| Симптом | Причина | Лечение |
|---|---|---|
| Кровоточивость десен при чистке зубов | Плохая гигиена полости рта, скопление зубного налета и зубного камня | Тщательная чистка зубов дважды в день, использование зубной нити, профессиональная чистка зубов у стоматолога |
| Отек и покраснение десен | Бактериальная инфекция, воспаление | Противовоспалительные полоскания (например, хлоргексидин), гель с антибиотиком (по назначению врача) |
| Боль и дискомфорт в деснах | Воспаление, раздражение | Анестезирующие гели, полоскания с обезболивающим эффектом (по назначению врача) |
| Отслоение десен от зубов | Глубокое воспаление, пародонтит | Профессиональная чистка зубов, кюретаж (удаление воспаленной ткани), антибиотики (по назначению врача) |
| Неприятный запах изо рта (галитоз) | Накопление бактерий в зубном налете | Тщательная гигиена полости рта, профессиональная чистка зубов |
| Изменение цвета десен (покраснение, синюшность) | Воспаление, нарушение кровообращения | Лечение основного заболевания, вызвавшего гингивит |
Интересные факты
Вот несколько интересных фактов о гингивите:
-
Причины возникновения: Гингивит чаще всего вызывается накоплением зубного налета и бактерий на зубах и деснах. Однако факторы, такие как курение, стресс, гормональные изменения (например, во время беременности) и некоторые заболевания (например, диабет), могут значительно увеличить риск развития этого заболевания.
-
Симптомы: Основные симптомы гингивита включают покраснение, отек и кровоточивость десен, особенно при чистке зубов. Интересно, что на ранних стадиях гингивит может протекать безболезненно, что делает его трудным для диагностики без регулярных стоматологических осмотров.
-
Лечение и профилактика: Лечение гингивита обычно включает профессиональную чистку зубов у стоматолога и улучшение гигиенических привычек, таких как регулярная чистка зубов и использование зубной нити. Если гингивит не лечить, он может перейти в более серьезную форму заболевания десен — пародонтит, что может привести к потере зубов.
Фотографии гингивита могут помочь в визуализации симптомов и понимании важности своевременного обращения к стоматологу.
https://youtube.com/watch?v=Z5RhqiDyw6E
Что вызывает гингивит? Основные причины возникновения
Основной причиной воспаления десен является недостаточная гигиена полости рта. Накопление налета и зубного камня, как над, так и под деснами, способствует размножению патогенных микроорганизмов и механически воздействует на ткани пародонта, вызывая воспалительный процесс.
Существуют и другие факторы, способствующие развитию гингивита:
- Снижение иммунной защиты.
- Неправильный прикус.
- Неэффективная санация ротовой полости (острые края реставраций и протезов, травмирующие десны).
- Минерализованные отложения над и под деснами.
- Беременность.
- Гормональные изменения во время полового созревания.
- Недостаток витаминов и минералов.
- Травмы десен.
- Серьезные заболевания (например, СПИД, диабет, гепатит).
Зубы покрыты пелликулой — тонкой оболочкой из гликопротеидов, защищающей эмаль. При чистке зубов она удаляется, но вскоре восстанавливается. Эта биопленка участвует в образовании зубных отложений. При плохой гигиене пелликула становится местом скопления микробов, выделяющих токсины, негативно влияющие на мягкие ткани. В местах наибольшего контакта возникает воспаление десен.
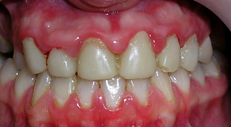
Гингивит — воспаление десен, проявляющееся покраснением, отечностью и кровоточивостью. Первые признаки могут быть едва заметными, и только при внимательном осмотре можно заметить изменения. Причинами гингивита могут быть плохая гигиена, курение, стресс и некоторые заболевания. Лечение включает профессиональную чистку, применение антисептиков и регулярное соблюдение гигиенических процедур. Игнорирование симптомов может привести к более серьезным проблемам, таким как пародонтит. На фотографиях гингивита видно характерное изменение — ярко-красные и воспаленные десны, что подчеркивает важность заботы о здоровье полости рта.
Фото
https://youtube.com/watch?v=YXid5I2vPAM
Симптомы
Признаки гингивита различаются в зависимости от формы, но есть общие симптомы воспаления десен:
- Гиперемия.
- Болезненность.
- Отечность.
- Повышенная чувствительность слизистой.
- Изменение контуров десен.
Неприятный запах изо рта — распространенный симптом гингивита, возникающий из-за затрудненного очищения воспаленных десен и накопления остатков пищи в карманах.
- Катаральная форма — проявляется общими признаками гингивита, пациент жалуется лишь на кровоточивость.
- Язвенно-некротическая форма — десна покрывается язвами, которые могут некротизироваться без лечения. Это ухудшает общее состояние, вызывает легкую температуру, боли в ротовой полости и галитоз. Часто сопровождается увеличением подчелюстных и шейных лимфоузлов.
- Гипертрофическая форма — наблюдается значительное разрастание десен, закрывающее большую часть зуба, при этом они остаются плотными. Цвет тканей может не изменяться.
- Атрофическая форма — происходит уменьшение маргинального участка, десневые сосочки становятся меньше, образуется свободное пространство между зубами и рецессия десны. Кровоточивость и дискомфорт могут отсутствовать.
Методы профилактики гингивита
Профилактика гингивита является важным аспектом поддержания здоровья полости рта и предотвращения развития более серьезных заболеваний десен. Существует несколько методов, которые помогут снизить риск возникновения гингивита и поддерживать здоровье десен.
1. Регулярная гигиена полости рта: Основным методом профилактики гингивита является тщательная и регулярная гигиена полости рта. Рекомендуется чистить зубы не менее двух раз в день с использованием фторсодержащей зубной пасты. Также важно использовать зубную нить или межзубные щетки для удаления остатков пищи и налета из труднодоступных мест между зубами.
2. Профессиональная чистка зубов: Регулярные визиты к стоматологу для профессиональной чистки зубов помогают удалить зубной камень и налет, которые невозможно удалить в домашних условиях. Рекомендуется проходить такую процедуру не реже одного раза в полгода.
3. Правильное питание: Сбалансированное питание, богатое витаминами и минералами, особенно витамином C и кальцием, способствует укреплению десен. Избегание избыточного потребления сахара и кислых продуктов также помогает снизить риск развития гингивита.
4. Отказ от курения: Курение является одним из факторов риска развития заболеваний десен. Отказ от курения не только улучшает общее состояние здоровья, но и способствует улучшению состояния десен.
5. Контроль заболеваний: Хронические заболевания, такие как диабет, могут увеличивать риск развития гингивита. Важно контролировать уровень сахара в крови и следовать рекомендациям врача для поддержания здоровья.
6. Устранение стрессов: Стресс может негативно влиять на иммунную систему и способствовать развитию воспалительных процессов в организме, включая гингивит. Практики релаксации, такие как йога и медитация, могут помочь снизить уровень стресса.
7. Использование антисептических ополаскивателей: Применение антисептических ополаскивателей для рта может помочь в борьбе с бактериями, вызывающими гингивит. Однако их использование не должно заменять чистку зубов и другие методы гигиены.
Соблюдение этих простых рекомендаций поможет не только предотвратить гингивит, но и поддерживать общее здоровье полости рта, что в свою очередь положительно скажется на общем состоянии здоровья организма.
Вопрос-ответ
Каковы основные симптомы гингивита у взрослых?
Основные симптомы гингивита включают покраснение и отечность десен, кровоточивость при чистке зубов, неприятный запах изо рта, а также возможное образование налета на зубах. В некоторых случаях может наблюдаться болезненность десен.
Какие факторы могут способствовать развитию гингивита?
К факторам, способствующим развитию гингивита, относятся плохая гигиена полости рта, курение, неправильное питание, стресс, гормональные изменения, а также наличие заболеваний, таких как диабет. Эти факторы могут ослабить иммунную систему и увеличить риск воспаления десен.
Каковы основные методы лечения гингивита?
Лечение гингивита обычно включает профессиональную чистку зубов у стоматолога, улучшение гигиенических привычек, таких как регулярная чистка зубов и использование зубной нити, а также применение антисептических ополаскивателей для рта. В некоторых случаях могут быть назначены антибиотики для борьбы с инфекцией.
Советы
СОВЕТ №1
Регулярно посещайте стоматолога для профилактических осмотров. Это поможет выявить гингивит на ранней стадии и предотвратить его развитие. Стоматолог сможет дать рекомендации по уходу за полостью рта и назначить необходимые процедуры.
СОВЕТ №2
Обратите внимание на свою гигиену полости рта. Чистите зубы не менее двух раз в день и используйте зубную нить для удаления остатков пищи между зубами. Это поможет снизить риск воспаления десен и развития гингивита.
СОВЕТ №3
Следите за своим питанием. Употребление продуктов, богатых витаминами C и D, а также кальцием, может укрепить десны и улучшить общее состояние полости рта. Избегайте чрезмерного потребления сахара, который способствует развитию бактерий.
СОВЕТ №4
Если вы заметили симптомы гингивита, такие как кровоточивость десен или их воспаление, не откладывайте визит к врачу. Раннее лечение поможет избежать осложнений и восстановить здоровье десен.
