Воспаление десны около зуба — распространенная проблема, сигнализирующая о серьезных заболеваниях полости рта. Игнорирование этого симптома может ухудшить состояние зубов и десен, а также вызвать осложнения. В статье рассмотрим причины воспаления десен, его симптомы и методы лечения, что поможет вовремя распознать проблему и принять меры для сохранения здоровья полости рта.
Причины
Почему возникает воспаление тканей вокруг зуба? В зависимости от проявлений заболевания, оно имеет разные названия и причины.
- недостаточный уход за полостью рта, образование зубного камня;
- гормональные нарушения;
- травмы после установки протезов.
Если гингивит не устранить вовремя, он может перейти в пародонтит — более серьезное воспаление с разрушением тканей, окружающих зубы. Причины пародонтита:
- нелеченый гингивит;
- травмы после удаления зубов или имплантации;
- неправильное питание;
- аномалии зубного ряда;
- зубной камень;
- недостаточная гигиена полости рта.
Периодонтит — еще одна форма воспаления десен. Основные причины: осложнения глубокого пульпита, остеомиелита, воспаление гайморовых пазух, негативное воздействие медикаментов при стоматологическом лечении.
Различные формы воспаления зубов могут возникать после стоматологических процедур, таких как обточка зубов или протезирование.
Воспаление десен, известное как гингивит, может указывать на стоматологические проблемы. Оно часто возникает из-за накопления зубного налета, вызывающего раздражение десен. Симптомы включают покраснение, отечность и кровоточивость. Важно обратиться к стоматологу, так как игнорирование проблемы может привести к пародонтиту.
Для лечения воспаления врачи рекомендуют соблюдать гигиену полости рта: чистить зубы дважды в день и использовать зубную нить. Профессиональная чистка у стоматолога помогает устранить налет и камни. В некоторых случаях назначаются антисептические растворы или гели для снижения воспаления. Раннее вмешательство и соблюдение рекомендаций врача помогут избежать осложнений и сохранить здоровье десен.
Воспаление десны около зуба, известное как гингивит, является распространенной проблемой, с которой сталкиваются многие люди. Эксперты отмечают, что основными причинами этого состояния являются недостаточная гигиена полости рта, накопление зубного налета и бактерий, а также курение и неправильное питание. Важно понимать, что игнорирование симптомов может привести к более серьезным заболеваниям, таким как пародонтит. Для лечения воспаления специалисты рекомендуют регулярную чистку зубов, использование антисептических ополаскивателей и посещение стоматолога для профессиональной гигиенической чистки. В некоторых случаях могут потребоваться противовоспалительные препараты или антибиотики. Профилактика, включая правильное питание и отказ от вредных привычек, также играет ключевую роль в поддержании здоровья десен.
https://youtube.com/watch?v=CvtL4VPofek
Симптомы
Признаки воспаления десен, как и причины болезни, зависят от ее формы. При гингивите наблюдаются следующие симптомы:
- десны значительно отекают, появляется кровоточивость;
- температура тела повышается;
- на эмали появляются отложения;
- чувствуется неприятный запах с ротовой полости;
- разрастание околозубных тканей, их отмирание;
- изменение цвета десны – она становится темно-красной или приобретает синий оттенок;
- промежутки между зубами заполняются разросшейся десной;
- болезненные чувства при чистке зубов.
В свою очередь, для пародонтита характерны:
- расшатывание зубов и кровоточивость десневых тканей;
- пациенты замечают, что десна отошла от зуба;
- затруднения во время приема пищи;
- оголение поддесневых частей зуба;
- неприятный запах изо рта и пульсация в околозубных тканях.
При периодонтите:
- сильная и постоянная боль в зубах, постепенное их расшатывание;
- увеличение десневых тканей;
- опухание губ и щек;
- в отдельных случаях на десне может появиться отверстие (свищ). Через него выводятся продукты гноения, которое происходит внутри мягких тканей.
Воспаление десны около зуба можно эффективно вылечить, если помнить, что болезнь с одинаковой частотой и вероятностью появляется на любом участке десен: и возле передних зубов, и возле зубов мудрости.
Данные заболевания очень похожи между собой и правильно их отличить сможет только специалист. Правильная и своевременная диагностика – залог успешного лечения.
| Симптом | Возможная причина | Лечение |
|---|---|---|
| Отек десны вокруг зуба | Гингивит (воспаление десен), пародонтит (воспаление тканей, окружающих зуб), абсцесс (скопление гноя), кариес | Профессиональная чистка зубов, антибиотики (при необходимости), полоскание антисептическими растворами, лечение кариеса, хирургическое вмешательство (в случае абсцесса) |
| Кровоточивость десен | Гингивит, пародонтит, недостаточная гигиена полости рта, травма | Улучшение гигиены полости рта, полоскание антисептическими растворами, лечение основного заболевания (гингивит, пародонтит) |
| Боль в десне | Гингивит, пародонтит, периодонтит (воспаление тканей вокруг корня зуба), абсцесс, травма | Анальгетики (обезболивающие), антибиотики (при необходимости), лечение основного заболевания |
| Изменение цвета десны (покраснение, синюшность) | Гингивит, пародонтит, аллергическая реакция | Лечение основного заболевания, устранение аллергена |
| Гнойное отделяемое | Абсцесс, пародонтит | Антибиотики, хирургическое вскрытие абсцесса, дренаж |
| Неприятный запах изо рта (галитоз) | Пародонтит, кариес, недостаточная гигиена полости рта | Улучшение гигиены полости рта, лечение основного заболевания |
| Подвижность зуба | Пародонтит, периодонтит | Лечение пародонтита, шинирование зубов (фиксация), удаление зуба (в запущенных случаях) |
Интересные факты
Вот несколько интересных фактов о воспалении десен около зуба и его лечении:
-
Причины воспаления: Воспаление десен, известное как гингивит, часто вызвано накоплением зубного налета и бактерий. Однако оно может также быть связано с другими факторами, такими как гормональные изменения (например, во время беременности), стресс, курение и даже некоторые заболевания, такие как диабет.
-
Признаки и симптомы: Воспаление десен может проявляться не только покраснением и отечностью, но и кровоточивостью при чистке зубов. Если не лечить гингивит, он может прогрессировать до пародонтита, что может привести к потере зубов.
-
Лечение и профилактика: Основные методы лечения воспаления десен включают профессиональную чистку зубов у стоматолога, использование антисептических ополаскивателей и регулярную гигиену полости рта. Важно также соблюдать правильное питание и избегать вредных привычек, таких как курение, чтобы поддерживать здоровье десен.
https://youtube.com/watch?v=xZ9_9c-A7Pw
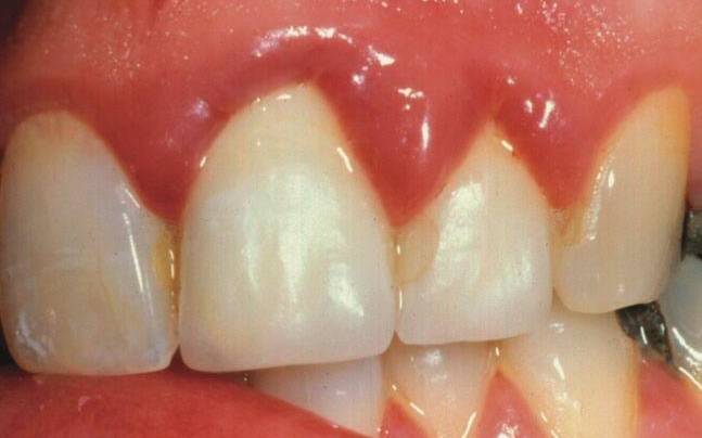
Фото
Воспаление десен вокруг зуба — распространенная проблема. Основные симптомы: покраснение, отечность, болезненность десен и неприятный запах изо рта. Это связано с накоплением зубного налета и бактерий, что может привести к гингивиту или пародонтиту. Игнорирование этих признаков может вызвать более серьезные последствия, включая потерю зубов.
Для эффективного лечения важно соблюдать гигиену полости рта: чистить зубы дважды в день и использовать зубную нить. Рекомендуется периодически посещать стоматолога для профессиональной чистки и осмотра. В некоторых случаях могут потребоваться противовоспалительные препараты или антисептические растворы. Не откладывайте визит к врачу, чтобы избежать осложнений и сохранить здоровье зубов и десен.
Воспалилась десна около зуба – что делать, как лечить?
Терапия осуществляется с использованием лекарств, но самый важный момент заключается в правильной диагностике, которую может провести только врач. Чтобы убрать воспаление десны около зуба препаратами, надо получить рекомендации специалиста для эффективного лечения.
Если воспаление сопровождается болевыми ощущениями, то рекомендуется принимать обезболивающие средства: Анальгин или Кетанов помогут быстро прекратить боль, а Парацетамол снимет температуру.
В аптеке также можно приобрести ряд растворов, антибиотиков местного действия, которые быстро снимают основные симптомы. К ним относят:
- Мираславин.
- Мирамистин.
- Полиминерол.
Антибиотики широкого спектра применять без разрешения врача нельзя. Их используют, если другие методы не дали положительных результатов. Среди таких средств имеются:
- Метронидазол.
- Линкомицин.
- Номинцин и Сифлокс (в особых случаях).
Воспаленные участки десен обрабатывают и специальными гелями. Большой популярностью в этих целях пользуется Холисал, который снимает кровоточивость и раздражительность десен, укрепляет их.
Для комплексного лечения врачи рекомендуют применять бальзамы для полоскания ротовой полости – Лесной и Асепта. Есть и ряд зубных паст, использование которых является одновременно мерой профилактики и лечения. В то же время стоматологи рекомендуют принимать комплекс витаминов С.
Если вы находитесь в положении, то есть, беременны, и наблюдаете у себя кровоточивость десен, то непременно начните лечение, подробнее об этом здесь.
https://youtube.com/watch?v=r-s_T9O2zWw
Лечение в домашних условиях
Воспаление десен вокруг зуба можно лечить не только традиционными методами, но и народными средствами. Некоторые из них рекомендуются врачами, эффективность других обсуждается. Народные рецепты стоит рассматривать как дополнение к основным методам лечения.
- Отвар коры дуба и листьев шалфея – смешайте равные части ингредиентов, залейте кипятком и дайте настояться. Полоскайте рот каждые 2-3 часа.
- Сода – растворите 1 чайную ложку соды в стакане кипяченой воды. Полоскайте рот 2-3 раза в день. Это средство обладает антибактериальными свойствами.
- 3% раствор перекиси водорода – растворите 3-4 чайные ложки перекиси в 100 граммах кипяченой воды. Полоскайте рот около 5 минут, затем промойте чистой водой.
- Настой цветков ромашки – одну столовую ложку сушеных цветков залейте кипятком и настаивайте 30-40 минут. Полоскайте рот каждые два часа в течение нескольких дней. Для повышения эффективности можно смешивать ромашку с календулой или зверобоем в равных пропорциях.
- Отвар из листьев земляники, мяты или корня аира – некоторые специалисты советуют комбинировать эти ингредиенты, другие рекомендуют готовить их по отдельности.
Профилактика воспаления десен
Профилактика воспаления десен является важным аспектом поддержания здоровья полости рта. Основные меры, направленные на предотвращение воспалительных процессов, включают в себя регулярную гигиену, правильное питание и регулярные визиты к стоматологу.
Регулярная гигиена полости рта — это основа профилактики. Чистка зубов дважды в день с использованием фторсодержащей зубной пасты помогает удалить налет и предотвратить образование зубного камня, который может вызывать воспаление десен. Не менее важным является использование зубной нити или межзубных щеток для очистки труднодоступных мест, где может скапливаться пища и бактерии.
Правильное питание также играет ключевую роль в здоровье десен. Употребление продуктов, богатых витаминами и минералами, особенно витамина C и кальция, способствует укреплению десен и зубов. Избегание избыточного потребления сахара и кислых продуктов поможет снизить риск развития кариеса и воспалительных процессов.
Регулярные визиты к стоматологу являются важной частью профилактики. Стоматолог может провести профессиональную чистку зубов, выявить ранние признаки заболеваний десен и дать рекомендации по уходу за полостью рта. Рекомендуется посещать стоматолога не реже двух раз в год.
Кроме того, стоит обратить внимание на отказ от вредных привычек, таких как курение, которое негативно сказывается на здоровье десен и может способствовать развитию воспалительных процессов. Поддержание общего здоровья организма также важно, так как заболевания, такие как диабет, могут увеличивать риск воспаления десен.
В заключение, соблюдение простых правил гигиены, сбалансированное питание и регулярные визиты к стоматологу помогут предотвратить воспаление десен и сохранить здоровье полости рта на долгие годы.
Вопрос-ответ
Что хорошо снимает воспаление с десны?
Чтобы быстро снять воспаление десны, применяют антисептические полоскания. Наиболее легкодоступными являются раствор хлоргексидина биглюканата или мирамистина. Также можно растворить в стакане теплой воды пару таблеток фурацилина, чайную ложку соды или поваренной соли.
Почему опухла десна возле одного зуба?
Отек десен может произойти по нескольким причинам. Это может быть гингивит, пародонтит, флюс или абсцесс. Но в любом случае, если отекла десна, это говорит о том, что началось воспаление тканей, и необходимо срочно идти на прием к стоматологу и лечить возникшую проблему.
Советы
СОВЕТ №1
Регулярно посещайте стоматолога для профилактических осмотров. Это поможет выявить проблемы на ранних стадиях и предотвратить развитие воспаления десен.
СОВЕТ №2
Обратите внимание на гигиену полости рта. Чистите зубы дважды в день и используйте зубную нить, чтобы удалить остатки пищи и налет, которые могут вызывать воспаление.
СОВЕТ №3
При появлении первых признаков воспаления десен, таких как покраснение или отечность, не откладывайте визит к стоматологу. Чем раньше начнется лечение, тем легче будет справиться с проблемой.
СОВЕТ №4
Используйте антисептические ополаскиватели для рта, чтобы уменьшить воспаление и предотвратить размножение бактерий. Это может помочь в облегчении симптомов и улучшении состояния десен.

