Некариозные поражения зубов — это заболевания, которые могут негативно сказаться на здоровье полости рта и организма в целом. В отличие от кариеса, они не приводят к разрушению зубной ткани, но могут вызывать дискомфорт, воспаление и осложнения. В статье рассмотрим основные болезни, связанные с некариозными поражениями зубов, их симптомы и методы профилактики. Знание этих заболеваний поможет в своевременной диагностике и обращении к стоматологу, что способствует сохранению здоровья зубов и десен.
Некариозные поражения зубов – что это?
Некариозные дефекты твердых тканей зубов — это повреждения, возникающие без инфекционных агентов. Они занимают второе место по распространенности после кариеса.
Существует две основные группы таких патологий:
- Врожденные аномалии, формирующиеся в период внутриутробного развития и во время закладки постоянных зубов, проявляются до появления зубов.
- Приобретенные дефекты, возникающие в процессе жизни под воздействием различных факторов.
Некариозные поражения затрагивают эмаль и дентин, могут локализоваться на корневом цементе в области шейки зуба, охватывать весь зубной ряд или отдельные зубы. Эти дефекты имеют разнообразные симптомы, причины и методы лечения.
Некариозные поражения зубов представляют собой значительную проблему в стоматологии. К ним относятся эрозия, абразия, атрофия эмали и гипоплазия. Эти состояния могут быть вызваны неправильным питанием, нехваткой минералов, механическими повреждениями и кислотными воздействиями. Ранняя диагностика и профилактика играют ключевую роль в поддержании здоровья зубов. Профессиональная гигиена полости рта, использование фторсодержащих препаратов и сбалансированное питание могут снизить риск некариозных поражений. Стоматологи рекомендуют регулярно проходить осмотры для выявления проблем на ранних стадиях, что поможет избежать серьезных последствий и сохранить зубы в хорошем состоянии.
Некариозные поражения зубов представляют собой серьезную проблему в стоматологии, и эксперты отмечают, что их спектр достаточно широк. К числу таких заболеваний относятся эрозия, абразия и атрофия зубной эмали. Эрозия возникает под воздействием кислот, содержащихся в пище и напитках, что приводит к разрушению эмали. Абразия, в свою очередь, связана с механическим воздействием, например, избыточным трением зубов о зубные щетки или другие предметы. Атрофия эмали может быть следствием генетических факторов или системных заболеваний. Специалисты подчеркивают важность профилактики и своевременной диагностики этих состояний, так как они могут привести к более серьезным стоматологическим проблемам, включая чувствительность зубов и повышенный риск кариеса. Регулярные осмотры у стоматолога и соблюдение гигиенических норм помогут предотвратить развитие некариозных поражений и сохранить здоровье зубов на долгие годы.
https://youtube.com/watch?v=I6_dHGPWHVs
Классификация
Единого перечня, позволяющего представить полную систематизацию некариозных поражений, нет. В странах постсоветского пространства наиболее распространены классификации по ВОЗ (МКБ-10) и по Патрикееву. В каждой из них отражена основная суть патологий небактериальной этиологии и существует разделение на состояния, возникнувшие до момента прорезывания зубов, а также после него.
Некариозные заболевания, образовавшиеся до прорезывания.
- Крапчатость зубов (неэндемический флюороз).
- Нарушения, возникающие в процессе формирования зачатков – гипоплазия или гиперплазия эмали, дисплазия всех структур твердых тканей, зубы Турнера.
- Наследственные изменения – несовершенный амело-, дентино- или одонтогенез.
Состояния, образующиеся после прорезывания зубов.
- Повышенное истирание.
- Эрозия.
- Абразивный износ (клиновидный дефект).
- Патологическое рассасывание.
- Гиперестезия дентина.
- Некроз.
- Дисколориты зубов.
Рассмотрим более подробно каждый из видов патологических состояний.
| Заболевание | Характерные признаки | Методы лечения |
|---|---|---|
| Клиновидный дефект | Клиновидные дефекты на шейках зубов, повышенная чувствительность к температурным раздражителям, часто множественные поражения. | Реминерализирующая терапия, пломбирование композитными материалами, использование фторсодержащих препаратов. |
| Эрозия эмали | Поверхностное растворение эмали, гладкая, блестящая поверхность дефекта, часто множественные поражения. | Изменение диеты, использование фторсодержащих препаратов, реминерализирующая терапия, пломбирование (в случае глубоких поражений). |
| Абразия | Стирание твердых тканей зуба в результате механического воздействия (например, зубная щетка, бруксизм). | Изменение техники чистки зубов, изготовление капп для защиты зубов от стирания, реставрация зубов композитными материалами или винирами. |
| Абузия | Повреждение твердых тканей зуба в результате химического воздействия (например, кислоты). | Изменение диеты, нейтрализация кислот, реминерализирующая терапия, пломбирование (в случае глубоких поражений). |
Интересные факты
Некариозные поражения зубов включают в себя различные состояния, которые могут негативно влиять на здоровье зубов и полости рта. Вот несколько интересных фактов по этой теме:
-
Эрозия зубов: Эрозия — это процесс разрушения зубной эмали, вызванный воздействием кислот, не связанных с бактериями. Это может происходить из-за частого употребления кислых продуктов и напитков, таких как цитрусовые или газированные напитки. Эрозия может привести к повышенной чувствительности зубов и эстетическим проблемам.
-
Абразия: Это механическое стирание зубной эмали, которое может происходить из-за неправильной техники чистки зубов, использования жестких щеток или чрезмерного давления при чистке. Абразия может привести к образованию вогнутых участков на зубах и повышенной чувствительности.
-
Флюороз: Это состояние, вызванное избыточным потреблением фтора во время формирования зубов, что может привести к появлению белых пятен или коричневых полос на эмали. Флюороз чаще всего наблюдается у детей, и его степень может варьироваться от легкой до тяжелой, влияя на внешний вид зубов.
Эти состояния подчеркивают важность профилактики и правильного ухода за зубами, чтобы избежать некариозных поражений.
https://youtube.com/watch?v=BUhVPTKMhCg
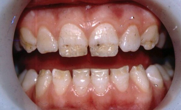
Флюороз
Эндемические крапчатые зубы — это нарушения формирования твердых тканей, проявляющиеся эмалевыми пятнами с измененным цветом. Они возникают из-за избытка фтора, что может происходить при чрезмерном использовании фторсодержащих препаратов и в регионах с высоким содержанием фтора в воде и почве (более 2 мг/л).
Степень выраженности симптомов зависит от типа патологии. По классификации Патрикеева выделяют пять форм:
- Пятнистая.
- Штриховая.
- Меловидно-крапчатая.
- Эрозивная.
- Деструктивная.
Фтор содержится в большинстве продуктов питания, но они не вызывают флюороз. Наибольший риск возникает при превышении рекомендуемой дозы фторированных таблеток или капель для профилактики кариеса, поэтому необходим строгий контроль за их применением.
Клинические проявления флюороза включают изменения в эмали:
- матовая поверхность, потеря блеска и прозрачности;
- желтый или коричневый оттенок;
- пятна с насыщенным цветом в центре и размытыми краями;
- здоровая эмаль сохраняет блеск;
- множественные поражения, охватывающие все поверхности зуба.
Методы лечения:
- Отбеливание — эффективно при легкой крапчатости и пятнистости, когда структура не нарушена. Используются гели с пероксидом карбамида для стоматологического и домашнего отбеливания.
- Микроабразия — сошлифовывание тонкого слоя эмали для получения здоровой поверхности с использованием специальных наконечников и абразивных порошков. Обязательно применение средств индивидуальной защиты.
- Реставрация — с использованием фотополимерных материалов при значительных повреждениях. Удаляется пораженный слой эмали и дентина, утрата ткани восполняется композитом.
- Виниры и люминиры — применяются при эрозивной и деструктивной формах флюороза, когда дефекты затрагивают всю вестибулярную поверхность зуба.
Некариозные поражения зубов вызывают много обсуждений среди стоматологов и пациентов. Состояния, такие как эрозия, абразия и флюороз, становятся все более распространенными. Люди делятся переживаниями о влиянии этих проблем на внешний вид зубов и здоровье полости рта. Стоматологи подчеркивают важность профилактики, включая правильную гигиену и сбалансированное питание. Недостаток информации о некариозных поражениях может приводить к запущенным случаям, когда лечение становится более сложным и дорогостоящим. Обществу важно осознавать значимость регулярных визитов к стоматологу и следовать рекомендациям специалистов для предотвращения этих заболеваний.
Гипоплазия
Такое нарушение формирования эмали проявляется как ее качественный и количественный дефект. Причин для появления гипоплазии несколько.
- Нарушение обмена фосфора и кальция.
- Сильный токсикоз у матери.
- Механические повреждения костной структуры челюстей.
- Травматические и токсические поражения, вызванные влиянием микроорганизмов в процессе внутриутробного развития плода.
Гипоплазия бывает трех видов:
- системная – отмечается дефекты эмали всех зубов либо тех, которые имеют одинаковый период закладки эмалевого органа;
- местная – поражение затрагивает не более двух зубов;
- очаговая – патология наблюдается на рядом стоящих зубах, вне зависимости от их сроков прорезывания.
При визуальном осмотре пораженных коронок определяются пятна или бороздки, которые имеют цвет от белого до желто-коричневого. При этом они располагаются параллельно буграм или режущему краю. Характерной особенностью гипоплазии является то, что она затрагивает всегда четное количество зубов, а очаги определяются на вестибулярной поверхности. Участки имеют блестящую поверхность с гладким дном, а окружающая их эмаль не изменена.
Терапия при малой выраженности дефектов обычно не требуется, если же эмаль имеет визуально определяемые участки поражений, то для их устранения используется отбеливание, микроабразия или пломбирование.
https://youtube.com/watch?v=qAKN-IXk66k
Гиперплазия
Избыточный рост эмали, проявляющийся в виде каплевидных образований, называют «жемчугом эмали». На здоровых зубах в пришеечной зоне можно увидеть небольшие выступы, придающие поверхности шероховатость. Существует пять типов таких образований:
- эмалевые – состоят исключительно из поверхностной эмали;
- эмалево-дентинные – капли с эмалевым покрытием и дентинными вкраплениями внутри;
- пульпарно-эмалево-дентинные – содержат соединительнотканный пучок;
- внутридентинные – располагаются в слое дентина;
- капли Родригес-Понти – вкрапления в пародонте.
При этой патологии пациенты обычно не испытывают жалоб, кроме эстетического дискомфорта от внешнего вида улыбки. Небольшие дефекты не требуют лечения, в более серьезных случаях возможно сошлифовывание избыточной ткани.
Наследственные нарушения структуры зуба
- несовершенный дентиногенез – нарушается структура дентина, при этом коронки могут иметь естественную форму, однако достаточно часто происходят сколы эмали, за счет чего зубы быстро стираются. Также для них характерен янтарный полупрозрачный оттенок;
- несовершенный одонтогенез – проявляется как синдром Стентона-Капдепона, для которого свойственно прорезывание зубов в нормальные сроки, при этом они имеют серую окраску, а при направлении луча флуоресцентной лампы – просвечиваются. Быстро происходят сколы поверхностного слоя, а также наблюдается повышенное истирание;
- несовершенный амелогенез – нарушение закладки эмалевого органа, но дентин и пульповая камера развиты полноценно. Измененные зубы могут выглядеть, словно их поверхность изъедена точечно либо полностью отсутствует верхнее покрытие.
Эрозия зубов
Эрозия зубов представляет собой процесс постепенного разрушения зубной эмали под воздействием кислот, которые могут поступать из различных источников. В отличие от кариеса, который вызывается бактериями, эрозия зубов чаще всего связана с химическими факторами. Эти факторы могут быть как внешними, так и внутренними.
Одним из основных источников кислот, вызывающих эрозию, являются напитки с высоким содержанием кислоты, такие как газированные напитки, соки, особенно цитрусовые, и спортивные напитки. Частое употребление таких продуктов может привести к значительному снижению pH в ротовой полости, что, в свою очередь, способствует деминерализации эмали.
Внутренние факторы, такие как гастроэзофагеальная рефлюксная болезнь (ГЭРБ), также могут способствовать эрозии зубов. При этой болезни кислота из желудка попадает в пищевод и может достигать ротовой полости, что приводит к повреждению зубной эмали. Кроме того, рвота, связанная с различными заболеваниями или расстройствами, также может быть источником кислот, способствующих эрозии.
Симптомы эрозии зубов могут включать повышенную чувствительность зубов, изменение цвета эмали, а также видимые изменения в форме и контуре зубов. Эмаль может стать более тонкой и гладкой, а также могут появиться неровности и углубления на поверхности зубов.
Для диагностики эрозии зубов стоматологи используют визуальный осмотр, а также могут применять специальные методы, такие как рентгенография, чтобы оценить степень повреждения зубов. Важно отметить, что ранняя диагностика и лечение могут значительно замедлить прогрессирование заболевания.
Профилактика эрозии зубов включает в себя ограничение потребления кислотообразующих продуктов, использование соломинки при питье кислых напитков, а также регулярные визиты к стоматологу для профессиональной чистки и осмотра. Кроме того, применение фторсодержащих зубных паст и ополаскивателей может помочь укрепить эмаль и защитить зубы от дальнейшего разрушения.
Вопрос-ответ
Что является причиной некариозных поражений шейки зуба?
Традиционно этиологическими причинами некротической клеточной мастопатии считались эрозия и абразия. Однако в последние десятилетия абфракция также рассматривается как возможный фактор, способствующий развитию некротической клеточной мастопатии.
Какое заболевание относят к группе наследственных патологий зубов?
По наследственности может передаться предрасположенность к кариесу, патологическая стираемость зубов, разные нарушения прикуса, задержка прорезывания зубов, гипердонтия (лишние зубы), склонность к заболеванию десен и многие другие патологии, включая аномалии: полная адентия, гипоплазия и другие.
Как лечить некариозные поражения зубов?
Лечение некариозных поражений зубов состоит в восстановлении минерального состава твердых тканей (реминерализации эмали и дентина), устранении эстетического дефекта с помощью виниров, вкладок, накладок, коронок, в том числе нормализующих жевание.
Советы
СОВЕТ №1
Регулярно посещайте стоматолога для профилактических осмотров. Это поможет выявить ранние признаки некариозных поражений и предотвратить их развитие.
СОВЕТ №2
Обратите внимание на свою гигиену полости рта. Чистите зубы дважды в день и используйте зубную нить, чтобы удалить остатки пищи и налет, которые могут способствовать развитию заболеваний.
СОВЕТ №3
Соблюдайте сбалансированную диету, богатую витаминами и минералами. Употребление продуктов, содержащих кальций и фосфор, поможет укрепить зубную эмаль и снизить риск некариозных поражений.
СОВЕТ №4
Избегайте чрезмерного потребления кислых и сладких продуктов, которые могут негативно влиять на здоровье зубов. Если вы употребляете такие продукты, старайтесь полоскать рот водой после их употребления.


