Сиалолитиаз, или слюннокаменная болезнь, — это состояние, при котором образуются камни в слюнных железах, что может вызвать осложнения и дискомфорт. В статье рассмотрим основные симптомы болезни, а также методы диагностики и лечения. Знание симптомов и своевременное обращение за медицинской помощью помогают предотвратить серьезные последствия и восстановить здоровье, что важно для пациентов и медицинских работников.
Описание
Что такое слюнокаменная болезнь (сиалолитиаз) и каковы её причины? Это заболевание затрагивает протоки слюнных желез, иногда камни образуются и в самих железах, что усложняет лечение.
Каждый случай уникален, поэтому терапию не стоит откладывать, чтобы избежать хронической формы и снизить риск абсцесса. При этом слюнная железа увеличивается, отекает и становится болезненной при пальпации.
Классификация заболевания зависит от пораженной слюнной железы. Малые слюнные железы и подъязычная железа практически не подвержены сиалолитиазу, а околоушная железа страдает редко (менее 8% случаев). Наибольшее количество случаев наблюдается в подчелюстной железе. Чаще всего недуг проявляется у людей старше 35 лет.
Сиалолитиаз — состояние, при котором в слюнных железах формируются камни, вызывающие различные симптомы. Основные проявления: боль в области челюсти, отечность и сухость во рту, затруднения при глотании. В период обострения могут развиваться воспалительные процессы с повышением температуры. Лечение зависит от размеров и расположения камней. Специалисты рекомендуют консервативные методы, такие как массаж слюнных желез и обильное питье, что помогает вывести небольшие камни. В случае крупных образований может потребоваться хирургическое вмешательство. Важно вовремя обратиться к врачу, чтобы избежать осложнений и сохранить здоровье слюнных желез.
Сиалолитиаз, или слюннокаменная болезнь, представляет собой заболевание, при котором в слюнных железах образуются камни, что может приводить к различным симптомам. Эксперты отмечают, что основными проявлениями являются боль и отек в области желез, особенно во время еды, когда слюна активно выделяется. Также возможны сухость во рту и затруднения при глотании. Для диагностики заболевания используются ультразвуковое исследование и рентгенография.
Лечение сиалолитиаза может варьироваться в зависимости от размера и расположения камней. В начальных стадиях рекомендуется консервативная терапия, включающая массаж желез и обильное питье для стимуляции выделения слюны. В более сложных случаях может потребоваться хирургическое вмешательство для удаления камней. Важно, чтобы пациенты обращались к специалистам при первых симптомах, чтобы избежать осложнений и сохранить здоровье слюнных желез.
https://youtube.com/watch?v=phrBO0U8tIk
Причины
- воспаление – в результате него патологическая микрофлора размножается, а сами протоки оказываются передавленными. Быстрое размножение бактерий приводит к гнойному образованию, через некоторое время камень увеличивается в размерах;
- механические повреждения протоков;
- замедление функции слюноотделения – развивается застой жидкости, а по мере накопления ее в протоках она кристаллизуется, превращаясь постепенно в слюнные камни;
- попадание инородной частички – причиной воспаления в таком случае может стать даже небольшой соляной кристаллик;
- сбой в обменных процессах – минерализация слюны развивается из-за высокого содержания в ней кальция.
Патогенез болезни как у детей, так и у взрослых схожий, при этом камни бывают разных размеров, иногда к процессу присоединяется гнойное воспаление.
| Симптом | Возможные причины | Лечение |
|---|---|---|
| Отек слюнной железы (чаще подчелюстной) | Закупорка протока слюнной железы камнем | Хирургическое удаление камня, сиалоэндоскопия, литотрипсия |
| Боль в области слюнной железы | Воспаление, инфекция, давление камня на ткани | Анальгетики, антибиотики (при инфекции), тепловые компрессы |
| Припухлость, покраснение кожи над слюнной железой | Воспаление, инфекция | Антибиотики, противовоспалительные препараты |
| Сухость во рту | Снижение слюноотделения из-за закупорки протока | Увеличение потребления жидкости, стимуляция слюноотделения |
| Гнойные выделения из протока слюнной железы | Инфекция | Антибиотики, дренаж гноя |
| Дискомфорт во время еды | Раздражение слюнной железы | Избегание раздражающей пищи, полоскание рта |
| Появление камня в устье протока слюнной железы (видимый) | Образование камня в протоке | Хирургическое удаление камня |
Интересные факты
Вот несколько интересных фактов о сиалолитиазе (слюннокаменной болезни):
-
Причины образования камней: Слюннокамни могут образовываться из-за различных факторов, включая обезвоживание, недостаток слюны, инфекции или воспаления слюнных желез. Употребление определенных продуктов, таких как молочные изделия или кислые фрукты, может также способствовать образованию камней.
-
Симптомы: Основные симптомы сиалолитиаза включают боль и отек в области слюнной железы, особенно во время еды, когда слюна начинает выделяться. Это может привести к резкому увеличению давления в железе, вызывая сильную боль. В некоторых случаях может наблюдаться гнойное выделение из протока железы.
-
Методы лечения: Лечение сиалолитиаза может варьироваться в зависимости от размера и расположения камня. В небольших случаях может помочь массаж железы, обильное питье и применение теплых компрессов. В более сложных случаях может потребоваться хирургическое вмешательство для удаления камня. Современные методы, такие как эндоскопическая литотрипсия, позволяют удалять камни с минимальным вмешательством.
https://youtube.com/watch?v=NmqYYYU4Kks
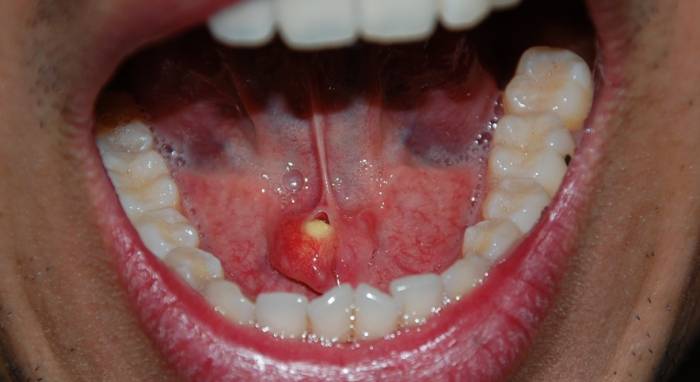
Фото и рентген
Фотографии в статье иллюстрируют развитие слюннокаменной болезни. Рентгенологические исследования необходимы для диагностики, но их следует дополнять другими методами.
Сиалолитиаз, или слюннокаменная болезнь, вызывает множество вопросов. Симптомы, такие как боль в челюсти, отечность и сухость во рту, значительно снижают качество жизни. Пациенты делятся опытом, как камни в слюнных железах затрудняют прием пищи и общение. Лечение обычно включает массаж желез и обильное питье, но иногда требуется хирургическое вмешательство. Раннее обращение к врачу помогает избежать осложнений. Профилактика, включая регулярное увлажнение и соблюдение гигиенических норм в полости рта, важна для предотвращения рецидивов.
Симптомы
Начальная стадия патологического процесса бессимптомная. Признаки сиалолитиаза следующие:
- чувство сухости во рту из-за недостатка слюны;
- отечность шеи и лица, так как жидкость накапливается, но не имеет выхода;
- вместо слюны слизь, она имеет неприятный запах и привкус;
- трудности с жеванием, глотанием и даже открыванием рта;
- припухлость в области нахождения камня;
- распространение в области шеи и лица красноты;
- при большом размере камня трудно разговаривать;
- болевые ощущения в полости рта и зоне щек, остающиеся даже при покое;
- оттопыривание мочки уха, если камень располагается в этой области.
Если заболевание отягчается инфекцией и возникает гнойное воспаление, то к описанным выше симптомам добавляется слабость, ломота в теле, температура, общее недомогание и головная боль. В области воспаления температура выше, ощущается горячий участок даже ладонью.
Диагностика
Камни в протоках слюнных желез диагностируются с помощью следующих методов:
- Рентгенография.
- Сиалография – введение контрастного вещества в проток через инъекцию. Это наиболее информативная и часто используемая процедура.
- Ультразвуковое исследование может быть назначено, если камни не обнаружены при пальпации.
- Компьютерная томография точно определяет местоположение и размеры камней.
Слюннокаменная болезнь и ее лечение
Слюннокаменная болезнь часто требует хирургического вмешательства. Именно удаление камней и восстановление слюноотделения являются главной целью лечения. При небольшом размере образований доктор может порекомендовать медикаментозную терапию и массаж, чтобы стимулировать выход камня.
Лечение препаратами включает в себя:
- Обезболивающие средства.
- Проводится противовоспалительная терапия, чтобы предотвратить развитие вторичной инфекции.
- Антибиотики – назначаются индивидуально из-за обширных побочных эффектов.
Также пациент должен поддерживать специальную диету. Нужно дополнить свой рацион продуктами, повышающими отделение слюны (квашеная капуста, лимоны, другая кислая еда). При небольших камнях это может помочь промыву слюнного протока.
Операция требуется в случаях, когда заболевание перетекло в хроническую форму.
- В проток будет помещен специальный зонд, определяющий расположение камня.
- После этого его разрежут и доктор удалит новообразование.
- Швы не накладывают, чтобы после заживления проток в дальнейшем мог функционировать.
- Если удаление камня невозможно, то проводится резекция всей слюнной железы.
Для предупреждения образования свища нужно после операции накладывать давящую повязку и питаться жидкой пищей. Снимать болевые ощущения нужно перед едой приемом 0,1% атропина или настойкой белладонны (до 10 капель).
Видео: подробно о слюннокаменной болезни с профессором Ластовкой А.С.
https://youtube.com/watch?v=oHrOjTivSTo
Народная медицина
- Содовые компрессы – растворите ложку пищевой соды в кипяченой воде и используйте для протирания ротовой полости.
- Полоскание отварами трав – приготовьте смесь из ромашки, прополиса, шалфея или эвкалипта.
- Ароматерапия – полезны пары эвкалипта, мяты, сосны и женьшеня для лечения сиалолитиаза.
- Лечебная мазь – смешайте ампулу Новокаина, белок яйца, чайную ложку растительного масла и меда. Наносите на воспаленные участки трижды в день в течение недели.
- Ягоды калины – смешайте с жидким медом в равных пропорциях, настаивайте в темном месте неделю, затем разбавьте медицинским спиртом (100 мл). Принимайте по чайной ложке дважды в день, удерживая во рту перед глотанием.
- Клюква – разомните и поместите кашицу в рот. Она обладает противовоспалительными свойствами и стимулирует работу слюнных желез.
Профилактика сиалолитиаза
Включает в себя комплекс мероприятий, направленных на снижение риска образования слюнных камней. Основные аспекты профилактики можно разделить на несколько категорий: соблюдение режима питья, правильное питание, поддержание гигиены полости рта и регулярные медицинские осмотры.
1. Соблюдение режима питья: Одним из ключевых факторов в профилактике является достаточное потребление жидкости. Рекомендуется пить не менее 1,5-2 литров воды в день, что способствует поддержанию нормального слюноотделения и предотвращает сгущение слюны. Особенно важно увеличивать потребление жидкости в жаркую погоду или при физической активности.
2. Правильное питание: Сбалансированное питание играет важную роль в профилактике образования камней. Рекомендуется включать в рацион продукты, богатые витаминами и минералами, особенно витамином C, который способствует улучшению работы слюнных желез. Следует избегать чрезмерного потребления острых, соленых и кислых продуктов, которые могут раздражать слюнные железы и способствовать образованию камней.
3. Поддержание гигиены полости рта: Регулярная гигиена полости рта помогает предотвратить воспалительные процессы в слюнных железах, которые могут способствовать образованию камней. Рекомендуется чистить зубы дважды в день, использовать зубную нить и ополаскиватели для рта. Также важно регулярно посещать стоматолога для профессиональной чистки и осмотра.
4. Регулярные медицинские осмотры: Профилактические осмотры у врача-стоматолога или отоларинголога помогут выявить возможные проблемы на ранних стадиях. При наличии предрасполагающих факторов, таких как хронические заболевания слюнных желез или нарушения обмена веществ, может потребоваться более частое наблюдение и дополнительные исследования.
5. Избегание стрессов: Стресс может негативно влиять на работу слюнных желез, поэтому важно находить способы для его снижения. Регулярные физические нагрузки, занятия спортом, медитация и другие методы релаксации могут помочь в этом.
Соблюдение этих простых рекомендаций может значительно снизить риск развития и улучшить общее состояние здоровья слюнных желез. Важно помнить, что профилактика всегда проще и эффективнее, чем лечение уже возникших заболеваний.
Вопрос-ответ
Какие основные симптомы сиалолитиаза?
Основные симптомы сиалолитиаза включают боль и отек в области слюнной железы, особенно во время еды, сухость во рту, а также возможное выделение гноя или крови из слюнных протоков. В некоторых случаях может наблюдаться повышение температуры тела.
Как диагностируется слюннокаменная болезнь?
Диагностика сиалолитиаза обычно включает клинический осмотр, сбор анамнеза и использование визуализирующих методов, таких как ультразвуковое исследование или рентгенография, чтобы выявить наличие камней в слюнных железах.
Какие методы лечения применяются при сиалолитиазе?
Лечение сиалолитиаза может варьироваться в зависимости от размера и расположения камней. В некоторых случаях достаточно консервативного лечения, включая массаж железы и обильное питье для стимуляции слюноотделения. В более сложных случаях может потребоваться хирургическое вмешательство для удаления камней.
Советы
СОВЕТ №1
Регулярно посещайте стоматолога для профилактических осмотров. Это поможет выявить проблемы с слюнными железами на ранних стадиях и предотвратить развитие сиалолитиаза.
СОВЕТ №2
Увлажняйте слизистую рта, особенно если у вас есть склонность к сухости во рту. Пейте достаточное количество воды и используйте специальные увлажняющие спреи или жевательные резинки без сахара, чтобы стимулировать слюноотделение.
СОВЕТ №3
Следите за своим питанием. Избегайте слишком соленой или кислой пищи, которая может раздражать слюнные железы. Включите в рацион продукты, способствующие слюноотделению, такие как свежие фрукты и овощи.
СОВЕТ №4
Если вы заметили симптомы, такие как боль или отек в области челюсти, не откладывайте визит к врачу. Чем раньше начнется лечение, тем меньше вероятность осложнений и необходимость в хирургическом вмешательстве.

