Появление шарика под языком может вызывать беспокойство, так как это может быть признаком различных заболеваний. Такие образования имеют разные причины — от безобидных до серьезных. В этой статье рассмотрим возможные причины появления шарика, симптомы, на которые стоит обратить внимание, а также рекомендации по дальнейшим действиям и обследованиям. Эти знания помогут вам лучше ориентироваться в ситуации и принять обоснованные решения о здоровье.
Что это такое?
То, что может показаться странным шариком или пузырьком под языком, в медицине имеет разные названия, зависящие от внешнего вида и причин возникновения. Обычно такие образования сигнализируют о воспалении слизистой оболочки или органов ротовой полости.
Пациенты жалуются на прозрачные или кровяные пузырьки, мелкие высыпания или уплотнения на небе. Образования могут возникать на верхней части языка, под ним, на уздечке или в области перехода. С увеличением размера уплотнение меняет форму и цвет, становясь круглым, напоминая песочные часы или приобретая белый, синий или красный оттенок.
Возможные причины появления таких образований:
- ранула (киста слюнных желез);
- гематома;
- стоматит;
- доброкачественные опухоли;
- злокачественные новообразования;
- инфекционные заболевания ротовой полости.
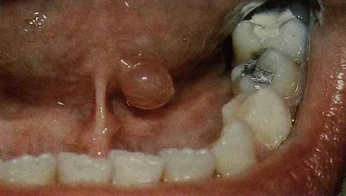
Наиболее распространенной является ранула — ретенционная киста. Она:
- располагается под слизистой оболочкой;
- чаще всего возникает под языком;
- небольшого размера;
- плотная и упругая на ощупь;
- содержит жидкость внутри;
- не вызывает болевых ощущений.
Ранула может периодически опорожняться при легком повреждении стенки, например, при контакте с зубами, но жидкость снова накапливается.
Цвет пузыря под языком может варьироваться:
- Прозрачная жидкость указывает на скопление слюнного секрета из-за закупорки протоков.
- Кровянистый цвет возникает из-за разрыва капилляров при травмах, оттенок может колебаться от светлого до темно-бордового.
- Синеватый цвет свидетельствует о застое венозной крови из-за механической травмы.
- Мутный, серый или белый цвет появляется из-за накопления гнойной жидкости, что может указывать на серьезные проблемы со здоровьем.
Для выяснения причины необходимо обратиться к специалисту и пройти диагностику. Самостоятельно определить и устранить проблему невозможно.
Если под языком образовался шарик, не стоит паниковать, но и игнорировать симптом нельзя. Важно обратить внимание на сопутствующие проявления: боль, отек, изменение цвета или выделения. Шарик может быть следствием воспаления слюнных желез, кисты или инфекции. Рекомендуется обратиться к стоматологу или отоларингологу для диагностики. Врач проведет осмотр и назначит дополнительные исследования, такие как УЗИ или рентген. Своевременное обращение за медицинской помощью поможет избежать осложнений и обеспечить правильное лечение. Не занимайтесь самолечением, это может усугубить ситуацию.
При появлении шарика под языком важно не паниковать, но и не игнорировать этот симптом. Эксперты рекомендуют в первую очередь обратить внимание на возможные причины. Это может быть воспаление слюнной железы, киста или даже инфекция. Важно провести самообследование: если шарик не исчезает в течение нескольких дней, сопровождается болью, отеком или изменением цвета языка, следует обратиться к врачу. Специалисты подчеркивают, что своевременная диагностика и лечение могут предотвратить осложнения. Врач может назначить УЗИ или другие исследования для точного определения причины. Не стоит заниматься самолечением, так как это может усугубить ситуацию.
https://youtube.com/watch?v=MXKgUNuDOLA
Фото
| Симптом | Возможная причина | Что делать |
|---|---|---|
| Маленький, безболезненный шарик под языком, мягкий на ощупь | Киста слюнной железы (раннула), липома (жировик) | Наблюдение, консультация стоматолога или хирурга. Возможно, потребуется пункция или удаление. |
| Большой, болезненный шарик под языком, покраснение, отек | Абсцесс (гнойное воспаление), воспаление слюнной железы | Немедленная консультация врача (стоматолога, хирурга). Возможно, потребуется антибиотики, хирургическое вмешательство, дренаж. |
| Шарик под языком, сопровождающийся затруднением дыхания, глотания | Опухоль, аллергическая реакция | Немедленная медицинская помощь (скорая помощь). |
| Шарик под языком, изменивший цвет или размер | Онкологическое заболевание (редко) | Немедленная консультация онколога. |
| Шарик под языком, появился после травмы | Гематома (скопление крови) | Наблюдение, при необходимости — консультация врача. |
Интересные факты
Вот несколько интересных фактов о том, что может означать появление шарика под языком и что с этим делать:
-
Слюнные железы: Одной из наиболее распространенных причин появления шарика под языком является закупорка слюнной железы. Это может произойти из-за образования камней или воспаления, что приводит к образованию болезненных или безболезненных уплотнений.
-
Лимфатические узлы: Шарик может быть увеличенным лимфатическим узлом, что часто указывает на инфекцию или воспалительный процесс в организме. Лимфатические узлы могут увеличиваться в ответ на различные заболевания, включая простуду или грипп.
-
Необходимость обращения к врачу: Если шарик под языком не проходит в течение нескольких дней, сопровождается болью, отеком или другими симптомами, важно обратиться к врачу. Специалист сможет провести диагностику и определить, требуется ли лечение, чтобы исключить более серьезные заболевания, такие как кисты или опухоли.
https://youtube.com/watch?v=GMi7r9oBTYg
Почему появился шарик под языком?
Когда пациент сообщает о пузыре на слизистой оболочке, врачам важно выяснить причину. Это упрощает диагностику. В ходе осмотра и беседы выделяются основные факторы, способствующие возникновению проблемы:
- Небольшие травмы в ротовой полости, вызванные неосторожным обращением с приборами или острыми предметами, такими как скорлупа орехов. Кисты могут образовываться из фиброзной ткани после операций. Также сюда относятся термические повреждения (ожоги) и воздействие химических веществ (уксус, соль, острые специи).
- Пробки в слюнных протоках, когда секрет не может выйти, накапливается и изменяет состав.
- Новообразования (доброкачественные и злокачественные), которые могут сжимать железу и препятствовать оттоку слюны.
- Инфекции, приводящие к воспалению тканей, образованию гноя, кист и другим патологиям.
- Системные или стоматологические заболевания, например, эпидемический паротит, который вызывает воспаление слюнных желез. Пузырь может возникнуть из-за запущенного стоматита, глоссита, герпеса, кандидоза, отита или гриппа.
Не установлено, что кисты возникают из-за плохой гигиены полости рта, курения, алкоголя или неправильного питания. Тем не менее, врачи иногда указывают на эти факторы как возможные причины новообразований.
Если пузырь — следствие кисты слюнных желез, на начальном этапе он может не вызывать дискомфорта. Однако при хронической форме уплотнение увеличивается, становится красным, его границы размыты, и оно может болеть.
В других случаях симптом может указывать на серьезные проблемы, такие как вторичный сифилис, пузырчатка или онкология. Если появляются головокружение, температура, учащенное сердцебиение, тошнота, одышка или боли в горле, необходимо обратиться к врачу.
Многие сталкиваются с образованием шарика под языком. Важно не паниковать и разобраться в причинах. Это может быть связано с воспалением слюнных желез, образованием кисты или аллергической реакцией. Образования могут возникать из-за травм или инфекций.
Мнения о действиях в такой ситуации различаются. Некоторые рекомендуют обратиться к стоматологу или отоларингологу, другие — полоскать рот солевым раствором или использовать антисептики. Самолечение может усугубить проблему, поэтому консультация специалиста — лучший вариант. Многие отмечают, что такие образования исчезают самостоятельно, но если шарик не проходит или вызывает дискомфорт, стоит обратиться к врачу.
Диагностика
Специалисту для того чтобы назначить адекватное лечение нужно обязательно уточнить диагноз. Обычно подобными образованиями во рту занимаются стоматологи. Для определения этиологии заболевания проводят:
- опрос пациента, узнают его жалобы, основные симптомы, наличие сопутствующих и хронических патологий;
- визуальный осмотр помогает определить локализацию новообразования, его внешний вид, состояние ротовой полости, инфекционные или воспалительные процессы стоматологического характера;
- биохимические анализы мочи, крови и пр.;
- сиалографию с контрастом для установления состояния слюнных желез и протоков;
- мазок-отпечаток или соскоб для идентификации патогенного возбудителя;
- пункцию кисты, чтобы исключить онкологию;
- иногда нужны дополнительно МРТ или КТ для определения того, насколько сильно распространился воспалительный процесс и затронуты ли окружающие ткани;
- УЗИ слюнных желез также разрешает оценить состояние данного органа и наличие патологий.
Важно дифференцировать ранулу от дермоидной кисты, гемангиомы, раковой опухоли, гематомы, липомы, слюнокаменной болезни, закупорки протоков, сиалоаденита, пузырчатки, сифилиса, гепатита и пр.
Методы лечения
В большинстве случаев новообразования требуют хирургического удаления. Ретенционная киста (ранула) при самостоятельном опорожнении снова накапливает жидкость, пока не будут удалены ее стенки.
Для удаления кисты выполняется небольшой разрез, дренируется полость и удаляются уплотненные ткани. Если киста большая или проблема серьезная, может потребоваться полное удаление слюнной железы.
После операции назначают антибиотики и противовоспалительные средства. Рекомендуются обезболивающие и полоскания антисептиками для быстрого заживления и предотвращения инфицирования.
При цистотомии края открытой полости зашивают, а на пораженный участок накладывают йодоморфный тампон на пять дней. В первые дни важно соблюдать щадящий режим и специальную диету, избегая курения, алкоголя, острой и горячей пищи, а также переходя на мягкие блюда комнатной температуры.
Иногда киста может появиться вновь, что указывает на хроническое течение заболевания и серьезные повреждения мягких тканей. Не следует заниматься самолечением и прокалывать пузырь острыми предметами, чтобы избежать инфицирования.
В клиниках предлагают альтернативные методы удаления ранулы:
- лазерное воздействие – аналогично традиционной операции, но с меньшими кровопотерями и более быстрым заживлением;
- криотерапия.
Если пузырь под языком вызван воспалением, врач может назначить:
- глюкокортикоидные гормоны (Преднизолон, Триамцинолон, Гидрокортизон);
- цитостатики (Метотрексат);
- антибиотики широкого спектра;
- иммуностимулирующие препараты с витаминами A, B, C и E;
- физиотерапевтические процедуры.
Выбор лечения зависит от причины образования и диагноза врача.
Что делать в домашних условиях?
Самостоятельно избавиться от кисты или опухоли не удастся. Но можно использовать народные средства как вспомогательный метод лечения в процессе восстановления после операции. Так, в плане заживления хорошо зарекомендовали себя такие рецепты:
- Сделать содо-солевой раствор. Для этого в 200 мл разбавляют по 1 ч. л. пищевой соды и соли. Данным средством полощут рот каждые несколько часов.
- Таким же образом применяют и отвары лекарственных трав (бузины, калины, листьев малины, шалфея, ромашки, дубовой коры, крапивы, календулы). 1 ст. л. сухих ингредиентов заливают стаканом горячей воды и настаивают около двух часов. Перед использованием желательно процедить.
- Существуют настойки эфирных масел, например, эвкалипта или хвойных деревьев. Для полоскания достаточно добавить 10-15 капель в жидкость.
- Хорошо помогают временно уменьшить новообразование примочки из прополиса или алоэ.
- Раствор Хлорофилипта или других аптечных антисептиков предотвращает инфицирование раны после операции. Для этого берут 1 ч. л. средства и разводят ее в стакане теплой воды.
- Также хорошо обеззараживает поверхность Хлоргексидин в виде спрея или раствора.
Но нужно понимать, что все эти средства не помогут избавиться от новообразования. Они лишь применяются временно, пока вы не можете попасть на прием к врачу или же после хирургического вмешательства с целью заживления раневой поверхности.
Видео: опухоль под языком.
https://youtube.com/watch?v=hYFeQnBliY0
Меры профилактики
Заболевания избежать полностью невозможно, но следуя рекомендациям, можно снизить риск их возникновения:
- Регулярно чистите зубы качественными средствами.
- Полоскайте рот антимикробными растворами после каждого приема пищи.
- Избегайте вредных привычек: не курите, не злоупотребляйте алкоголем, не грызите карандаши и ногти, не используйте зубы для открытия бутылок.
- Соблюдайте сбалансированное питание, выбирая полезные продукты.
- Не откладывайте лечение заболеваний, включая стоматологические. При утрате или удалении зубов заменяйте их как можно скорее ортодонтическими конструкциями.
- Избегайте хронических заболеваний. При первых признаках недомогания обращайтесь к врачу.
Когда обращаться к врачу?
Если вы заметили, что под языком появился шарик, важно не игнорировать этот симптом и внимательно отнестись к своему здоровью. Существует несколько ситуаций, когда необходимо незамедлительно обратиться к врачу:
- Если шарик не проходит в течение нескольких дней. Если образование сохраняется более недели, это может указывать на более серьезные проблемы, требующие медицинского вмешательства.
- При наличии боли или дискомфорта. Если шарик сопровождается болевыми ощущениями, отеком или затруднением при глотании, это может быть признаком воспалительного процесса или инфекции.
- Если вы заметили изменения в цвете или текстуре образования. Изменения могут указывать на то, что шарик требует дополнительного обследования. Например, если он становится более твердым, меняет цвет или начинает кровоточить.
- При наличии других симптомов. Если вы испытываете такие симптомы, как лихорадка, общее недомогание, увеличение лимфатических узлов или другие необычные проявления, это может свидетельствовать о системной инфекции или другом заболевании.
- Если у вас есть история заболеваний. Если вы ранее страдали от заболеваний полости рта, таких как стоматит, или у вас есть предрасположенность к онкологическим заболеваниям, важно сообщить об этом врачу.
Обратитесь к стоматологу или терапевту, который сможет провести необходимое обследование и, при необходимости, направить вас к специалисту. Не стоит заниматься самолечением или откладывать визит к врачу, так как это может привести к ухудшению состояния.
Помните, что ранняя диагностика и лечение могут значительно повысить шансы на успешное выздоровление и предотвратить развитие осложнений. Не забывайте следить за своим здоровьем и при возникновении любых подозрительных симптомов обращаться за медицинской помощью.
Вопрос-ответ
Каковы возможные причины появления шарика под языком?
Шарик под языком может возникнуть по нескольким причинам, включая воспаление слюнных желез, кисты, инфекции или даже травмы. Важно обратить внимание на сопутствующие симптомы, такие как боль, отек или изменения в слюноотделении, чтобы определить возможную причину.
Когда следует обратиться к врачу при появлении шарика под языком?
Если шарик не проходит в течение нескольких дней, увеличивается в размере, вызывает дискомфорт или сопровождается другими симптомами, такими как высокая температура или затрудненное глотание, необходимо обратиться к врачу. Специалист сможет провести осмотр и назначить необходимые исследования для установления точного диагноза.
Какие методы лечения могут быть применены для устранения шарика под языком?
Лечение зависит от причины появления шарика. В случае инфекции могут быть назначены антибиотики, при кистой может потребоваться хирургическое вмешательство, а воспаление слюнных желез может лечиться противовоспалительными средствами. Важно не заниматься самолечением и проконсультироваться с врачом для выбора правильного подхода.
Советы
СОВЕТ №1
Обратите внимание на симптомы. Если шарик под языком сопровождается болью, отеком или изменением цвета, это может указывать на воспаление или инфекцию. В таком случае стоит обратиться к врачу для диагностики.
СОВЕТ №2
Не пытайтесь самостоятельно выдавливать или прокалывать шарик. Это может привести к инфекции или усугублению проблемы. Лучше всего оставить его в покое и наблюдать за изменениями.
СОВЕТ №3
Поддерживайте гигиену полости рта. Регулярная чистка зубов и использование антисептических ополаскивателей помогут предотвратить инфекции и снизить риск появления новых образований.
СОВЕТ №4
Если шарик не проходит в течение нескольких дней или вызывает беспокойство, запишитесь на прием к стоматологу или врачу-отоларингологу. Профессиональная оценка поможет определить причину и назначить необходимое лечение.
