Временные коронки на зубы защищают и восстанавливают функциональность зубов до установки постоянного протеза. Они сохраняют эстетический вид улыбки, предотвращают смещение соседних зубов и обеспечивают комфорт при жевании. В статье рассмотрим виды временных коронок, их преимущества и недостатки, а также процесс установки и ухода за ними, что поможет читателям понять, как временные коронки могут улучшить качество жизни во время стоматологического лечения.
Что это такое?
При значительном разрушении зубной ткани, превышающем половину, необходимо протезирование. Выбор метода зависит от степени повреждения, его расположения и состояния оставшихся зубов. Варианты протезирования включают мосты, коронки, импланты и другие конструкции.
Потеря зуба может быть вызвана кариесом, износом, травмами или переломами. Стоматолог сначала попытается сохранить оставшуюся часть зуба с помощью пломбирования, однако при значительном разрушении пломба не сможет надежно удерживаться и будет выпадать.
В таких случаях принимается решение о постоянном протезировании. Процесс создания конструкции может занять несколько недель. Для решения эстетических задач и проблем, связанных с частичной потерей зубной ткани, устанавливаются временные коронки.
Стоматологи подчеркивают важность временных коронок в восстановлении зубов. Эти конструкции защищают обнаженные зубы и сохраняют их функциональность до установки постоянных коронок. Временные коронки изготавливаются из акриловых или композитных материалов, что делает их доступными и простыми в установке. Они помогают предотвратить смещение соседних зубов и поддерживают эстетику улыбки. Однако временные коронки требуют аккуратного обращения, так как они менее прочные и могут легко повредиться. Регулярные визиты к стоматологу для контроля состояния временной коронки необходимы для успешного завершения лечения.
Временные коронки на зубы играют важную роль в стоматологии, обеспечивая защиту и эстетику в период ожидания постоянного протеза. Эксперты отмечают, что такие коронки изготавливаются из различных материалов, включая акрил и композитные смолы, что позволяет выбрать оптимальный вариант в зависимости от клинической ситуации и пожеланий пациента. Временные коронки помогают сохранить зубы в правильном положении, предотвращая смещение соседних зубов и обеспечивая комфорт при жевании. Кроме того, они служат временной эстетической заменой, что особенно важно для передних зубов. Стоматологи подчеркивают, что правильная установка и уход за временными коронками способствуют успешному завершению лечения и повышают шансы на долговечность постоянного протеза.
https://youtube.com/watch?v=2S2wEH2yQsk
Зачем ставят временные коронки?
Причины, по которым целесообразно установить такие конструкции, довольно важные для здоровья полости рта:
- Эстетичная проблема хоть и не является частью сохранения здоровья, все же влияет на психологическое состояние человека. Гораздо легче общаться с людьми, зная, что внешний вид улыбки соответствует норме.
- В случае когда нерв из обточенного зуба не удален, наличие провизорной коронки помогает уберечь от болезненных ощущений в процессе эксплуатации.
- Происходит защита от нарастания десны, которая в случае уменьшения зубной ткани быстро заполняет свободное место и впоследствии может мешать качественному протезированию.
- Даже временная коронка способна защитить обточенный зуб от атаки микроорганизмов. Ведь с него снята вся эмаль и большая часть твердой ткани, что делает оставшуюся единицу весьма уязвимой.
- Наличие такой конструкции помогает спасти ее и от раскачивания и выпадения. А также не дает «соседям» смещаться в сторону пустующего места. Ведь уменьшенная часть зуба освобождает значительное пространство, а сама теряет опору, что приводит к неустойчивости его положения.
- Происходит естественный процесс адаптации к наличию будущего протеза, который займет место провизорной коронки. Таким образом, время привыкания значительно сокращается.
- Восстанавливается дикция. Отсутствие промежутков делает речь правильной, исчезают лишние звуки, шипение и свист при разговоре.
- Заполнение пространства зубного ряда способствует более качественному пережевыванию пищи. При этом достигается полное восстановление его функциональности.
Все выделенные преимущества провизорных коронок дают основание предполагать, что такая конструкция будет более чем необходимой и пренебрегать ее установкой не следует. По этим же соображениям устанавливают временную коронку на имплант. Тем более что она помогает десне лучше и правильней сформироваться.
| Тип временной коронки | Преимущества | Недостатки |
|---|---|---|
| Акриловая коронка | Быстрое изготовление, недорогая, комфортная | Низкая прочность, подвержена окрашиванию, короткий срок службы |
| Металлическая коронка | Высокая прочность, долговечность | Менее эстетичная, может вызывать аллергические реакции |
| Композитная коронка | Эстетичная, относительно прочная | Более дорогая, чем акриловая, требует точной подгонки |
Интересные факты
Вот несколько интересных фактов о временных коронках на зубы:
-
Временные коронки как промежуточное решение: Временные коронки, также известные как временные протезы, используются для защиты зуба после его обточки и до установки постоянной коронки. Они помогают сохранить эстетику улыбки и функциональность зуба, предотвращая его смещение и защищая от инфекции.
-
Материалы для временных коронок: Временные коронки могут быть изготовлены из различных материалов, включая акрил, композитные смолы и металл. Акриловые коронки часто используются из-за их легкости и простоты в изготовлении, однако они менее прочные, чем постоянные коронки.
-
Влияние на здоровье зубов: Правильно установленные временные коронки могут предотвратить осложнения, такие как воспаление десен или повреждение соседних зубов. Однако если временная коронка не фиксируется должным образом или повреждается, это может привести к проблемам, таким как кариес или инфекция, поэтому важно следить за состоянием временного протеза и регулярно посещать стоматолога.
https://youtube.com/watch?v=EnI7WedJtvM
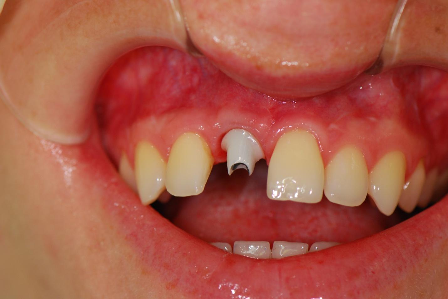
Фото до и после
Временные коронки на зубах — важный этап в стоматологическом лечении. Они помогают сохранить привлекательный внешний вид улыбки до установки постоянных конструкций. Пациенты отмечают, что временные коронки уменьшают дискомфорт и чувствительность, защищая обнаженные зубы. Однако важно тщательно ухаживать за ними, чтобы избежать повреждений или выпадения. Некоторые пациенты считают временные коронки менее удобными, чем постоянные, и отмечают необходимость дополнительных корректировок. В целом, временные коронки играют ключевую роль в восстановлении зубов, обеспечивая комфорт до установки окончательных конструкций.
Плюсы и минусы
Плюсами можно назвать все те причины, по которым устанавливают временные коронки. Это и защита зуба, и помощь в протезировании, и эстетическая составляющая. Кроме того, за счет простоты материала и скорости их создания, цена на подобные коронки значительно ниже.
- Короткий срок службы.
- Пористость материала, что приводит к быстрому окрашиванию от различных напитков или еды.
- При неграмотном уходе возможно проникновение инфекции.
Такие минусы не являются существенными, так как провизорные коронки выбираются не на длительный период, а только до установки постоянного протеза.
https://youtube.com/watch?v=Za39leAyuQk
Материалы для изготовления
Временная коронка должна соответствовать следующим критериям:
- Использование самотвердеющего вещества.
- Простота и удобство моделирования формы.
- Низкая аллергенность и токсичность материала.
- Достаточная прочность для ежедневного использования.
- Возможность корректировки в процессе эксплуатации.
- Легкость снятия при замене на постоянный протез.
- Быстрота изготовления.
Стоимость временной коронки должна оставаться доступной. Материалы, такие как зуботехническая пластмасса и акрил, полностью соответствуют этим требованиям и часто применяются для временных конструкций. Популярным акриловым материалом является Люксатемп.
Способы изготовления
Чаще всего используют два основных метода создания временных коронок. Это прямой и непрямой варианты. Опишем детальней каждый из таких процессов. Прямой способ предполагает:
- В день обращения пациента делают изначальный слепок из силикона. При этом охватывают и сам зуб, на который ставится временная коронка, его «соседей» и противоположные единицы.
- Такой материал быстро затвердевает. В это время врач обрабатывает зуб.
- В затвердевший силикон заливают пластик и сразу надевают его на будущее место расположения. При этом происходит процесс холодной полимеризации.
- Через некоторое время слепок снимают, а на зубе остается затвердевший пластик нужного размера.
- В конце стоматолог обтачивает материал, шлифует и полирует его для создания более естественной формы коронки и удобства ее использования. Конструкция крепится с помощью временного цемента.
Вся процедура может занять не дольше часа, что очень удобно пациенту. Непрямой метод предполагает длительный период производства коронки, но она окажется прочной и точной. Этапы создания временной конструкции по непрямому способу:
- Врач делает слепки челюсти пациента из той же силиконовой массы.
- Далее в специальной зуботехнической лаборатории создают гипсовые модели и тщательно их изучают, сопоставляя работу всего зубного ряда.
- С помощью воска создают временную конструкцию, максимально корректируя для удобства эксплуатации.
Каким бы методом ни делали такой протез, его фиксируют с помощью такого цемента, который легко крошится и со временем вымывается слюной. Это дает возможность быстро снять конструкцию при ее замене на постоянную.
Особенности ухода
Чтобы обеспечить долговечность и эффективность защитных функций от инфекций, следует соблюдать гигиенические рекомендации:
- Протезы и зубы нужно чистить ежедневно, обрабатывая конструкцию осторожно, без чрезмерного давления.
- Избегайте клейких и твердых продуктов, которые могут повредить или отклеить коронку.
- При использовании зубной нити измените движения: опуская нить вниз, вытаскивайте ее, отпуская один конец в сторону от лица.
Сколько можно носить временные коронки?
Провизорные коронки не рекомендуется эксплуатировать слишком долго. Их создают только на тот период, пока зуботехник производит постоянный протез. Если предполагается носить временные коронки сколько они держатся, то это неправильно.
Ведь при хорошем ее создании, а также аккуратном использовании она может продержаться намного дольше ожидаемого срока.
Что делать при выпадении?
Если временная коронка слетела, важно вернуть ее на место хотя бы на короткий срок, чтобы избежать повреждений и инфекций обточенного зуба. Главное — как можно скорее записаться к стоматологу. Специалист либо надежно закрепит коронку, либо изготовит новую.
Если коронка не держится даже после повторной попытки, можно временно зафиксировать ее с помощью зубной пасты или вазелина, нанеся средство на внутреннюю сторону коронки. Однако этот способ подходит лишь на один-два дня. Визит к врачу необходим.
Сколько стоят?
Стоимость временных протезов намного ниже постоянных за счет более простого материала, который используется для их создания. Обычно это 1500-2000 рублей, но может быть и дешевле или дороже, в зависимости от клиники, в которой собираетесь проводить лечение.
Видео: для чего нужны временные коронки?
Отзывы
Анита:
Я долго ждала металлокерамическую коронку. Ходить на работу и общаться с людьми с обточенным зубом было неприятно и неэстетично. Врач установил временную коронку из акрила. Если бы она была прочнее, я бы носила ее постоянно, так как выглядела она очень похоже на натуральные зубы. К сожалению, этот материал не предназначен для длительного использования.
Виктория:
Я долго не соглашалась на постоянный протез, понимая, что его изготовление занимает время, а ходить с пробелами в зубах не хотелось. Однако врач убедил меня, что сразу после обточки установит временную конструкцию, которая будет выглядеть как мои собственные зубы. Я не верила, что это возможно, но он сдержал обещание, и не было заметно, что что-то изменилось во рту за время визита к стоматологу. Процедура прошла быстро и безболезненно, что для меня важно.
Максим:
Я не хотел тратить деньги на временный протез, так как постоянный обошелся недешево. Но врач объяснил, что это необходимо, ведь обточенный зуб, хоть и не заметен, остается уязвимым для инфекций и кариеса. Это убедило меня в необходимости временной защиты. К счастью, пластиковая коронка стоила разумно.
Дополнительные вопросы
► Нужны ли временные коронки при имплантации?
Пока приживается имплант к десне, лучше также установить временную коронку, так как она поможет формированию мягких тканей вокруг импланта. Кроме того, эта мера позволит сохранить внешний вид улыбки на все то время, пока будет проходить процесс заживления и создания искусственного зуба.
► Проглотил временную коронку со штифтом – что делать?
Беспокоиться особо не стоит, так как материал нетоксичен и безвреден для организма. Естественным путем через некоторое время все само выйдет. Но вот обратиться к стоматологу и установить новую конструкцию все же стоит.
► Отличие временного протеза от временной коронки
Коронка является одним из видов протезов, которые устанавливают пациенту. Но они могут быть самыми разными – съемными и несъемными, на один зуб или сразу целый ряд. Провизорная коронка отличается тем, что ее устанавливают только на одну единицу, и она является несъемной.
► Могут ли болеть зубы под временными зубными коронками?
Если процедура протезирования была проведена правильно, а перед установкой конструкции качественно пролеченный зуб, то боли быть не должно. В случае если возникают болезненные ощущения, то это может означать продолжение инфицирования ткани. Во избежание ухудшения следует обратиться к стоматологу. Он снимет временную коронку и обнаружит причину такого явления.
► Отличается ли она от постоянной?
Вся разница в качестве и прочности материалов, которые используются для их установки. Для временных коронок выбирают пластмасс или акрил, а цемент для фиксации берут такой, что легко растворяется под воздействием слюны. Дольше нескольких месяцев эта конструкция прослужить не сможет. А вот постоянные протезы делаются из высококачественных материалов, рассчитанных на эксплуатацию на протяжении многих лет.
Процесс установки временных коронок
Установка временных коронок — это важный этап в стоматологическом лечении, который позволяет защитить зубы и восстановить их функциональность до установки постоянных коронок. Процесс установки временных коронок включает несколько ключевых этапов, каждый из которых требует внимательного подхода и профессионализма со стороны стоматолога.
Первым шагом является подготовка зуба. Стоматолог проводит осмотр и, если необходимо, выполняет лечение кариеса или других заболеваний зуба. После этого зуб обрабатывается, чтобы создать оптимальную форму для установки коронки. Это может включать обтачивание зуба, чтобы он стал более узким и подходил под форму коронки.
Следующий этап — снятие слепка. Стоматолог использует специальные материалы для создания точного слепка подготовленного зуба. Этот слепок необходим для изготовления временной коронки, которая будет идеально соответствовать форме и размеру зуба. В некоторых случаях используются цифровые технологии, которые позволяют создать 3D-модель зуба и коронки.
После снятия слепка стоматолог изготавливает временную коронку. Она может быть выполнена из различных материалов, таких как акрил или композит, и обычно имеет менее эстетичный вид по сравнению с постоянными коронками. Тем не менее, временные коронки должны быть достаточно прочными, чтобы выдерживать жевательные нагрузки и защищать зуб до установки постоянной коронки.
Когда временная коронка готова, стоматолог устанавливает её на подготовленный зуб. Для этого используется специальный цемент, который обеспечивает надежную фиксацию коронки. Важно, чтобы временная коронка была установлена правильно, чтобы избежать дискомфорта и обеспечить нормальное функционирование зуба.
После установки временной коронки стоматолог проводит контрольный осмотр, чтобы убедиться, что коронка правильно сидит и не вызывает дискомфорта. Пациенту также предоставляются рекомендации по уходу за временной коронкой, включая советы по питанию и гигиене полости рта.
Временные коронки обычно устанавливаются на срок от нескольких дней до нескольких недель, в зависимости от времени, необходимого для изготовления постоянной коронки. Важно помнить, что временные коронки не предназначены для длительного использования, и их следует заменять на постоянные коронки в установленный срок.
Таким образом, процесс установки временных коронок включает в себя несколько этапов, каждый из которых играет важную роль в обеспечении здоровья зубов и успешного завершения стоматологического лечения.
Вопрос-ответ
Как долго можно носить временные коронки?
Временные коронки обычно предназначены для краткосрочного использования, и их рекомендуется носить от нескольких дней до нескольких недель, пока не будет установлена постоянная коронка. Важно следовать рекомендациям стоматолога и не превышать этот срок, чтобы избежать возможных осложнений.
Как ухаживать за временной коронкой?
Уход за временной коронкой включает в себя регулярную гигиену полости рта: чистку зубов дважды в день и использование зубной нити. Также следует избегать жесткой пищи и чрезмерного давления на коронку, чтобы не повредить ее или не сместить.
Что делать, если временная коронка выпала?
Если временная коронка выпала, важно как можно скорее обратиться к стоматологу для ее повторной установки. Не пытайтесь приклеить коронку самостоятельно, так как это может привести к повреждениям зуба или десны. В ожидании визита к врачу можно временно использовать зубной цемент, если он есть под рукой.
Советы
СОВЕТ №1
Перед установкой временной коронки обязательно обсудите с вашим стоматологом все возможные варианты и материалы. Это поможет выбрать наиболее подходящий вариант, учитывая ваши индивидуальные потребности и бюджет.
СОВЕТ №2
Следите за гигиеной полости рта даже с временной коронкой. Чистите зубы дважды в день и используйте зубную нить, чтобы предотвратить накопление бактерий и избежать воспалений.
СОВЕТ №3
Избегайте жесткой и липкой пищи, пока временная коронка находится на месте. Это поможет предотвратить ее повреждение или смещение, что может привести к дополнительным затратам на лечение.
СОВЕТ №4
Регулярно посещайте стоматолога для контроля состояния временной коронки. Это позволит своевременно выявить возможные проблемы и избежать осложнений, связанных с основным зубом.
