Зубные импланты стали распространенным решением для восстановления утраченных зубов, но иногда пациенты сталкиваются с отторжением импланта. Важно понимать признаки и причины этого явления для своевременной диагностики и предотвращения осложнений. В статье рассмотрим симптомы, указывающие на отторжение импланта, и факторы, способствующие этому процессу. Эти знания помогут пациентам и стоматологам принимать обоснованные решения для успешного восстановления зубного ряда.
Как долго приживается зубной имплант?
Давайте разберемся, сколько времени потребуется, чтобы титановый имплант начал функционировать как естественный корень зуба и не вызывал дискомфорта. Время приживления зависит от челюсти, на которой проводилась операция:
-
Нижняя челюсть – приживление занимает от 2 до 4 месяцев благодаря хорошему кровоснабжению и достаточному объему кости. Имплант редко вызывает отторжение и не влияет на окружающие ткани. Целостность челюсти сохраняется, а раны заживают быстрее.
-
Верхняя челюсть – процесс может занять до шести месяцев. Строение верхней челюсти сложнее, рядом с имплантатом находятся чувствительные органы, такие как гайморовые и носовые пазухи. Она более хрупкая и имеет менее развитое кровоснабжение, что приводит к частым осложнениям и более длительному приживлению.
Процесс реабилитации также зависит от общего состояния здоровья пациента, индивидуальных особенностей организма и качества работы врача.
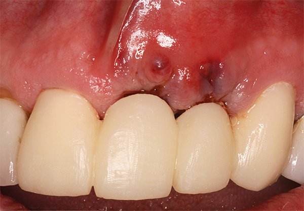
Отторжение зубного импланта может проявляться через боль, отек и покраснение в области имплантации. Пациенты могут испытывать дискомфорт при жевании или замечать подвижность импланта. Основной причиной отторжения является инфекция, возникающая из-за недостаточной гигиены или несоблюдения рекомендаций врача. Также важны индивидуальные особенности, такие как аллергические реакции или аутоиммунные заболевания. Неправильное размещение импланта и недостаточная остеоинтеграция могут привести к неудаче процедуры. Врачи подчеркивают необходимость тщательного обследования и соблюдения рекомендаций для минимизации рисков.
Эксперты в области стоматологии отмечают, что отторжение зубного импланта может быть вызвано несколькими ключевыми факторами. Основные признаки, указывающие на возможные проблемы, включают боль, отек и подвижность импланта. Эти симптомы могут свидетельствовать о воспалении или инфекции в области установки. Причинами отторжения могут быть как недостаточная остеоинтеграция, так и аллергические реакции на материалы импланта. Неправильный уход за полостью рта, а также наличие системных заболеваний, таких как диабет, также могут негативно сказаться на успешности имплантации. Важно, чтобы пациенты следовали рекомендациям стоматолога и регулярно проходили контрольные осмотры для предотвращения осложнений.
https://youtube.com/watch?v=dFAN3H3lu3c
Причины отторжения импланта зуба
Почему у одних людей искусственные корни легко приживаются даже при установке сразу нескольких стержней, а у других проблемы возникают сразу после первого хирургического вмешательства?
Постараемся более подробно описать основные факторы, провоцирующие такое явление. Их в основном можно разделить на те, которые зависят от качества работы стоматолога и причины, связанные со здоровьем или неправильными действиями пациента.
- краткосрочные – наблюдаются неприятные симптомы уже с первых дней установки штифта, даже когда еще не зафиксирована коронка – верхняя часть искусственного зуба;
- среднесрочные – отторжение происходит в первые два года после хирургического вмешательства;
- долгосрочные – проблемы случаются намного позже.
Отторжение зубного импланта — это тема, которая вызывает много обсуждений среди пациентов и стоматологов. Многие люди отмечают, что основными признаками проблемы являются боль, отек и дискомфорт в области импланта. Некоторые пациенты сообщают о том, что чувствуют, как имплант «шатается», что может свидетельствовать о недостаточной интеграции с костной тканью. Причины отторжения могут быть разнообразными: от инфекций и аллергических реакций до недостаточной гигиены полости рта и неправильного выбора материала импланта. Также важно учитывать индивидуальные особенности организма, такие как наличие хронических заболеваний или курение, которые могут негативно сказаться на процессе заживления. Многие стоматологи подчеркивают важность тщательной диагностики и подготовки перед установкой импланта, чтобы минимизировать риск отторжения и обеспечить долгосрочный успех лечения.
| Признак отторжения имплантата | Возможная причина отторжения | Методы диагностики |
|---|---|---|
| Боль, отек, покраснение десен вокруг имплантата | Инфекция, недостаточная остеоинтеграция, перегрузка имплантата | Визуальный осмотр, рентгенография, анализ крови |
| Подвижность имплантата | Недостаточная остеоинтеграция, перегрузка имплантата, травма | Визуальный осмотр, рентгенография, перкуссия |
| Гнойные выделения из десен вокруг имплантата | Инфекция, периимплантит | Визуальный осмотр, микробиологический анализ |
| Потеря чувствительности в области имплантата | Повреждение нерва во время операции | Визуальный осмотр, электронейромиография |
| Резорбция костной ткани вокруг имплантата | Недостаточная остеоинтеграция, периимплантит, перегрузка имплантата | Рентгенография, компьютерная томография |
| Отсутствие остеоинтеграции (на рентгеновском снимке) | Недостаточное количество костной ткани, курение, сахарный диабет, несоблюдение гигиены полости рта | Рентгенография, компьютерная томография |
Интересные факты
Вот несколько интересных фактов о признаках и причинах отторжения зубного импланта:
-
Иммунный ответ организма: Отторжение зубного импланта может быть связано с иммунным ответом организма. В некоторых случаях, когда имплант воспринимается как чуждый объект, иммунная система может начать атаковать его, что приводит к воспалению и потере костной ткани вокруг импланта. Это может произойти из-за индивидуальных особенностей организма или наличия аллергии на материалы, из которых изготовлен имплант.
-
Качество костной ткани: Одной из основных причин неудачи имплантации является недостаточное качество или количество костной ткани. Если кость не обладает достаточной плотностью или объемом, имплант может не прижиться. Это подчеркивает важность предварительной оценки состояния челюстной кости и, при необходимости, проведения процедур по ее наращиванию.
-
Инфекции и гигиена: Инфекции в области имплантации могут привести к отторжению. Неправильная гигиена полости рта или несоблюдение рекомендаций стоматолога после операции могут способствовать развитию инфекций. Исследования показывают, что пациенты, которые активно следят за гигиеной и регулярно посещают стоматолога, имеют значительно меньший риск отторжения имплантов.
https://youtube.com/watch?v=varQp0BMdQ0
Некачественна работа специалиста во время процедуры имплантации
- использование устаревших инструментов и некачественного оборудования;
- недостаточная антисептическая обработка поверхностей;
- выполнение операции разными специалистами на разных этапах имплантации, когда второй врач не знает о состоянии пациента и проведённых манипуляциях;
- нарушение протокола процедуры и неоправданные изменения в последовательности действий;
- игнорирование важной информации о здоровье пациента и легкомысленное отношение к противопоказаниям.
Неправильный уход за имплантом после операции
После установки зубного импланта правильный уход за ним является ключевым фактором для его успешной интеграции и долгосрочной службы. Неправильный уход может привести к различным осложнениям, включая отторжение импланта. Важно понимать, что уход за имплантом начинается сразу после операции и продолжается на протяжении всей жизни импланта.
Одной из основных причин отторжения импланта является недостаточная гигиена полости рта. После операции необходимо тщательно следить за чистотой имплантированной области, чтобы предотвратить накопление бактерий и образование налета. Рекомендуется использовать мягкую зубную щетку и специальные ополаскиватели, которые помогут избежать воспаления десен и инфекции.
Кроме того, важно избегать агрессивных методов чистки, таких как использование жестких щеток или зубных паст с абразивными частицами, которые могут повредить поверхность импланта и окружающих тканей. Также стоит обратить внимание на использование зубной нити или интердентальных щеток для очистки труднодоступных мест.
Неправильное питание также может негативно сказаться на состоянии импланта. Употребление слишком жесткой или липкой пищи в первые недели после операции может привести к механическим повреждениям импланта или его несостоятельности. Рекомендуется придерживаться мягкой диеты и избегать продуктов, которые могут вызвать дискомфорт.
Курение является еще одной важной причиной, способствующей отторжению импланта. Никотин негативно влияет на кровообращение и замедляет процесс заживления, что может привести к недостаточной остеоинтеграции – процессу слияния импланта с костной тканью. Поэтому, если возможно, стоит отказаться от курения на период восстановления и, желательно, навсегда.
Регулярные визиты к стоматологу также играют важную роль в уходе за имплантом. Профессиональная чистка и осмотр помогут выявить возможные проблемы на ранней стадии и предотвратить их развитие. Стоматолог сможет дать рекомендации по уходу и при необходимости назначить дополнительные процедуры для поддержания здоровья импланта.
В заключение, правильный уход за зубным имплантом после операции включает в себя регулярную гигиену полости рта, соблюдение рекомендаций по питанию, отказ от вредных привычек и регулярные визиты к стоматологу. Игнорирование этих аспектов может привести к серьезным последствиям, включая отторжение импланта, что подчеркивает важность комплексного подхода к уходу за зубными имплантами.
https://youtube.com/watch?v=RByrRtsr-lE
Вопрос-ответ
Какие основные признаки отторжения зубного импланта?
Основные признаки отторжения зубного импланта могут включать боль в области импланта, отек десны, покраснение, выделения из десны и подвижность импланта. Если вы заметили один или несколько из этих симптомов, важно обратиться к стоматологу для диагностики и лечения.
Что может вызвать отторжение зубного импланта?
Отторжение зубного импланта может быть вызвано несколькими факторами, включая инфекцию в области имплантации, недостаточное качество костной ткани, аллергические реакции на материалы импланта, а также неправильный уход за имплантом. Важно следовать рекомендациям стоматолога и регулярно проходить контрольные осмотры.
Как можно предотвратить отторжение зубного импланта?
Для предотвращения отторжения зубного импланта необходимо соблюдать гигиену полости рта, регулярно посещать стоматолога, избегать курения и следить за состоянием здоровья, особенно при наличии хронических заболеваний. Также важно правильно выбрать клинику и специалиста для проведения процедуры имплантации.
Советы
СОВЕТ №1
Обязательно выбирайте квалифицированного стоматолога для установки импланта. Опыт и профессионализм врача играют ключевую роль в успешности процедуры и минимизации риска отторжения.
СОВЕТ №2
Следите за состоянием своего здоровья перед операцией. Хронические заболевания, такие как диабет или заболевания сердца, могут увеличить риск отторжения импланта, поэтому важно проконсультироваться с врачом.
СОВЕТ №3
Соблюдайте рекомендации по уходу за имплантом после операции. Правильная гигиена полости рта и регулярные визиты к стоматологу помогут предотвратить инфекции и другие осложнения, которые могут привести к отторжению.
СОВЕТ №4
Обратите внимание на сигналы своего организма. Если вы заметили отек, боль или другие необычные симптомы в области импланта, немедленно обратитесь к стоматологу для диагностики и лечения.
