Аллергия на зубные импланты — редкое, но серьезное состояние, возникающее у некоторых пациентов после установки. Первые признаки аллергической реакции могут включать зуд, отек или воспаление в области импланта. Важно уметь распознавать эти симптомы и знать, как действовать при их появлении. Эта статья поможет понять, на что обращать внимание и какие шаги предпринять для минимизации рисков и поддержания здоровья полости рта.
Симптомы аллергии на зубные импланты
Стоматологи отмечают, что сегодня практически исключена несовместимость материалов для зубных протезов с человеческим организмом. В производстве имплантатов чаще используют титан, диоксид циркония и золото, которые обладают высокой инертностью и не вызывают негативных реакций.
Однако в сплавах этих материалов могут быть примеси, что может вызвать аллергические реакции у 4% пациентов с повышенной чувствительностью.
Некоторые стоматологи, стремясь снизить стоимость имплантации, могут предлагать менее качественные материалы, такие как никель, хром, кобальт и нержавеющая сталь. Их использование в медицине становится редким, но такие случаи все же встречаются.
Симптомы аллергической реакции включают:
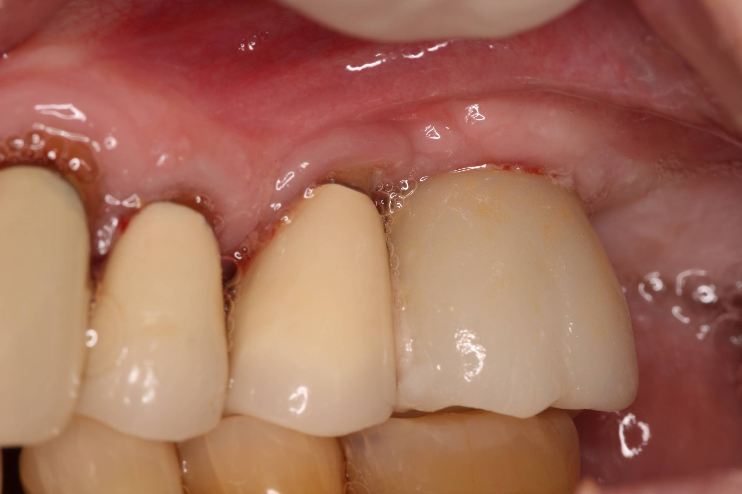
— покраснение мягких тканей, не исчезающее через 2-3 дня после операции;
— высыпания в ротовой полости и на коже;
— отечность языка, щек и губ;
— зуд и крапивницу;
— общую слабость;
— болезненные ощущения, не связанные с процедурой;
— сухость или чрезмерное слюноотделение;
— першение в горле;
— жжение в области импланта;
— металлический или кислый привкус;
— повышение температуры;
— сухой кашель;
— изменение вкусовых ощущений;
— в крайних случаях – отек Квинке и удушье.
Симптомы могут проявляться в первую неделю после установки импланта и усиливаться из-за коррозийных процессов на поверхности материала при контакте со слюной. Аллергия развивается по аккумулятивному принципу: вредные вещества накапливаются в тканях и могут нарушить работу органов.
Похожие реакции могут возникать на импланты, контактирующие с несовместимыми зубными изделиями, такими как коронки или пломбы.
Чтобы избежать проблем, перед имплантацией необходимо провести пробы на все материалы сплава. Установив наличие или отсутствие реакции, можно принимать решение о процедуре.
Первые признаки аллергии могут проявляться покраснением, отеком десен, зудом или высыпаниями в области имплантата. Эти симптомы могут возникнуть в течение нескольких дней или недель после установки. Важно не игнорировать такие реакции, так как они могут указывать на непереносимость материалов. При появлении симптомов следует обратиться к стоматологу для обследования и, при необходимости, замены импланта. Врачи также советуют заранее обсудить возможные аллергические реакции на материалы, чтобы минимизировать риски.
Эксперты в области стоматологии и аллергологии подчеркивают, что первые признаки аллергии на зубные импланты могут проявляться в виде покраснения, отека десен, зуда или даже высыпаний в области рта. Эти симптомы могут возникнуть в течение нескольких дней или недель после установки импланта. Важно не игнорировать такие проявления, так как они могут указывать на непереносимость материалов, из которых изготовлены импланты, чаще всего это титан или его сплавы.
При возникновении подозрительных симптомов специалисты рекомендуют незамедлительно обратиться к стоматологу для диагностики. Врач может провести аллергические пробы или назначить дополнительные исследования, чтобы подтвердить или опровергнуть диагноз. В случае подтверждения аллергии может потребоваться удаление импланта и замена его на альтернативный материал, например, на керамический. Правильное и своевременное обращение к специалистам поможет избежать серьезных осложнений и сохранить здоровье пациента.
https://youtube.com/watch?v=ndKDPBbVnAY
Фото
| Признак аллергии на зубной имплант | Возможные симптомы | Действия |
|---|---|---|
| Аллергический контактный дерматит | Покраснение, зуд, отечность десен вокруг импланта, образование пузырьков, шелушение кожи | Немедленно обратиться к стоматологу-имплантологу. Прекратить использование любых ополаскивателей для полости рта и зубных паст, которые могли вызвать реакцию. Возможно назначение противоаллергических мазей или кремов. |
| Имплантат-ассоциированный мукозит | Воспаление слизистой оболочки вокруг импланта, покраснение, кровоточивость десен, боль | Обратиться к стоматологу для профессиональной чистки и оценки состояния импланта. Возможно назначение противовоспалительных препаратов. |
| Периимплантит | Воспаление тканей вокруг импланта, гнойные выделения, потеря костной ткани, сильная боль, подвижность импланта | Немедленное обращение к стоматологу-имплантологу. Возможно потребуется хирургическое вмешательство, антибиотикотерапия. В запущенных случаях – удаление импланта. |
| Системная аллергическая реакция (редко) | Сыпь, крапивница, отек Квинке, затрудненное дыхание, анафилактический шок | Немедленно вызвать скорую помощь. Это опасное для жизни состояние, требующее неотложной медицинской помощи. |
Интересные факты
Вот несколько интересных фактов о первых признаках аллергии на зубные импланты и о том, как себя вести в этой ситуации:
-
Материалы имплантов: Зубные импланты чаще всего изготавливаются из титана или его сплавов, которые считаются биосовместимыми. Однако у некоторых людей может развиться аллергия на титан или другие компоненты, такие как никель, который иногда используется в сплавах. Первые признаки аллергии могут проявляться в виде воспаления, покраснения или отека в области импланта.
-
Симптомы аллергической реакции: Первые признаки аллергии на зубные импланты могут включать зуд, сыпь, отек десен и даже неприятный запах изо рта. Важно обращать внимание на эти симптомы, так как они могут указывать на не только аллергическую реакцию, но и на инфекцию или отторжение импланта.
-
Что делать в случае подозрения на аллергию: Если вы заметили первые признаки аллергии, важно немедленно обратиться к стоматологу или врачу-аллергологу. Они могут провести тесты на аллергию и предложить альтернативные материалы для имплантации. Не стоит игнорировать симптомы, так как это может привести к более серьезным осложнениям, включая необходимость удаления импланта.
Эти факты подчеркивают важность внимательного отношения к своему здоровью и необходимости консультации с медицинскими специалистами при возникновении любых необычных симптомов.
https://youtube.com/watch?v=fqI4DdL8ivI
Диагностика и лечение
Если через 2-3 дня после операции покраснение, болезненность и отечность не уменьшаются, а неприятные ощущения усиливаются, обратитесь к стоматологу. Врач на основе внешних проявлений и жалоб определит проблему и дальнейшие действия.
Аллергическая реакция на некачественные металлические сплавы может ухудшить общее состояние организма, поэтому ее нельзя игнорировать. Для лечения могут применяться:
- антигистаминные препараты (Цетрин, Зодак, Эриус, Супрастин, Тавегил, Диазолин) для облегчения симптомов аллергии;
- противовоспалительные средства;
- щадящая диета с исключением аллергенов (шоколад, орехи, цитрусовые, мед и др.);
- народные средства для борьбы с кожными высыпаниями, такие как примочки из содового раствора, яблочного сока, картофеля, отваров ромашки и череды.
Чаще всего единственным решением становится повторное хирургическое вмешательство с удалением импланта. Взамен можно выбрать более качественные и биоинертные материалы, но только после исчезновения всех симптомов аллергии и улучшения состояния здоровья.
В некоторых случаях, если удалить неподходящий имплант невозможно, назначают постоянный прием Преднизолона.
Первые признаки аллергии на зубные импланты
Первые признаки аллергии могут проявляться покраснением, зудом или отеком десен. Некоторые пациенты отмечают дискомфорт или боль, что может свидетельствовать о реакции на материалы импланта. Эти симптомы требуют внимательного отношения, хотя не всегда указывают на аллергию.
Если вы заметили подобные проявления, немедленно обратитесь к стоматологу. Специалист проведет осмотр и, при необходимости, назначит аллергологическое тестирование. Не занимайтесь самолечением и не игнорируйте симптомы, так как это может привести к осложнениям. Сообщите врачу о наличии аллергий на другие материалы для подбора подходящего импланта. Своевременное обращение за помощью поможет избежать проблем и обеспечит комфортное использование зубных имплантов.
https://youtube.com/watch?v=_Dh20VV2qP0
Как правильно выбрать зубные импланты?
Чтобы не возникало вопроса, может ли быть аллергия на зубные импланты, следует грамотно подходить к выбору изделий и самой клиники, где будет проводиться процесс вживления. Важно найти квалифицированного врача, который работает только с качественным материалом, проверенными производителями и прошел специальные курсы по установке определенного вида конструкций.
При выборе подходящих имплантов нужно обращать внимание на такие факторы:
- состав используемого сплава, способ обработки стержня;
- скорость и уровень вживления штифта в костную ткань;
- гарантии от производителя;
- подтверждение заявленных сроков эксплуатации на практике и путем клинических испытаний;
- удачное соотношение стоимости изделия и его качества;
- возможность подобрать размеры и формы конструкции под индивидуальные особенности строения челюсти.
На мировом рынке среди производителей лучшим образом зарекомендовали себя Nobel, Straumann и Astra Tech. Данные компании не просто соблюдают качество сплавов и контролируют все этапы работы с зубными имплантами, но и дают разрешение на установку конструкций лишь тем врачам, которые прошли сертификационные курсы на их базе. Таким образом, обеспечивается гарантия безопасности изделия для организма человека.
Важно, чтобы перед установкой дополнительно были проведены аллергопробы и патч-тестирование на индивидуальную реакцию к используемым сплавам. Иногда также назначают и другие анализы, чтобы предотвратить осложнения после имплантации.
Профилактика аллергических реакций при установке зубных имплантов
Профилактика аллергических реакций при установке зубных имплантов является важным аспектом, который может существенно повлиять на успех процедуры и общее состояние здоровья пациента. Перед установкой имплантов необходимо провести тщательное обследование, чтобы выявить возможные аллергические реакции на материалы, из которых изготовлены импланты.
Первым шагом в профилактике является консультация с врачом-стоматологом и аллергологом. Врач должен узнать о наличии у пациента аллергий на металлы, пластики и другие материалы, которые могут быть использованы в процессе имплантации. Для этого могут быть проведены специальные тесты, такие как кожные пробы или анализы крови, которые помогут определить чувствительность к определённым веществам.
Важно также учитывать, что некоторые пациенты могут иметь предрасположенность к аллергическим реакциям из-за наличия хронических заболеваний или генетических факторов. Поэтому сбор анамнеза и обсуждение всех возможных рисков с врачом являются необходимыми мерами.
При выборе зубных имплантов стоит обратить внимание на материалы, из которых они изготовлены. Титан считается одним из самых биосовместимых материалов, однако у некоторых людей может возникнуть аллергия на него. В таких случаях можно рассмотреть альтернативные варианты, такие как импланты из циркония, которые также обладают высокой прочностью и эстетическими качествами, но имеют меньший риск аллергических реакций.
Кроме того, важно следить за состоянием десен и полости рта до и после установки имплантов. Здоровье тканей, окружающих имплант, играет ключевую роль в предотвращении воспалительных процессов и аллергических реакций. Регулярные визиты к стоматологу для профилактических осмотров и профессиональной гигиены помогут поддерживать здоровье полости рта на должном уровне.
Наконец, после установки имплантов необходимо внимательно следить за своим состоянием. Если появляются какие-либо необычные симптомы, такие как зуд, покраснение, отек или другие проявления, следует немедленно обратиться к врачу. Чем раньше будет выявлена аллергическая реакция, тем легче будет её устранить и предотвратить дальнейшие осложнения.
Вопрос-ответ
Как понять, что аллергия на имплант?
Симптомы аллергической реакции на имплантат. Это может быть: значительное покраснение десны, которое сопровождается болевым синдромом при контакте с мягкими тканями. Выраженный отек в области вмешательства и кровоточивость в зоне имплантации, сохраняющиеся дольше 3-х суток.
Как узнать, есть ли у меня аллергия на имплантаты?
Признаки аллергии на зубные имплантаты: отёк и покраснение. Видимое воспаление или изменение цвета вокруг места имплантации могут быть признаком аллергической реакции. Боль или дискомфорт: постоянная или сильная боль в области имплантации нетипична для процесса заживления.
Как узнать, отторгает ли ваш организм металлический имплантат?
Клиническая картина у пациентов с реакциями на металлические имплантаты часто неспецифична. У пациентов могут наблюдаться как локализованный дерматит или сыпь, так и системный экзематозный дерматит. Отёк, боль, выделения из пазух и воспаление в месте имплантации могут напоминать инфекцию.
Советы
СОВЕТ №1
Обратите внимание на симптомы. Первые признаки аллергии на зубные импланты могут включать зуд, покраснение десен, отек или даже высыпания в области импланта. Если вы заметили такие изменения, не игнорируйте их.
СОВЕТ №2
Консультируйтесь с врачом. При первых признаках аллергии обязательно обратитесь к стоматологу или аллергологу. Специалист поможет определить, действительно ли это аллергическая реакция и какие меры следует предпринять.
СОВЕТ №3
Изучите материалы имплантов. Если у вас есть предрасположенность к аллергиям, обсудите с врачом выбор материалов для имплантов. Некоторые пациенты могут быть чувствительны к определенным металлам, таким как никель или кобальт.
СОВЕТ №4
Следите за состоянием здоровья. Ведение дневника симптомов и реакций на импланты поможет вам и вашему врачу лучше понять, как ваш организм реагирует на импланты и какие меры необходимо предпринять в будущем.
