Переломы челюсти — серьезные травмы, возникающие из-за аварий, спортивных травм или бытовых происшествий. Знание видов и классификации переломов челюсти важно для медицинских специалистов и пациентов, так как это помогает в диагностике и выборе метода лечения. В статье рассмотрим основные типы переломов челюсти, их особенности и сроки заживления, что поможет читателям принимать обоснованные решения о своем здоровье.
Причины возникновения перелома челюсти
Основные причины можно разделить на две категории: патологические и травматические.
► Патологические причины включают аномалии челюстных костей и последствия заболеваний:
- наследственные аномалии;
- злокачественные и доброкачественные новообразования;
- остеомиелит;
- кисты;
- туберкулез;
- влияние медикаментов;
- нарушения обмена веществ;
- нехватка витаминов и минералов;
- инфекции и другие факторы.
► Травматические причины связаны с последствиями падений, ранений, ударов и дорожно-транспортных происшествий. Чаще всего травмы возникают из-за:
- управления транспортными средствами;
- активного образа жизни и инцидентов;
- неправильного удаления зубов;
- значительного физического воздействия, например, при использовании огнестрельного оружия, что может привести к осколкам.
Переломы челюсти классифицируют по различным критериям, включая место повреждения, тип и степень смещения. Наиболее распространены переломы нижней и верхней челюсти, а также сочетанные переломы. В зависимости от травмы, переломы могут быть открытыми или закрытыми, односторонними или двусторонними. Эти аспекты важны для выбора метода лечения.
Время заживления переломов зависит от типа и сложности травмы. Обычно восстановление занимает от 4 до 8 недель, но в случае сложных переломов или осложнений срок может увеличиваться. Соблюдение рекомендаций по реабилитации и правильное питание играют важную роль в процессе заживления.
Эксперты в области стоматологии и челюстно-лицевой хирургии подчеркивают важность правильной классификации переломов челюсти для эффективного лечения. Существует несколько видов переломов: закрытые, открытые, смещенные и несмещенные. Каждый из этих типов требует индивидуального подхода в диагностике и лечении. Закрытые переломы, как правило, менее сложны и могут заживать самостоятельно, в то время как открытые переломы требуют хирургического вмешательства. Время заживления варьируется в зависимости от типа перелома и состояния пациента, но в среднем составляет от 4 до 8 недель. Правильная реабилитация и соблюдение рекомендаций врача играют ключевую роль в восстановлении функции челюсти и предотвращении осложнений.
https://youtube.com/watch?v=X0lIb16paHA
Симптомы
- Боль, интенсивная и выраженная, нарастающая при движении челюсти, жевании, разговоре. Боли обусловлены повреждениями тонкой оболочки кости – надкостницы, в которой располагается множество нервных окончаний. Кроме того, в месте травм может развиться воспаление, дополнительно создающее болевые сигналы. В некоторых особо сложных случаях повреждаются сами нервы, болезненность при этом увеличивается.
- Отраженная боль (локально). Проверяется такое явление тем, что при надавливании на подбородок в месте перелома возникает боль. Такое явление возможно при осколочном раздражении нервов.
- Поврежденная челюсть подвижна, привычное смыкание челюстей затруднено, рельеф костей и кожи изменен. Определить это можно как при внешнем осмотре, так и при пальпации, но любые прикосновения следует выполнять крайне осторожно.
- Зубы могут смещаться со своих мест, между ними могут формироваться щели, просветы.
- Как при открытых, так и закрытых переломах могут повреждаться кровеносные сосуды самой кости, окружающих мягких тканей и надкостницы. В зависимости от локализации травмы и ее причины, кровь либо изливается в полость рта, либо через кожу, если перелом открытый. При закрытых травмах кровь накапливается там, где произошло воздействие, образуя сгустки и провоцируя пастозность. Кровотечение – повод к незамедлительному медицинскому осмотру.
- Отечность всего контура лица, формирование асимметрии – признаки перелома челюсти. Причиной отеков выступают противовоспалительные агенты, которые воздействуют на сосуды. Они, в свою очередь, расширяются, приобретая свойство большей проницаемости для крови. Проявления отека: пастозность, увеличение мягких тканей, покраснение кожных покровов. При этом может увеличиться как часть лица в области травмы, так и половина лица, и все лицо полностью. Отек вызывается не только переломом, но и кровотечением.
- Образование повышенного слюноотделения.
- Перемещение зубов, возникновение между ними щелей.
- Западание языка.
- Повреждение слизистых тканей, кожи в виде ран и ссадин различной глубины. Иногда выявляются и другие переломы, других частей лица и в области шеи.
- Больному трудно либо невозможно жевать, глотать, говорить.
- В месте травмы – гематомы, кровоподтеки.
- Субъективно больной чувствует головные боли, головокружение, тошноту, слабость.
| Вид перелома челюсти | Локализация | Сроки заживления (приблизительные) |
|---|---|---|
| Перелом тела нижней челюсти | Тело нижней челюсти (в любом месте) | 4-6 недель |
| Перелом ветви нижней челюсти | Ветвь нижней челюсти (восходящая или нисходящая) | 6-8 недель |
| Перелом суставного отростка нижней челюсти | Суставной отросток нижней челюсти | 6-8 недель |
| Перелом венечного отростка нижней челюсти | Венечный отросток нижней челюсти | 4-6 недель |
| Перелом альвеолярного отростка нижней челюсти | Альвеолярный отросток нижней челюсти | 4-6 недель |
| Перелом подбородочного отдела нижней челюсти | Подбородочный отдел нижней челюсти | 4-6 недель |
| Перелом верхней челюсти (Ле Фор I) | Горизонтальный перелом, отделяющий верхнюю челюсть от основания черепа | 8-12 недель |
| Перелом верхней челюсти (Ле Фор II) | Пирамидальный перелом, затрагивающий верхнюю челюсть, носовые кости и скуловые дуги | 8-12 недель |
| Перелом верхней челюсти (Ле Фор III) | Краниофациальная диссоциация, отрыв всей верхней челюсти от основания черепа | 12-16 недель |
| Перелом скуловой кости | Скуловая кость | 4-6 недель |
| Перелом скуло-лицевого комплекса | Комбинация переломов скуловой кости, верхней челюсти и других костей лица | 8-12 недель |
Интересные факты
Вот несколько интересных фактов о переломах челюсти и их классификации:
-
Классификация переломов: Переломы челюсти можно классифицировать по различным критериям, включая локализацию (переломы верхней или нижней челюсти), тип (закрытые или открытые), а также по механизму травмы (ударные, компрессионные и т.д.). Наиболее распространенные виды переломов — это переломы тела, угла и ветви нижней челюсти.
-
Симптомы и диагностика: Переломы челюсти могут проявляться не только болевыми ощущениями, но и нарушением прикуса, отеком, а также подвижностью зубов. Для диагностики часто используются рентгенографические исследования, такие как панорамная рентгенография или КТ, что позволяет точно определить место и характер перелома.
-
Время заживления: Время заживления переломов челюсти зависит от их типа и тяжести. В среднем, закрытые переломы могут заживать от 4 до 8 недель, в то время как открытые переломы требуют более длительного времени на восстановление и могут занять до 12 недель или более. Важно также учитывать индивидуальные особенности пациента, такие как возраст и общее состояние здоровья.
Эти факты подчеркивают важность правильной диагностики и лечения переломов челюсти для обеспечения полного восстановления функции и эстетики.
https://youtube.com/watch?v=hw9BKJhTe0o
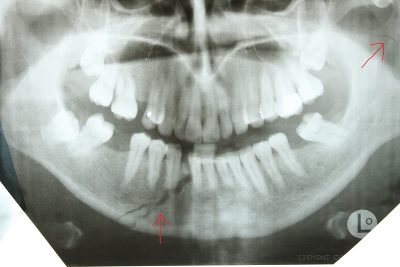
Фото
Переломы челюсти — серьезная травма, возникающая из-за ДТП, падений или спортивных инцидентов. Существуют различные типы переломов: нижней челюсти, суставного отростка и верхней челюсти. Каждый из них имеет свои особенности и требует индивидуального подхода к лечению. Например, переломы нижней челюсти могут быть открытыми или закрытыми, в зависимости от повреждений мягких тканей.
Восстановление после перелома челюсти занимает от нескольких недель до нескольких месяцев. Обычно заживление длится 6–12 недель, но это время зависит от тяжести травмы и соблюдения рекомендаций врача. Пациенты часто отмечают необходимость адаптации к изменениям в жевательной функции и внешнем виде. Правильное лечение и реабилитация играют ключевую роль в успешном восстановлении.
Виды
Кости нижней челюсти выстроены в форме подковы, она легко дробится. Самая частая локализация переломов – область венечного отростка, резцы, клыки, углы.
На верхней челюсти самые слабые в строении места – смыкание с другими костями. При легких травмах, как правило, происходит смещение без образования осколков. При травмах, полученных в область верхней челюсти фронтально, есть риск смещения обломка вниз и назад. При падениях, непрямых ударах также сохраняется риск образования осколков и их смещение в основание черепа.
► Классификация переломов по степени тяжести поражения:
- Открытый, при котором осколки кости смещаются в сторону мягких тканей, разрывая или повреждая их (слизистые, мышечные, кожные покровы). Чаще наблюдают открытые переломы нижней, реже – верхней челюсти. При таком типе высок риск бактериального поражения поврежденных тканей, медицинская помощь оказывается незамедлительно.
- Закрытый, при котором повреждена кость, но мягкие и близлежащие ткани не задеты. Закрытые типы перелома чаще локализуются в области ветвей нижней челюсти, ее угла. Лечатся легче, чем открытые.
► Классификация в зависимости от смещения обломков
- Перелом со смещением образуется при сильном воздействии травмирующей силы. Кости челюсти смещаются по отношению друг к друг и другим костям. При этом смещение может быть как сагиттальным, так и вегитальным, трансверзальным.
- Перелом без смещения, при котором кость повреждена или поделена на фрагменты, но они не смещены, соотносятся друг к другу анатомически. Чаще это неполные переломы.
- Иногда в такую классификацию включают тип «с сотрясением головного мозга».
- Оскольчатый, протекающий с образованием сразу нескольких костных осколков разных размеров, хаотично располагающихся. Характерны для мощного травматического воздействия на челюсть. Требуют только лечения в стационаре, самолечение не допустимо.
- Полный, при котором осколки или обломки (фрагменты) поврежденной кости смещены, имеют поперечный, косой наклон.
► Степени полного перелома:
- Одинарный;
- Двойной;
- Множественный;
- Оскольчатый.
Лечение полного перелома длительное, сложное. Неполный перелом характеризуется наличием травмированных участков челюсти с фрагментами, они, в свою очередь, не смещены.
► Типы травм костей челюсти по Лефору:
- Лефор – I. Границы травмы проходят по основанию носа, затем по верхней стенке орбиты и скуловым дугам. Иначе его называют суббазальным. В истории болезни пациента значатся жалобы на визуальное раздвоение предметов, боли при глотании. Такому перелому свойственны отеки, характерные симптомы со стороны глаз.
- Лефор – II. Границы перелома расположены по основанию носа, нижней стенке орбиты, затем по скуловерхнечелюстному соединению. Суборбитальный тип. При нем некоторые части лица немеют, выделяются слезы, характерны кровотечения из носоглотки.
- Лефор – III. Границы перелома проходят по основанию грушевидного отверстия, дну верхнечелюстной пазухи. Нижний тип. Больной будет жаловаться на боли, затруднения жевания, кровотечение, затруднения прикуса.
► По местоположению переломы делят на:
- Средний – в области центральных резцов.
- Резцовый – между боковым и первым резцами.
- Клыковый – на линии клыка.
- Ментальный – в области подбородочного отверстия.
- Ангулярный – в области угла нижней челюсти.
По отношению к месту удара переломы делятся на прямые (непосредственно в области травмирования), непрямые (на противоположном месте).
https://youtube.com/watch?v=HtakaM_BEyg
Первая помощь
Медицинскую помощь на месте необходимо оказывать быстро. Основные рекомендации:
- обеспечить больному покой и неподвижность;
- восстановить дыхание (при необходимости провести сердечно-легочную реанимацию);
- предложить анальгетики для облегчения боли;
- удалить инородные предметы из полости рта;
- провести дезинфекцию раны;
- остановить кровотечение;
- при наличии знаний попытаться совместить костные фрагменты.
Перелом челюсти – лечение
Любого вида травма, как верхней, так и нижней челюсти, лечится в условиях хирургического стационара. В осложненных случаях показана операция.
Пациент при поступлении обезболивается, ему накладывают повязку, проводят диагностику (рентген, КТ, МРТ), восстанавливают структуры кости швами, скобами, пластинами. Импланты устанавливают, если нет возможности воедино собрать кости пациента. Лечение включает антибиотикотерапию, физиопроцедуры. Основные методы лечения – шинирование и шунтирование.
Шинирование
Обломки костей фиксируются специальным пластиковым устройством. При переломе с одной стороны лица устройство устанавливается с той же стороны, а при осложненном переломе – с обеих сторон, используя дополнительные кольца и крюки.
Если травмированы обе челюсти с смещением осколков, накладываются шины на обе челюсти, что называется двухчелюстной методикой. Основная задача – обеспечить неподвижность заживающих тканей. Лечение может занять до двух месяцев. Перед снятием шин проводится рентгенография для проверки правильного срастания тканей.
Шунтирование
Метод применяется в осложненных случаях. При этом производится фиксация травмированных фрагментов кости специальными шинами, состоящими из зацепных петель и резиновых межчелюстных тяг (шина Тигерштедта).
Метод позволяет дополнительно к фиксации снизить нагрузку на кости пациента.
Питание
Даже при незначительном переломе пациент сталкивается с трудностями в питании. В зависимости от травмы выбирается оптимальный способ питания с учетом дополнительных мер.
- Поильники с трубочками применяются при отсутствии части зубов. Они позволяют вводить пищу непосредственно в желудок. Пища должна быть теплой, подаваться небольшими порциями и дробно. Этот метод подходит для домашнего использования.
- Зонды используются только в стационаре в первые недели после травмы. Зонд вводится в желудок.
- Капельницы предназначены для парентерального питания, если пациент в бессознательном состоянии.
- Клизмы назначаются при коматозных состояниях и затруднениях с венозным кормлением.
Что можно есть при повреждениях челюсти:
- высококалорийные мясные блюда, разбавленные молоком или бульоном в протертом виде;
- детское питание;
- молочные и кисломолочные жидкие продукты;
- бульоны;
- супы в пюреобразной форме;
- фруктовые и овощные пюре и суфле;
- каши, разведенные молоком.
Диета должна полностью удовлетворять суточные потребности пациента в калориях.
Видео: как правильно организовать питание при переломе челюсти? Личный опыт видеоблогера. На его канале также много других полезных советов.
Последствия
- асимметрия и деформирование черт лица;
- потеря зубов и их перемещение, при этом шатаются зубы при жевании и в покое;
- нарушение прикуса;
- просветы между зубами;
- психологический дискомфорт пациента, когда хрустит челюсть.
Осложнений избежать можно при своевременном обращении к профессионалам.
Реабилитация
Восстановление после хирургического вмешательства или лечения включает физиотерапию, лечебную физкультуру и уход за полостью рта.
Лечебная физкультура назначается через месяц после снятия фиксирующих конструкций. Цель — восстановить жевательную функцию, нормализовать глотание и мимику.
Эффективные методы физиотерапии: электромагнитное поле различных частот, импульсная магнитотерапия, ультрафиолетовое облучение, электрофорез, лед, микроволновая терапия, парафинотерапия, инфракрасное облучение и массаж шеи и плеч.
Дополнительные вопросы
► Сколько времени срастается перелом нижней и верхней челюсти?
В отсутствие осложнений, таких как травматический остеомиелит, воспалительные процессы, более легкие переломы заживают от 30 до 45 суток. Травмы нижней челюсти чаще более сложные, чем верхней. Восстановление костей может занять до 60 суток.
► Больно ли снимать шины после перелома челюсти?
Сам процесс избавления от шин менее болезненный, чем разработка мышц и тканей после травмирования и иммобилизации. За время реабилитации мышцы частично подвернулись ригидности, пациент будет испытывать болевые ощущения во время еды, глотания, речи.
► Как определить перелом челюсти или ушиб?
Общие признаки травм – кровоподтеки, болезненность, припухлость, гематомы. При этом именно при переломе затруднена речь, боли более выражены, пациент ощущает явную слабость вплоть до потери сознания. Точный диагноз установит только хирург после рентгенографии.
► Сколько лежат в больнице?
Сроки лечения в стационаре разные при разных переломах. Осложненные переломы, со смещением, оперативным вмешательством, потребуют курса стационарного лечения до 4 недель.
Профилактика переломов челюсти
Профилактика переломов челюсти является важным аспектом, особенно для людей, занимающихся контактными видами спорта, а также для тех, кто подвержен риску травм в повседневной жизни. Существует несколько методов, которые могут помочь снизить вероятность получения перелома челюсти.
1. Использование защитного снаряжения: Одним из наиболее эффективных способов предотвращения травм челюсти является использование защитных капп или шлемов с защитой для лица. Это особенно актуально для спортсменов, занимающихся боксом, хоккеем, борьбой и другими контактными видами спорта. Защитные каппы помогают смягчить удар и распределить силу воздействия, что значительно снижает риск перелома.
2. Обучение технике безопасности: Важно обучать людей, особенно детей и подростков, технике безопасности в спорте и повседневной жизни. Знание правильных приемов и методов защиты может помочь избежать травм. Например, в спорте следует избегать чрезмерной агрессии и соблюдать правила игры.
3. Укрепление челюстных мышц: Регулярные упражнения для укрепления мышц челюсти могут помочь снизить риск травм. Упражнения, направленные на развитие силы и гибкости, могут повысить устойчивость челюсти к ударам. Консультация с врачом или физиотерапевтом поможет подобрать подходящие упражнения.
4. Правильное питание: Здоровое питание, богатое кальцием и витамином D, способствует укреплению костей. Включение в рацион молочных продуктов, зеленых листовых овощей и рыбы может помочь поддерживать здоровье костной ткани, что в свою очередь снижает риск переломов.
5. Избегание опасных ситуаций: Снижение риска травм также связано с избеганием опасных ситуаций, таких как драки, неосторожное поведение в общественных местах или на дороге. Осознание потенциальных угроз и принятие мер предосторожности могут значительно снизить вероятность получения травмы.
6. Регулярные медицинские осмотры: Периодические осмотры у стоматолога и врача помогут выявить возможные проблемы с зубами и челюстью, которые могут увеличить риск травм. Например, наличие заболеваний десен или неправильный прикус могут способствовать травматизму.
Следуя этим рекомендациям, можно значительно снизить вероятность получения перелома челюсти и других травм, что особенно важно для активных людей и спортсменов. Забота о своем здоровье и соблюдение мер предосторожности помогут сохранить не только целостность челюсти, но и общее состояние здоровья.
Вопрос-ответ
Какие бывают переломы челюсти?
Переломы челюсти делятся на несколько типов: переломы нижней челюсти (мандибулы), которые могут быть одиночными или множественными, и переломы верхней челюсти (максиллы), включая переломы альвеолярного отростка, тела и лобной части. Также выделяют переломы с смещением и без смещения, а также открытые и закрытые переломы, в зависимости от наличия повреждения кожи и мягких тканей.
Какие существуют типы переломов челюстно-лицевой кости?
Переломы скуловых костей. Перелом лица по типу «треножника» (затрагивает глазницу, скулу и верхнюю челюсть). Перелом верхней или нижней челюсти (сломленная челюсть). Переломы средней части лица (переломы Ле Фора).
Советы
СОВЕТ №1
Перед тем как обратиться к врачу, внимательно оцените симптомы. Если вы подозреваете перелом челюсти, обратите внимание на такие признаки, как сильная боль, отек, затрудненное открытие рта или смещение зубов. Это поможет врачу быстрее поставить правильный диагноз.
СОВЕТ №2
Следуйте рекомендациям врача по лечению и реабилитации. После диагностики перелома важно строго соблюдать предписания, включая режим питания, использование фиксирующих устройств и выполнение назначенных упражнений для восстановления функции челюсти.
СОВЕТ №3
Обратите внимание на питание во время восстановления. Включите в рацион мягкие и питательные продукты, такие как пюре, супы и смузи, чтобы избежать лишней нагрузки на челюсть и обеспечить организм необходимыми витаминами и минералами для заживления.
СОВЕТ №4
Не забывайте о регулярных контрольных осмотрах у стоматолога или челюстно-лицевого хирурга. Это поможет следить за процессом заживления и предотвратить возможные осложнения, такие как неправильное сращение костей или инфекция.
