Патологическая стираемость зубов — серьезная проблема, способная вызвать стоматологические заболевания и ухудшить качество жизни. В статье рассмотрим причины и последствия этого состояния, а также эффективные методы профилактики и лечения. Понимание механизмов стираемости зубов и своевременные меры по уходу помогут сохранить здоровье полости рта и избежать дорогостоящих стоматологических вмешательств.
Что такое патологическая стираемость зубов и нормально ли такое явление?
Эмаль зубов изнашивается из-за жевательных действий, возрастных изменений и других факторов. До 30 лет происходит лишь незначительное стирание коронки и жевательных бугорков. К 50 годам эмаль может истончиться почти полностью, но дентин остается нетронутым. Если стираемость зубной поверхности становится заметной, следует обратиться к стоматологу.
Игнорирование проблемы может привести к серьезным и необратимым последствиям: деформация челюсти, нарушения работы жевательных мышц и отмирание пульпы. Это может вызвать полное разрушение или выпадение зубов.
Также возможны внешние изменения: складки вокруг рта, уменьшение нижней части лица, нарушение прикуса и изменение цвета зубов. Серьезные повреждения могут привести к удалению ткани до уровня десен.
При стираемости зубов важно предпринять следующие шаги. Сначала стоит обратиться к врачу для диагностики, определения степени и типа нарушений, а также выбора лечения. Регулярные визиты к стоматологу, минимум два раза в год или при первых признаках дискомфорта, помогут предотвратить ухудшение ситуации и восстановить здоровье зубов.
Патологическая стираемость зубов требует внимания специалистов. Она может быть вызвана неправильным прикусом, чрезмерным использованием жестких зубных щеток и стрессом, приводящим к бруксизму. Важно не только выявить причину, но и принять меры для предотвращения дальнейшего разрушения эмали. Регулярные осмотры у стоматолога помогут определить степень стираемости и выбрать подходящее лечение. Рекомендуется использовать специальные зубные пасты и средства для укрепления эмали, а также следить за рационом, чтобы минимизировать влияние кислых продуктов. Забота о здоровье зубов должна быть приоритетом для каждого.
Патологическая стираемость зубов — это серьезная проблема, которая требует внимания специалистов. Эксперты в области стоматологии подчеркивают, что такая стираемость может быть вызвана различными факторами, включая неправильный прикус, чрезмерное использование зубных щеток с жесткой щетиной и даже некоторые заболевания. Важно отметить, что игнорирование этой проблемы может привести к более серьезным последствиям, таким как повышенная чувствительность зубов и риск кариеса. Стоматологи рекомендуют регулярные осмотры и индивидуально подобранные методы ухода за полостью рта. Профилактика и своевременное обращение к врачу помогут избежать дальнейших осложнений и сохранить здоровье зубов на долгие годы.
https://youtube.com/watch?v=3_wBK7dPbiA
Причины возникновения
Чтобы понять, почему произошла данная патология у конкретного пациента, нужно провести полный анализ его жизнедеятельности и даже узнать о семейных заболеваниях. Ведь причинами могут быть как и внешние негативные воздействия, так и внутренние проблемы со здоровьем, а также врожденные или приобретенные особенности.
Самые опасные и серьезные причины относятся к внутренним проблемам. Этиология и патогенез болезни устанавливается еще в молодом возрасте. К ним относятся:
- От рождения нарушенные процессы формирования и минерализации твердых тканей. Такое может произойти и во время беременности, когда в организме матери недостаточно микроэлементов для формирования плода. А также если этих же витаминов не хватает для полноценного роста зубов в первый год жизни ребенка.
- Наследственные патологии по типу мраморной болезни, остеогенеза и пр.
- Проблемы могут возникнуть и в более зрелом возрасте – неправильное питание, нарушения работы щитовидной железы, низкое усвоение кальция и т.д.
- Тяжелое производство, работа на заводе или в шахте часто приводит к излишней стираемости из-за вибрации и напряжения жевательных мышц.
- Вредные привычки как фактор разрушения зубов.
- Частичная утеря единиц, установка протезов.
- Бруксизм, скрежетание во время сна.
Если есть возможность изменить вредные привычки или защитить каким-либо образом зубы от негативного воздействия, то это следует сделать. В другом случае остается только восстановить стертую поверхность искусственными способами и постараться остановить разрушительный процесс.
| Причина патологической стираемости | Симптомы | Методы профилактики и лечения |
|---|---|---|
| Бруксизм (скрежетание зубами) | Стираемость эмали, повышенная чувствительность зубов, головные боли, боль в височно-нижнечелюстном суставе | Ношение каппы на ночь, лечение стресса, ботулинотерапия |
| Кислотная эрозия (из-за гастроэзофагеальной рефлюксной болезни (ГЭРБ), частого употребления кислых напитков и продуктов) | Потеря эмали, изменение цвета зубов, повышенная чувствительность, шероховатость поверхности зубов | Лечение ГЭРБ, ограничение потребления кислых продуктов и напитков, использование нейтрализующих паст, реминерализирующая терапия |
| Абразивная стираемость (из-за жесткой зубной щетки, абразивных паст, неправильной техники чистки) | Стираемость эмали, оголение дентина, повышенная чувствительность | Использование мягкой зубной щетки, пасты с низким RDA (Relative Dentin Abrasivity), правильная техника чистки зубов |
| Генетическая предрасположенность (тонкая эмаль) | Быстрая стираемость эмали, повышенная чувствительность с раннего возраста | Регулярные профилактические осмотры, использование фторсодержащих средств, реминерализирующая терапия |
| Неправильный прикус | Неравномерная стираемость зубов, повышенная нагрузка на отдельные зубы | Ортодонтическое лечение |
Интересные факты
Вот несколько интересных фактов о патологической стираемости зубов:
-
Причины стираемости: Патологическая стираемость зубов может быть вызвана не только механическими факторами, такими как неправильный прикус или чрезмерное использование зубной щетки, но и химическими, например, избыточным потреблением кислых продуктов и напитков. Это приводит к эрозии эмали и потере зубной ткани.
-
Возраст и стираемость: С возрастом стираемость зубов может увеличиваться, так как эмаль становится тоньше и менее устойчивой к внешним воздействиям. Однако у некоторых людей, особенно тех, кто страдает от бруксизма (скрежетания зубами), стираемость может проявляться в более молодом возрасте.
-
Последствия для здоровья: Патологическая стираемость зубов может привести не только к эстетическим проблемам, но и к функциональным. Уменьшение высоты зубного ряда может вызвать изменения в прикусе, болевые ощущения в челюстях и даже проблемы с суставами. Поэтому важно своевременно обращаться к стоматологу для диагностики и лечения.
https://youtube.com/watch?v=MG795QTie8o
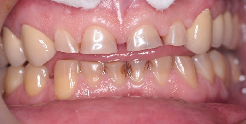
Фото
Патологическая стираемость зубов — актуальная проблема для стоматологов и пациентов. Многие замечают, что с возрастом зубы становятся чувствительными, и привычные продукты вызывают дискомфорт. Люди отказываются от кислых и жестких блюд, чтобы не усугублять ситуацию. В социальных сетях обсуждаются методы профилактики, включая специализированные зубные пасты и регулярные визиты к стоматологу.
Некоторые пациенты отмечают, что специальные капы, защищающие зубы во время сна, помогают. Однако важно не только лечение, но и выявление причин стираемости. Стресс, бруксизм и неправильный прикус могут усугубить проблему. Осведомленность и профилактика — ключевые аспекты в борьбе с этой неприятной ситуацией.
Классификация болезни
Классификация стираемости зубов рассматривается с нескольких позиций.
► В зависимости от того, насколько произошло разрушение эмали или дентина, различают степени заболевания:
- I – проблема затрагивает только незначительную поверхность, чаще резцы.
- II – коронка зуба разрушается до самого дентина, эмали почти не остается.
- III – зубная единица стирается на половину или даже больше. При клиническом осмотре явно заметна открытая полость.
- IV – твердой ткани практически не остается. Разрушение доходит вплоть до основания зуба.
► Выделяют и разные плоскости, которые поддались стиранию:
- Вертикальная – случается при неправильном прикусе. При таком варианте повреждается передняя часть нижних и задняя верхних единиц.
- Горизонтальная – уменьшается высота коронки.
- Смешанная – параллельное разрушение зубов в обоих плоскостях.
► Формы болезни могут быть:
- Локальными – стиранию поддаются только небольшие области зубного ряда.
- Генерализованными – процесс затрагивает всю челюсть. При этом степень поражения в каждой из частей может различаться.
В реальности болезнь протекает в самых разных формах и вариантах. Встречаются и сочетания нескольких степеней разрушения по всей челюсти, и минимальные в ограниченной зоне. Также может быть вариант стирания поверхности как в горизонтальной, так и вертикальной плоскости.
Самая опасная ситуация, когда разрушение доходит до внутренней части. Если отмирает пульпа и затрагивается дентин, процесс становится стремительным и необратимым.
https://youtube.com/watch?v=ldGmFHgtycA
Симптомы
- Увеличенная чувствительность к холодным и горячим продуктам, со временем возможна реакция на химические вещества.
- Изменение цвета зубной эмали.
- Ощущение неровностей на поверхности зуба.
- При сжатии челюстей возникает чувство склеенности.
- Значительное стирание может привести к проблемам с речью и жеванием.
- При тяжелых формах поражения нижняя часть лица визуально уменьшается.
- Во время еды возникают болезненные ощущения.
- Часто происходит прикусывание губ и щек изнутри.
Методы диагностики и лечения
Патологическая стираемость зубов, или абразия, представляет собой серьезную стоматологическую проблему, требующую комплексного подхода к диагностике и лечению. Для начала необходимо провести тщательное обследование пациента, которое включает в себя как визуальный осмотр, так и использование современных диагностических методов.
Одним из основных методов диагностики является рентгенография, позволяющая выявить не только степень стираемости зубов, но и возможные сопутствующие заболевания, такие как кариес или пародонтит. Также может быть использована цифровая томография, которая дает более детальное представление о состоянии зубов и окружающих тканей.
Кроме того, стоматолог может провести функциональные тесты, чтобы оценить состояние жевательной функции и выявить возможные нарушения прикуса. Это может включать в себя анализ привычек пациента, таких как бруксизм (скрежетание зубами) или неправильное положение зубов, что также может способствовать стираемости.
После диагностики следует переход к лечению, которое зависит от степени и причины стираемости зубов. В начальных стадиях могут быть рекомендованы консервативные методы, такие как использование реминерализующих паст и гелей, содержащих фтор и кальций, которые помогают восстановить минерализацию зубной эмали.
Если стираемость зубов вызвана неправильным прикусом или бруксизмом, может потребоваться ортодонтическое лечение. В этом случае стоматолог может предложить использование брекетов или капп для коррекции прикуса и уменьшения нагрузки на зубы.
В более запущенных случаях, когда эмаль уже значительно повреждена, может потребоваться восстановление зубов с помощью пломбирования, коронок или даже имплантации. Важно отметить, что выбор метода лечения должен основываться на индивидуальных особенностях пациента и степени повреждения зубов.
Не менее важным аспектом является профилактика. Регулярные визиты к стоматологу, соблюдение правил гигиены полости рта и правильное питание помогут предотвратить развитие патологической стираемости зубов. Стоматолог может также рекомендовать специальные средства для ухода за зубами, которые помогут укрепить эмаль и снизить риск стираемости.
Таким образом, диагностика и лечение патологической стираемости зубов требуют комплексного подхода, включающего в себя как современные диагностические методы, так и индивидуально подобранные терапевтические стратегии. Забота о здоровье зубов — это залог их долговечности и функциональности на протяжении всей жизни.
Вопрос-ответ
Что такое патологическая стираемость зубов и как она проявляется?
Патологическая стираемость зубов — это процесс, при котором зубная эмаль и дентин стираются быстрее, чем обычно, что может привести к повышенной чувствительности зубов, изменению их формы и даже к кариесу. Признаки включают болезненные ощущения при употреблении горячей или холодной пищи, а также визуальные изменения в состоянии зубов.
Какие факторы могут способствовать развитию патологической стираемости зубов?
Существует несколько факторов, способствующих патологической стираемости зубов, включая неправильный прикус, чрезмерное использование жестких зубных щеток, а также привычки, такие как скрежетание зубами (бруксизм) или частое употребление кислых продуктов и напитков. Также на состояние зубов могут влиять генетические предрасположенности и недостаток минералов в организме.
Как можно предотвратить патологическую стираемость зубов?
Для предотвращения патологической стираемости зубов рекомендуется регулярно посещать стоматолога для профессиональной чистки и осмотра, использовать мягкие зубные щетки и фторсодержащие пасты, а также избегать кислых продуктов и напитков. Важно также контролировать стресс и избегать привычек, таких как скрежетание зубами, что может потребовать консультации с врачом.
Советы
СОВЕТ №1
Регулярно посещайте стоматолога для профилактических осмотров. Это поможет выявить проблемы на ранних стадиях и предотвратить дальнейшее разрушение зубной эмали.
СОВЕТ №2
Используйте зубные пасты с фтором и специальные средства для укрепления эмали. Они помогут защитить зубы от стираемости и улучшат общее состояние полости рта.
СОВЕТ №3
Обратите внимание на свою диету. Избегайте чрезмерного потребления кислых и сладких продуктов, которые могут способствовать разрушению эмали. Включите в рацион продукты, богатые кальцием и витаминами.
СОВЕТ №4
Изучите правильную технику чистки зубов. Используйте мягкую зубную щетку и не прилагайте слишком много усилий, чтобы избежать механического повреждения эмали.
