Крошение зубов — распространенная проблема, вызванная неправильной гигиеной полости рта, недостатком минералов, травмами или заболеваниями. В статье рассмотрим основные причины этого явления и предложим методы профилактики и лечения, чтобы помочь сохранить здоровье зубов и избежать серьезных последствий. Понимание причин крошения зубов и своевременные меры помогут улучшить состояние улыбки и предотвратить развитие стоматологических проблем.
Почему крошатся зубы – распространенные причины
Крошение зубов связано с несколькими факторами:
- Неправильное питание. Сладости, острые и кислые блюда, газированные напитки негативно влияют на зубы. Вегетарианские диеты и резкое чередование горячей и холодной пищи также ослабляют эмаль.
- Кариес. Это заболевание разрушает твердые ткани зуба и имеет инфекционную природу, затрагивая как взрослых, так и детей.
- Неправильная гигиена полости рта. Нерегулярная чистка зубов приводит к накоплению остатков пищи, что создает условия для размножения бактерий.
- Хронические заболевания. Крошение зубов может активизироваться при гастрите, сахарном диабете, артериальной гипертензии и метаболических расстройствах.
- Вредные привычки. Плохое состояние зубов наблюдается у курильщиков и людей с зависимостями. Привычки грызть ногти, семечки или открывать бутылки зубами также вредят.
- Наследственность. Проблемы с зубами могут передаваться по наследству от родителей или близких.
- Беременность. Нехватка кальция и обострение хронических заболеваний могут привести к крошению зубов у будущих матерей.
- Пожилой возраст. В зрелом возрасте истончение эмали и ослабление десен могут ускорить стирание зубов.
На здоровье зубов также влияют низкокачественная вода, неблагоприятная экология и работа с вредными химическими веществами. В некоторых случаях крошение связано с аномалиями прикуса.
Привычка скрипеть зубами во сне наносит вред ротовой полости. Избавиться от этой проблемы сложно, может потребоваться помощь невропатолога или специальные капы.
У детей крошение зубов может быть связано с искусственным вскармливанием или недостаточным питанием матери во время беременности. Проблема может возникнуть из-за длительного использования пустышки, нехватки витамина D и минералов, а также после курса антибиотиков. В подростковом возрасте крошение чаще связано с гормональными изменениями и нездоровым образом жизни.
Крошение зубов может быть вызвано нехваткой минералов, таких как кальций и фосфор, что ослабляет эмаль. Вредные привычки, стресс и бруксизм усугубляют проблему.
Для предотвращения крошения зубов специалисты рекомендуют регулярно проходить профилактические осмотры у стоматолога, придерживаться сбалансированного питания, богатого витаминами и минералами, и использовать зубные пасты с фтором. Важно ограничить потребление сладостей и кислых продуктов. При наличии проблем с зубами не стоит откладывать визит к врачу, чтобы избежать серьезных последствий.
Крошение зубов может быть вызвано несколькими факторами, и эксперты подчеркивают важность их своевременного выявления. Одной из основных причин является недостаток минералов, таких как кальций и фосфор, что приводит к ослаблению зубной эмали. Также крошение может быть следствием неправильного прикуса или бруксизма — непроизвольного скрежета зубами, часто возникающего в стрессовых ситуациях.
Кроме того, некоторые заболевания, такие как диабет или гастрит, могут негативно сказываться на состоянии зубов. Специалисты рекомендуют регулярно посещать стоматолога для профилактических осмотров и чистки, а также следить за рационом, включая в него продукты, богатые витаминами и минералами. Важно также избегать чрезмерного потребления сахара и кислых напитков, которые могут разрушать эмаль. В случае обнаружения проблем с зубами, необходимо незамедлительно обратиться к врачу для назначения адекватного лечения.
https://youtube.com/watch?v=3eDjqPgXreo
Как предотвратить разрушение при первых симптомах
- минимизировать присутствие в рационе продуктов, наносящих вред эмалевому покрытию (в первую очередь ограничение касается сладостей, твердой, кислой пищи);
- увеличить содержание в меню полезной еды (кисломолочной продукции, морской рыбы, ламинарии, орехов, листовой зелени);
- исключить комбинации холодных и горячих продуктов (многим нравится пить горячий кофе с мороженым, однако при этом в разы возрастает риск повреждения зубных тканей);
- пересмотреть средства для ухода за ротовой полостью (кроме качественных зубной щетки и пасты, нужно использовать ополаскиватели, ирригатор, флосс);
- провести лечение имеющихся хронических заболеваний органов пищеварения, эндокринной системы;
- восполнить дефицит кальция и фосфора в организме, пройти курс с поливитаминами, полезными пищевыми добавками (принимать такие комплексы нужно несколько раз в течение года);
- отказаться от вредных привычек (активного курения, употребления алкогольных напитков).
Чтобы вовремя распознать проблему, рекомендовано посещать дантиста дважды-трижды в году. Кроме этого, нужно хотя бы однократно в 12 месяцев выполнять профессиональную чистку ротовой полости.
При крошении зубов специалисты призывают отказаться от самостоятельного отбеливания. Особенно опасны для ослабевшей эмали популярные бюджетные средства – активированный уголь, лимонный сок, пищевая сода. Все эти вещества способны травмировать зубное покрытие и ускорять протекание разрушительных процессов.
| Причина крошения зубов | Симптомы | Что делать |
|---|---|---|
| Кариес (разрушение эмали) | Потемнение эмали, чувствительность к сладкому и холодному, боль при жевании | Обращение к стоматологу для пломбирования или лечения корневых каналов |
| Бруксизм (скрежетание зубами) | Стирание эмали, повышенная чувствительность зубов, головные боли | Использование каппы для зубов, лечение стресса, консультация сомнолога |
| Недостаток минералов (кальция, фосфора) | Повышенная чувствительность, хрупкость зубов, появление белых пятен на эмали | Сбалансированное питание, прием витаминно-минеральных комплексов (по назначению врача) |
| Травмы | Трещины, сколы, изменение цвета зуба | Обращение к стоматологу для реставрации или протезирования |
| Неправильный прикус | Неравномерное стирание эмали, повышенная нагрузка на отдельные зубы | Ортодонтическое лечение (брекеты, каппы) |
| Кислотная эрозия (из-за газированных напитков, кислой пищи) | Повышенная чувствительность, истончение эмали, изменение цвета зубов | Ограничение потребления кислой пищи и напитков, использование щадящих средств гигиены полости рта |
| Неправильный уход за полостью рта | Налет, зубной камень, кариес | Регулярная чистка зубов (2 раза в день), использование зубной нити, профессиональная чистка у стоматолога |
| Генетическая предрасположенность | Тонкая эмаль, повышенная склонность к кариесу | Регулярные профилактические осмотры у стоматолога, тщательный уход за полостью рта |
Интересные факты
Вот несколько интересных фактов о том, почему крошатся зубы и что с этим делать:
-
Эрозия зубной эмали: Одной из основных причин крошения зубов является эрозия эмали, которая может быть вызвана потреблением кислых продуктов и напитков, таких как газировка, цитрусовые и уксус. Кислоты разрушают защитный слой зубов, делая их более уязвимыми к повреждениям. Чтобы предотвратить это, рекомендуется полоскать рот водой после употребления кислых продуктов и избегать чистки зубов сразу после этого, чтобы не повредить ослабленную эмаль.
-
Бруксизм: Непроизвольное сжатие или скрежетание зубами, известное как бруксизм, может привести к их крошению. Это состояние часто связано со стрессом или тревожностью. Для борьбы с бруксизмом стоматологи могут рекомендовать использование ночных капп, которые защищают зубы во время сна и помогают снизить нагрузку на челюсть.
-
Недостаток минералов: Недостаток кальция и других важных минералов в организме может привести к ослаблению зубной эмали и, как следствие, к крошению зубов. Употребление продуктов, богатых кальцием (молочные продукты, зеленые листовые овощи, орехи), а также витамина D для улучшения усвоения кальция, может помочь сохранить зубы здоровыми и крепкими.
https://youtube.com/watch?v=XHXdFYVFfIY
Что делать, если крошатся зубы
При обнаружении проблем с зубами важно обратиться к стоматологу. Специалист выявит причины недуга и предложит методы лечения.
Перед лечением проводится диагностика. Стандартный осмотр полости рта не всегда дает полное представление о состоянии зубов. Для точного определения причин проблемы необходима аппаратная диагностика.
При крошении зубов могут быть рекомендованы следующие процедуры:
- Реодентография. Этот безболезненный метод изучает кровообращение в пульпе зуба и оценивает ее состояние.
- Компьютерная томография. Процедура позволяет получить трехмерные снимки, выявляя нарушения в структуре зубов и десен.
- Реопародонтография. Оценивает функциональное состояние сосудов тканей пародонта, анализируя пульсирующий поток крови.
- Электроодонтодиагностика (ЭОД). Определяет жизнеспособность пульпы зуба и применяется при различных патологиях.
Стоматологическая диагностика использует современное оборудование. Все методы безопасны, а лучевая нагрузка минимальна.
Многие сталкиваются с проблемой крошения зубов. Некоторые связывают это с неправильным питанием и нехваткой витаминов, другие — со стрессом и вредными привычками, такими как скрежетание зубами. Также крошение может быть следствием возрастных изменений, когда эмаль становится тоньше.
Чтобы справиться с этой проблемой, специалисты рекомендуют следить за гигиеной полости рта и регулярно посещать стоматолога. Важно включать в рацион продукты, богатые минералами. Полезны релаксационные техники и занятия спортом. В некоторых случаях могут помочь специальные капы для защиты зубов во время сна. Главное — не игнорировать проблему и обращаться за помощью к профессионалам.
Способы восстановления разрушенных единиц
Далее перечислены наиболее эффективные методы, применяемые во время лечения проблемных зубов:
| Использование специальных паст | Такие средства результативны, если процесс еще не зашел слишком далеко. При крошении стоматолог назначает лечебные пасты, обогащенные фтором и кальцием, восстанавливающие минеральный баланс. Чтобы добиться улучшения, применять их требуется регулярно, не допуская пропусков процедур. |
| Минерализация коронок | Процедура способствует восстановлению поврежденных участков зубной эмали. На них накладываются аппликационные полоски, роль которых заключается в насыщении костной ткани минеральными веществами. Метод нормализует состав зубов, придает плотность эмалевому покрытию. |
| Покрытие зубных единиц Фторлаком | Этот препарат выглядит как темно-коричневый лак с приятным хвойным ароматом. Его основными компонентами являются натрия фторид и пихтовый бальзам. Фторлак применяют при небольших повреждениях. После нанесения он образует тонкую пленку, служащую защитой от негативных факторов. Также препарат укрепляет зубные ткани, избавляет от кариеса. |
| Пломбирование | Стоматологическая процедура основана на использовании современных материалов. Лечение проходит с очисткой кариозной полости и последующей установкой индивидуально подобранной пломбы. Метод устраняет имеющиеся дефекты, восстанавливает функциональные возможности проблемных зубов. |
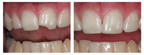
Если единицы ротовой полости подверглись существенному разрушению, специалисты прибегают к радикальному способу лечения – реставрации. При микропротезировании внешняя поверхность эмали стачивается. На освобожденное место устанавливают виниры или люминиры. Они представляют собой специальные пластины, которые надежно фиксируются на зубах и возвращают им здоровый вид.
Пациентам, у которых один или несколько зубных органов практически отсутствуют, предлагается провести полноценное протезирование либо имплантацию. Первая разновидность процедуры подразумевает крепление на поврежденную единицу коронок, которые не позволяют ей разрушаться далее. При имплантации специалист осуществляет установку стоматологического штифта (искусственного корня) в канальные отверстия. Позже на него закрепляют конструкцию из прочных материалов, полностью заменяющую утраченный зуб.
https://youtube.com/watch?v=HySQkTlkaVk
Как остановить крошение – эффективная профилактика
Профилактика стоматологических заболеваний включает комплекс мероприятий:
-
Сбалансированное питание. Для укрепления эмали полезно употреблять разнообразные продукты растительного и животного происхождения, кисломолочные изделия и натуральные травяные чаи. Эти продукты должны быть в ежедневном рационе.
-
Регулярный уход за полостью рта. Эффективны зубные щетки средней жесткости и пасты с кальцием и фтором. Важно чистить не только зубы, но и язык, а также использовать зубную нить и полоскать рот оздоравливающими растворами.
-
Осторожное обращение с зубами. Чтобы сохранить улыбку, избегайте курения, травм и грубого механического воздействия на зубы.
-
Периодические посещения стоматолога. Раннее выявление проблем позволяет специалисту назначить меры для предотвращения их развития.
Профилактика важна и для детей. Чтобы сохранить молочные зубы, нужно вовремя отучить малышей от соски и прекратить кормление из бутылочки. Введение прикорма следует обсуждать с педиатром.
Не забывайте, что даже небольшие трещины и крошение зубов требуют внимания. К ним могут присоединиться другие проблемы, способные серьезно повредить здоровье. Для восстановления поврежденных участков и остановки негативного процесса важно незамедлительно обратиться в стоматологическую клинику.
Когда обращаться к стоматологу – признаки серьезной проблемы
Крошение зубов может быть симптомом различных стоматологических и общих заболеваний. Важно уметь распознавать признаки, которые указывают на необходимость обращения к стоматологу. Если вы заметили, что ваши зубы стали крошиться, это может быть связано с несколькими факторами, и некоторые из них требуют немедленного вмешательства специалиста.
Первым признаком серьезной проблемы является появление трещин или сколов на зубах. Если вы заметили, что на эмали образуются мелкие трещины, это может указывать на ее истончение или повреждение. Эмаль – это защитный слой зуба, и ее разрушение может привести к более серьезным проблемам, таким как кариес или пульпит.
Другим важным знаком является повышенная чувствительность зубов. Если вы испытываете дискомфорт или боль при употреблении горячей, холодной или сладкой пищи, это может свидетельствовать о том, что зубы повреждены или подвержены кариесу. Чувствительность может также указывать на наличие воспалительных процессов в деснах или корнях зубов.
Обратите внимание на наличие боли в зубах или деснах. Если боль становится постоянной или усиливается, это может быть признаком инфекции или воспаления, требующего немедленного лечения. Боль может также сопровождаться отеком десен или образованием гноя, что является серьезным сигналом для обращения к стоматологу.
Не стоит игнорировать изменения в цвете зубов. Если зубы становятся более темными или желтыми, это может быть связано с кариесом, а также с воздействием определенных продуктов или привычек, таких как курение или употребление кофе. Изменение цвета может указывать на необходимость профессиональной чистки или лечения.
Также следует обратить внимание на наличие неприятного запаха изо рта. Это может быть признаком заболеваний десен или кариеса. Если запах не исчезает после чистки зубов, это может указывать на более серьезные проблемы, требующие стоматологического вмешательства.
Наконец, если вы заметили, что ваши зубы стали крошиться после травмы или удара, это также требует немедленного обращения к стоматологу. Даже если на первый взгляд повреждения незначительные, они могут привести к серьезным последствиям, таким как инфекция или потеря зуба.
В целом, если вы заметили один или несколько из вышеописанных признаков, не откладывайте визит к стоматологу. Чем раньше будет поставлен диагноз и начато лечение, тем выше вероятность сохранить здоровье ваших зубов и избежать серьезных осложнений.
Вопрос-ответ
Чего не хватает в организме, если крошатся зубы?
Если в организм не поступает достаточное количество кальция, фтора, фосфора и витаминов, то со временем зубы начинают крошиться.
Что делать, если зубы сильно крошатся?
Если крошатся зубы, то нужно незамедлительно обращаться к врачу для проведения обследования. Это обязательно должен быть стоматолог, а также другие узкие специалисты, если, кроме разрушения зубов, присутствуют другие дисфункции организма.
Что нужно делать, чтобы зубы не крошились?
Чтобы предотвратить крошение зубов, необходимо соблюдать правила гигиены полости рта: регулярно чистить зубы дважды в день с использованием фторсодержащей пасты, пользоваться зубной нитью и регулярно посещать стоматолога для профилактических осмотров. Также важно избегать чрезмерного потребления сахара и кислых продуктов, которые могут способствовать разрушению эмали, и поддерживать сбалансированное питание, богатое кальцием и витаминами.
Можно ли спасти зуб, если он крошится?
Восстановить жевательный зуб, который начал крошиться, можно керамической вкладкой. Эта надежная и эстетичная конструкция создается по слепкам вашего зуба. В отличие от пломбы, вкладка не дает усадку, поэтому прослужит в три раза дольше.
Советы
СОВЕТ №1
Регулярно посещайте стоматолога для профилактических осмотров. Это поможет выявить проблемы на ранних стадиях и предотвратить дальнейшее разрушение зубов.
СОВЕТ №2
Обратите внимание на свою диету. Увеличьте потребление продуктов, богатых кальцием и фосфором, таких как молочные продукты, рыба и орехи, чтобы укрепить зубную эмаль.
СОВЕТ №3
Избегайте чрезмерного потребления кислых и сладких продуктов, которые могут способствовать разрушению зубной эмали. Если вы употребляете такие продукты, старайтесь полоскать рот водой после их приема.
СОВЕТ №4
Используйте зубную пасту с фтором и щетку с мягкой щетиной. Это поможет защитить зубы от кариеса и минимизировать риск их крошения.
