Профессиональная чистка зубов — важная процедура для поддержания здоровья полости рта и предотвращения стоматологических заболеваний. Многие интересуются, нужна ли такая чистка и насколько она болезненна. В этой статье рассмотрим преимущества профессиональной чистки зубов и развеем мифы о болезненности процедуры, чтобы помочь вам принять обоснованное решение о заботе о здоровье.
Что это такое?
Профессиональная чистка зубов в стоматологии — безболезненный и эффективный способ поддержания здоровья полости рта. Методы чистки удаляют налет и зубной камень, способствующие размножению бактерий и развитию заболеваний.
Своевременное удаление налета предотвращает неприятные последствия, лечение которых обременительно. Профессиональная чистка стоит значительно дешевле, чем лечение, восстановление, протезирование или имплантация. Пациенты, посещающие стоматолога хотя бы раз в год, забывают о боли и страхе перед стоматологами.
Специалисты единодушны: профессиональная чистка зубов важна для здоровья полости рта. Регулярная чистка эффективно удаляет налет и камень, которые не поддаются обычной гигиенической чистке, снижая риск кариеса и заболеваний десен.
Большинство пациентов отмечают, что процедура проходит без значительных неприятных ощущений благодаря современным технологиям и анестезии. Чувствительность зубов может варьироваться в зависимости от индивидуальных особенностей. Профессиональная чистка не только улучшает эстетику зубов, но и способствует общему состоянию здоровья. Регулярные визиты к стоматологу помогут сохранить вашу улыбку на долгие годы.
Мнения экспертов о профессиональной чистке зубов однозначны: эта процедура необходима для поддержания здоровья полости рта. Регулярная чистка помогает удалить налет и зубной камень, которые не поддаются обычной гигиене. Специалисты подчеркивают, что такая профилактика снижает риск развития кариеса и заболеваний десен.
Что касается болевых ощущений, большинство стоматологов уверяют, что процедура не должна вызывать дискомфорта. Современные технологии и анестезия делают чистку максимально комфортной. Тем не менее, чувствительность зубов у разных людей может варьироваться, и в некоторых случаях пациенты могут ощущать легкое покалывание. Важно помнить, что профессиональная чистка – это инвестиция в здоровье зубов, которая в долгосрочной перспективе оправдывает себя.
https://youtube.com/watch?v=KEYy7SIweiI
Зачем проводят профессиональную чистку зубов?
В процессе ежедневного употребления пищи и напитков налет появляется сам по себе и очистить его можно с помощью зубной пасты и щетки. Изначально эти образования мягкие и легко устраняются, но только в доступных местах. А вот попадая в промежутки между зубами или пародонтальные карманы, становятся практически недоступными для удаления в домашних условиях.
Со временем такой мягкий налет начнет минерализироваться и твердеть, превращаясь в зубной камень. И вот его почистить с помощью щетки нельзя, тут нужны более агрессивные способы. Почему так получается? Все очень просто – затвердевшая поверхность практически не поддается воздействию мягких щеточек.
Образовавшийся зубной камень причиняет массу вреда всей ротовой полости. И дело даже не во внешнем виде улыбки и потемневших зубах. Намного хуже то, что затвердевший налет становится прекрасной средой для активного размножения бактерий. А они, в свою очередь, разрушают твердые и мягкие ткани, приводя к кариесу, гингивиту и другим стоматологическим заболеваниям.
Врачи утверждают, что даже здоровый зуб может выпасть просто из-за того, что вокруг него накопилось много твердого камня. Помимо этого, появляется и неприятный запах изо рта, а улыбка оставляет желать лучшего.
Выход есть только один – раз в год посещать стоматологическую клинику для профессиональной чистки любым подходящим для вас способом.
| Вопрос | Ответ | Дополнительная информация |
|---|---|---|
| Необходимость проф. чистки | Рекомендуется 1-2 раза в год, даже при тщательном домашнем уходе. | Предотвращает заболевания десен, кариес, улучшает эстетику улыбки. |
| Болезненность процедуры | Обычно процедура безболезненная, может быть лёгкий дискомфорт. | Используются местные анестетики при необходимости, например, при глубоком снятии камня. |
| Альтернативы | Тщательная домашняя гигиена (зубная щетка, нить, ополаскиватель). | Не заменяет профессиональную чистку, лишь дополняет её. |
Интересные факты
Вот несколько интересных фактов о профессиональной чистке зубов и связанных с ней аспектах:
-
Профилактика заболеваний: Профессиональная чистка зубов не только помогает удалить налет и зубной камень, но и значительно снижает риск развития заболеваний десен, таких как гингивит и пародонтит. Регулярные чистки могут предотвратить необходимость в более серьезных стоматологических процедурах в будущем.
-
Безболезненная процедура: Хотя некоторые пациенты могут испытывать дискомфорт во время чистки, большинство современных методов и инструментов делают эту процедуру достаточно комфортной. Стоматологи используют анестезию и специальные ультразвуковые устройства, которые минимизируют болезненные ощущения.
-
Долгосрочные результаты: Профессиональная чистка зубов может улучшить не только здоровье полости рта, но и общее состояние организма. Исследования показывают, что здоровье зубов связано с состоянием сердечно-сосудистой системы, и регулярные чистки могут снизить риск сердечно-сосудистых заболеваний.
https://youtube.com/watch?v=E3GvnDuh2C0
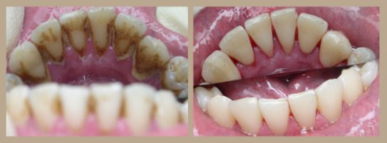
Фото до и после
Мнения о профессиональной чистке зубов разделяются. Многие считают эту процедуру необходимой для здоровья ротовой полости. Стоматологи подчеркивают, что регулярная чистка удаляет налет и зубной камень, недоступные для обычной гигиенической чистки. Однако некоторые пациенты боятся боли и дискомфорта во время процедуры. На практике большинство отмечает, что чистка не вызывает значительных неприятных ощущений, особенно с использованием современного оборудования. Некоторые стоматологи применяют анестезию для повышения комфорта. Регулярная профессиональная чистка зубов предотвращает более серьезные проблемы, такие как кариес и заболевания десен, что делает её важной для здоровья полости рта.
Показания и противопоказания
В отличие от лечебных процедур, которые применяют только по определенным показаниям, стоматологическую чистку желательно проводить абсолютно всем. Раз в год, а еще лучше каждые полгода, проходить осмотр у врача и очищать налет, пока он не привел к образованию более серьезных проблем.
Особенно рекомендуется совершать подобную процедуру для профилактики болезней десен, пародонта и зубов, для предупреждения кровоточивости мягких тканей, а также непосредственно перед отбеливанием.
Ограничений для проведения подобных манипуляций немного, в основном они касаются какого-то отдельного способа, например, лазерной чистки, но при этом остаются доступными все остальные.
Так, следует внимательно подбирать метод при следующих состояниях:
- беременность и при грудном вскармливании;
- детский возраст;
- слишком тонкая и чувствительная эмаль;
- серьезные заболевания дыхательных путей;
- склонность к аллергическим реакциям;
- повышенная стираемость зубов;
- различные инфекции в острой стадии;
- наличие гингивита, стоматита или пародонтоза.
В данных случаях, следует вылечить начальную проблему либо же подождать некоторое время, а иногда и остановить свой выбор на более щадящем методе чистки. Опытный стоматолог подберет подходящий вариант и скажет, какой лучше именно вам.
https://youtube.com/watch?v=meqnlrDiza4
Виды
Существует несколько методов удаления налета, и стоматолог выбирает подходящий с учетом чувствительности эмали и сложности отложений. Первой процедурой обычно является стандартная чистка с использованием специальной щетки и профессиональной пасты для обработки эмали.
Чаще всего это лишь начальный этап, после которого следуют дополнительные процедуры, зависящие от выбранного метода чистки.
Air Flow
Одна из простых и доступных почти всем методик очищения зубной поверхности от налета и камня – Air Flow. Способ такой чистки основан на струе воздуха и воды с добавлением обычной соды. Благодаря высокому давлению сода отлично разбивает отложения любой сложности, добираясь до самых труднодоступных мест. А вода мягко очищает от остатков налета и смягчает грубое воздействие соды, понижая температуру поверхности зуба.
Важно грамотно настроить силу струи, учитывая и толщину эмали, и чувствительность пациента, и твердость, запущенность зубного камня. Плюсами метода являются:
- Безболезненность.
- Доступность.
- Эффективность и полная безопасность для здоровья пациента.
Минусами могут выступать незначительные противопоказания и относительно кратковременный результат – его хватит в среднем на полгода.
Ультразвук
Этот метод эффективен для поддержания здоровья зубов, так как устраняет видимые отложения и поддесневые образования, которые сложно диагностировать и чистить, но оказывают значительное влияние на здоровье зуба.
С помощью специального устройства и насадки, которая достигает труднодоступных участков ротовой полости, ультразвуковые волны воздействуют на зубные отложения. Они разрушаются, а струя воды смывает остатки. Процедура безболезненна, безопасна для эмали, а результат сохраняется до года.
- Острые вирусные инфекции
- Заболевания дыхательной системы (бронхиты, астма)
- Повышенная чувствительность зубной эмали
- Проблемы с сердечно-сосудистой системой
- Дети
- Заболевания (туберкулез, ВИЧ, гепатит и другие)
- Наличие имплантов в ротовой полости или других частях тела пациента
Лазер
Такая чистка, которую чаще называют лазерным отбеливанием, включает в себя намного больше, чем предыдущие способы. Чтобы понять, что входит в процедуру, нужно объяснить принцип действия:
- Под лучами прибора испаряется вся влага, которой в налете намного больше, чем в эмали или дентине.
- От этого лишние образования сходят как бы слоями, оставляя поверхность зуба чистой.
- Если же применяется специальный гель, то при активизации с помощью лазера он способен еще и дополнительно изменить оттенок самого дентина, на который повлиять каким-то другим способом практически невозможно.
Таким образом, пациент получает не только чистую ротовую полость, но еще и максимальное отбеливание эмали. При этом результат процедуры будет длиться на протяжении нескольких лет.
Правда, у лазерной чистки есть намного больше противопоказаний, чем у любых других способов, а также ее цена значительно выше. Среди ограничений для проведения процедуры упоминаются:
- Детский возраст.
- Беременность и период лактации.
- Установленные брекеты или импланты.
- Гиперчувствительность зубной эмали.
- Болезни сердца.
- Различные инфекции общего характера.
- А также ВИЧ, туберкулез и гепатит.
Несмотря на такие осторожности к лазерному отбеливанию прибегает все больше людей, так как это происходит совершенно без боли, быстро, а эффект держится намного дольше, чем при любых других манипуляциях. Также пациентам нравится бесшумность метода и отсутствие контакта прибора с поверхностью зуба.
Этапы процедуры
Для правильного проведения процедуры стоматолог должен сначала осмотреть ротовую полость пациента и выяснить противопоказания, а затем перейти к следующим этапам:
- Применение электрической щетки и специального химического раствора.
- Удаление налета и зубного камня с использованием профессионального метода.
- Использование штрипсов – жестких лент с шероховатой поверхностью для тщательной обработки боковых сторон зубов.
- Полировка зубов, предотвращающая образование налета. Без обработки очищенные зубы могут стать местом быстрого накопления бактерий. Шлифовка эмали обеспечивает гладкость, что затрудняет образование налета.
- Нанесение фторсодержащего состава, улучшающего состояние эмали и защищающего ее от негативного воздействия.
Только пройдя все этапы, можно быть уверенным в успешности процедуры. Важно также следовать рекомендациям врача для домашнего ухода после профессиональной чистки.
Рекомендации после ее проведения
Очевидно, что при несоблюдении правил гигиены, бактерии очень быстро заполнят все очищенные места и эффект от процедуры окажется кратковременным. Чтобы этого не произошло, врачи должны научить пациента основам гигиены полости рта. Сюда входит:
- Ежедневная чистка, совершаемая правильными движениями и качественной зубной щеткой и пастой.
- Использование специальных нитей для очистки межзубного пространства.
- Полоскание ротовой полости после каждого приема пищи.
- Также важен отказ от некоторых вредных привычек, как употребление алкоголя, курение и чрезмерное увлечение кофе и газированными напитками.
Среди рекомендаций и регулярное посещение стоматолога. Врачи советуют совершать осмотр каждые полгода и вовремя проводить очередную чистку с помощью профессиональных методов. Лишь в таком случае можно быть уверенным не только в постоянной сияющей улыбке, но и абсолютном здоровье зубного ряда и десен.
Профессиональная чистка у детей
Ультразвуковая и лазерная чистка зубов противопоказаны детям до 16-18 лет, так как эмаль в этом возрасте еще формируется и не защищена от агрессивных воздействий. Поэтому детям подходят традиционные методы чистки с использованием специальных щеток и средств, а также процедура Air Flow.
- Ребенок не будет бояться стоматолога, что упростит согласие на будущие процедуры.
- Поддержание чистоты в ротовой полости способствует здоровью зубов и десен, что снижает необходимость частых визитов к стоматологу.
- Общение с врачом помогает ребенку привыкнуть к регулярным и правильным гигиеническим процедурам.
Частота проведения профессиональной чистки зубов
Профессиональная чистка зубов – это важная процедура, которая рекомендуется проводить регулярно для поддержания здоровья полости рта. Частота проведения этой процедуры зависит от индивидуальных факторов, таких как состояние зубов, наличие заболеваний десен, уровень гигиенических привычек и предрасположенность к образованию зубного налета и камня.
В большинстве случаев стоматологи рекомендуют проводить профессиональную чистку зубов не реже одного раза в шесть месяцев. Это позволяет эффективно удалять зубной налет и камень, которые не поддаются обычной чистке зубной щеткой и зубной нитью. Однако для некоторых людей, особенно тех, кто имеет повышенный риск заболеваний десен или активно курит, может потребоваться более частая чистка – раз в три-четыре месяца.
Важно отметить, что регулярная профессиональная чистка зубов не только помогает поддерживать здоровье зубов и десен, но и предотвращает развитие более серьезных стоматологических проблем, таких как кариес и пародонтит. Кроме того, чистка зубов у стоматолога может включать в себя дополнительные процедуры, такие как фторирование, что способствует укреплению эмали и защите от кариеса.
Некоторые пациенты могут испытывать дискомфорт во время процедуры, особенно если у них есть чувствительность зубов или воспаление десен. Однако большинство стоматологов используют современные технологии и инструменты, которые минимизируют болезненные ощущения. В случае необходимости, врач может предложить местную анестезию или специальные средства для снижения чувствительности.
Таким образом, регулярная профессиональная чистка зубов является важной частью ухода за полостью рта, и ее частота должна определяться индивидуально, с учетом состояния здоровья пациента и рекомендаций стоматолога.
Вопрос-ответ
Как часто нужно делать профессиональную чистку зубов?
Рекомендуется проходить профессиональную чистку зубов каждые 6 месяцев. Это поможет предотвратить образование зубного камня и кариеса, а также поддерживать здоровье десен. Однако в зависимости от состояния зубов и десен, стоматолог может порекомендовать более частые визиты.
Что происходит во время процедуры чистки зубов?
Во время профессиональной чистки зубов стоматолог или гигиенист использует специальные инструменты для удаления зубного налета и камня. Процедура включает в себя ультразвуковую чистку, полировку и фторирование зубов. Это помогает улучшить здоровье полости рта и предотвратить заболевания.
Больно ли делать профессиональную чистку зубов?
В большинстве случаев процедура не вызывает боли, но может быть немного дискомфортной, особенно если у пациента есть чувствительные зубы или воспаленные десны. Стоматологи часто используют анестезию или специальные средства для уменьшения дискомфорта, если это необходимо.
Советы
СОВЕТ №1
Регулярно посещайте стоматолога для профилактических осмотров. Профессиональная чистка зубов рекомендуется проводить не реже двух раз в год, чтобы предотвратить образование зубного камня и кариеса.
СОВЕТ №2
Не бойтесь процедуры чистки зубов. Современные методы и оборудование делают эту процедуру максимально комфортной и безболезненной. Если у вас есть страх, обсудите его со стоматологом — он сможет предложить варианты для уменьшения дискомфорта.
СОВЕТ №3
После профессиональной чистки зубов следите за гигиеной полости рта. Используйте зубную нить и ополаскиватели для рта, чтобы поддерживать результаты чистки и предотвратить повторное образование налета.
СОВЕТ №4
Обратите внимание на свои привычки в питании. Уменьшите потребление сахара и кислых продуктов, которые могут способствовать образованию налета и кариеса, чтобы сохранить здоровье зубов между визитами к стоматологу.
