Прикорневой кариес — распространенная и опасная форма зубного поражения, способная вызвать серьезные проблемы со здоровьем зубов и десен. Он развивается в области шейки зуба, где эмаль тонкая и уязвимая. В статье рассмотрим опасность прикорневого кариеса, факторы его развития, а также методы диагностики и лечения, которые помогут сохранить здоровье зубов и предотвратить осложнения. Эта информация будет полезна стоматологам и всем, кто заботится о своем здоровье.
Локализация кариозных полостей
Что такое кариес корня зуба? Это заболевание, при котором поражаются глубокие участки зуба. Врачи классифицируют кариозные поражения по расположению:
- кариес на коронке – затрагивает эмаль или дентин;
- пришеечный кариес – поражение близко к десне;
- корневой кариес – разрушает цемент.
Корневой кариес чаще встречается у людей старше 60 лет, в других возрастных группах он редок. Согласно Международной классификации болезней (МКБ-10), это заболевание относится к классу К02.2.
Важно различать пришеечный и корневой кариес: в первом случае поражаются эмаль и дентин, а полость образуется близко к слизистой. Во втором случае процесс происходит под десной и может оставаться незамеченным.
Корневой кариес представляет серьезную проблему. Он может привести к осложнениям, включая воспаление десен и потерю зуба. Основная угроза в том, что корневая область часто остается незамеченной на ранних стадиях, что затрудняет лечение.
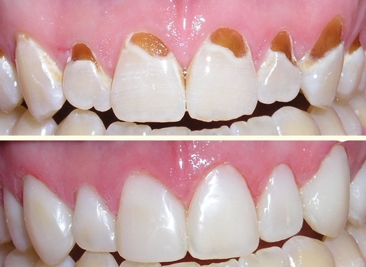
Лечение корневого кариеса включает удаление пораженной ткани и восстановление зуба пломбировочными материалами. В некоторых случаях требуется эндодонтическое лечение, если кариес затрагивает пульпу. Врачи подчеркивают важность регулярных профилактических осмотров для раннего выявления проблемы и предотвращения серьезных последствий для здоровья полости рта.
Прикорневой кариес представляет собой серьезную стоматологическую проблему, которая требует внимания специалистов. Эксперты подчеркивают, что этот вид кариеса часто развивается в результате недостаточной гигиены полости рта и может привести к болезненным ощущениям, а также к потере зуба. Важно отметить, что прикорневой кариес может затрагивать не только эмаль, но и более глубокие слои зуба, что увеличивает риск осложнений.
Лечение прикорневого кариеса обычно включает в себя несколько этапов. Сначала стоматолог проводит диагностику, используя рентгенографию для оценки степени повреждения. Затем, в зависимости от состояния зуба, может быть предложено пломбирование или, в более сложных случаях, эндодонтическое лечение. Эксперты рекомендуют регулярные профилактические осмотры и соблюдение правил гигиены, чтобы минимизировать риск возникновения прикорневого кариеса и сохранить здоровье зубов на долгие годы.
https://youtube.com/watch?v=RbWi-KjljQA
Причины прикорневого кариеса
- Наличие пародонтального кармана, когда частички пищи постоянно застревают в образовавшейся щели между десной и зубами. Поскольку вычистить их оттуда практически невозможно, то там быстро начинают размножаться бактерии.
- Запущенные случаи пришеечного поражения коронковой части зуба, когда без надлежащего лечения патогенные микроорганизмы распространяются на внутренние глубокие ткани.
- Ошибки при протезировании. Очень часто при некачественно установленной коронке в образовавшийся зазор попадают остатки пищи и быстро приводят к разрушению зуба под искусственным материалом.
- Если закончился срок годности такого изделия, то это тоже способствует появлению зазора или инфицированию тканей под конструкцией.
- Недостаточный гигиенический уход за ротовой полостью вызывает множество стоматологических заболеваний и кариес является самой распространенной из них. Поэтому так важно следить за чистотой поверхностей, использовать щетки, правильные пасты, зубные нити, ополаскиватели и другие приспособления, способные устранить остатки пищи и патогенные бактерии даже из труднодоступных мест.
- К поражению глубоких тканей приводят и другие заболевания – воспалительные процессы в деснах, гнойные инфекции слизистой или костей. Особо опасными в данном плане считаются гингивит, пародонтит, периодонтит, периостит, остеомиелит.
Возрастные изменения организма приводят к рецессии десны, что и способствует быстрому попаданию бактерий в корневую часть зуба. Она менее защищена от прямых агрессивных воздействий, так как не покрыта достаточным слоем эмали. Поэтому у старших людей чаще встречается данное заболевание. Но есть и другие факторы, увеличивающие риск патологии даже в молодом возрасте:
- курение;
- частое употребление кофе и алкоголя;
- хронические стрессы;
- условия резких перепадов температур, а также постоянных повышенных или пониженных их показателей;
- различные механические повреждения за счет увлечения твердой пищей или особыми видами спорта.
Также врачи обращают внимание на то, что при приеме отдельных лекарственных препаратов нарушается вязкость и состав слюны. При этом значительно снижаются ее защитные свойства, что приводит к ускоренным патологическим процессам в ротовой полости.
| Стадия прикорневого кариеса | Опасность | Методы лечения |
|---|---|---|
| Начальная (поверхностный кариес) | Минимальная. Поражение эмали, без боли. | Профессиональная гигиена полости рта, реминерализирующая терапия. |
| Средняя (средний кариес) | Появление кариозной полости, возможно незначительная боль от сладкого или кислого. | Препарирование кариозной полости, пломбирование. |
| Глубокая (глубокий кариес) | Сильная боль, возможно воспаление пульпы. | Препарирование кариозной полости, возможно удаление пораженной пульпы (пульпэктомия) с последующим пломбированием корневых каналов и установкой пломбы. В запущенных случаях – удаление зуба. |
| Периодонтит (осложнение) | Сильная боль, отек десны, гнойное воспаление тканей вокруг корня зуба. Возможно образование свища. | Лечение корневых каналов, возможно хирургическое вмешательство (резекция верхушки корня, ампутация корня). В запущенных случаях – удаление зуба. |
Интересные факты
Вот несколько интересных фактов о прикорневом кариесе и его лечении:
-
Риск развития: Прикорневой кариес чаще всего возникает у людей старше 50 лет, так как с возрастом десны могут отступать, открывая корневую поверхность зуба. Эта область менее защищена эмалью и более подвержена воздействию бактерий, что делает прикорневой кариес особенно опасным.
-
Симптомы и диагностика: Прикорневой кариес может долгое время не проявляться явными симптомами, что затрудняет его раннюю диагностику. Часто пациенты обращаются к стоматологу уже на стадии, когда кариес вызывает боль или дискомфорт, что может привести к более сложному и дорогостоящему лечению.
-
Методы лечения: Лечение прикорневого кариеса может варьироваться в зависимости от степени его развития. На ранних стадиях возможно применение реминерализующих средств и фторсодержащих препаратов, которые помогают восстановить минерализацию зуба. В более запущенных случаях может потребоваться пломбирование или даже корневая терапия, если кариес затрагивает пульпу зуба.
Эти факты подчеркивают важность регулярных стоматологических осмотров и своевременного лечения, чтобы избежать серьезных осложнений, связанных с прикорневым кариесом.
https://youtube.com/watch?v=LsMSTVvAi8A
Симптомы
Клинические проявления заболевания имеют свои особенности: кариозные изменения не видны даже при профессиональном осмотре, и самостоятельно их выявить невозможно. Однако есть признаки, указывающие на поражение зубных тканей:
- эмаль реагирует на изменения температуры при еде или питье;
- сладкие и кислые продукты вызывают дискомфорт;
- разрыхляются мягкие ткани, образуются пародонтальные карманы, где застревают частицы пищи;
- возникают воспалительные процессы с характерной симптоматикой;
- появляются болезненные ощущения при жевании из-за разрушения корня, что может привести к смещению зуба.
Определение патологии затруднено, так как она может долго протекать без явных симптомов. Проявления становятся заметны лишь при значительном разрушении тканей и коронковой части зуба.
Прикорневой кариес — серьезная проблема, о которой говорят стоматологи и пациенты. Он возникает из-за разрушения эмали и дентина в области корня зуба, что может привести к болевым ощущениям и потере зуба. На ранних стадиях кариес часто протекает без симптомов, поэтому регулярные визиты к стоматологу для профилактических осмотров важны.
Лечение прикорневого кариеса обычно включает удаление пораженной ткани и восстановление зуба с использованием пломбировочных материалов. В некоторых случаях требуется более сложное вмешательство, например, корневая терапия. Стоматологи подчеркивают, что своевременное обращение за помощью и соблюдение гигиенических норм могут существенно снизить риск развития этой проблемы. Пациенты отмечают, что после лечения чувствуют облегчение и уверенность в здоровье зубов.
Диагностика
При любых жалобах пациента, когда симптомы дают повод заподозрить наличие кариеса корневой части зуба, врач обязан провести полноценное обследование для выявления локализации пораженного участка. Для этого применяют такие способы дифференциальной диагностики:
- Визуальный осмотр стоматологом – соотносят жалобы пациента с видимыми изменениями в ротовой полости. На основании этого и назначают остальные процедуры по обнаружению заболевания.
- Зондирование – с помощью специального тонкого инструмента можно обследовать участок зуба под десной. Если зонд обнаруживает шероховатую поверхность, различные нарушения гладкости корневой зоны и другие явные изменения, то это дает основание поставить соответствующий диагноз.
- Рентгенологическое обследование – на таком снимке видны любые, даже самые минимальные разрушенные участки твердых тканей и с точностью определяется их локализация.
- Визиография – современный способ диагностики зубочелюстных изменений, когда на экране показываются присутствующие проблемы в целом ряду.
- Термодиагностика – с помощью струи воды, которая подается на зуб и имеет различную температуру, можно определить пораженные участки. А наличие повышенной чувствительности и дает предположение о присутствии патологии.
- Электроодонтометрия – за счет небольших импульсов электрического тока, подаваемых на зуб с разной интенсивностью, можно определить проблемные зоны и даже установить стадию разрушительного процесса.
Кариес корня зубов – лечить или удалять?
Диагностика и лечение становятся проще при поверхностных повреждениях эмали или дентина. Однако, если кариес затрагивает корень зуба, его устранение усложняется. Как действовать в такой ситуации?
Чтобы определить возможность лечения и шаги для устранения инфекции, специалисту нужно оценить:
- местоположение и степень разрушения;
- объем и глубину поражения;
- общее состояние ротовой полости и наличие сопутствующих заболеваний;
- симптомы и состояние зубного корня.
Перед вмешательством важно тщательно очистить поверхности от налета и зубного камня. Профессиональная чистка помогает предотвратить распространение микроорганизмов вглубь тканей.
Если кариес корня вызван ортодонтическими конструкциями, их следует заменить на новые после завершения лечения, чтобы избежать повторной проблемы.
Пломбирование
Иначе этот метод называют еще оперативным, так как используются различные приспособления, помогающие добраться до глубоких тканей ротовой полости. Такой способ лечения предполагает устранение всех пораженных бактериями участков и последующее пломбирование образовавшихся полостей.
Но в случае заболевания корня процедура становится весьма сложной, так как есть риск повреждения мягких тканей. Для их защиты можно использовать:
- диатермокоагуляцию – удаление излишних пародонтальных участков с помощью особого горячего инструмента;
- ретракцию, предполагающую использование тонких нитей с раствором, способным остановить кровотечение.
При пломбировании глубокого кариеса есть особая сложность – наличие обильной слюны и влаги, что может привести к отхождению искусственного материала. Поэтому очень важно выбрать правильный:
- Стеклоиономерный цемент – один из лучших вариантов для пломбирования корней, так как имеет высокие показатели сцепления с зубными тканями даже при наличии влаги. Кроме того, в него добавляют фториды, которые способствуют дополнительному укреплению единицы.
- Амальгама – ее применяют все реже и реже, так как она создана на основе ртутных веществ. Сложность состоит в защите врача при работе с ней и некоторых опасностях для здоровья пациента.
- Компомерная пломба – это особый искусственный состав на основе стеклоиономеров и композита. Но его качество фиксации слегка уступает предыдущим вариантам.
Весь процесс пломбирования предполагает такие действия врача:
- Устраняют зубной камень профессиональным способом.
- Вводят подходящее анестезирующее средство.
- Удаляют поврежденную ткань.
- С помощью особого индикатора проверяют наличие патологических процессов в корне.
- Формируют полость с ровными стенками.
- Изолируют рабочую область от слюны и влаги.
- Подбирают лучший пломбирующий материал.
- Восстанавливают поврежденный и обработанный участок.
Видео: о кариесе корня зуба.
https://youtube.com/watch?v=D5doDlmXQ1c
Терапия
Когда патогенные микроорганизмы начинают свою разрушительную деятельность и кариозные поражения незначительны, можно использовать фторсодержащие средства. Этот метод подходит для лечения поверхностного кариеса на видимых участках зуба. Реминерализующая терапия для корневой зоны применяется редко.
Можно ли восстановить корень?
Полное восстановление корневого участка даже при объемных разрушениях допустимо в отдельных случаях. При этом врачи используют специальные вкладки. По своей сути они являются теми же коронками, но со стержнем, который закладывается в оставшийся естественный корень и фиксируется с помощью специального клея или цемента. Делаются они из керамики или металла.
В дополнение к этому на зуб могут установить защитный колпачок, предотвращающий его повреждение, инфицирование или перелом корня от механического воздействия. Создают такую вкладку и колпачок к ней только по индивидуальным слепкам. При этом очень важно сделать все правильно, тогда срок службы восстановленного зуба значительно продлевается.
Профилактика прикорневого кариеса
Профилактика прикорневого кариеса включает в себя комплекс мероприятий, направленных на предотвращение его возникновения и прогрессирования. Основные аспекты профилактики можно разделить на несколько ключевых направлений.
1. Гигиена полости рта: Регулярная и правильная гигиена полости рта является основой профилактики кариеса. Рекомендуется чистить зубы дважды в день с использованием фторсодержащей зубной пасты. Особое внимание следует уделять области десен и прикорневой зоне, где чаще всего образуются кариозные поражения. Использование зубной нити и ополаскивателей для рта поможет удалить остатки пищи и налет из труднодоступных мест.
2. Регулярные визиты к стоматологу: Профилактические осмотры у стоматолога не менее двух раз в год позволяют своевременно выявить начальные стадии кариеса и другие стоматологические проблемы. Стоматолог может провести профессиональную чистку зубов, что поможет удалить зубной камень и налет, способствующие развитию кариеса.
3. Правильное питание: Сбалансированное питание играет важную роль в профилактике кариеса. Употребление продуктов, богатых кальцием и фтором, таких как молочные продукты, рыба и зелень, способствует укреплению зубной эмали. Ограничение потребления сахара и кислых продуктов также поможет снизить риск развития кариеса, так как они способствуют размножению бактерий, вызывающих разрушение зубной ткани.
4. Использование фторсодержащих препаратов: Фтор помогает укрепить зубную эмаль и делает ее более устойчивой к кариесу. Использование фторсодержащих гелей и лака для зубов может быть рекомендовано стоматологом, особенно для пациентов с высоким риском развития кариеса.
5. Обучение и информирование: Важно повышать осведомленность о прикорневом кариесе и его профилактике. Обучение пациентов правильным методам ухода за зубами и информирование о рисках, связанных с прикорневым кариесом, могут значительно снизить вероятность его возникновения.
Следуя этим рекомендациям, можно значительно снизить риск развития прикорневого кариеса и сохранить здоровье зубов на долгие годы.
Вопрос-ответ
Чем опасен прикорневой кариес?
Пришеечный или цервикальный кариес чаще поражает зубы у детей и пациентов от 30 до 60 лет. Он опасен из-за своей локализации: деминерализация эмали на границе коронки и зубного корня может привести к потере зуба, если вовремя не начать лечение.
Почему не лечат пришеечный кариес?
Чем опасен пришеечный кариес? Развивается быстрее. Из-за небольшой толщины эмали ее пораженный участок быстрее темнеет и начинает разрушаться. Если в прикорневой части коронок скапливается налет, зубной камень, лучше обратиться к стоматологу как можно быстрее — кариес может сформироваться всего за несколько недель.
Как быстро прогрессирует пришеечный кариес?
Пришеечный кариес отличается от клиновидного дефекта тем, что развивается быстро (от нескольких недель до нескольких месяцев). Область поражения меняет цвет на темный оттенок, эмаль становится рыхлой, размягченной.
Советы
СОВЕТ №1
Регулярно посещайте стоматолога для профилактических осмотров. Это поможет выявить прикорневой кариес на ранних стадиях, что значительно упростит лечение и снизит риск осложнений.
СОВЕТ №2
Обратите внимание на свою гигиену полости рта. Используйте зубную пасту с фтором и чистите зубы дважды в день, чтобы предотвратить образование кариеса, особенно в области корней зубов.
СОВЕТ №3
Следите за своим питанием. Уменьшите потребление сахара и кислых продуктов, которые могут способствовать развитию кариеса. Включите в рацион больше овощей, фруктов и молочных продуктов для укрепления зубной эмали.
СОВЕТ №4
Если у вас уже есть признаки прикорневого кариеса, не откладывайте визит к стоматологу. Чем раньше начнется лечение, тем меньше будет риск серьезных осложнений, таких как пульпит или потеря зуба.
