Ларингоцеле — редкое, но серьезное заболевание, характеризующееся образованием воздушной полости в гортани, что может вызывать различные симптомы и осложнения. В статье рассмотрим основные симптомы ларингоцеле, его причины и методы лечения, что поможет читателям лучше понять это состояние и своевременно обратиться за медицинской помощью. Знание о ларингоцеле важно для пациентов и медицинских специалистов, так как ранняя диагностика и правильное лечение могут улучшить качество жизни и предотвратить серьезные последствия.
Виды ларингоцеле
В зависимости от направления роста кисты выделяют внутреннюю, наружную и смешанную формы. Чаще всего киста развивается в просвете органа, увеличивая одну из складок преддверия. Если образование растет наружу, оно может расслаивать мембрану между щитовидным хрящом и подъязычной костью, проявляясь на боковой или передней части шеи в виде округлого образования, чаще слева. Ларингоцеле по МКБ 10 имеет код Q 31.3. Это состояние часто сопровождается хроническим ларингитом, трахеитом и бронхитом.
Прогноз при ларингоцеле зависит от темпов роста кисты и ее размеров. В большинстве случаев он благоприятный, однако может вызывать затруднения с дыханием из-за сужения просвета дыхательных путей.
Ларингоцеле — аномалия, проявляющаяся образованием воздушной полости в области гортани. Основные симптомы — охриплость, затрудненное дыхание и кашель. В некоторых случаях наблюдается увеличение области шеи, что вызывает беспокойство у пациентов.
Ранняя диагностика важна, так как запущенные случаи могут привести к серьезным осложнениям. Лечение ларингоцеле обычно включает хирургическое вмешательство для удаления полости. Врачи рекомендуют регулярные осмотры и консультации с отоларингологом для контроля состояния и предотвращения рецидивов. Профилактика включает избегание факторов, повышающих давление в дыхательных путях, таких как частые кашли и интенсивные физические нагрузки.
Эксперты в области отоларингологии подчеркивают, что ларингоцеле — это редкое, но важное заболевание, требующее внимательного подхода к диагностике и лечению. Основные симптомы включают охриплость, затрудненное дыхание и ощущение инородного тела в горле. Важно отметить, что эти проявления могут варьироваться в зависимости от степени выраженности заболевания. Лечение ларингоцеле обычно хирургическое, так как консервативные методы не всегда эффективны. Специалисты рекомендуют раннюю диагностику и своевременное вмешательство, чтобы избежать осложнений. Регулярные осмотры у отоларинголога помогут выявить заболевание на ранней стадии и обеспечить успешное лечение.
https://youtube.com/watch?v=1z5WyzG7Jf8
Диагностика ларингоцеле
Диагноз ставит врач отоларинголог на основании клинического обследования и дополнительных данных. При небольшом размере ларингоцеле признаки вообще могут отсутствовать. Его случайно обнаруживают при ларингоскопии по поводу другого обращения к врачу или на снимках КТ, рентгена.
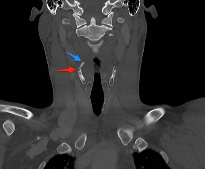
Ларингоцеле КТ-снимок
| Симптом | Описание | Возможные причины |
|---|---|---|
| Бессимптомное течение | Ларингоцеле может протекать бессимптомно и быть обнаружено случайно при обследовании по другому поводу. | Маленький размер ларингоцеле, медленный рост. |
| Ощущение инородного тела в горле | Пациент может ощущать дискомфорт, чувство давления или инородного тела в горле, особенно при глотании. | Увеличение размера ларингоцеле, его давление на окружающие ткани. |
| Одышка | Затруднение дыхания может возникнуть при значительном увеличении ларингоцеле, сдавливающем дыхательные пути. | Большое ларингоцеле, его быстрое увеличение. |
| Осиплость голоса | Изменение голоса, осиплость или дисфония могут быть связаны со сдавлением голосовых связок. | Расположение ларингоцеле, его давление на голосовые связки. |
| Кашель | Может быть вызвано раздражением слизистой оболочки гортани. | Раздражение слизистой оболочки ларингоцеле. |
| Боль в горле | Может возникать при воспалении или инфекции, связанной с ларингоцеле. | Инфекция, воспаление ларингоцеле. |
| Припухлость шеи | Видимое выпячивание на шее, особенно заметное при напряжении или кашле. | Наружное ларингоцеле, значительное увеличение его размера. |
| Изменение внешнего вида шеи | Асимметрия шеи, видимое выпячивание. | Наружное ларингоцеле. |
Интересные факты
Вот несколько интересных фактов о ларингоцеле, его симптомах и лечении:
-
Редкость заболевания: Ларингоцеле — это довольно редкое заболевание, которое возникает в результате аномального расширения воздушного мешка в области гортани. Оно чаще всего встречается у людей, занимающихся певческим искусством или профессиональным вокалом, так как постоянное напряжение голосовых связок может способствовать его развитию.
-
Симптомы и диагностика: Основные симптомы ларингоцеле могут включать охриплость, затрудненное дыхание, кашель и даже свистящие звуки при дыхании. В некоторых случаях заболевание может протекать бессимптомно, что затрудняет его диагностику. Для подтверждения диагноза часто используются методы визуализации, такие как ларингоскопия.
-
Методы лечения: Лечение ларингоцеле может варьироваться в зависимости от степени выраженности симптомов. В легких случаях может быть достаточно наблюдения и изменения голосовой нагрузки, однако в более серьезных случаях может потребоваться хирургическое вмешательство для удаления расширенного мешка и восстановления нормальной анатомии гортани.
https://youtube.com/watch?v=R5b2rgmy0_A
Симптомы болезни
Признаки ларингоцеле зависят от размера и расположения образования в гортани. При опросе пациентов выявляются следующие жалобы:
- Изменения голоса – слабый, хриплый, тихий голос, вплоть до полной потери.
- Трудности при глотании и ощущение инородного тела.
- Затрудненное дыхание, особенно при вдохе, если образование перекрывает более 50% просвета на уровне преддверных складок.
- При наружной или смешанной локализации можно заметить образование на шее. При нажатии на него слышен звук выходящего воздуха, а киста уменьшается в размере.
Симптомы развиваются медленно. У близких родственников могут наблюдаться аналогичные проблемы: истинная киста часто связана с наследственными особенностями развития гортани. Слепой вырост от гортанного желудочка предрасполагает к ларингоцеле.
Наиболее подвержены заболеванию люди определенных профессий – музыканты, певцы, ораторы, стеклодувы. При игре на духовом инструменте требуется сильный выдох, что приводит к попаданию воздуха в полость и растяжению стенок желудочков. Если входное отверстие закрывается, воздух не может выйти, и образование увеличивается. Аналогичные последствия могут возникнуть при длительном кашле из-за хронических заболеваний бронхов и легких или при обструкции дыхательных путей ниже уровня гортани из-за опухолей или стенозов.
Ларингоцеле – редкое заболевание, вызывающее беспокойство у пациентов и врачей. Симптомы, такие как затрудненное дыхание, хрипота и ощущение инородного тела в горле, могут существенно ухудшать качество жизни, особенно у тех, кто активно использует голос. Лечение обычно включает хирургическое вмешательство для удаления кисты. Многие пациенты отмечают значительное улучшение после операции и возможность вернуться к привычной жизни. Ранняя диагностика и консультация с отоларингологом играют ключевую роль в успешном лечении.
Данные, полученные при физикальном обследовании
Внутреннее ларингоцеле видно при непрямой ларингоскопии. Образование располагается сбоку от вестибулярной складки или в ее толще, а также по ходу черпалонадгортанной складки. Обычно нет признаков воспаления слизистой, хотя при длительном нахождении киста может вызывать раздражение, красноту, отечность тканей.
Если входное отверстие в кисту закрывается, образуется замкнутая полость. В ней может скапливаться жидкость или слизь. При слабом иммунитете она воспаляется и превращается в пиоцеле – полость, заполненную гноем. В таких случаях к симптомам присоединяются лихорадка, признаки интоксикации, боли в горле.
При наружном расположении кисту видно на шее. Она мягкой консистенции, ее пальпация безболезненная. При надавливании воздух выходит из ларингоцеле, затем снова набирается.
При перкуссии над образованием характерен тимпанит, аускультативно определяются шумы при дыхании.
Полезно знать как лечить врожденный стридор
https://youtube.com/watch?v=X26QNlW7q4M
Дополнительные методы обследования
Для подтверждения диагноза ларингоцеле гортани используют КТ, МРТ и рентгенографию. Эти методы помогают дифференцировать ларингоцеле от других образований в гортани и соседних органах, таких как опухоли и абсцессы. На снимках можно оценить размеры кисты и ее расположение относительно окружающих тканей. На КТ ларингоцеле выглядит как полость с гладкими стенками, содержащая воздух.
Если в полости обнаруживается жидкость, проводят диагностическую пункцию с анализом содержимого.
Эндофиброларингоскопия позволяет обнаружить и удалить кисту без наружных разрезов, непосредственно из полости гортани.
Методы лечения Ларингоцеле
При ларингоцеле лечение оперативное. Консервативно можно вести больных только при минимальных размерах кисты, полном отсутствии жалоб или противопоказаниях к операции. Удаление внутренней кисты проводят эндоларингеально под общим обезболиванием. Такая операция проводится через гортань. Она менее травматичная: быстрее происходит заживление тканей, короче реабилитационный период, госпитализация всего 1 – 2 дня. Образование захватывают микрохирургическими инструментами, введенными через прямой ларингоскоп. Перевязывают ножку и отсекают образование. Проводят гемостаз. После операции показаны орошение слизистой оболочки гортани и полоскания растворами антисептиков.
При наружном или смешанном ларингоцеле проводят открытую операцию с доступом через кожу шеи по боковой или передней поверхности. Удаление проводят вместе со стенками кисты, чтобы не наблюдалось рецидива образования. Для профилактики воспалительных осложнений назначают антибактериальные препараты. Проводят обработку раны антисептиками, через 7 – 10 дней снимают швы.
Для профилактики ларингоцеле люди с наследственной или профессиональной предрасположенностью должны периодически проходить осмотр у отоларинголога. При появлении проблем с голосом или дыханием нужно обращаться к врачу.
Профилактика ларингоцеле
Профилактика ларингоцеле включает в себя несколько важных аспектов, направленных на снижение риска развития этого заболевания. Ларингоцеле — это аномалия, связанная с расширением воздушного мешка в области гортани, что может привести к различным осложнениям. Основные меры профилактики можно разделить на несколько категорий.
1. Избежание травм гортани: Поскольку ларингоцеле может развиваться в результате травм или чрезмерного напряжения голосовых связок, важно избегать ситуаций, которые могут привести к повреждению гортани. Это включает в себя бережное отношение к голосу, особенно для людей, чья профессия связана с интенсивным использованием голоса, таких как певцы, учителя и ораторы.
2. Контроль за хроническими заболеваниями: Хронические заболевания дыхательных путей, такие как астма или хронический бронхит, могут способствовать развитию ларингоцеле. Регулярное медицинское наблюдение и адекватное лечение этих заболеваний помогут снизить риск возникновения осложнений, связанных с гортанью.
3. Избегание курения и пассивного курения: Курение является одним из факторов риска для заболеваний дыхательных путей и может способствовать развитию ларингоцеле. Отказ от курения и избегание воздействия табачного дыма помогут сохранить здоровье гортани и снизить вероятность возникновения аномалий.
4. Поддержание нормального уровня влажности воздуха: Сухой воздух может раздражать дыхательные пути и способствовать развитию различных заболеваний. Использование увлажнителей воздуха, особенно в зимний период, когда отопление может сушить воздух, поможет поддерживать оптимальные условия для здоровья гортани.
5. Регулярные медицинские осмотры: Профилактические осмотры у отоларинголога помогут выявить возможные проблемы на ранних стадиях. Это особенно важно для людей, которые подвержены риску развития заболеваний гортани. Раннее выявление и лечение могут предотвратить развитие ларингоцеле и других серьезных заболеваний.
6. Образ жизни и питание: Здоровый образ жизни, включая сбалансированное питание, физическую активность и достаточное количество сна, способствует укреплению иммунной системы и общему состоянию здоровья. Это, в свою очередь, может снизить риск развития различных заболеваний, включая ларингоцеле.
Следуя этим рекомендациям, можно значительно снизить риск развития ларингоцеле и других заболеваний гортани. Важно помнить, что профилактика всегда лучше, чем лечение, и забота о здоровье гортани должна быть приоритетом для каждого человека.
Вопрос-ответ
Что такое ларингоцеле и как он возникает?
Ларингоцеле — это аномалия, при которой возникает расширение или выпячивание стенки гортани, часто связанное с избыточным давлением в дыхательных путях. Это состояние может быть врожденным или приобретенным, например, в результате хронического кашля, курения или других факторов, вызывающих повышенное давление в области гортани.
Какие симптомы могут указывать на наличие ларингоцеле?
Симптомы ларингоцеле могут включать охриплость, затрудненное дыхание, кашель, а также ощущение инородного тела в горле. В некоторых случаях может наблюдаться увеличение шейной области, особенно при напряжении, что также может указывать на наличие этого состояния.
Как проводится лечение ларингоцеле?
Лечение ларингоцеле зависит от его размера и симптомов. В легких случаях может быть рекомендовано наблюдение и изменение образа жизни, включая отказ от курения и лечение хронических заболеваний дыхательных путей. В более серьезных случаях может потребоваться хирургическое вмешательство для удаления выпячивания и восстановления нормальной анатомии гортани.
Советы
СОВЕТ №1
Если вы заметили у себя или у близкого человека симптомы ларингоцеле, такие как охриплость, затрудненное дыхание или постоянный кашель, не откладывайте визит к врачу. Ранняя диагностика может значительно облегчить лечение и предотвратить осложнения.
СОВЕТ №2
Обратите внимание на факторы, которые могут способствовать развитию ларингоцеле, такие как курение или частые инфекции верхних дыхательных путей. Избегание этих факторов может помочь снизить риск возникновения заболевания.
СОВЕТ №3
При лечении ларингоцеле важно следовать рекомендациям врача и не заниматься самолечением. В некоторых случаях может потребоваться хирургическое вмешательство, и только специалист сможет определить наилучший подход к вашему состоянию.
СОВЕТ №4
Поддерживайте здоровый образ жизни, включая сбалансированное питание и регулярные физические нагрузки. Это поможет укрепить иммунную систему и снизить вероятность заболеваний дыхательных путей, что может снизить риск развития ларингоцеле.
