Зубное протезирование без обточки соседних зубов — это щадящий метод восстановления утраченных зубов, который набирает популярность у пациентов и стоматологов. В статье рассмотрим особенности и виды таких протезов, а также их преимущества и недостатки. Эти аспекты помогут читателям осознанно выбрать метод протезирования, сохранив здоровье зубов и десен.
Показания к проведению процедуры
Протезирование без обточки соседних зубов разработано для сохранения здоровых опорных единиц, на которые устанавливаются специальные конструкции. Ранее для установки протеза требовалось удалить нерв из здорового зуба и значительно его обточить, что приводило к необходимости постоянной фиксации или замены протеза.
Показания к этому методу включают:
- Образование больших промежутков из-за утраты зубов.
- Повышенная подвижность опорных зубов, что делает их использование невозможным.
- Заболевания или врожденные аномалии, затрудняющие обточку.
- Слабая эмаль, подверженная крошению, что делает опору ненадежной.
- Установка протезов в детской стоматологии, предполагающая минимальное вмешательство.
Многие люди отказываются от протезов, которые могут повредить здоровую часть зубного ряда. Методы восстановления утраченных зубов предлагают множество преимуществ:
- Минимум болевых ощущений.
- Щадящее вмешательство.
- Отсутствие повреждения нерва в здоровом зубе.
- Улучшение эстетических характеристик.
- Позитивное влияние на зубной ряд.
- Избежание аллергических реакций благодаря гипоаллергенным материалам.
- Легкость привыкания к протезу, так как он не создает давления на десны.
- Возможность замены протеза без обточки соседних зубов.
- Сокращение времени на протезирование за счет исключения длительных процедур.
- Низкая стоимость услуг из-за меньшего количества подготовительных процедур.
- Оптимальное распределение жевательной нагрузки благодаря прочным креплениям.
- Удобство в уходе без необходимости специальных процедур.
Зубное протезирование без обточки соседних зубов становится все более востребованным благодаря своим преимуществам. Этот метод сохраняет целостность здоровых зубов, что важно для долговременного здоровья полости рта. Существуют различные виды таких протезов, включая съемные и несъемные конструкции из современных материалов, таких как керамика или композитные смолы.
Данный подход снижает риск осложнений и уменьшает дискомфорт для пациента, способствует более естественному восприятию зубного ряда и улучшает эстетику улыбки. Врачи рекомендуют этот метод как оптимальный выбор для сохранения здоровья зубов и избегания ненужных манипуляций.
Эксперты в области стоматологии отмечают, что зубное протезирование без обточки соседних зубов становится все более популярным благодаря своим преимуществам. Этот метод, известный как протезирование на имплантах или съемные конструкции, позволяет сохранить целостность здоровых зубов, что особенно важно для долгосрочного здоровья полости рта.
Среди основных видов таких протезов выделяют съемные протезы, которые легко устанавливаются и снимаются, а также фиксированные конструкции на имплантах, которые обеспечивают надежную фиксацию и естественный внешний вид. Специалисты подчеркивают, что такой подход минимизирует риск повреждения соседних зубов и десен, а также сокращает время реабилитации пациента.
Кроме того, современные технологии позволяют создавать протезы, которые идеально подходят по цвету и форме, что значительно улучшает эстетические результаты. В целом, протезирование без обточки соседних зубов представляет собой эффективное решение для восстановления утраченных зубов, сохраняя при этом здоровье и функциональность всей зубочелюстной системы.
https://youtube.com/watch?v=Mlt9spVYVgo
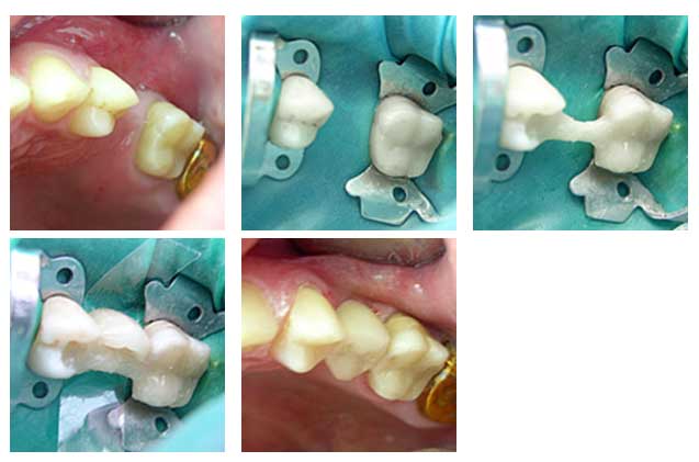
Адгезивные мостовидные протезы
► Технология
На опорных зубах делают особые насечки, но они не настолько глубоки, чтобы повредить целостность дентина. Врач использует армированную ленту необходимой длины и специальный клей, которым пропитывает ее.
В результате получается очень крепкий и прочный каркас. Такую ленту закладывают в подготовленную полость и полимеризуют. Затем остается только создать сам искусственный зуб, который не будет отличаться от окружающих здоровых единиц и закрепить его на конструкции.
► Преимущества и недостатки
Преимуществами адгезивного протезирования считаются:
- Нет необходимости умертвлять опорные зубы.
- Доступная стоимость.
- Отсутствие аллергических реакций на ленту и клей у большинства пациентов.
- Прочность конструкции дает возможность использовать ее длительное время.
- В любой момент доступно заменить такой протез на какой-нибудь иной способ восстановления.
Минусом является то, что рано или поздно придется все равно его заменить или восстановить. Даже хорошая прочность материала не дает гарантию его вечного использования.
| Вид протезирования | Особенности | Преимущества | Недостатки |
|---|---|---|---|
| Адгезивные мостовидные протезы | Фиксация на соседних зубах с помощью специального клея (композита) без обточки. | Сохранение здоровых тканей зубов, эстетичность, быстрое изготовление и установка. | Ограничения по жевательной нагрузке, недолговечность по сравнению с традиционными мостовидными протезами, возможность отклеивания. |
| Имплантация | Установка имплантата в костную ткань челюсти, на который крепится коронка или протез. | Надежная фиксация, восстановление жевательной функции, долговечность. | Требуется достаточный объем костной ткани, более длительный и сложный процесс лечения, более высокая стоимость. |
| Частичные съемные протезы (бюгельные, пластиночные с кламмерами) | Фиксация на опорных зубах с помощью кламмеров или аттачменов. | Возможность протезирования при отсутствии нескольких зубов, относительно невысокая стоимость. | Наличие металлических элементов, некоторые неудобства при ношении, требуется адаптация. |
Интересные факты
Вот несколько интересных фактов о зубном протезировании без обточки соседних зубов:
-
Минимально инвазивные технологии: Современные методы протезирования, такие как съемные протезы на имплантах или протезы на основе адгезивных технологий, позволяют восстановить зубы без необходимости обтачивания соседних зубов. Это сохраняет естественную структуру зубного ряда и снижает риск осложнений.
-
Использование 3D-печати: В последние годы в стоматологии активно применяется 3D-печать для создания индивидуальных протезов. Это позволяет не только точно подогнать протез под анатомические особенности пациента, но и значительно сократить время на изготовление и установку.
-
Психологический аспект: Протезирование без обточки соседних зубов может значительно повысить уровень комфорта и уверенности пациента. Многие люди опасаются стоматологических процедур, и возможность избежать обточки зубов делает процесс менее стрессовым и более приемлемым для пациентов.
https://youtube.com/watch?v=v17Ik1b09DU
Протезы по системе CBW
► Технология
Протезирование по системе CBW включает частичное повреждение эмали и дентина соседних зубов. В этих зубах создаются отверстия для установки замков, глубина обработки контролируется.
В опорные зубы устанавливаются микрозамки, меньшие по размеру головки булавки. Аналогичные крепления монтируются на искусственный зуб. После размещения зуба в подготовленной области замки закрываются, обрабатываются композитным материалом и подвергаются воздействию световых лучей для максимального сцепления.
► Плюсы и минусы
Преимущества данного метода:
- Минимальное повреждение соседних зубов.
- Равномерное распределение нагрузки на челюсть при жевании.
- Высокая прочность конструкции.
- Небольшое время установки.
- Отсутствие давления на десны, что исключает их травмирование.
- Отверстия легко поддаются пломбировке, можно выбрать другой тип протеза.
Недостаток метода — его временный характер. Несмотря на прочность, конструкция не является постоянной.
Протезирование зубов без обточки соседних единиц становится все более популярным среди пациентов, желающих сохранить здоровье зубов. Этот подход позволяет избежать ненужного вмешательства и минимизировать риск повреждения здоровых зубов. Протезы, как съемные, так и несъемные, обеспечивают надежную фиксацию и комфорт. Современные технологии, такие как 3D-печать и CAD/CAM, значительно повысили качество протезов, делая их более эстетичными и функциональными. Такой подход требует тщательной диагностики и индивидуального подбора, что позволяет достичь наилучших результатов. Люди, прошедшие процедуру, часто делятся положительными отзывами о восстановлении жевательной функции и улучшении внешнего вида улыбки.
Нейлоновые протезы
► Технология
Когда нужно восстановить целый ряд зубов, а не одну-две единицы, следует воспользоваться съемными протезами. Одним из лучших и максимально удобных вариантов считается нейлоновый или, как его еще называют, силиконовый. При этом изготавливают условно съемную пластинку из нейлоновой ткани.
Это гибкий, но достаточно прочный материал, с его помощью имитируют десну и делают каркас под искусственные зубы. Для максимальной точности производят сначала оттиск нужного участка и отливают по нему каркас.
► Преимущества и недостатки
Особые преимущества метода делает его популярным среди пациентов:
- Легкое привыкание к протезу, со временем он даже не ощущается во рту.
- На такую ткань нет аллергической реакции.
- Несмотря на то что конструкцию можно снять, она прочно крепится на зубы.
- Не нужен специальный уход, достаточно обычной чистки.
- Недолговечный срок службы – до трех лет.
- Случается натирание на участках соприкосновения конструкции и десны.
- Такой материал дороже, чем акриловый аналог.
https://youtube.com/watch?v=Uc25OHYdJEU
Преимущества и недостатки безобточного протезирования
Безобточное протезирование зубов, также известное как протезирование без обточки соседних зубов, представляет собой современный подход в стоматологии, который позволяет восстанавливать утраченные зубы без необходимости обрабатывать соседние здоровые зубы. Этот метод имеет свои преимущества и недостатки, которые важно учитывать при выборе подходящего варианта протезирования.
Преимущества безобточного протезирования:
- Сохранение здоровых зубов: Одним из главных преимуществ безобточного протезирования является возможность сохранить целостность и здоровье соседних зубов. Это особенно важно, так как обточка может привести к их ослаблению и увеличению риска кариеса.
- Минимальная инвазивность: Процедура безобточного протезирования менее инвазивна по сравнению с традиционными методами. Это снижает уровень стресса для пациента и уменьшает риск осложнений.
- Быстрое восстановление: Безобточные протезы, такие как виниры или коронки на имплантах, могут быть установлены быстрее, что позволяет пациентам быстрее вернуться к привычному образу жизни.
- Эстетика: Современные материалы, используемые в безобточном протезировании, обеспечивают высокую эстетическую привлекательность. Протезы выглядят естественно и гармонично вписываются в зубной ряд.
- Комфорт: Безобточные протезы часто более удобны для ношения, так как они не требуют значительного изменения формы соседних зубов, что может вызывать дискомфорт.
Недостатки безобточного протезирования:
- Ограниченные показания: Не все клинические случаи подходят для безобточного протезирования. Например, при значительном разрушении зуба или наличии серьезных заболеваний десен может потребоваться традиционное протезирование.
- Стоимость: Безобточные протезы могут быть дороже традиционных, так как они требуют использования более современных технологий и материалов.
- Необходимость в высококвалифицированном специалисте: Успех безобточного протезирования во многом зависит от опыта и квалификации стоматолога. Неправильная установка может привести к проблемам с прикусом или дискомфорту.
- Ограниченная долговечность: Некоторые безобточные протезы могут иметь меньший срок службы по сравнению с традиционными, особенно если они не были установлены правильно или если пациент не соблюдает рекомендации по уходу.
Таким образом, безобточное протезирование зубов представляет собой эффективный и современный метод восстановления зубного ряда, который имеет свои плюсы и минусы. При выборе метода протезирования важно учитывать индивидуальные особенности пациента и консультироваться с квалифицированным стоматологом для выбора наилучшего варианта.
Вопрос-ответ
Что такое зубное протезирование без обточки соседних зубов?
Зубное протезирование без обточки соседних зубов — это метод восстановления утраченных зубов, при котором протезы устанавливаются без предварительного удаления или обтачивания здоровых зубов, находящихся рядом. Это позволяет сохранить естественную структуру зубов и минимизировать риск повреждений.
Какие виды протезов используются в безобточном протезировании?
В безобточном протезировании чаще всего используются съемные протезы, такие как акриловые или нейлоновые, а также имплантаты, которые могут быть установлены без необходимости обтачивания соседних зубов. Также применяются мостовидные протезы, которые фиксируются на имплантатах, что позволяет избежать вмешательства в соседние зубы.
Каковы преимущества протезирования без обточки соседних зубов?
Преимущества данного метода включают сохранение здоровья соседних зубов, уменьшение риска развития кариеса и заболеваний десен, а также более комфортное и эстетичное решение для пациента. Кроме того, такой подход может сократить время на восстановление и снизить общие затраты на лечение.
Советы
СОВЕТ №1
Перед началом процедуры протезирования обязательно проконсультируйтесь с опытным стоматологом. Он поможет определить, подходит ли вам безобточное протезирование и какие варианты лучше всего соответствуют вашим индивидуальным потребностям.
СОВЕТ №2
Изучите различные виды протезов, доступных на рынке, такие как съемные и несъемные конструкции. Понимание их особенностей и преимуществ поможет вам сделать осознанный выбор.
СОВЕТ №3
Обратите внимание на материалы, из которых изготовлены протезы. Современные технологии предлагают различные варианты, включая керамику и композиты, которые могут обеспечить как эстетичный вид, так и долговечность.
СОВЕТ №4
Не забывайте о регулярном уходе за протезами и полостью рта. Это поможет предотвратить осложнения и продлить срок службы ваших протезов. Регулярные визиты к стоматологу также важны для контроля состояния протезов и здоровья зубов.


