Оголение шеек зубов — распространенная проблема, вызывающая дискомфорт и повышенную чувствительность, а также риск серьезных стоматологических заболеваний. В статье рассмотрим основные причины этого состояния и методы лечения, которые помогут восстановить здоровье зубов и улучшить качество жизни. Понимание этих аспектов позволит читателям вовремя обратиться к специалистам и предотвратить осложнения.
Симптомы
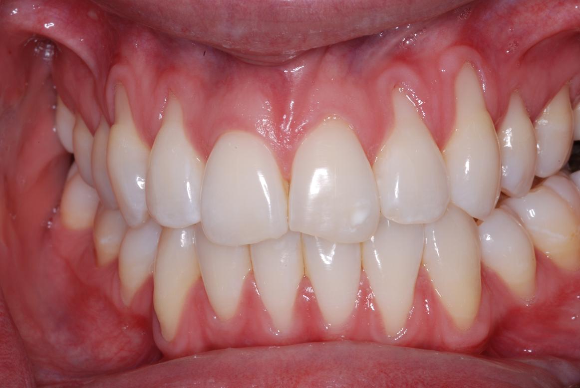
Оголение прикорневой шейки зуба проявляется снижением уровня десны относительно коронки зуба. Здоровый зуб имеет аккуратные края десны, но при этом заболевании становится видимой шейка зуба, имеющая желтоватый оттенок, что контрастирует с эмалью. Этот дефект, известный как клиновидный, легко заметить, особенно на передних зубах.
Признаки оголения шейки зуба:
- Боль при употреблении горячей, холодной, острой или кислой пищи, а также во время чистки зубов или при открывании рта на холоде.
- Появление следов крови во время чистки зубов или при укусе твердой пищи (например, моркови или яблока).
- Изменение цвета зуба из-за контраста между эмалью и цветом шейки.
- Отек и воспаление десны.
- Неровность края десны, напоминающая ступеньку, при проведении ногтем.
- Увеличение хрупкости зубов и возможное поражение корней кариесом.
- Визуальное удлинение зуба из-за смещения края десны, создающее впечатление увеличенных промежутков.
- Образование пародонтальных карманов с накоплением гноя при воспалении.
- Неприятный запах изо рта.
- Уменьшение устойчивости зубов в деснах, возможное выпадение.
Проблема может начаться с одного зуба и распространиться на соседние, что усложняет лечение. Поэтому важно при появлении любого из этих симптомов обратиться к стоматологу.
Оголение шеек зубов — распространенная проблема, возникающая из-за неправильной гигиены, пародонтита и чрезмерного использования жестких щеток. Основным методом лечения является реминерализация эмали с помощью паст и гелей с фтором, а также применение защитных лаков.
При серьезных повреждениях может потребоваться установка пломб или коронок. Врачи подчеркивают важность профилактических мер: регулярные осмотры у стоматолога и соблюдение гигиенических правил. Изменение привычек питания и отказ от вредных привычек, таких как курение, также снижают риск оголения шеек зубов. Раннее обращение к специалисту помогает избежать серьезных последствий и сохранить здоровье зубов.
Оголение шеек зуба — это распространённая проблема, которая может возникать по различным причинам, включая неправильную гигиену полости рта, пародонтит, а также механическое воздействие, например, при неправильном прикусе. Эксперты отмечают, что для эффективного лечения данного состояния важно определить его причину. Варианты терапии могут включать использование реминерализующих паст, которые помогают восстановить минералы в эмали, а также применение фторсодержащих средств. В более сложных случаях может потребоваться профессиональная чистка зубов и лечение десен. Важно также обратить внимание на коррекцию гигиенических привычек и, при необходимости, обратиться к ортодонту для исправления прикуса. Профилактика и своевременное обращение к стоматологу играют ключевую роль в предотвращении дальнейшего прогрессирования проблемы.
https://youtube.com/watch?v=dhSibnONP3E
Причины возникновения
- оголение шейки зуба происходит вследствие недостаточного ухода за ротовой полостью – гингивит и пародонтит, развившиеся из-за деятельности бактерий, сопровождаются болезненным обнажением шейки зуба;
- слишком тщательный уход – при использовании жестких зубных щеток, зубочисток и десневых стимуляторов;
- пирсинг языка и губ приводит к травматизации ротовой полости, что тоже заставляет оголяться шейку зуба;
- анатомические особенности строения полости рта могут быть причиной смещения десны. Например, короткая уздечка натягивает десны, оголяя скрытые части зуба. Или же ткань десны от природы очень тонкая и при малейшей травме сдвигается в сторону корня. Короткие корни зубов – еще одна особенность строения зубного ряда, приводящая к болезни;
- врожденные или приобретенные нарушения прикуса, ношение брекетов для его исправления провоцируют повышенную нагрузку на зубы;
- шаткость зубов – их подвижность приводит к истончению десны и открытию прикорневой области зуба – часто наблюдается у пожилого населения;
- нарушения гормонального фона (при беременности, сахарном диабете, проблемах с щитовидкой) и пищеварительной систем.
Зависимо от причины, вызвавшей убывание десенной ткани, заболевание может развиваться с разной скоростью и приводить к разным последствиям.
| Причина оголения шеек зубов | Методы лечения | Дополнительные рекомендации |
|---|---|---|
| Пародонтит (воспаление десен) | Профессиональная чистка зубов (снятие зубного камня и налета), кюретаж (удаление воспаленной ткани), антибиотики (в случае инфекции), хирургическое лечение (лоскутные операции, направленная тканевая регенерация), шинирование зубов | Регулярная гигиена полости рта, отказ от курения, контроль уровня стресса |
| Агрессивное чистка зубов | Изменение техники чистки, использование мягкой щетки и пасты, обучение правильной гигиене полости рта | Использование ополаскивателей для укрепления десен |
| Бруксизм (скрежетание зубами) | Изготовление каппы для защиты зубов, лечение бруксизма (психотерапия, миорелаксанты) | Избегание стрессовых ситуаций, контроль за положением тела во время сна |
| Анатомические особенности | Реставрация зубов (композитные материалы, виниры), наращивание десны (хирургическое вмешательство) | Регулярные осмотры у стоматолога |
| Неправильный прикус | Ортодонтическое лечение (брекеты, элайнеры) | Соблюдение рекомендаций ортодонта |
| Возрастные изменения | Реставрация зубов, протезирование | Регулярные осмотры у стоматолога, тщательный уход за полостью рта |
| Недостаток витаминов и минералов | Прием витаминно-минеральных комплексов, коррекция питания | Сбалансированное питание, богатое витаминами и минералами |
Интересные факты
Вот несколько интересных фактов о лечении оголения шеек зуба и его причинах:
-
Причины оголения шеек зуба: Одной из основных причин оголения шеек зуба является рецессия десны, которая может быть вызвана неправильной техникой чистки зубов, пародонтитом или генетической предрасположенностью. Также на это могут влиять факторы, такие как курение, неправильный прикус и чрезмерное употребление кислых продуктов.
-
Методы лечения: Лечение оголения шеек зуба может включать как консервативные, так и хирургические методы. Консервативные методы могут включать использование специальных зубных паст для чувствительных зубов, фторирование и применение герметиков для защиты оголенных участков. В более серьезных случаях может потребоваться хирургическое вмешательство, такое как пересадка десны.
-
Профилактика: Профилактика оголения шеек зуба включает регулярные визиты к стоматологу, правильную гигиену полости рта и использование мягкой зубной щетки. Также важно избегать чрезмерного давления при чистке зубов и контролировать уровень стресса, так как бруксизм (скрежетание зубами) может способствовать повреждению десен и оголению шеек зуба.
https://youtube.com/watch?v=iuHbyXfaICQ
Фото
Оголение шеек зубов — распространенная проблема. Основные причины: недостаточная гигиена, жесткие зубные щетки и заболевания десен. Эти факторы приводят к истончению десен и обнажению коронковой части зуба, что вызывает повышенную чувствительность и боль.
Лечение оголения шеек зубов включает несколько методов. Стоматологи рекомендуют изменить привычки ухода: использовать мягкие щетки и пасты для чувствительных зубов. Регулярная профессиональная чистка и лечение заболеваний десен также важны. В некоторых случаях могут понадобиться фторсодержащие препараты для укрепления эмали или хирургическое вмешательство для восстановления десен. Ранняя диагностика и правильный уход значительно улучшают состояние зубов и десен.
Оголилась шейка зуба: что делать?
Если появились первые признаки развивающегося заболевания, помогут изменения в уходе за ротовой полостью:
- Смена зубной пасты на специальную – десенсибилизирующую, а также замена обычной зубной щетки на профессиональную;
- Регулярная и тщательная очистка ротовой полости от налета;
- Применение антивоспалительных растворов для полоскания рта.
Но что, если проблема зашла слишком далеко? В таком случае может быть рекомендован один или несколько видов более серьезного вмешательства.
Лекарства
Для полоскания рта используют антисептические растворы: Хлоргексидин, Фурацилин, Мирамистин и Мараславин. Для уменьшения отечности и покраснения десен применяют лечебные гели, такие как Метрогил дента, Холисал, Камистад или Асепта. При гнойных процессах врач может назначить антибиотики.
Важно также выбирать зубную пасту. Рекомендуются пасты с противовоспалительным действием: Лакалут, Biomed или R. O. C. S.
Стоматолог может предложить комплекс процедур, включая:
- нанесение реминерализующего средства на пораженные или все зубы;
- глубокое фторирование эмали;
- пломбирование корневой области;
- лазерную чистку твердых зубных отложений на эмали и деснах;
- установку виниров или зубных коронок.
Эти методы особенно эффективны на ранних стадиях заболевания.
Хирургия
Радикальный метод хирургии применяется в случае, если оголение стало слишком заметным и дискомфортным. Может быть проведена:
- Пластическая реконструкция десны с использованием местных тканей.
- Удаление оголенного корня и замена его на искусственный имплантат.
Эти методы дороги и болезненны, поэтому лучше до них не доводить.
Видео: что делать при оголении шеек зуба?
https://youtube.com/watch?v=daLvMGIhBeY
Народные средства
На поздних стадиях заболевания народные средства могут использоваться только как дополнение к основной терапии. В домашних условиях можно попробовать следующие методы:
- массаж десен с антибактериальными маслами (мята, цитрус, эвкалипт, пихта, гвоздика, лимон);
- компрессы на десна с настоями хвойных растений;
- полоскание рта настоем зверобоя на водке (50 капель на полстакана воды);
- настои для полоскания из ромашки, календулы, шалфея и тысячелистника;
- протирание десен раствором перекиси водорода (15 капель на 15 мл воды);
- жевание листьев подорожника и полоскание рта отваром из него.
Однако без устранения причины оголения шейки зуба добиться выздоровления невозможно. Не стоит злоупотреблять народной медициной; лучше обратиться в стоматологическую клинику за квалифицированной помощью.
Профилактика оголения шеек зуба
Профилактика оголения шеек зуба является важным аспектом поддержания здоровья полости рта и предотвращения дальнейших осложнений. Существует несколько методов, которые могут помочь в предотвращении этого состояния.
1. Правильная гигиена полости рта: Регулярная и тщательная чистка зубов дважды в день с использованием зубной пасты, содержащей фтор, помогает удалить налет и предотвратить развитие кариеса, который может способствовать оголению шеек зуба. Также важно использовать зубную нить для удаления остатков пищи и налета между зубами.
2. Избегание агрессивной чистки: Чистка зубов слишком сильным нажимом или использование жесткой зубной щетки может привести к истиранию эмали и оголению шеек зуба. Рекомендуется использовать мягкие щетки и технику чистки, которая не повредит деснам и эмали.
3. Регулярные визиты к стоматологу: Профилактические осмотры у стоматолога каждые шесть месяцев позволяют выявить проблемы на ранних стадиях. Стоматолог может провести профессиональную чистку зубов и дать рекомендации по уходу за полостью рта.
4. Правильное питание: Сбалансированная диета, богатая витаминами и минералами, способствует укреплению зубов и десен. Избегание чрезмерного потребления сахара и кислых продуктов помогает снизить риск развития кариеса и эрозии эмали.
5. Использование фторсодержащих средств: Применение фторсодержащих ополаскивателей для рта и гелей может помочь укрепить эмаль и снизить риск оголения шеек зуба. Фтор способствует реминерализации зубной эмали и защищает зубы от разрушения.
6. Избегание вредных привычек: Курение и употребление алкоголя негативно сказываются на здоровье десен и зубов. Отказ от этих привычек может значительно снизить риск оголения шеек зуба и других стоматологических заболеваний.
7. Контроль за бруксизмом: Если у человека есть привычка скрежетать зубами или сжимать челюсти, это может привести к износу зубов и оголению шеек. В таких случаях рекомендуется обратиться к стоматологу для получения рекомендаций по использованию ночной капы или других методов лечения.
Следуя этим рекомендациям, можно значительно снизить риск оголения шеек зуба и сохранить здоровье зубов и десен на долгие годы.
Вопрос-ответ
Как остановить оголение корней зубов?
Возможно применение полосканий растворами антисептиков. Десны для снятия воспаления покрывают специальными гелями. Врач может провести глубокое фторирование эмали, лазерную чистку отложений на эмали, нанести на зубы реминерализующий состав, в прикорневой части пломбировать ее, установить коронки или виниры.
Чем опасно оголение шейки зуба?
Оголение шейки зуба — это патологический процесс, при котором десна уходит, обнажая нижнюю часть зуба, называемую шейкой. Обычно она покрыта десной, но при ее рецессии этот слой убывает. Если вовремя не принять меры, процесс может прогрессировать, увеличивая риск развития кариеса, инфекций и даже потери зуба.
Можно ли пломбировать оголенные шейки зубов?
Можно поставить пломбу на оголенную шейку (корень) зуба? Конечно, можно!
Советы
СОВЕТ №1
Регулярно посещайте стоматолога для профилактических осмотров. Это поможет выявить проблемы на ранних стадиях и предотвратить дальнейшее оголение шеек зубов.
СОВЕТ №2
Обратите внимание на свою гигиену полости рта. Используйте мягкую зубную щетку и зубную пасту, содержащую фтор, чтобы минимизировать риск повреждения десен и эмали.
СОВЕТ №3
Избегайте чрезмерного употребления кислых и сладких продуктов, которые могут способствовать эрозии зубной эмали. Если вы не можете отказаться от них, старайтесь полоскать рот водой после их употребления.
СОВЕТ №4
Если у вас есть привычка скрежетать зубами или сжимать челюсти, обсудите это с врачом. Возможно, вам потребуется специальная капа для защиты зубов и десен от повреждений.
