Виниры — тонкие керамические или композитные накладки, улучшающие внешний вид зубов, скрывающие недостатки и придающие улыбке привлекательность. Выбор виниров для передних зубов требует внимания, так как они наиболее заметны и влияют на эстетику улыбки. В этой статье рассмотрим виды виниров, их преимущества и недостатки, а также рекомендации по выбору, чтобы помочь вам достичь желаемого результата.
Показания для установки
Использование тонких зубных накладок оправдано в эстетической стоматологии. Если человек хочет изменить форму или цвет улыбки, виниры позволяют сделать это быстро и безболезненно. Медицинские показания не всегда обязательны, но стоматологи могут рекомендовать процедуру в следующих случаях:
- трещины или сколы на эмали;
- стойкие пятна и желтизна, не исчезающие после отбеливания;
- неровные зубные ряды;
- небольшие промежутки между зубами;
- скученность зубов, которую не исправить ортодонтическими аппаратами;
- необратимое потемнение эмали;
- устаревшие пломбы, ухудшающие внешний вид зубов.
Даже простое желание пациента иметь идеальную улыбку может стать основанием для протезирования. Для впечатляющих результатов рекомендуется реставрация передних зубов с установкой накладок на все 10 единиц верхнего и нижнего ряда.
Стоматологи отмечают, что выбор виниров зависит от материала, цвета и формы. Наиболее распространены фарфоровые и композитные виниры. Фарфоровые виниры прочные и естественно выглядят, хорошо сохраняют цвет и не окрашиваются. Композитные виниры более доступны по цене и устанавливаются за один визит, но их долговечность ниже. Врачи рекомендуют учитывать индивидуальные особенности пациента и финансовые возможности для выбора оптимального варианта. Правильный выбор виниров поможет достичь желаемого результата и сохранить здоровье зубов.
Эксперты в области стоматологии подчеркивают, что выбор виниров для передних зубов зависит от нескольких ключевых факторов. Прежде всего, важна эстетика: виниры должны гармонично сочетаться с природным цветом зубов пациента. Наиболее популярными материалами являются фарфор и композитные смолы. Фарфоровые виниры обеспечивают высокую прочность и естественный блеск, что делает их идеальными для создания красивой улыбки. Композитные виниры, в свою очередь, могут быть более доступными по цене и требуют меньшего количества обточки зубов. Также специалисты рекомендуют учитывать индивидуальные особенности пациента, такие как форма и размер зубов, чтобы добиться наилучшего результата. Важно, чтобы виниры были установлены квалифицированным стоматологом, что гарантирует долговечность и комфорт в использовании.
https://youtube.com/watch?v=6llMDlX2-5E
Противопоказания
- при патологической стираемости эмали;
- если есть проблемы с бруксизмом, то есть пациент страдает ночным скрежетанием зубов;
- в ряду нет «шестерок» и «семерок», то есть моляров;
- аномальный прикус, который нельзя исправить с помощью виниров или же он будет мешать их нормальной фиксации;
- после резорцин формалинового лечения;
- сильное разрушение коронки, отсутствие зуба больше чем наполовину;
- слишком тонкий слой эмали, ее истончение или гиперчувствительность;
- различные заболевания ротовой полости, которые изначально нужно устранить и только потом устанавливать виниры.
Очевидно, что при отдельных профессиональных или спортивных увлечениях также не имеет смысла заниматься подобным способом протезирования. Ведь если человек постоянно подвергает себя опасности удара или других механических повреждений, например, занимается боксом или работает на тяжелом производстве, то такие тонкие пластинки на зубах долго не продержатся.
Также врачи не ставят виниры, если пациент не уделяет достаточно внимания гигиеническому уходу за ротовой полостью или же не готов отказаться от твердой пищи – орехов, семечек.
| Тип винира | Преимущества | Недостатки | Подходит для |
|---|---|---|---|
| Композитные | Доступная цена, быстрая установка, возможность коррекции | Менее прочные, могут окрашиваться, меньший срок службы | Незначительных дефектов, коррекции цвета и формы |
| Керамические (фарфоровые) | Высокая прочность, естественный внешний вид, долгий срок службы, устойчивы к окрашиванию | Высокая цена, более длительный процесс установки, невозможность коррекции после установки | Значительных дефектов, изменения цвета и формы, высоких требований к эстетике |
| Дисиликáтные | Высокая прочность, естественный внешний вид, долгий срок службы, устойчивы к окрашиванию | Цена выше, чем у композитных, но ниже, чем у фарфоровых | Компромисс между ценой и качеством, средних дефектов |
Интересные факты
Вот несколько интересных фактов о винирах, подходящих для передних зубов:
-
Материалы виниров: Виниры для передних зубов обычно изготавливаются из двух основных материалов — фарфора и композитной смолы. Фарфоровые виниры более устойчивы к пятнам и лучше имитируют естественный блеск зубов, в то время как композитные виниры легче устанавливаются и могут быть отремонтированы на месте, но менее долговечны.
-
Эстетика и индивидуальность: Виниры могут быть изготовлены с учетом индивидуальных особенностей пациента, включая форму, цвет и размер. Это позволяет добиться идеального соответствия с остальными зубами и создать естественный вид, что особенно важно для передних зубов, которые находятся на виду.
-
Минимальная обточка зубов: Современные технологии позволяют создавать тонкие виниры, которые требуют минимальной обточки зубов. Это сохраняет большую часть натуральной зубной ткани и снижает риск повреждения зуба, что делает процедуру более щадящей и безопасной.
https://youtube.com/watch?v=s4uzjRT0ZFI
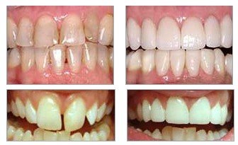
Фото до и после
Выбор виниров для передних зубов требует внимательного подхода. Основными аспектами являются материал и эстетические характеристики. Керамические виниры популярны благодаря естественному виду и долговечности, они хорошо имитируют эмаль и не теряют цвет.
Композитные виниры могут быть более доступным вариантом, но требуют частой замены. Важно учитывать индивидуальные особенности зубов и предпочтения пациента. Стоматологи рекомендуют предварительную консультацию для выбора подходящих виниров.
Отзывы пользователей подчеркивают важность профессионального подхода к установке виниров. Качественная работа специалиста увеличивает срок службы и улучшает внешний вид виниров, что делает их отличным выбором для идеальной улыбки.
Виды виниров на передние зубы
Для реставрации зоны улыбки используют материалы, помогающие в точности повторить естественный оттенок, форму и прочность натурального ряда. Поэтому существует не так много разновидностей виниров:
- композитные;
- керамические.
Они отличаются между собой не только по цене, но и по способу изготовления, фиксации, внешнему виду, длительности эксплуатации и другим важным характеристикам. Опишем их более подробно.
Композитные
Данный метод установки виниров, известный как прямое протезирование, выполняется в ротовой полости пациента. Используемый материал напоминает светоотверждаемые пломбы. Композитный материал наносится на предварительно обработанную эмаль слоями. Процедура проходит за один визит к стоматологу:
- Специалист осматривает полость рта и определяет возможность установки виниров.
- Выбирается подходящий материал и оттенок накладки, соответствующий предпочтениям пациента.
- Подготавливается поверхность зубов: с эмали снимается тонкий слой, равный объему композитного материала.
- Наносится средство слоями, каждый слой просушивается.
- В завершение формируется нужная форма зубов, их полируют и шлифуют.
Композитные виниры имеют меньше преимуществ по сравнению с керамическими. Основные отличия:
- Они дешевле, что делает их доступными для большинства.
- Установка занимает меньше времени и не требует промежуточных пластиковых накладок.
- Эстетические качества приемлемы, но не идеальны.
- Срок службы меньше, возможны трещины, эксплуатация ограничена тремя годами.
- При частом употреблении цветных напитков или продуктов могут менять цвет.
- Виниры не прилегают плотно к зубу, что увеличивает риск кариеса.
Эти виниры требуют тщательного ухода и осторожного обращения, а также периодических визитов к стоматологу для коррекции в случае повреждений. Чаще всего используются для исправления отдельных зубов с ухудшением эстетических характеристик.
Керамические
Создание и установка керамических виниров значительно отличается от предыдущих описанных конструкций. Для этого требуется лаборатория, зуботехник, специальное оборудование и сам керамический материал высокого качества. Пациенту же нужно набраться терпения для ожидания готовых пластин.
Для начала в кабинете стоматолога делают слепок челюсти, чтобы окончательные конструкции в точности соответствовали всем индивидуальным особенностям зубного ряда пациента. Дальше выбирают сам материал. Это может быть фарфор или же керамика с циркониевой основой. В зависимости от этого отличается и способ их изготовления.
Так, непрессованные накладки из фарфора делаются послойно и постепенно обжигаются в печи. При литьевом варианте керамические виниры создаются под высоким давлением и температурой. За счет этого они обладают лучшими прочностными характеристиками и могут прослужить значительно дольше.
Если же за основу взят цирконий, то один слой состоит из так званого каркаса, а для второго используют фарфор, соответствующий эстетическому внешнему виду естественного зуба. Такие изделия производят по особой технологии под названием CAD/CAM, для чего требуется возможность 3D-моделирования и наличие фрезерного станка.
Какая бы технология ни была выбрана для создания керамических виниров, они отличаются от композитных в лучшую сторону:
- более устойчивы и прочные, что значительно увеличивает их срок эксплуатации;
- высокие эстетические характеристики, они способны сделать улыбку идеальной;
- материал считается гипоаллергенным и не вызывает раздражения слизистой или других побочных реакций организма;
- при этом их стоимость более высокая;
- при механических повреждениях происходит поломка изделия и требуется полна замена разрушенного винира;
- срок службы составляет до десяти лет;
- если выбран циркониевый каркас, то прочность изделий повышается.
Процесс их установки проходит такие этапы:
- Сначала врач должен применить местный анестетик, так как процедура является неприятной для пациента.
- Производят ретракцию десны, то есть отделяют ее от поверхности зуба так, чтобы добраться до пришеечной области. Это нужно для того, чтобы идеально прикрепить протез к эмали.
- Удаляют верхний слой зуба ровно такого объема, который отвечает толщине будущей керамической пластинки.
- Делают слепки верхнего и нижнего ряда и отправляют их в лабораторию.
- Пациенту на этот период устанавливают временные пластиковые накладки для защиты обработанной поверхности.
- После того как виниры изготовят, их передают стоматологу. Сначала примеряют и уточняют, соответствуют ли пластинки нужным характеристикам и параметрам, и если все в порядке, то фиксируют их на поверхности с помощью специального клеящего состава.
Нужно понимать, что какой бы из способов и материалов вы ни выбрали, установка виниров является необратимым процессом. Поскольку для их фиксации проводят препарирование эмали, то до конца жизни придется периодически заменять поврежденные виниры новыми, чтобы защитить зуб от прямого попадания бактерий.
Видео: как исправить передние зубы винирами?
https://youtube.com/watch?v=uPdJ2FZUeeg
Отзывы
Алена:
Я установила керамические виниры на два зуба для коррекции формы. Результат меня обрадовал — моя улыбка заметно преобразилась. Многие знакомые не поняли, что именно изменилось, но отметили, что я выгляжу лучше.
Ольга:
Я мечтала о голливудской улыбке, но люминиры были слишком дорогими. Зато композитные виниры подошли по бюджету, и в прошлом году я обновила все зубные ряды. Теперь моя улыбка выглядит потрясающе, и ради нее я готова отказаться от орехов и семечек.
Валерий:
В прошлом году мне пришлось прибегнуть к микропротезированию после повреждения переднего зуба в драке. Однако у меня возникли проблемы — пластинки долго не держатся. Я уже сменил их дважды, так как они постоянно отпадают.
Уход за винирами
Первое, на что стоит обратить внимание, это ежедневная гигиена полости рта. Виниры не требуют специальной чистки, но необходимо продолжать чистить зубы дважды в день с использованием мягкой зубной щетки и фторсодержащей зубной пасты. Это поможет предотвратить образование налета и кариеса на зубах, находящихся под винирами.
Также рекомендуется использовать зубную нить или межзубные щетки для удаления остатков пищи и налета из межзубных пространств. Это особенно важно, так как виниры могут скрывать проблемы, которые могут возникнуть на зубах, находящихся под ними.
Следует избегать жестких и липких продуктов, которые могут повредить виниры или привести к их отклеиванию. К таким продуктам относятся орехи, карамель и жевательная резинка. Если вы носите виниры, лучше всего ограничить потребление таких продуктов и быть осторожным при их употреблении.
Регулярные визиты к стоматологу также играют ключевую роль в уходе за винирами. Специалист сможет оценить состояние виниров, провести профессиональную чистку и выявить возможные проблемы на ранних стадиях. Рекомендуется посещать стоматолога не реже одного раза в шесть месяцев.
Кроме того, стоит учитывать, что виниры могут изменять свой цвет со временем, особенно если вы курите или употребляете продукты, содержащие красители (например, кофе, чай, красное вино). Для сохранения эстетического вида виниров рекомендуется избегать таких привычек или минимизировать их влияние.
В заключение, уход за винирами требует внимательности и регулярности. Соблюдение простых правил гигиены, ограничение вредных привычек и регулярные визиты к стоматологу помогут сохранить ваши виниры в идеальном состоянии на долгие годы.
Вопрос-ответ
Как выбрать материал для виниров на передние зубы?
При выборе материала для виниров на передние зубы стоит обратить внимание на такие варианты, как фарфор и композитные смолы. Фарфоровые виниры более прочные и устойчивы к пятнам, что делает их идеальными для передних зубов, где эстетика имеет первостепенное значение. Композитные виниры, хотя и менее долговечные, могут быть более доступными и легко поддаются ремонту.
Как долго служат виниры на передних зубах?
Срок службы виниров на передних зубах зависит от материала и ухода за ними. Фарфоровые виниры могут служить от 10 до 15 лет, если за ними правильно ухаживать, тогда как композитные виниры могут потребовать замены через 5-7 лет. Регулярные визиты к стоматологу и соблюдение гигиенических норм помогут продлить срок службы виниров.
Как проходит процесс установки виниров на передние зубы?
Процесс установки виниров обычно включает несколько этапов. Сначала стоматолог проводит консультацию и диагностику, затем подготавливает зубы, удаляя небольшой слой эмали. После этого создаются слепки, по которым изготавливаются виниры. В финале виниры фиксируются на зубах с помощью специального клея. Весь процесс может занять от нескольких дней до нескольких недель, в зависимости от сложности случая.
Советы
СОВЕТ №1
При выборе виниров для передних зубов, обратите внимание на материал. Керамические виниры обеспечивают естественный вид и высокую прочность, что делает их отличным выбором для передних зубов, где эстетика особенно важна.
СОВЕТ №2
Обсудите с вашим стоматологом форму и цвет виниров. Индивидуальный подход к выбору оттенка и формы поможет добиться гармоничного сочетания с остальными зубами и улучшит общий вид вашей улыбки.
СОВЕТ №3
Не забывайте о подготовительном этапе. Перед установкой виниров важно провести профессиональную чистку зубов и, при необходимости, лечение кариеса, чтобы обеспечить долговечность и здоровье ваших зубов.
СОВЕТ №4
Узнайте о возможных вариантах ухода за винирами. Правильная гигиена полости рта и регулярные визиты к стоматологу помогут сохранить виниры в идеальном состоянии и предотвратить возможные проблемы.
