Внутриканальное отбеливание зубов, или эндоотбеливание, — это эффективная процедура для восстановления эстетики зубов после эндодонтического лечения. Она устраняет потемнение и изменение цвета зубов, вызванные травмами или инфекциями. В статье рассмотрим процесс внутриканального отбеливания, его преимущества, показания и противопоказания, а также ответим на распространенные вопросы, чтобы помочь читателям понять эту процедуру и принять обоснованное решение о ее необходимости.
Суть методики
► На первом визите вы:
- Проходите профилактический осмотр ротовой полости.
- Делаете рентген для выявления скрытых проблем и оценки качества пломб. Врач проверяет воспалительные заболевания десен и причины потемнения эмали.
- Удаляется старая пломба, зуб очищается. Важно тщательно удалить все материалы, так как они могут повлиять на цвет эмали. Устанавливается прокладка из медицинского цемента для предотвращения попадания веществ в корневые каналы.
- Завершается установка временной пломбы, которая будет находиться на зубе до 2 недель.
► На следующем визите:
- Врач наносит безопасный отбеливающий гель после удаления пломбы.
- Эндоотбеливание может не всегда удовлетворять ожидания пациента с первого раза, поэтому процедуру можно повторить, и вы сможете наслаждаться белоснежной улыбкой в течение года.
Система отбеливания Opalescence недавно появилась в стоматологии и уже завоевала доверие врачей и пациентов, стремящихся к идеальной улыбке. Как работает этот метод, позволяющий сделать зубы белее без сильного химического воздействия? Opalescence эффективен:
- при возрастных изменениях цвета эмали;
- для зубов, пострадавших от антибиотиков тетрациклинового ряда;
- для устранения пятен, вызванных флюорозом.
Стоматологи отмечают, что внутриканальное отбеливание зубов — действенный способ восстановления эстетики зубов после эндодонтического лечения. Процедура включает введение отбеливающего средства в корневой канал зуба, что обеспечивает равномерное и глубокое отбеливание. Методика подходит для зубов, потемневших из-за травм или некротических процессов.
Перед процедурой необходимо оценить состояние зуба и выполнить диагностические исследования. Врачи предупреждают, что внутриканальное отбеливание должно проводить только квалифицированный специалист, чтобы избежать осложнений. После завершения процедуры пациенты могут наслаждаться более светлой улыбкой, что положительно сказывается на их уверенности в себе. Однако стоматологи рекомендуют соблюдать меры предосторожности и следить за состоянием зубов после отбеливания, чтобы сохранить результат.
Внутриканальное отбеливание зубов, или эндоотбеливание, представляет собой современный метод коррекции цвета зубов, подвергшихся эндодонтическому лечению. Эксперты отмечают, что данная процедура позволяет эффективно устранить потемнение, вызванное разрушением пульпы или наличием пломбировочных материалов. Процесс начинается с удаления старой пломбы и очистки канала, после чего в него помещается специальный отбеливающий агент. Важно, что процедура проводится под контролем стоматолога, что минимизирует риски и обеспечивает безопасность. По мнению специалистов, эндоотбеливание не только восстанавливает эстетический вид зуба, но и способствует его долговечности, что делает этот метод популярным среди пациентов, стремящихся к идеальной улыбке.
https://youtube.com/watch?v=dJ-V4uChjws
Показания
Как и перед любой процедурой, необходим визит к стоматологу с заключением о возможности и необходимости проведения эндоотбеливания. Он осмотрит зубы и отметит степень потемнения, расскажет о правилах подготовки и самой процедуре.
Показаниями к проведению внутриканального отбеливания являются:
- значительное повреждение зуба с кровоизлиянием;
- безжизненный зубной нерв или депульпированный зуб;
- потемнение или нестандартный окрас эмали;
- трещины в эмали, пропускающие красящие вещества;
- серебрение (дает серый и черный оттенок) или резорцин-формалиновая пломбировка (окрашивает эмаль в розовый цвет).
Отбелить зубы без вреда эмали можно в домашних условиях, хотя, стоит отметить, эффект не будет настолько визуально заметным.
| Этап процедуры | Описание этапа | Возможные осложнения/риски |
|---|---|---|
| Подготовка зуба | Удаление кариозных тканей, пломб, очистка корневых каналов, герметизация доступа к пульпе. | Перфорация корня, перелом инструмента, остатки инфекции в канале. |
| Нанесение отбеливающего геля | Введение в корневые каналы специального отбеливающего геля (часто на основе перекиси водорода или карбамида пероксида). | Раздражение пульпы, изменение цвета дентина, аллергические реакции. |
| Активация геля (при необходимости) | Использование светового источника (галогеновая лампа, LED) для ускорения процесса отбеливания. | Перегрев зуба, ожог тканей. |
| Контроль результата и фиксация | Оценка степени отбеливания, пломбирование корневых каналов, восстановление коронки зуба (при необходимости). | Недостаточное отбеливание, повторное окрашивание зуба. |
| Последующее наблюдение | Контрольные осмотры у стоматолога для оценки состояния зуба и исключения осложнений. | Появление чувствительности, воспаление. |
Интересные факты
Вот несколько интересных фактов о внутриканальном отбеливании зубов (эндоотбеливании):
-
Процедура для «пострадавших» зубов: Внутриканальное отбеливание применяется в основном для зубов, которые были подвергнуты эндодонтическому лечению (лечение корневых каналов). После удаления нерва зуб может потемнеть, и эндоотбеливание помогает вернуть ему естественный цвет, не прибегая к удалению зуба или установке коронки.
-
Долговременный эффект: Эндоотбеливание может обеспечить долговременный результат, который сохраняется на протяжении нескольких лет. Однако для поддержания цвета зуба может потребоваться периодическое повторение процедуры, особенно если пациент употребляет продукты, способствующие окрашиванию зубов, такие как кофе или красное вино.
-
Комбинированный подход: В некоторых случаях стоматологи могут комбинировать внутриканальное отбеливание с другими методами, такими как наружное отбеливание или установка виниров, чтобы достичь наилучшего эстетического результата. Это позволяет не только осветлить зуб, но и улучшить его форму и текстуру.
https://youtube.com/watch?v=xQ-MnJWkXxE
Противопоказания
- детям младше 16 лет;
- будущим и кормящим матерям;
- людям с повышенной чувствительностью зубной эмали;
- тем, у кого была аллергия или реакция на перекись водорода;
- при воспалительных процессах в полости рта;
- при высокой стираемости зубов;
- при значительном кариесе и множественных трещинах;
- при сахарном диабете и заболеваниях щитовидной железы.
Эндоотбеливание неэффективно для мертвых зубов с устаревшими пломбами.
Внутриканальное отбеливание, или эндоотбеливание, становится популярным среди пациентов, желающих вернуть белизну зубов после эндодонтического лечения. Процедура включает удаление пульпы зуба и применение отбеливающего средства в корневой канал. Многие пациенты отмечают, что процедура не вызывает значительного дискомфорта, особенно с современными анестетиками.
Результаты могут варьироваться в зависимости от индивидуальных особенностей зуба и степени потемнения. Некоторые пациенты замечают улучшение цвета после первой процедуры, другим может потребоваться несколько сеансов. В целом, отзывы о эндоотбеливании положительные, так как оно восстанавливает естественный вид зубов без их замены. Однако перед процедурой рекомендуется проконсультироваться с квалифицированным стоматологом для оценки рисков и преимуществ.
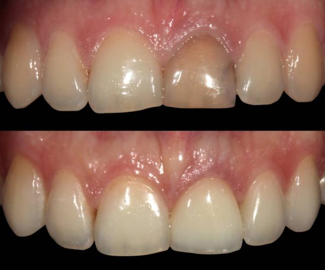
Фото: до и после процедур
https://youtube.com/watch?v=dNDy2pOHleg
Подготовка к эндоотбеливанию
Фотографии зубов помогают врачу составить план лечения и выявить проблему. Необходимо провести полную санацию ротовой полости. Перед процедурой пациент должен прополоскать рот антибактериальным раствором для предотвращения инфекции.
Выбранный способ обеспечивает бережное и эффективное вскрытие зуба:
- Удаление старой пломбы.
- Оценка состояния корней.
- Удаление воспаленных участков.
Как делают внутриканальное отбеливание зуба?
Внутрикоронковое отбеливание проводят после тщательной подготовки и чистки зуба. Затем:
- в чистую полость зуба заливается отбеливающий раствор;
- устанавливается временная пломба (она может находиться на месте до месяца);
- ставится постоянная пломба (когда результат виден и устраивает пациента).
Эмаль отбеленного зуба сравнивается по цвету с другими, чтобы не было резкого отличия.
Цена на внутриканальное отбеливание в проверенных клиниках начинается от 3 тыс. рублей. Есть цены от 1 тыс., и это основная стоимость, ведь проведение процедур не связано с использованием специального оборудования и обычно за раз делают 1 зуб.
Видео: о внутриканальном отбеливании зубов.
Плюсы и минусы
Преимущества данного метода:
- отсутствие обтачивания зуба и снятия эмали;
- безболезненное и безопасное выполнение (при отсутствии противопоказаний);
- возможность обработки одного зуба без затрагивания соседних;
- высокая эффективность отбеливания;
- доступная стоимость процедуры.
Недостатки эндоотбеливания:
- Увеличенная хрупкость зуба.
- Низкий уровень удовлетворенности результатом в зависимости от индивидуальных особенностей.
Результаты могут быть негативными, если отбеливание выполняется не в специализированном учреждении или если у врача недостаточная квалификация и опыт. Не рекомендуется проводить эндоотбеливание более четырех раз.
Отзывы
Тина, 35 лет
Зубы начали темнеть после удаления нерва и пломбы. Чистила зубы пастой с отбеливающим эффектом, пользовалась народными средствами, но безрезультатно. Стоматолог порекомендовал внутриканальное отбеливание и теперь мои зубы такие же, как и раньше. Я в восторге.
Лана, 27 лет
У меня был один жёлтый зуб ещё с детства, тогда на это не обращали внимания и не водили к стоматологу, так как он меня не беспокоил и кариеса в нем не было никогда. Меня перестал устраивать его внешний вид и я услышала о внутреннем отбеливании. Стоматологи пытались навязать мне дорогущие виниры, но я отказалась. И вот в одной клинике взялись провести мне процедуру, но сначала пролечили каналы. Оказалось, после травмы в детстве, мой нерв был мертвый и его нужно было удалить давно. Состав с перекисью водорода очень быстро дал результат, зуб начал светлеть. После повторного закладывания геля зуб приобрел естественный окрас. Я очень довольна.
Лиза, 23 года
Один из передних зубов, где уже был удален нерв, потемнел. Меня это раздражало и я обратилась за советом к стоматологу. Он предложил вскрыть заднюю поверхность зуба и заложить специальную отбеливающую пасту. Потом он закрыл отверстие временной пломбой и я ходила так несколько дней. Зуб посветлел и мне заменили пломбу. Я ничего не почувствовала, ведь зуб был мертвый, но результатом я наслаждаюсь уже 2-й год.
Что говорят врачи?
-
При темных зубах сначала необходимо провести лечение корневых каналов, затем — внутриканальное отбеливание. Эта процедура может немного ослабить зубные ткани, но при правильном выполнении и последующей реминерализации она безопасна.
-
Эффективность внутриканального отбеливания составляет 80%, но при несоблюдении гигиенических норм нежелательный цвет может вернуться.
-
Перед установкой коронок стоит рассмотреть эндоотбеливание, которое придаст зубам естественное сияние.
Рекомендации по уходу после процедуры
После проведения внутриканального отбеливания зубов (эндоотбеливания) важно соблюдать определенные рекомендации, чтобы обеспечить максимальную эффективность процедуры и сохранить здоровье зубов. Ниже приведены основные советы по уходу за зубами после отбеливания.
1. Избегайте окрашивающих продуктов: В первые 48 часов после процедуры рекомендуется избегать употребления продуктов и напитков, которые могут окрасить зубы. К таким продуктам относятся кофе, чай, красное вино, свекла, соевый соус и яркие фрукты, такие как черника или гранат. Это поможет предотвратить повторное окрашивание зубов и сохранить их белизну.
2. Соблюдайте гигиену полости рта: Регулярная гигиена полости рта играет ключевую роль в поддержании результатов отбеливания. Рекомендуется чистить зубы дважды в день с использованием фторсодержащей зубной пасты и не забывать о зубной нити для удаления остатков пищи между зубами. Также полезно использовать ополаскиватель для рта, который поможет предотвратить образование налета и кариеса.
3. Посещение стоматолога: После процедуры важно регулярно посещать стоматолога для профессиональной чистки зубов и контроля состояния эмали. Специалист сможет оценить результаты отбеливания и при необходимости предложить дополнительные процедуры для поддержания белизны зубов.
4. Ограничение курения: Если вы курите, постарайтесь ограничить или полностью отказаться от курения после процедуры. Никотин и смолы, содержащиеся в табачных изделиях, могут негативно сказаться на цвете зубов и привести к их потемнению.
5. Использование специальных средств: В некоторых случаях стоматологи могут рекомендовать использование специальных отбеливающих полосок или гелей для поддержания эффекта после процедуры. Однако перед их использованием обязательно проконсультируйтесь со своим врачом, чтобы избежать повреждения эмали.
6. Обратите внимание на чувствительность: После эндоотбеливания некоторые пациенты могут испытывать повышенную чувствительность зубов. Если вы заметили дискомфорт, используйте зубные пасты для чувствительных зубов и избегайте слишком горячей или холодной пищи и напитков.
Соблюдение этих рекомендаций поможет вам сохранить результаты внутриканального отбеливания зубов и обеспечить здоровье вашей улыбки на долгие годы. Не забывайте, что индивидуальные рекомендации могут варьироваться в зависимости от состояния ваших зубов и особенностей проведенной процедуры, поэтому всегда лучше консультироваться с вашим стоматологом.
Вопрос-ответ
Какова основная цель внутриканального отбеливания зубов?
Основная цель внутриканального отбеливания зубов заключается в устранении потемнения зуба, вызванного повреждением пульпы или эндодонтическим лечением. Процедура направлена на восстановление естественного цвета зуба, что позволяет улучшить его эстетический вид.
Как проходит процедура внутриканального отбеливания?
Процедура начинается с удаления пломбы и доступа к корневым каналам зуба. Затем в канал помещается отбеливающий агент, который активируется специальным светом или теплом. После этого зуб закрывается временной пломбой, и пациенту назначается контрольный визит для оценки результата и, при необходимости, повторного применения отбеливающего средства.
Есть ли противопоказания для внутриканального отбеливания зубов?
Да, существуют противопоказания, такие как наличие активного воспалительного процесса в области зуба, аллергия на компоненты отбеливающего средства, а также наличие заболеваний десен. Перед процедурой рекомендуется проконсультироваться с стоматологом для оценки состояния зуба и определения целесообразности отбеливания.
Советы
СОВЕТ №1
Перед процедурой эндоотбеливания обязательно проконсультируйтесь с вашим стоматологом. Он поможет оценить состояние ваших зубов и определить, подходит ли вам данная процедура, а также расскажет о возможных рисках и преимуществах.
СОВЕТ №2
Обратите внимание на выбор клиники и специалиста. Убедитесь, что стоматолог имеет опыт в проведении эндоотбеливания и использует современные технологии и материалы, чтобы минимизировать риск осложнений.
СОВЕТ №3
После процедуры следуйте рекомендациям врача по уходу за зубами. Это может включать использование специальных ополаскивателей, избегание определенных продуктов и регулярные визиты к стоматологу для контроля состояния зубов.
СОВЕТ №4
Не забывайте о том, что результаты эндоотбеливания могут варьироваться в зависимости от индивидуальных особенностей зубов. Будьте готовы к тому, что может потребоваться несколько сеансов для достижения желаемого результата.
