Выбор имплантов для передних зубов важен для восстановления улыбки и уверенности. Передние зубы критичны как для эстетики, так и для функциональности зубного ряда. В статье рассмотрим типы имплантов, их преимущества и недостатки, а также факторы, которые нужно учитывать при выборе, чтобы помочь вам сделать осознанный выбор и достичь наилучшего результата.
Особенности имплантации передних зубов
В процессе жевания резцы откусывают пищу, поэтому нагрузка на них невелика. При протезировании важно создать естественный внешний вид, чтобы зуб не выделялся по размеру или цвету. Задача стоматолога – максимально имитировать натуральный зуб и обеспечить гармоничную улыбку пациента.
Для этого необходимо учитывать несколько факторов, включая профессионализм команды и требования к зубному импланту. Импланты для передних верхних зубов имеют свои особенности:
- Материалы протезов должны быть биосовместимыми, чтобы процесс приживления проходил успешно.
- Существуют строгие требования к размерам: резцы имеют небольшой диаметр и значительную длину, что позволяет надежно фиксировать имплант с минимальным риском для тканей.
- Специальная резьба способствует вживлению протеза с минимальным повреждением костной ткани.
- Внешний вид импланта должен максимально соответствовать натуральным зубам пациента.
К выбору материала для протеза в клинике подходят тщательно, так как это влияет на эстетику и естественность улыбки. Например, титан обеспечивает прочность, но со временем десна может изменить цвет, и основа импланта станет заметной.
Чтобы избежать таких последствий, в стоматологии часто используют оксид циркония и алюминия. Эти материалы обеспечивают сходство с натуральными зубами, обладают высокой прочностью и не вызывают аллергии.
Стоматологи считают, что выбор имплантов для передних зубов требует особого внимания. Наиболее предпочтительными являются титановые импланты благодаря прочности и биосовместимости. Титан не вызывает аллергии и хорошо интегрируется с костной тканью, что обеспечивает долговечность конструкции.
Некоторые специалисты рекомендуют керамические импланты, которые имеют эстетические преимущества и цвет, близкий к натуральным зубам. Однако керамика менее прочна, чем титан, и может быть более уязвимой к нагрузкам.
Выбор импланта должен основываться на индивидуальных особенностях пациента, состоянии зубочелюстной системы и предпочтениях. Консультация с опытным стоматологом поможет определить оптимальный вариант.
Эксперты в области стоматологии единодушно подчеркивают важность выбора качественных имплантов для передних зубов, так как они играют ключевую роль в эстетике улыбки. Наиболее предпочтительными считаются титановыми имплантами, которые обладают высокой прочностью и биосовместимостью. Титан не вызывает аллергических реакций и хорошо интегрируется с костной тканью, что обеспечивает долговечность конструкции.
Некоторые специалисты также рекомендуют использовать керамические импланты, особенно для пациентов, стремящихся к максимальной эстетике. Керамика имеет естественный цвет зубов и не подвержена коррозии, что делает ее идеальным выбором для передней зоны. Однако, несмотря на свои преимущества, керамические импланты могут быть менее прочными, чем титановая альтернатива. Важно, чтобы выбор импланта основывался на индивидуальных особенностях пациента и рекомендациях стоматолога.
https://youtube.com/watch?v=su2Hi8-L9sU
Показания и противопоказания
К числу главных показаний к проведению протезирования относится частичная или полная потеря резцов, связанная с сильным поражением кариеса или отколом части зуба.
- отклонения в работе центральной нервной системы;
- сахарный диабет (независимо от стадии);
- повышенное артериальное давление;
- злокачественные образования в организме пациента;
- туберкулез;
- любые болезни сосудов или сердца;
- тонус жевательных мышц;
- СПИД, ВИЧ;
- низкий уровень свертываемости крови;
- атрофия десен;
- аллергическая реакция на компоненты препаратов, применяемых при анестезии.
Среди списка противопоказаний выделяют такие, которые требуется устранить прежде, чем приступать к протезированию. В их число входит:
- неудовлетворительное состояние зубов, расположенных рядом с потерянным резцом;
- пародонтоз;
- недостаточное для установки импланта количество костной ткани (в этом случае проводится ее наращивание).
При наличии временных причин врач вначале занимается их устранением, независимо от того, сколько для этого потребуется времени, а затем только имеет право начать процедуру установки протеза.
В период беременности проводить имплантацию можно только в том случае, если такое разрешение дал врач-гинеколог.
| Тип импланта | Преимущества для передних зубов | Недостатки/Ограничения |
|---|---|---|
| Циркониевые импланты | Высокая биосовместимость, эстетичный внешний вид (отлично имитируют цвет и прозрачность естественного зуба), прочность | Более высокая стоимость, сложность установки в некоторых случаях |
| Титановые импланты | Высокая прочность, надежность, относительно недорогая стоимость | Менее эстетичный внешний вид (может просвечиваться через десну), возможны аллергические реакции (редко) |
| Импланты из оксида алюминия | Высокая биосовместимость, отличный эстетический результат | Менее прочные, чем титановые и циркониевые, ограниченное применение в случаях высокой жевательной нагрузки |
Интересные факты
Вот несколько интересных фактов о выборе имплантов для передних зубов:
-
Эстетика и материал: Для передних зубов часто выбирают импланты из титана или циркония. Циркониевые импланты имеют более естественный цвет и прозрачность, что делает их более подходящими для эстетически важных зон, так как они лучше имитируют натуральные зубы.
-
Форма и размер: Импланты для передних зубов могут иметь различные формы и размеры, что позволяет стоматологу индивидуально подбирать их в зависимости от анатомии челюсти пациента и особенностей улыбки. Это важно для достижения гармоничного и естественного внешнего вида.
-
Технологии остеоинтеграции: Современные импланты имеют специальные покрытия, которые способствуют более быстрой и надежной остеоинтеграции (сращиванию импланта с костной тканью). Это особенно важно для передних зубов, где требуется высокая прочность и стабильность, чтобы избежать смещения или потери импланта.
https://youtube.com/watch?v=RAldNkF3CRk
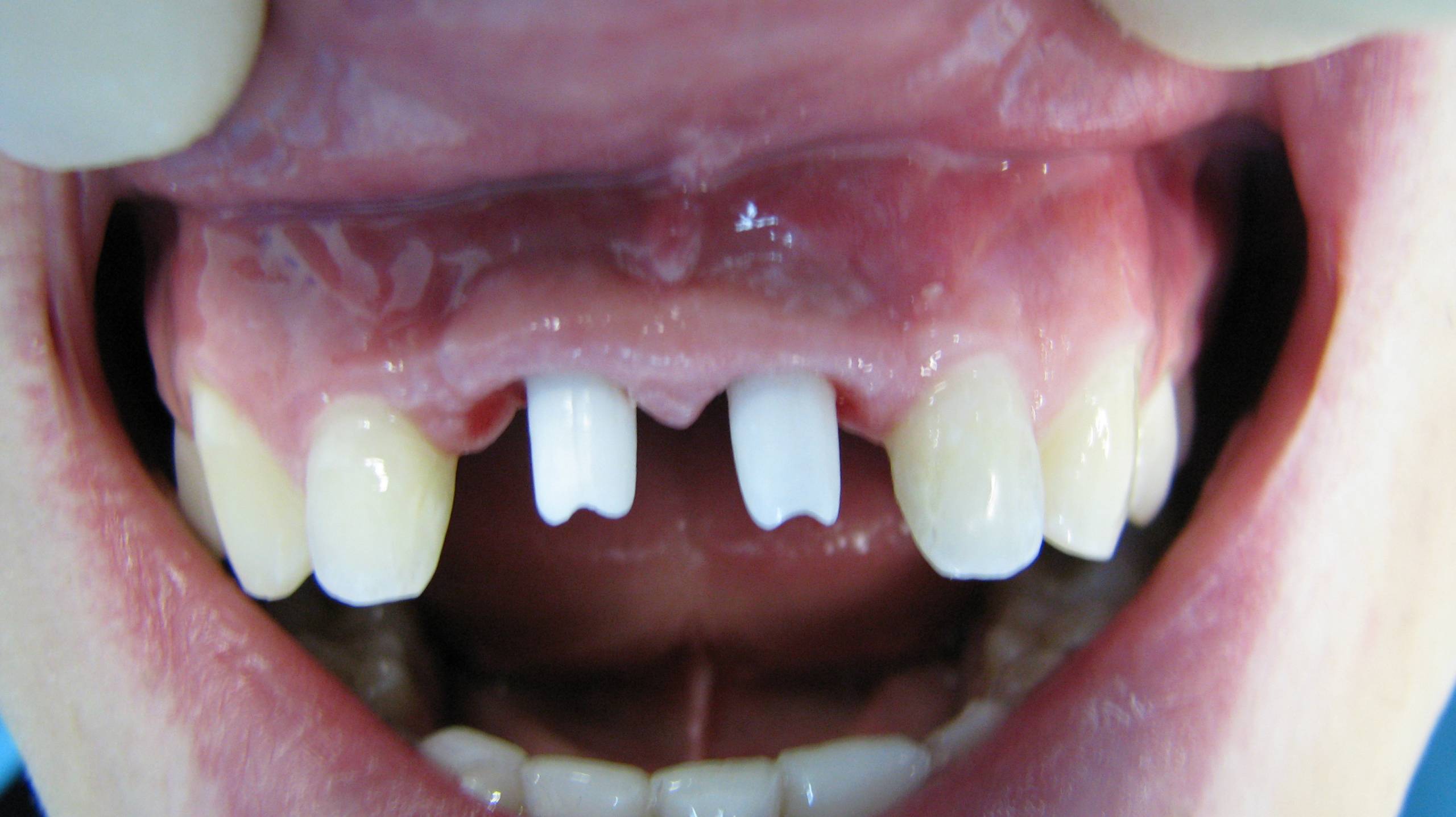
Фото до и после
Выбор имплантатов для фронтальных зубов — важный этап, мнения по которому различаются. Многие стоматологи рекомендуют титановые имплантаты за их прочность и биосовместимость. Пациенты отмечают, что титановая основа снижает риск отторжения и обеспечивает долговечность. Некоторые предпочитают керамические имплантаты, которые выглядят естественно и не имеют металлического блеска. Они подходят для передних зубов, так как могут быть окрашены в нужный цвет. Важно учитывать индивидуальные особенности пациента: состояние костной ткани, аллергии и другие факторы. Оптимальный выбор следует обсуждать с квалифицированным стоматологом, принимающим во внимание все детали.
Этапы проведения процедуры
Сначала врач занимается обследованием клиента и сбором полного анамнеза. Осуществляется планирование имплантации с учетом всех выявленных особенностей и факторов. Пациент также вовлекается в процесс, ему необходимо настроиться как морально, так и физически.
На подготовительном этапе осуществляются следующие шаги:
- Санация ротовой полости (удаление зубов, которые невозможно вылечить; лечение кариеса и периодонтита, пломбирование каналов).
- Укрепление корней зубов, при необходимости проводится лечение пародонтита, пародонтоза.
- Костная пластика при наличии атрофии в месте будущего импланта.
- Замены старых коронок и протезов, если их состояние не является пригодным для дальнейшего использования.
Операция проходит под действием общего наркоза или же под местной анестезией. Действие препаратов продолжается на протяжении двух часов после окончания процедуры. На данном этапе происходит вживление импланта переднего резца непосредственно в кость челюсти, где располагался корень утерянного или удаленного зуба. Обычно на подобные действия у врача уходит не более часа, но от качества выполнения этой работы будет зависеть то, насколько высокой будет функциональность и время эксплуатации новых резцов.
Ортопедический этап является завершающим шагом. В этот период устанавливается коронки, мосты или же специальные съемные зубные конструкции.
https://youtube.com/watch?v=PQv86VK9Kl4
Методики имплантации
Имплантация передних зубов может проходить в разное количество этапов. Если между удалением резца и его восстановлением прошло немного времени, процедура выполняется за один прием. Используется компьютерная томография для создания модели импланта. Врач устанавливает резец и зашивает десну. После приживления импланта временная коронка заменяется на постоянную.
Двухэтапное протезирование занимает более месяца. После предварительных манипуляций выполняется слепок костной ткани, на основе которого изготавливается индивидуальный имплант. Метод лечения выбирает врач, учитывая возраст пациента, состояние десен и другие факторы.
Традиционный подход к протезированию завершает все процедуры через несколько месяцев, когда лунка удаленного зуба полностью заживет. Однако иногда возможно немедленное размещение импланта на месте удаленного зуба.
Использование лазера
Имплантация передних зубов может осуществляться при помощи лазерной методики, что стало альтернативой обычному скальпелю, который применяли ранее. Для такой техники исполнения присущи такие преимущества:
- позволяет существенно сократить время операции, а также снизить неприятные и болезненные ощущения и уменьшить размер участка десны, где проводится манипуляция;
- луч лазера не только разрезает мягкие ткани, но и в то же время запаивает сосуды, что делает данную методику практически бескровной;
- обеззараживающие действия луча сводят к минимуму вероятность появления воспаления в полости рта после операции;
- использование лазера способствует образованию фотокоагуляционной пленки, защищающей ранку от воздействия неблагоприятных факторов;
- относится к числу щадящих методов, после установки временного протеза у клиента появляется возможность вернуться к привычному образу жизни практически сразу.
Базальная имплантация
Это современный подход в стоматологии. В отличие от традиционных методов, требующих наращивания костной ткани, базальная имплантация позволяет устанавливать искусственные зубы даже при атрофических изменениях.
Суть техники заключается в вживлении протезов в бикортикальные и глубокие слои костной ткани. Импланты устанавливаются надежно, обеспечивая высокую устойчивость. Это позволяет восстановить улыбку даже у пациентов с недостатком костной ткани или в случаях, когда другие хирургические вмешательства нецелесообразны.
Осложнения
Несмотря на все перспективы данной процедуры, имеется вероятность появления осложнений. Они могут быть результатом как неправильных действий дантиста, так и непредвиденной реакции организма клиента.
- болевые ощущения из-за слабой анестезии;
- прободение кости;
- излияние крови в гайморовы пазухи;
- чрезмерное повышение температуры кости в результате работы стоматологических инструментов.
Выбор материала для имплантов
При выборе имплантов для передних зубов одним из ключевых факторов является материал, из которого они изготовлены. На сегодняшний день наиболее распространенными материалами для зубных имплантов являются титан и цирконий. Каждый из этих материалов имеет свои преимущества и недостатки, которые важно учитывать при принятии решения.
Титановые импланты являются классическим вариантом и используются в стоматологии на протяжении многих лет. Титан обладает высокой прочностью и устойчивостью к коррозии, что делает его идеальным для использования в условиях ротовой полости. Кроме того, титан хорошо приживается к костной ткани (процесс остеоинтеграции), что обеспечивает надежную фиксацию импланта. Однако, несмотря на свои преимущества, титановые импланты могут вызывать аллергические реакции у некоторых пациентов, что является важным фактором при выборе.
Циркониевые импланты представляют собой более современный вариант, который становится все более популярным. Цирконий — это биосовместимый материал, который не вызывает аллергии и обладает высокой эстетикой. Импланты из циркония имеют белый цвет, что позволяет им более естественно выглядеть в области передних зубов, особенно у пациентов с тонкой десной. Однако цирконий менее прочен, чем титан, и может быть более подвержен повреждениям при сильных механических нагрузках.
При выборе между титаном и цирконием важно учитывать не только эстетические предпочтения, но и функциональные характеристики. Например, для пациентов с высоким риском травм или тех, кто занимается контактными видами спорта, титановые импланты могут быть более предпочтительными из-за их прочности. В то же время, для тех, кто ищет максимально естественный вид и не имеет проблем с деснами, циркониевые импланты могут стать отличным выбором.
Также стоит обратить внимание на производителя имплантов. На рынке представлено множество брендов, и качество продукции может значительно варьироваться. Рекомендуется выбирать импланты от известных и зарекомендовавших себя производителей, которые предоставляют гарантии на свою продукцию и имеют положительные отзывы от стоматологов и пациентов.
В заключение, выбор материала для имплантов на передние зубы зависит от множества факторов, включая индивидуальные особенности пациента, его предпочтения и рекомендации стоматолога. Тщательный анализ всех аспектов поможет сделать правильный выбор и обеспечить долгосрочный успех имплантации.
Вопрос-ответ
Какие материалы используются для имплантов на передние зубы?
На передние зубы чаще всего устанавливают импланты из титана или циркония. Титановые импланты обладают высокой прочностью и биосовместимостью, что делает их популярными. Циркониевые импланты, в свою очередь, имеют более эстетичный внешний вид и могут быть предпочтительнее для передних зубов, так как они менее заметны и лучше имитируют натуральный зуб.
Какой срок службы имплантов на передние зубы?
Срок службы имплантов может варьироваться в зависимости от качества материала, ухода за полостью рта и общего состояния здоровья пациента. В среднем, хорошо установленные и ухоженные импланты могут служить от 10 до 15 лет, а при правильном уходе и регулярных осмотрах у стоматолога срок службы может быть значительно дольше.
Как выбрать стоматолога для установки имплантов на передние зубы?
При выборе стоматолога для установки имплантов важно обратить внимание на его квалификацию, опыт работы и отзывы пациентов. Рекомендуется выбирать специалиста, который имеет опыт в установке имплантов именно на передние зубы, так как это требует особого подхода и навыков для достижения эстетического результата. Также стоит обсудить с врачом все этапы процедуры и возможные риски.
Советы
СОВЕТ №1
Перед выбором имплантов обязательно проконсультируйтесь с опытным стоматологом. Он поможет оценить состояние ваших зубов и десен, а также предложит наиболее подходящие варианты имплантов, учитывая ваши индивидуальные особенности.
СОВЕТ №2
Обратите внимание на материал имплантов. Титановые импланты являются наиболее распространенными и надежными, но также существуют керамические варианты, которые могут быть более эстетичными и менее заметными. Выбор материала зависит от ваших предпочтений и состояния здоровья.
СОВЕТ №3
Убедитесь, что выбранный вами имплант имеет необходимые сертификаты и одобрения. Это гарантирует, что продукт прошел все необходимые испытания и соответствует стандартам качества, что особенно важно для имплантации на передние зубы, где эстетика играет ключевую роль.
СОВЕТ №4
Не забывайте о постоперационном уходе за имплантами. Соблюдение гигиенических норм и регулярные визиты к стоматологу помогут избежать осложнений и продлить срок службы имплантов. Обсудите с врачом, какие средства и методы ухода будут наиболее эффективными для вас.
