Гниение зубов, или кариес, — распространенная стоматологическая проблема всех возрастов. Процесс начинается с разрушения зубной эмали и может привести к болям, инфекциям и потере зуба. В статье рассмотрим основные причины кариеса и обсудим, стоит ли паниковать при первых признаках. Понимание факторов, способствующих кариесу, и своевременное реагирование помогут сохранить здоровье зубов и избежать серьезных вмешательств.
Почему гниют зубы?
Курение и другие вредные привычки, такие как наркомания и злоупотребление алкоголем, ослабляют здоровье и защитные функции организма, включая защиту зубов. Они повышают чувствительность эмали, нарушают обменные процессы в ротовой полости и затрудняют восстановление тканей.
Неполноценное питание и избыток сладостей снижают иммунитет и ухудшают состояние зубов, так как сахар негативно влияет на твердые ткани.
Нездоровый образ жизни снижает защитные механизмы организма, что может привести к различным заболеваниям, включая стоматологические.
Низкий уровень гигиены ротовой полости ухудшает внешний вид улыбки и способствует распространению заболеваний.
Проблемы со здоровьем и сбои в работе внутренних систем также оказывают влияние:
- Болезни пародонта, такие как гингивит, периодонтит и пародонтоз, разрушают десны и могут затрагивать зубы.
- Инфекции, включая заболевания пищеварительной системы, печени, почек и нарушения работы щитовидной железы.
- Киста на корне зуба может разрушать твердые ткани и инфицировать соседние органы.
- Нехватка витаминов и минералов негативно сказывается на здоровье ротовой полости.
Существует еще одна группа факторов риска:
- Экологическая обстановка в крупных городах: нехватка фтора, загрязненный воздух, некачественная вода и примеси.
- Генетические факторы могут ослаблять организм и предрасполагать к определенным проблемам.
- Люди в переходных состояниях, такие как беременные женщины и подростки, особенно подвержены заболеваниям.
Кариес возникает из-за взаимодействия бактерий, сахаров и кислот. Основные виновники — бактерии, обитающие в ротовой полости и питающиеся остатками пищи. В процессе их жизнедеятельности образуются кислоты, разрушающие зубную эмаль. Неправильная гигиена, частое употребление сладостей и нехватка фтора способствуют развитию кариеса.
Специалисты подчеркивают, что паниковать не стоит, но игнорировать проблему нельзя. Ранние стадии кариеса можно лечить, а регулярные визиты к стоматологу помогут избежать серьезных последствий. Важно следить за состоянием зубов и соблюдать рекомендации врачей по уходу за ротовой полостью.
Гниение зубов, или кариес, возникает в результате взаимодействия бактерий, содержащихся в зубном налете, с углеводами, поступающими из пищи. Эти микроорганизмы производят кислоты, которые разрушают зубную эмаль, что приводит к образованию полостей. Эксперты подчеркивают, что основными факторами, способствующими развитию кариеса, являются недостаточная гигиена полости рта, неправильное питание и отсутствие регулярных визитов к стоматологу.
Паниковать не стоит, но игнорировать проблему тоже нельзя. Раннее выявление и лечение кариеса позволяют избежать серьезных осложнений, таких как воспаление десен или потеря зуба. Регулярная чистка зубов, использование зубной нити и ополаскивателей, а также сбалансированное питание помогут сохранить здоровье зубов и предотвратить гниение.
https://youtube.com/watch?v=PE2roJkChn0
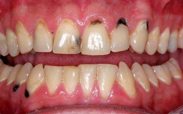
Степени разрушения зубов
В зависимости от стадии гниения, по-разному проявляются и симптомы патологии:
- Начинается все с неприятного запаха изо рта, когда особых ощущений еще нет, но из-за образовавшегося налета и обилия бактерий при разговоре чувствуется посторонний запах.
- Появляются пятна на эмали, улыбка окрашивается в желтый или коричневый цвет, что особо заметно на передних зубах.
- Со временем разрушительные процессы усиливаются и образовываются черные точки или даже целые участки. Правда, если изначально гниет корень, то это не будет заметно, так как болезнь проходит под десной и невидима для глаза. Для диагностики в таком случае нужно сделать рентгенограмму.
- Далее происходит образование полостей в твердых тканях, что выглядит как дырка в зубе. Со временем их размеры только увеличиваются.
- Появляется боль и усиливается с каждым разом. Дойдя до пульпы, внутренней части единицы, такие ощущения становятся невыносимыми и сигнализируют об опасном разрушении нервных окончаний.
- После некротизации мягкой части зуба боль может исчезнуть, но это грозит потерей целой единицы и заражением окружающих тканей.
При разрушении видимой части ряда происходит еще и психологическая и эстетическая проблема, так как внешний вид улыбки значительно ухудшается и становится непривлекательным. Это заставляет человека держаться в стороне от других, замкнуться в себе, появляются комплексы.
Гораздо хуже другие последствия не пролеченного кариеса – постоянно попадая со слюной внутрь организма, болезнетворные бактерии стремительно распространяются по всем органам и системам, что приводит к различным внутренним патологиям.
| Причина гниения зубов (кариеса) | Степени тяжести кариеса | Стоит ли паниковать? |
|---|---|---|
| Налет и зубной камень (скопление бактерий, которые вырабатывают кислоты) | Начальный кариес (потемнение эмали) | Нет, своевременное обращение к стоматологу позволит остановить процесс. |
| Недостаточная гигиена полости рта | Поверхностный кариес (поражение эмали) | Нет, лечение обычно простое и быстрое. |
| Кислотообразующие продукты и напитки (газировка, сладкие соки, конфеты) | Средний кариес (поражение дентина) | Рекомендуется обратиться к стоматологу как можно скорее. |
| Генетическая предрасположенность (слабая эмаль) | Глубокий кариес (поражение пульпы) | Да, требуется срочное лечение, чтобы избежать пульпита и периодонтита. |
| Недостаток фтора | Разрушение эмали | Да, необходимо обратиться к стоматологу для оценки состояния зубов и назначения лечения. |
| Бруксизм (скрежетание зубами) | Повреждение эмали и дентина | Да, требуется лечение бруксизма и возможное восстановление поврежденных зубов. |
| Сухость во рту (ксеростомия) | Ускоренное развитие кариеса | Да, необходимо обратиться к стоматологу и врачу для выяснения причин ксеростомии. |
Интересные факты
Вот несколько интересных фактов о гниении зубов и его причинах:
-
Бактерии и кислоты: Гниение зубов, или кариес, возникает в результате действия бактерий, которые обитают в полости рта. Эти бактерии питаются остатками пищи, особенно сахарами, и выделяют кислоты, разрушающие зубную эмаль. Чем больше сахара в рационе, тем выше риск развития кариеса.
-
Факторы риска: Не только потребление сладостей приводит к гниению зубов. Генетическая предрасположенность, недостаточная гигиена полости рта и даже некоторые медицинские состояния (например, сухость во рту) могут увеличить вероятность возникновения кариеса.
-
Не стоит паниковать, но важно действовать: Хотя гниение зубов — это серьезная проблема, паниковать не стоит. Раннее обнаружение и лечение кариеса могут предотвратить его дальнейшее развитие. Регулярные визиты к стоматологу и правильная гигиена полости рта помогут сохранить зубы здоровыми.
Важно помнить, что профилактика всегда лучше лечения, поэтому стоит уделять внимание уходу за зубами и регулярным осмотрам у стоматолога.
https://youtube.com/watch?v=76Lonn3n76s
Процесс гниения у взрослых
Проблемы с кариесом у взрослых имеют множество причин, часто действующих в комплексе, что ускоряет разрушение зубов и распространение инфекции. Это может происходить под пломбами, коронками, винирами, брекетами и другими стоматологическими конструкциями.
К разрушению зубов также приводит проблемный рост зуба мудрости, вызывающий воспаление окружающих тканей и травмирующий соседние зубы из-за неправильного наклона. В таких случаях необходимо удалить «восьмерку», что может сделать только квалифицированный стоматолог.
Если не выявлять и не лечить кариес, возникают проблемы как в личной жизни, так и в профессиональной сфере. Идеальная улыбка стала важной частью имиджа. Гораздо проще своевременно лечить зубы, чем запускать процесс гниения и затем долго находиться в стоматологическом кресле для устранения последствий.
Гниение зубов — распространенная проблема, о которой говорят многие. Основной причиной считается воздействие бактерий, образующих налет и выделяющих кислоты, разрушающие зубную эмаль. Неправильная гигиена, частое употребление сладостей и недостаток фтора способствуют развитию кариеса. Некоторые считают, что гниение зубов — неизбежный процесс старения, но это не так. Правильный уход и регулярные визиты к стоматологу могут значительно снизить риск. Паниковать не стоит, но игнорировать проблему нельзя. Важно следить за состоянием зубов и своевременно реагировать на изменения, чтобы сохранить здоровье полости рта на долгие годы.
Почему гниют зубы у детей?
- Любовь малыша к сладостям и неспособность родителей остановить их приводит к быстрому процессу разрушения и инфицирования.
- Поскольку детские зубики слабо защищены тонкой эмалью, несформированной до конца, то и гниение происходит очень стремительно, что особо пугает взрослых.
- Если молочные единицы больны, то и постоянные, которые приходят им на смену, также быстро заражаются и разрушаются.
- Дети плохо следят за личной гигиеной и не проводят ежедневную чистку зубов на высоком уровне. Родители должны контролировать этот процесс и помогать.
- Наследственные факторы и проблемы со здоровьем у матери во время беременности также могли повлиять на состояние эмали ребенка.
https://youtube.com/watch?v=V9gD891ggBg
Профилактика гниения зубов
— это важный аспект поддержания здоровья полости рта и общего благополучия. Гниение зубов, или кариес, возникает в результате сложного взаимодействия между бактериями, сахаром и минералами, содержащимися в зубной эмали. Чтобы предотвратить этот процесс, необходимо учитывать несколько ключевых факторов.
1. Правильная гигиена полости рта: Основой профилактики является регулярная и правильная гигиена полости рта. Рекомендуется чистить зубы дважды в день с использованием фторсодержащей зубной пасты. Фтор помогает укрепить зубную эмаль и делает её более устойчивой к воздействию кислот, вырабатываемых бактериями. Также важно использовать зубную нить или межзубные щетки для удаления остатков пищи и налета из труднодоступных мест.
2. Ограничение потребления сахара: Сахар является основным источником питания для бактерий, которые вызывают гниение зубов. Снижение потребления сладостей, газированных напитков и других продуктов с высоким содержанием сахара может значительно уменьшить риск развития кариеса. Вместо этого стоит выбирать продукты, богатые клетчаткой, такие как фрукты и овощи, которые способствуют естественному очищению зубов.
3. Регулярные визиты к стоматологу: Профилактические осмотры у стоматолога не менее важны, чем домашний уход за зубами. Специалист может выявить начальные стадии кариеса и предложить соответствующее лечение, прежде чем проблема станет серьезной. Рекомендуется посещать стоматолога не реже двух раз в год для профессиональной чистки и осмотра.
4. Использование фторсодержащих средств: Фтор помогает укрепить зубную эмаль и предотвращает развитие кариеса. Использование фторсодержащих ополаскивателей для рта и гелей может быть полезным дополнением к ежедневной гигиене. Однако важно следить за тем, чтобы не превышать рекомендуемую дозу фтора, особенно у детей.
5. Здоровое питание: Сбалансированное питание, богатое витаминами и минералами, играет важную роль в здоровье зубов. Кальций и витамин D необходимы для укрепления зубной эмали и костной ткани. Включение в рацион молочных продуктов, зелени, орехов и рыбы поможет поддерживать здоровье зубов и десен.
6. Избегание вредных привычек: Курение и жевание табака негативно сказываются на здоровье зубов и десен. Эти привычки могут способствовать образованию налета и камня, а также увеличивают риск развития заболеваний десен. Отказ от курения и других вредных привычек поможет сохранить здоровье полости рта.
Следуя этим рекомендациям, можно значительно снизить риск гниения зубов и сохранить их здоровье на долгие годы. Профилактика — это лучший способ избежать серьезных стоматологических проблем и обеспечить себе красивую улыбку.
Вопрос-ответ
Могут ли гнилые зубы быть причиной беспокойства?
Повышенный риск разрушения зубов и их потери может привести к более частому возникновению боли, социальной изоляции и низкой самооценке, а также к снижению качества жизни и, в свою очередь, может быть связан с ухудшением психического и общего здоровья.
К чему может привести гниение зуба?
Важно знать! Если своевременно не приступить к лечению даже одного гнилого зуба, это приведет к хроническим воспалениям в ротовой полости. А из-за них будет продолжать развиваться интоксикация организма, возрастать риск появления патологий ЖКТ, болезней опорно-двигательного аппарата.
Что будет, если не удалить гнилые зубы?
Наличие гнилых передних и жевательных зубов вызывает проблемы в полости рта и организме. Помимо эстетического дефекта разрушенные зубы становятся источником хронической инфекции. Токсины, попадающие в кровь, ухудшают самочувствие и вызывают ряд опасных заболеваний.
Советы
СОВЕТ №1
Регулярно посещайте стоматолога для профилактических осмотров. Это поможет выявить проблемы на ранних стадиях и предотвратить гниение зубов.
СОВЕТ №2
Следите за гигиеной полости рта: чистите зубы дважды в день и используйте зубную нить. Это поможет удалить налет и остатки пищи, которые могут способствовать развитию кариеса.
СОВЕТ №3
Сократите потребление сахара и кислых продуктов, так как они могут способствовать разрушению зубной эмали и развитию кариеса. Вместо этого выбирайте здоровые перекусы, такие как фрукты и овощи.
СОВЕТ №4
Обратите внимание на симптомы, такие как боль или чувствительность зубов. Если вы заметили что-то необычное, не откладывайте визит к стоматологу, чтобы избежать серьезных последствий.
