Флюороз зубов — стоматологическое заболевание, возникающее из-за избыточного потребления фтора при формировании зубной эмали. Это может привести к изменению цвета и структуры эмали. В статье рассмотрим причины флюороза, его симптомы и стадии, а также методы лечения и профилактики. Знание о флюорозе поможет своевременно распознать проблему и обратиться к специалистам, что позволит сохранить здоровье зубов и избежать серьезных последствий.
Причины
Основной причиной заболевания является длительное поступление фтора в организм, чаще всего через питьевую воду. Флюороз может проявляться как до, так и после появления зубов.
Рассмотрим причины подробнее:
-
Питьевая вода – главный источник флюороза, так как с ней в организм поступает значительное количество фтора. Содержание этого элемента в воде варьируется в разных регионах, что влияет на риск для местного населения. Хотя фтор присутствует также в продуктах питания и средствах ухода за зубами, вода является наиболее значимым фактором из-за более эффективного усвоения фтора.
-
Профессиональная деятельность – на некоторых предприятиях воздух может содержать фторсодержащие соединения. Работники таких мест могут столкнуться с флюорозом, даже если уровень фтора в питьевой воде невелик.
-
Продукты, содержащие фтор – регулярное употребление морепродуктов, черного и зеленого чая, красного вина и подобных продуктов может привести к заболеванию, но это происходит редко и требует больших количеств или предрасположенности.
-
Препараты с высоким содержанием фтора – длительное лечение такими средствами может вызвать симптомы флюороза.
На ранних стадиях кариес может проявляться схожими симптомами. Пятно кариеса трудно отличить от флюорозного, так как они могут быть схожи по форме и цвету.
Флюороз зубов возникает из-за избыточного потребления фтора в период формирования зубной эмали. Это проявляется в виде белых, полосатых или коричневых пятен на зубах, что негативно сказывается на эстетике улыбки. Основные причины флюороза включают высокое содержание фтора в питьевой воде и чрезмерное использование фторсодержащих зубных паст и добавок.
Лечение флюороза зависит от его степени. Стоматолог может рекомендовать профессиональную чистку, применение реминерализирующих средств или использование композитных материалов для маскировки дефектов. В более серьезных случаях может потребоваться эстетическая реставрация зубов. Важно обращаться к специалистам при первых признаках флюороза, чтобы избежать осложнений и сохранить здоровье зубов.
Флюороз зубов — это заболевание, вызванное избыточным потреблением фтора в период формирования зубной эмали. Эксперты отмечают, что данное состояние проявляется в виде белых пятен, полос или даже коричневых пятен на зубах, что может негативно сказаться на эстетике улыбки. Важно понимать, что флюороз не является заболеванием, требующим немедленного лечения, однако его проявления могут вызывать дискомфорт у пациентов.
Лечение флюороза зависит от степени его выраженности. В легких случаях достаточно профессиональной гигиенической чистки и применения реминерализующих препаратов. В более серьезных случаях могут потребоваться косметические процедуры, такие как отбеливание или установка виниров. Эксперты подчеркивают, что профилактика флюороза заключается в контроле потребления фтора, особенно у детей, что поможет избежать его развития и сохранить здоровье зубов.
https://youtube.com/watch?v=zoZCr_7J2q4
Симптомы
Чтобы не путать флюороз и кариес нужно знать две отличительных особенности:
- флюороз проявляется с момента прорезывания зуба;
- кариес не бывает множественным, в отличии от флюороза, пятна которого могут появляться на одном зубе в различных количествах.
- еще одним признаком является характерный белый или бурый цвет пятен на эмали, но такую окраску пятна будут иметь только в случае с эндемической формой болезни. Если же имеет место флюороз профессионального типа, то такие пятна очень часто отсутствуют, при этом будет наблюдаться значительная хрупкость эмали и ее стирание.
- более серьезными и редкими симптомами могут быть низкая подвижность суставов, поражение скелета, боли в костях. Могут иметь место нарушения в деятельности нервной системы и внутренних органов (например, печени).
Определить заболевание по симптоматике на ранних стадиях не является слишком сложным занятием.
| Стадия флюороза | Характерные признаки | Методы лечения |
|---|---|---|
| Начальная (пятнистая) | Белые пятна на эмали, неровная поверхность. | Профессиональная гигиена полости рта, реминерализующая терапия (фторсодержащие гели, лаки). |
| Средняя (пятнистая) | Более выраженные белые или светло-коричневые пятна, возможна шероховатость эмали. | Профессиональная гигиена, реминерализующая терапия, отбеливание (в некоторых случаях). |
| Выраженная (пятнисто-полосатая) | Выраженные коричневые или желто-коричневые пятна, полосы, эмаль может быть повреждена. | Микроабразия, реставрация композитными материалами, виниры, коронки (в зависимости от степени повреждения). |
| Тяжелая (эрозивно-деструктивная) | Глубокие повреждения эмали, эрозии, разрушение зубов. | Реставрация композитными материалами, виниры, коронки, в некоторых случаях – удаление зуба. |
Интересные факты
Вот несколько интересных фактов о флюорозе зубов и его лечении:
-
Причины флюороза: Флюороз зубов возникает в результате избыточного потребления фтора во время формирования зубов, особенно в детском возрасте. Это может происходить как из-за чрезмерного употребления фторированной воды, так и из-за использования фторсодержащих зубных паст и добавок. Интересно, что флюороз не всегда проявляется в виде видимых пятен; в легких случаях он может быть практически незаметен.
-
Степени тяжести: Флюороз классифицируется по степени тяжести — от легкой (незначительные белые пятна) до тяжелой (коричневые пятна и разрушение эмали). В зависимости от степени тяжести, лечение может варьироваться от косметических процедур, таких как отбеливание или композитные реставрации, до более серьезных вмешательств, таких как коронки.
-
Профилактика и лечение: Профилактика флюороза включает контроль за потреблением фтора, особенно у детей. Важно следить за тем, чтобы дети не глотали зубную пасту и не использовали фторсодержащие добавки без рекомендации врача. Лечение может включать в себя использование реминерализующих паст, профессиональную чистку зубов и, в некоторых случаях, хирургические методы для восстановления поврежденной эмали.
https://youtube.com/watch?v=7mVEw8THnbg
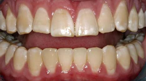
Фото
Флюороз зубов — заболевание, возникающее из-за избытка фтора при формировании эмали. Оно проявляется белыми пятнами или коричневыми полосами на зубах, что создает эстетические неудобства. Часто считают, что флюороз возникает из-за чрезмерного использования фторсодержащих зубных паст или воды с высоким содержанием фтора. Лечение зависит от тяжести состояния: в легких случаях достаточно профессиональной чистки и отбеливания, в сложных — реставрации или установки виниров. Профилактика включает соблюдение норм потребления фтора, особенно для детей. Регулярные визиты к стоматологу помогут избежать проблем и сохранить здоровье зубов.
Формы флюороза
В основном классификация флюороза происходит по происхождению:
- эндемический – вызванный накоплением в организме фтора путем приема некачественной питьевой воды. Отличается характерным цветом пятен и может появиться на зубе еще до момента его прорезывания;
- профессиональный – вызванный длительным пребыванием человека в условиях, когда в воздухе имеется большое количество фтора.
Более детально на виды флюороз распределяют по форме протекания заболевания:
- Штриховидная – характеризуется появлением «штришков» – меловидных полос на эмали, в зависимости от каждого конкретного случая штришки могут быть как хорошо видимыми, так и практически незаметными. Проявляется на верхней челюсти и поражает передние зубы.
- Пятнистая – в отличии от штриховой, пятнистая форма может располагаться по всей поверхности зубов, она проявляется как множественными пятнами, так и одним большим. Может поражать все зубы, на чаще всего страдают именно резцы. Пораженный участок зуба, может менять цвет с белого на бурый, при этом поверхность пятна на эмали будет блестеть и светится.
- Меловидно-крапчатая – поверхность пораженного зуба приобретает светло-матовый оттенок, поражает все зубы в одинаковой степени, а не только резцы, способствует очень быстрому стиранию зубной поверхности. Эмаль стает желтого цвета, на ней проявляются мелкие пятна.
- Деструктивная – проявляется тогда, когда фтор в организме значительно превышает норму, при этом наблюдается мощное крушение зубной эмали, нередко имеют место сколы.
- Эрозивная – разъедается зубная эмаль, перед этим приобретая темно-бурую окраску, в этом случае также имеют место хрупкость зубов, множественные сколы. Часто пациенты жалуются на довольно сильные болевые ощущения при приеме пищи.
Последние две формы флюороза протекают с потерей зубных тканей, они деформируют зуб, могут вызывать болевые ощущения. В таких случаях необходимо обращаться к стоматологу, который поставит верный диагноз и посоветует комплексный курс лечения.
Патогенез
Процессы возникновения флюороза остаются недостаточно изученными, несмотря на многочисленные исследования стоматологов. Эксперты считают, что фтор негативно влияет на зачатки зубов, что приводит к их неправильному формированию.
Существует региональная предрасположенность к флюорозу, связанная с составом воды. Однако доза фтора, способная вызвать заболевание, индивидуальна для каждого человека. Допустимой нормой считается 1.5 миллиграмма фтора на литр воды.
Причина заболевания в значительной степени зависит от качества питьевой воды и места проживания. Для одних людей 1.5 миллиграмма на литр безопасны, в то время как для других даже полмиллиграмма может вызвать проблемы с эмалью. Специалисты объясняют эту разницу климатическими условиями.
Как лечить флюороз?
В зависимости от стадии протекания болезни используются разнообразные способы лечения. Комплексное их применение значительно повысит шансы на полное избавление от болезни и частично предотвратит ее появление в будущем. Стоит выделить следующие формы лечения:
- реминерализация зубных покрытий – если болезнь в сложной форме, то предпринимается реставрация зуба у стоматолога. Такие процедуры выполняются с помощью искусственных материалов (разнообразных стоматологических цементов);
- на начальных стадиях болезни может быть эффективным процесс отбеливания, его можно выполнять как с помощью специальных зубных паст, так и у стоматолога. Но этот метод даст необходимый результат только в том случае, если у вас штриховидная или пятнистая форма флюороза. Стоимость такой процедуры для одного или нескольких зубов не слишком высока (от 14000 рублей). Специальными пастами стоит пользоваться осторожно, не более двух раз в сутки – перед сном и утром;
- на начальных этапах помочь может замена питьевой воды с большим количеством фтора на воду, где этого элемента намного меньше. Если нет возможности изменить питьевую воду, то можно поставить на краны специальные фильтры;
- уменьшение в рационе фторосодержащих продуктов поможет в случае со штриховидной и пятнистой формой заболевания. Не стоит отказываться от них полностью, но количество морской рыбы, сала, черного и зеленого чая должно существенно уменьшиться. На этом фактически и заканчиваются возможности лечения флюороза в домашних условиях .
Стоит отметить, что в процессе стоматологического отбеливания зубов, пораженных флюорозом, используется кислота (например, соляная). Зуб пациента сушат, после чего на него наносят раствор кислоты и через 2 минуты смывают водой и просушивают. Через несколько дней процедуру необходимо повторить, с той лишь разницей, что теперь кислотой следует обработать только те участки проблемного зуба, которые потемнели. Эти курсы необходимо повторять регулярно 2 раза в год, поскольку проблема такого характера имеет свойство повторяться.
Флюороз у детей
Эксперты отмечают, что дети подвержены риску флюороза, так как их зубы находятся на этапе формирования, а обмен веществ может нарушаться. Значительные дозы фтора могут негативно влиять на состояние зубов.
Важно! Фтор в детском организме способствует выведению кальция, что делает новые зубы более хрупкими и уязвимыми к сколам и другим проблемам.
Высокое содержание фтора в воде не всегда приводит к флюорозу, так как это зависит от индивидуальных особенностей организма. Дети с крепким иммунитетом реже сталкиваются с такими заболеваниями.
Профилактика
Лечение флюороза – процесс долгий и малоприятный, к тому же, если у вас однажды появилась эта проблема, то она может донимать вас снова и снова, поэтому крайне важным для здоровья ротовой полости остается профилактика.
Нужно придерживаться следующих рекомендаций:
- Не употреблять в больших количествах воду, если она содержит в себе фтор. Следует заменить ее на воду с нормальными показателями этого вещества (1.5 мг/литр), если нет такой возможности надо поставить на кран специальный фильтр.
- Пересмотреть рацион на предмет содержания фтора. Если вы употребляете слишком много морепродуктов, черного и зеленого чая, сала, то следует уменьшить их количество в своем меню.
- Следить за составом зубных паст, так как они включают в себя фтор, и хотя он очень плохо усваивается во время чистки зубов, но все-таки может поспособствовать появлению болезни.
- Регулярно посещать дантиста. Опытный специалист сразу сможет определить есть ли риск заболевания флюорозом или другими болезнями ротовой полости.
Такие меры помогут избежать появления болезни, или не позволят ей развиваться и переходить в более тяжелые формы. Подходить к профилактике нужно комплексно и придерживаться всех перечисленных выше пунктов.
Видео: о флюорозе
https://youtube.com/watch?v=IHm-9r3lx6Y
Дополнительные вопросы
► Можно ли проводить отбеливание при флюорозе?
Отбеливание зубов возможно на ранних стадиях флюороза. Стоматолог проведет процедуру за несколько визитов, рекомендуется повторять её дважды в год.
► Код по МКБ
Флюороз обозначается кодом К00.3 (крапчатые зубы) по Международной классификации болезней.
► Какую зубную пасту применять при флюорозе?
Используйте зубные пасты без фтора с отбеливающим эффектом. Обычная чистка такой пастой даст заметный результат только на начальных стадиях заболевания.
Последствия флюороза
Флюороз зубов – это заболевание, вызванное избыточным потреблением фтора во время формирования зубной эмали. Это состояние может привести к различным изменениям в структуре и внешнем виде зубов, что, в свою очередь, может повлиять на здоровье полости рта и общее самочувствие пациента.
Одним из основных последствий флюороза является изменение цвета зубов. Зубы могут приобретать различные оттенки, начиная от светло-желтого и заканчивая коричневым. В более тяжелых случаях на эмали могут появляться белые пятна, полосы или даже коричневые пятна, что значительно ухудшает эстетический вид улыбки.
Кроме изменения цвета, флюороз может привести к структурным изменениям зубной эмали. Эмаль может становиться более пористой и менее прочной, что делает зубы более уязвимыми к кариесу и другим стоматологическим заболеваниям. Это связано с тем, что пористая эмаль менее устойчива к воздействию кислот, которые образуются в результате жизнедеятельности бактерий в полости рта.
Также флюороз может вызывать повышенную чувствительность зубов. Изменения в структуре эмали могут привести к тому, что зубы становятся более чувствительными к горячей и холодной пище, а также к сладким и кислым продуктам. Это может вызывать дискомфорт и боль, что негативно сказывается на качестве жизни пациента.
В некоторых случаях флюороз может привести к развитию других стоматологических проблем, таких как парадонтоз или воспаление десен. Изменения в эмали могут создать благоприятные условия для размножения бактерий, что увеличивает риск заболеваний десен и других осложнений.
Важно отметить, что флюороз не является инфекционным заболеванием и не передается от человека к человеку. Однако его последствия могут значительно повлиять на здоровье зубов и общее состояние полости рта. Поэтому при первых признаках флюороза рекомендуется обратиться к стоматологу для диагностики и выбора оптимального метода лечения.
Вопрос-ответ
Какова причина флюороза зубов?
Главной и чаще всего основной причиной образования флюороза зубов является переизбыток микроэлемента фтора в эмали, поступление фтора в организм в таких количествах, которые сам организм не способен принять. Будьте внимательны, любое заболевание следует обязательно лечить.
Какие зубные пасты использовать при флюорозе?
При флюорозе стоматологи рекомендуют зубные пасты без фтора, например: Biorepair Intensive Night Repair Италия, а также детские: Biorepair Kids (от 0 до 6 лет) Италия или Biorepair Junior (от 7 до 14 лет) Италия.
Советы
СОВЕТ №1
Регулярно посещайте стоматолога для профилактических осмотров. Это поможет выявить флюороз на ранних стадиях и предотвратить его дальнейшее развитие.
СОВЕТ №2
Обратите внимание на содержание фтора в вашей питьевой воде и зубной пасте. Избыточное потребление фтора может привести к флюорозу, поэтому выбирайте продукты с оптимальным уровнем фтора.
СОВЕТ №3
Если у вас уже есть признаки флюороза, проконсультируйтесь с стоматологом о возможных методах лечения, таких как профессиональная чистка зубов, использование отбеливающих средств или косметические процедуры для улучшения внешнего вида зубов.

