Некроз зубов — серьезное стоматологическое заболевание, которое может привести к потере зуба и осложнениям при отсутствии своевременной диагностики и лечения. В статье рассмотрим этиологию некроза, основные причины его возникновения и клиническую картину, позволяющую распознать состояние на ранних стадиях. Также будут представлены современные методы лечения, помогающие сохранить зуб и предотвратить проблемы со здоровьем полости рта. Эта информация будет полезна стоматологам и пациентам, стремящимся лучше понять свое состояние и возможности его коррекции.
Что такое некроз зубов?
Данная патология возникает под воздействием различных агрессивных факторов, как внешних, так и внутренних. Процесс разрушения представляет собой постепенное отмирание твердых тканей — эмали и дентина, что приводит к утрате их жевательной функции. Если заболевание прогрессирует, это может закончиться нарушением дикции и потерей зубов.
Некроз развивается активно и может затрагивать разные участки твердых тканей, быстро распространяясь по ряду зубов. Это необратимый процесс, который сложно лечить. Он встречается как у мужчин, так и у женщин разных возрастов. Среди некариозных заболеваний он составляет 9% всех обращений к стоматологу.
Некроз зубов — серьезное стоматологическое заболевание, возникающее из-за инфекций, травм или недостатка кровоснабжения. Основными причинами являются кариес, периодонтит и травмы, нарушающие целостность зубной ткани. Клинические проявления некроза включают болезненность, изменение цвета зуба и возможное образование свища. Своевременная диагностика и лечение играют решающую роль в предотвращении осложнений. Специалисты рекомендуют комплексный подход к терапии, который может включать эндодонтическое лечение, антисептики и, в некоторых случаях, хирургическое вмешательство. Профилактика, включая регулярные осмотры и соблюдение гигиены полости рта, также важна в борьбе с этим заболеванием.
Эксперты в области стоматологии подчеркивают, что некроз зубов является сложным процессом, который может быть вызван множеством факторов, включая инфекцию, травму или недостаток кровоснабжения. Клиническая картина заболевания часто проявляется в виде боли, изменения цвета зуба и отека окружающих тканей. Важно отметить, что ранняя диагностика играет ключевую роль в успешном лечении. Специалисты рекомендуют использовать рентгенографию для определения степени повреждения и выбора оптимальной тактики. Методы лечения варьируются от эндодонтического вмешательства до удаления зуба в тяжелых случаях. Профилактика, включая регулярные осмотры и гигиену полости рта, также является важным аспектом, способствующим снижению риска некроза.
https://youtube.com/watch?v=aXB8G8vurS8
Причины возникновения
- проблемы функционирования центральной нервной системы;
- гормональные нарушения, что часто случается в подростковом возрасте или в период беременности;
- гипотериоз, когда происходят сбои в работе щитовидной железы;
- постоянная интоксикация организма;
- наследственные факторы;
- частое воздействие высоких кислот или их испарений на ротовую полость (сюда относится и работа на вредном производстве, и частая рвота, нарушение кислотно-щелочного баланса в желудке и пр.);
- высокие дозы облучения, например, при лечении онкозаболеваний;
- электромагнитные импульсы;
- прием отдельных лекарственных препаратов, способствующих разрушению эмали.
Врачи заметили, что если причиной выступают внутренние проблемы, то отмирание клеток начинается с корневой или пришеечной области. А в случаях основного фактора, лежащего вовне организма, некроз зуба затрагивает внешнюю часть коронки. Чаще всего поражаются данным видом заболевания резцы, клыки и премоляры, потому что они поддаются прямому агрессивному воздействию (например, вредным испарениям).
Экзогенные факторы приводят к нарушению состава слюны и щелочного баланса ротовой полости, снижают микроциркуляцию крови, что и заканчивается разрушительными процессами из-за недостаточного питания на клеточном уровне и плохой защитой от внешних воздействий.
| Этиология (причины) некроза зуба | Клиническая картина | Методы лечения |
|---|---|---|
| Кариес глубокий, распространившийся на пульпу | Боль спонтанная, усиливающаяся на холодное, горячее, сладкое, кислое; отечность десны; изменение цвета зуба (потемнение); возможно наличие свища | Витальная экстирпация пульпы с пломбированием корневых каналов; девитализация (удаление пульпы с использованием лекарственных препаратов) с последующим пломбированием; удаление зуба (в случае необратимых изменений) |
| Травма зуба (перелом, вывих, ушиб) | Боль, изменение цвета зуба, возможно наличие кровоизлияния в пульпу; нарушение целостности коронки или корня | Лечение перелома (реставрация, шинирование); реплантация зуба (при вывихе); пульпэктомия (удаление пульпы) с пломбированием корневых каналов; удаление зуба (при необратимых повреждениях) |
| Периодонтит | Боль, отечность десны, свищ, подвижность зуба, изменение цвета зуба | Лечение периодонтита (антибиотики, хирургическое вмешательство); пульпэктомия с пломбированием корневых каналов; удаление зуба (в случае неэффективности лечения) |
| Воспалительные заболевания пародонта | Постепенное разрушение тканей зуба, подвижность зуба, образование пародонтальных карманов | Лечение пародонтита (чистка зубов, хирургическое вмешательство); пульпэктомия (при вовлечении пульпы); удаление зуба (при значительном разрушении) |
Интересные факты
Вот несколько интересных фактов, связанных с этиологией и клинической картиной некроза зубов, а также методами лечения:
-
Этиология некроза зубов: Некроз зубов часто возникает в результате инфекций, травм или глубоких кариозных процессов. Инфекция может проникать в пульпу зуба через кариозные полости или трещины, что приводит к воспалению и, в конечном итоге, к некрозу. Интересно, что некроз может развиваться и в результате незначительных травм, которые не всегда заметны пациенту, например, при микротрещинах.
-
Клиническая картина: Основные симптомы некроза зуба включают боль, которая может быть острой или тупой, а также изменение цвета зуба (потемнение). В некоторых случаях некроз может протекать бессимптомно, что затрудняет диагностику. Это делает регулярные стоматологические осмотры особенно важными для раннего выявления проблем.
-
Методы лечения: Лечение некроза зубов обычно включает эндодонтическое лечение (лечение корневых каналов), которое направлено на удаление инфицированной пульпы и последующее заполнение корневых каналов специальными материалами. В некоторых случаях, если зуб сильно поврежден, может потребоваться его удаление. Современные технологии, такие как использование лазеров и микроскопов, значительно повышают эффективность и комфортность лечения.
https://youtube.com/watch?v=I6_dHGPWHVs
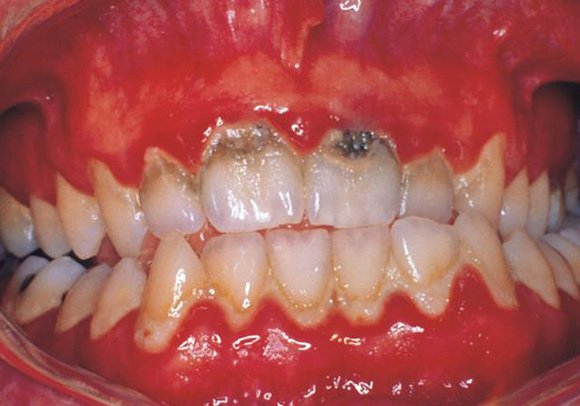
Симптомы
При диагностике стоматологических заболеваний врачи ориентируются на симптомы, указывающие на некроз твердых тканей зуба:
- повышенная чувствительность к горячим и холодным продуктам;
- неожиданная оскомина, не связанная с кислой пищей;
- снижение блеска эмали, ее бледность и тусклость;
- образование белых меловых пятен, которые могут потемнеть;
- неоднородный цвет пигментных образований: темный центр и светлые края;
- шероховатость и неоднородная структура пораженных участков;
- отслаивание эмали при использовании зонда;
- постоянные ноющие боли у некоторых пациентов;
- быстрое разрушение режущего края зуба, ухудшающее жевательную функцию и приводящее к стиранию поверхности и нарушению прикуса;
- уменьшение размера зубов и приближение краев к десне в запущенных случаях.
Изменения цвета зуба зависят от воздействия различных факторов. Например, соляная кислота придает эмали желто-серый оттенок, а серная – черный. Высокая концентрация азотистых веществ может вызвать меловые пятна и разрушение структуры.
Некроз зубов – серьезное стоматологическое заболевание, вызывающее много обсуждений среди специалистов и пациентов. Основные причины некроза: глубокие кариозные поражения, травмы и инфекции. Клиническая картина включает сильную боль, отек и изменение цвета зуба, что вызывает беспокойство. Врачи подчеркивают важность ранней диагностики, так как запущенные случаи могут привести к потере зуба. Лечение включает эндодонтические методы для сохранения зуба и удаление пораженной ткани. Своевременное обращение к врачу и соблюдение рекомендаций по уходу за полостью рта значительно снижают риск развития заболевания.
Виды
Существует классификация, выделяющая определенный тип некроза зубов в зависимости от его причины и локализации:
- Пришеечный – как очевидно из названия, он поражает пришеечный участок эмали, ближе к десне, а иногда и уходит под нее. Начинается все с малозаметного белого пятна, похожего на мел. Но заболевание быстро прогрессирует и пораженная область темнеет, становясь коричневым или даже черным. Патогенное образование активно разрастается, охватывая все большие объемы и рядом стоящие единицы. При воздействии стоматологическими инструментами поверхность эмали легко соскабливается, расслаиваясь в пораженных участках. Пациент жалуется на повышенную чувствительность при употреблении горячей или холодной пищи.
- Кислотный – появляется от воздействия агрессивных кислот или их испарений на зубной ряд. Чаще всего именно такой тип заболевания наблюдается у людей, работающих на опасных производствах, где идет постоянный контакт с подобными веществами. Нередко он появляется и у беременных или больных гастритом, так как рвотные массы оседают на зубах и стремительно разрушают их своим химическим составом. Некроз твердых тканей начинается в таком случае с небольших отдельных пораженных участков на зубной коронке, где и происходят процессы деминерализации. Кальций из структуры эмали быстро вымывается, поверхность зуба разрушается и оголяет незащищенный дентин. От истончения под воздействием кислот твердые ткани быстро стираются и приводят к нарушению режущего края. При этом характерно безболезненное протекание патологического процесса.
- Радиационный – появляется в результате вредного излучения. Наблюдается чаще всего у двух групп людей. Первые – те, кто работает с соответствующими приборами и аппаратами длительный период. Вторые – пациенты с онкологическими образованиями, проходящие лучевую или другой вид терапии. Облучение разрушает не только зубную структуру, но и сказывается на состоянии всех органов и общем самочувствии человека. Интенсивность заболевания напрямую зависит от дозы, частоты и длительности негативного воздействия. Кроме разрушительных процессов в эмали и тканях дентина, происходят и другие проблемы – ухудшается состояние слизистой, возникает воспаление пародонта, есть чувство онемения или жжения, диагностируется анемия, во рту наблюдается повышенная сухость или, наоборот, отечность. Некроз располагается в пришеечной области, ближе к краю десны.
- Компьютерный – относительно новый вид патологии, диагностируемый у людей, которые большую часть дня проводят за компьютером. За счет его вредных излучений происходит разрушительный процесс в эмали на фронтальной части ряда. Риску заболевания подвержены те, кто работает за компьютером на протяжении 3-5 лет или дольше. В данном случае симптомы некроза носят сглаженный и невыраженный характер. Кроме изменения оттенка эмали, пациента ничто не беспокоит. Но поражается сразу значительный участок – практически вся зона улыбки, постоянно обращенная к монитору. Начинается патологический процесс с внешней части коронки, но со временем переходит на корневую область и даже на челюстную кость. Наиболее быстро от некроза начинает страдать пульпа, а зубы приобретают серый оттенок.
https://youtube.com/watch?v=ff3QAcQHCeE
Диагностика
Для точного диагноза врачу необходимо провести осмотр ротовой полости, собрать анамнез и жалобы, а также использовать дополнительные методы диагностики. Важно уметь отличить некроз твердых тканей от других некариозных заболеваний. Основным признаком является отсутствие блеска на зубах, в отличие от клиновидного дефекта или эрозии эмали, где блеск сохраняется.
Дифференциальная диагностика включает выявление конкретного разрушительного процесса:
- некроз твердых тканей прогрессирует быстро, что помогает избежать путаницы с синдромом Стентона-Капдепона или мраморной болезнью;
- асимметричное поражение может проявляться в любом возрасте, а изменения в структуре эмали четко выделяют некроз от флюороза или гипоплазии;
- кариес характеризуется локальным поражением, в отличие от некроза, который затрагивает более обширные зоны.
Рентгенологические методы (прицельная рентгенография, компьютерная томография, ортопантомограмма) позволяют точно определить пораженные участки и отличить некроз от схожих заболеваний.
Важно выявить факторы, способствующие развитию патологии. Для этого пациента могут направить к другим специалистам, например, эндокринологу. Применяется поляризационная микроскопия для выявления структурных изменений в эмали.
Причины некроза включают радиационное облучение, которое сопровождается общим ослаблением организма. При химическом или кислотном заболевании на жевательной поверхности образуются острые края. В случае компьютерного некроза страдает пульпа зуба.
Некроз твердых тканей отличается от других патологий потерей блеска и нарушением структуры эмали не только в области поражения, но и на всей поверхности зубного ряда.
Как лечат некроз твердых тканей зуба?
При выборе терапевтической тактики, нужно учитывать, что именно стало причиной некроза:
- При пришеечном поражении сначала стараются снизить возникшую чувствительность. Поверхность покрывают особым лечащим составом, а зуб пломбируют.
- Если патология стала следствием работы за компьютером, то специалист тщательно вычищает все некротические частицы, а появившуюся полость заполняет специальным кальцифицирующим составом. Через полтора месяца проводят повторную процедуру, а затем пломбируют зуб для сохранения его функциональности.
- Если некроз тканей появился в результате кислотного воздействия, то требуется для начала устранить провоцирующий агрессивный фактор и только после этого заниматься реминерализирующей терапией.
Самое главное в процессе лечения – снизить патогенное воздействие основной причины. Дальше стараются максимально восполнить разрушенный объем зубных тканей, чтобы продлить жевательную функцию ряда. Поэтому самым основным способом лечения является реминерализирующая терапия, направленная на восстановление структуры эмали и повышение ее защитных свойств.
Для этого прописывают такие препараты и процедуры:
- прием внутрь глицерофосфата кальция на протяжении месяца;
- также назначают кламин как минимум на две недели;
- в разведенном виде нужно употреблять фитонол не менее двух месяцев подряд;
- обязательна общеукрепляющая терапия с приемом витаминно-минеральных комплексов;
- аппликации с особыми пастами, обогащенными фосфатами.
Если же своевременно не остановить разрушительный процесс, то это приведет к полной потере зубного ряда и необходимости заниматься протезированием. Но это не единственная опасность некроза. С пищей инфекция попадает во внутренние органы, что приводит к различным заболеваниям и общему ухудшению состояния пациента. При появлении дополнительных симптомов может потребоваться прием антибиотиков и других целенаправленных препаратов.
Видео: история болезни Юлии Кузьминой.
Профилактические меры
Чтобы предотвратить заболевание и его проявления, важно заботиться о здоровье зубов. Для этого необходимо:
- Ежедневно следить за гигиеной ротовой полости.
- Уменьшать влияние вредных факторов.
- Каждые полгода посещать стоматолога и следовать его рекомендациям по уходу за зубами и деснами.
- На рабочем месте соблюдать меры безопасности при обращении с агрессивными веществами или оборудованием.
Последствия некроза зубов
Некроз зубов, также известный как мертвая пульпа, представляет собой состояние, при котором происходит гибель пульпы зуба, что может привести к серьезным последствиям для здоровья полости рта. Основные последствия некроза зубов включают в себя развитие инфекций, распространение воспалительного процесса на окружающие ткани, а также возможное образование абсцессов.
Одним из наиболее распространенных последствий некроза является периодонтит, который возникает в результате воспаления тканей, окружающих корень зуба. Это состояние может проявляться болями, отеком и повышенной чувствительностью зуба. Если не предпринять меры, инфекция может распространиться на челюсть и вызвать более серьезные осложнения, такие как остеомиелит.
Некроз зубов также может привести к образованию свищей, которые представляют собой патологические каналы, образующиеся между корнем зуба и слизистой оболочкой десны. Свищи могут быть источником постоянного дискомфорта и неприятного запаха изо рта, а также служить входными воротами для новых инфекций.
Кроме того, некроз зубов может негативно сказаться на эстетике улыбки. Поскольку мертвая пульпа может привести к изменению цвета зуба, это может вызвать психологический дискомфорт у пациента и снизить его самооценку. В некоторых случаях может потребоваться эстетическая реставрация зуба, чтобы восстановить его первоначальный вид.
Важно отметить, что последствия некроза зубов могут варьироваться в зависимости от степени запущенности заболевания и индивидуальных особенностей организма. В некоторых случаях, если некроз не был диагностирован и не лечился вовремя, это может привести к необходимости удаления зуба, что, в свою очередь, может вызвать дополнительные проблемы, такие как смещение соседних зубов и нарушение прикуса.
Таким образом, своевременная диагностика и лечение некроза зубов имеют решающее значение для предотвращения серьезных последствий. Регулярные посещения стоматолога и соблюдение гигиенических норм помогут снизить риск развития данного состояния и его негативных последствий.
Вопрос-ответ
Каковы причины некроза эмали?
Причины заболевания. К причинам возникновения некроза относятся: внешняя неблагоприятная среда, в которой пребывает человек; внутренние нарушения в организме, приводящие к падению иммунитета, что, в свою очередь, отражается на зубах. Прием некоторых видов лекарственных препаратов.
Как отличить кариес от некроза?
Чем некроз отличается от кариеса? Кариес часто распространяется вглубь зуба и может быть заметен на шейке зуба, где эмаль наиболее тонкая. Некроз, с другой стороны, обычно вызван воздействием химических веществ. Он приводит к образованию полости с одинаковыми размерами на всей их глубине.
Чем опасен некроз зуба?
Если не лечить некроз, то он может распространиться на все костные ткани, окружающие зуб. Это состояние опасно для всего организма. Поэтому важно вовремя заметить признаки некроза и обратиться за помощью к специалисту.
Советы
СОВЕТ №1
Регулярно посещайте стоматолога для профилактических осмотров. Это поможет выявить проблемы на ранних стадиях и предотвратить развитие некроза зубов.
СОВЕТ №2
Обратите внимание на гигиену полости рта. Чистите зубы дважды в день и используйте зубную нить, чтобы удалить остатки пищи и налет, что снизит риск развития заболеваний зубов.
СОВЕТ №3
Следите за своим питанием. Употребление продуктов, богатых кальцием и витаминами, поможет укрепить зубы и снизить вероятность их повреждения.
СОВЕТ №4
Не игнорируйте симптомы, такие как боль или изменение цвета зуба. Обратитесь к стоматологу при первых признаках проблемы, чтобы избежать серьезных последствий, связанных с некрозом.
