Протезирование зубов All-On-4 — это эффективный метод восстановления утраченных зубов, позволяющий получить полный зубной ряд за один день. Технология включает установку четырех имплантатов, на которые фиксируется протез, что сокращает время лечения и минимизирует хирургическое вмешательство. В статье рассмотрим, что такое протезирование All-On-4, его преимущества и ответим на часто задаваемые вопросы, чтобы помочь вам понять этот подход к стоматологическому восстановлению.
Описание технологии
Метод All on 4 разработан для случаев, когда отсутствуют все зубы на челюсти. Профессор Пауло Мало, после исследований, выяснил, что правильное размещение имплантов позволяет установить несъемный протез, воспроизводящий форму естественного зубного ряда.
Теперь пациенты с полной адентией могут восстановить улыбку за один день. Новые зубы функционируют так же эффективно, как натуральные, и имеют эстетически привлекательный вид.
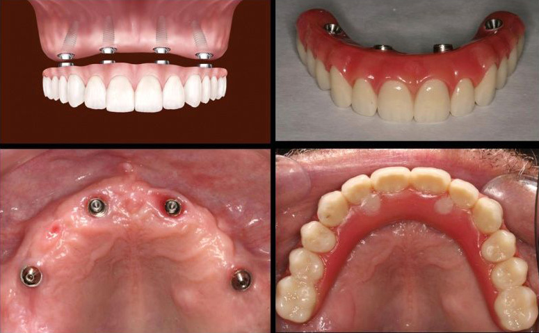
Технология All on 4 включает установку четырех имплантов на одной челюсти в определенном порядке. Протез фиксируется специальными винтами. Рассмотрим ключевые особенности и преимущества метода:
- Для восстановления улыбки достаточно четырех имплантов: два вертикально в передней части и два под углом на боковых участках. Это позволяет использовать костную ткань и снижает риск ее атрофии.
- Мульти-юниты абатментов с наклоном обеспечивают лучшее выравнивание искусственного зубного ряда, точно воспроизводя прикус пациента. Новая улыбка становится идеальной и ровной.
- Боковые импланты устанавливаются под заранее рассчитанным углом, что предотвращает проблемы с атрофированными участками и обеспечивает надежную фиксацию.
- Протез устанавливается на импланты сразу после их вживления. Гибкость материалов позволяет корректировать конструкцию со временем без разрушения.
- На титановые штифты устанавливаются винты, которые соединяют их с искусственной коронкой, обеспечивая надежное соединение.
- Врачи рекомендуют избегать полной нагрузки на протез в первые 12 часов после установки, чтобы костная ткань получала необходимые питательные вещества для остеоинтеграции.
- Все действия врача проводятся с высокой точностью. На начальных этапах осуществляется полное обследование и компьютерное моделирование, что позволяет точно определить размещение элементов и рассчитать углы для наилучшего приживления имплантов.
Протезирование по методу All-On-4 — современный способ восстановления зубного ряда, активно применяемый в стоматологии. Эта технология позволяет установить полный протез на четырех имплантах, что сокращает время операции и реабилитации. Одно из главных преимуществ All-On-4 — возможность немедленной нагрузки на импланты, что позволяет пациентам сразу пользоваться функциональными зубами.
Метод минимизирует необходимость в костной пластике, что делает его доступным для большего числа пациентов. All-On-4 обеспечивает стабильность и комфорт, так как протез надежно фиксируется, исключая риск смещения. Эстетический результат значительно улучшает качество жизни пациентов, возвращая им уверенность и возможность наслаждаться пищей без ограничений.
Протезирование зубов All-On-4 представляет собой инновационную методику, позволяющую восстановить полный зубной ряд с использованием всего четырех имплантатов. Эксперты отмечают, что данная технология значительно сокращает время лечения и реабилитации пациентов. Благодаря уникальному расположению имплантатов, которые устанавливаются под углом, достигается высокая стабильность и надежность конструкции, что позволяет избежать необходимости в костной пересадке.
Преимущества All-On-4 заключаются не только в быстроте и эффективности, но и в комфорте для пациента. Процедура требует минимального количества хирургических вмешательств, а также позволяет получить временные протезы в день операции. Это делает метод особенно привлекательным для людей, стремящихся к быстрому восстановлению функции жевания и эстетики улыбки. В целом, All-On-4 является оптимальным решением для тех, кто хочет вернуть уверенность в себе и улучшить качество жизни.
https://youtube.com/watch?v=W6iqKA3ROdM
Преимущества и недостатки
Благодаря такой технологии можно добиться полного восстановления всех функций челюсти с минимальными расходами и затратами времени. Основными плюсами методики являются:
- доступность проведения имплантации в любом возрасте;
- надежная фиксация и стабилизация протеза;
- высокая безопасность изделий и материалов, из которых они изготовлены;
- длительный срок использования даже при максимальной нагрузке;
- удается добиться тщательной обработки пищи и выполнения остальных функций зубного ряда;
- при необходимости протез можно легко снять или поменять на другой, откорректировать и пр.;
- вся операция занимает один день и не требует постоянного посещения врача.
- наличие некоторых заболеваний, хронических или острых, становятся противопоказанием для проведения большинства подобных операций;
- курильщикам также не рекомендуется устанавливать подобные конструкции, в их случае лучше подойдет базальная методика;
- поскольку такая процедура в России применяется относительно недавно, то еще не все врачи сумели ее освоить, поэтому могут возникнуть трудности в поиске подходящего специалиста;
- для работы с указанной системой они должны пройти дополнительное обучение и сертификацию от соответствующих компаний, производящих данные виды конструкций;
- операция не может быть проведена должным образом без предварительного компьютерного моделирования;
- для хорошей стабилизации системы нужен определенный объем костной ткани;
- поскольку вся конструкция устанавливается в один день и тут же нагружается в полной мере, то врач обязан ее прочно стабилизировать;
- если же ткани пациента слишком рыхлые, то в них не рекомендуется устанавливать такие импланты, так как это приведет к их быстрому расшатыванию.
Протезирование зубов по технологии All-On-4 вызывает много положительных отзывов среди пациентов. Люди отмечают, что этот метод позволяет восстановить целый ряд зубов всего за один день, что значительно экономит время и снижает количество визитов к стоматологу. Преимущества All-On-4 заключаются не только в быстроте, но и в комфорте. Пациенты подчеркивают, что импланты фиксируются на четырех опорных зубах, что обеспечивает надежность и стабильность конструкции. Кроме того, эта технология минимизирует необходимость в костной пересадке, что делает процедуру менее инвазивной. Многие отмечают улучшение качества жизни, возможность наслаждаться любимой пищей и уверенность в своей улыбке. В целом, All-On-4 становится все более популярным выбором для тех, кто хочет восстановить зубной ряд с максимальным комфортом и минимальными затратами времени.
| Характеристика | All-on-4 протезирование | Преимущества All-on-4 |
|---|---|---|
| Суть метода | Установка полного съемного протеза на 4 имплантата (по 2 в верхней и нижней челюсти) | Быстрая реабилитация, минимальная инвазивность, высокая функциональность и эстетика |
| Количество имплантатов | 4 имплантата на челюсть | Снижение стоимости и времени лечения по сравнению с полной имплантацией |
| Процедура | Установка имплантатов, временная фиксация протеза, постоянная фиксация протеза через несколько месяцев | Возможность немедленной нагрузки протезом, быстрое восстановление жевательной функции |
| Материалы | Титановые имплантаты, акриловые или циркониевые протезы | Долговечность, биосовместимость материалов, естественный внешний вид протеза |
| Срок службы | 10-15 лет и более при правильном уходе | Высокая надежность и долговечность конструкции |
| Показания | Полная адентия (отсутствие всех зубов), частичная адентия с невозможностью установки традиционных протезов | Решение проблем с отсутствием зубов у пациентов с недостаточным объемом костной ткани |
| Противопоказания | Серьезные заболевания, неконтролируемый диабет, курение (в больших количествах), недостаточный уровень гигиены полости рта | Необходима консультация специалиста для определения возможности проведения процедуры |
Интересные факты
Вот несколько интересных фактов о протезировании зубов по технологии All-On-4 и его преимуществах:
-
Минимальное количество имплантов: Технология All-On-4 позволяет установить полный зубной протез на всего четыре импланта, что значительно сокращает время операции и реабилитации по сравнению с традиционными методами, требующими большее количество имплантов.
-
Немедленная нагрузка: В отличие от многих других методов имплантации, при All-On-4 можно установить временный протез сразу после операции. Это означает, что пациенты могут покинуть клинику с новыми зубами в тот же день, что значительно повышает качество жизни и уверенность в себе.
-
Оптимизация костной ткани: Технология All-On-4 использует стратегическое размещение имплантов под углом, что позволяет максимально использовать имеющуюся костную ткань и минимизировать необходимость в костной пересадке. Это делает процедуру менее инвазивной и более доступной для пациентов с потерей костной массы.
https://youtube.com/watch?v=P4CjyuTYjaw
Показания и противопоказания
Для уверенности в надежности и долговечности конструкции, а также минимизации побочных эффектов после операции, важно следовать рекомендациям при установке. Методика All on 4 целесообразна в следующих случаях:
- полное отсутствие зубов на одной или обеих челюстях;
- близкое расположение гайморовых пазух на верхней челюсти, что исключает традиционную имплантацию;
- недостаточный объем костной ткани для стандартного протезирования и противопоказания для ее наращивания;
- сахарный диабет у пациента;
- нарушения сердечно-сосудистой системы;
- проблемы с коагуляцией крови;
- пониженный уровень иммунной защиты;
- заболевания десен, такие как пародонтоз или пародонтит.
Процесс установки протезов All-On-4
Процесс установки протезов All-On-4 включает несколько ключевых этапов, которые обеспечивают успешное и долговечное восстановление зубного ряда. Эта методика позволяет установить полный протез на четырех имплантах, что значительно сокращает время лечения и минимизирует хирургическое вмешательство.
1. Предварительная консультация и планирование
Первым шагом является консультация с стоматологом-имплантологом. На этом этапе врач проводит полное обследование пациента, включая рентгенографию и компьютерную томографию, чтобы оценить состояние челюстной кости и определить оптимальное расположение имплантов. Важно также обсудить медицинскую историю пациента и его ожидания от процедуры.
2. Подготовка к процедуре
Если у пациента имеются зубы, подлежащие удалению, то на этом этапе они будут удалены. В некоторых случаях может потребоваться предварительная подготовка кости, например, синус-лифтинг или наращивание костной ткани. Эти процедуры помогают создать достаточный объем кости для установки имплантов.
3. Установка имплантов
Установка имплантов происходит под местной анестезией или седацией. Врач делает небольшие разрезы в десне и устанавливает четыре импланта в заранее запланированные позиции. Эти импланты будут служить опорой для протеза. Процедура занимает обычно от одного до двух часов.
4. Установка временного протеза
После установки имплантов пациенту устанавливается временный протез, который позволяет восстановить эстетику и функциональность зубного ряда сразу после операции. Это особенно важно для пациентов, которые не хотят оставаться без зубов в период заживления.
5. Период заживления
После установки имплантов начинается период заживления, который обычно длится от 3 до 6 месяцев. В это время импланты интегрируются с костной тканью, что обеспечивает их надежную фиксацию. Важно соблюдать рекомендации врача по уходу за полостью рта и посещать контрольные осмотры.
6. Установка постоянного протеза
По окончании периода заживления проводится финальная процедура, на которой временный протез заменяется на постоянный. Постоянный протез изготавливается индивидуально с учетом анатомических особенностей пациента и его эстетических предпочтений. Он фиксируется на имплантах с помощью специальных креплений.
7. Постоперационный уход
После установки постоянного протеза пациенту предоставляются рекомендации по уходу за полостью рта и протезами. Регулярные визиты к стоматологу помогут контролировать состояние имплантов и протезов, а также предотвратить возможные осложнения.
Таким образом, процесс установки протезов All-On-4 включает в себя несколько этапов, каждый из которых играет важную роль в достижении успешного результата. Эта методика позволяет восстановить зубной ряд быстро и эффективно, обеспечивая пациентам комфорт и уверенность в своей улыбке.
https://youtube.com/watch?v=yHss5y47GPQ
Вопрос-ответ
Какова основная суть технологии All-On-4?
Технология All-On-4 заключается в установке полного протеза на четыре импланта, которые размещаются в челюсти под определенным углом. Это позволяет обеспечить надежную фиксацию протеза и минимизировать количество необходимых имплантов, что делает процедуру менее инвазивной и более доступной для пациентов.
Какие преимущества имеет протезирование All-On-4 по сравнению с традиционными методами?
Одним из основных преимуществ All-On-4 является сокращение времени на восстановление и возможность немедленной нагрузки на импланты, что позволяет пациентам сразу же получать функциональные зубы. Кроме того, метод требует меньше имплантов, что снижает общую стоимость процедуры и уменьшает хирургическую травматичность.
Кому подходит протезирование зубов по технологии All-On-4?
Эта технология подходит для пациентов, которые потеряли все зубы или имеют значительные проблемы с зубами и нуждаются в полном восстановлении зубного ряда. Однако перед процедурой важно пройти полное обследование и консультацию у стоматолога, чтобы определить индивидуальные показания и противопоказания.
Советы
СОВЕТ №1
Перед принятием решения о протезировании зубов по технологии All-On-4, обязательно проконсультируйтесь с опытным стоматологом. Он поможет оценить состояние ваших зубов и десен, а также определить, подходит ли вам данная методика.
СОВЕТ №2
Изучите отзывы и примеры успешных случаев протезирования All-On-4. Это поможет вам лучше понять, чего ожидать от процедуры и как она может изменить вашу жизнь.
СОВЕТ №3
Обратите внимание на постоперационный уход и рекомендации стоматолога. Правильный уход за протезами и соблюдение гигиенических норм значительно увеличат срок службы ваших новых зубов.
СОВЕТ №4
Сравните стоимость процедуры в разных клиниках и уточните, какие услуги включены в цену. Это поможет вам выбрать наиболее подходящий вариант, соответствующий вашему бюджету и ожиданиям.
