Эрозия эмали зубов — это разрушение защитного слоя зубов, приводящее к повышенной чувствительности, кариесу и другим стоматологическим проблемам. В статье рассмотрим причины, симптомы и последствия эрозии, а также эффективные методы профилактики и лечения. Понимание этого процесса поможет сохранить здоровье зубов и избежать серьезных проблем.
Что такое эрозия эмали зубов?
Данный дефект относится к некариозным поражениям зубов. На начальных стадиях симптомы могут быть незаметны, за исключением небольших выпуклостей на поверхности зубов и повышенной чувствительности к холодным и горячим продуктам.
При прогрессировании заболевания появляются темные пятна, болевые ощущения и значительное истирание твердых тканей зуба. Игнорирование проблемы может привести к серьезному повреждению не только эмали, но и дентина.
Эрозия эмали — это процесс разрушения верхнего слоя зуба, вызванный кислотами из пищи и напитков, а также некоторыми заболеваниями. Это состояние может вызвать повышенную чувствительность зубов и увеличить риск кариеса. Для борьбы с эрозией врачи рекомендуют несколько мер. Во-первых, следует ограничить потребление кислых продуктов и напитков. Во-вторых, регулярная гигиена полости рта с использованием фторсодержащих зубных паст поможет укрепить эмаль. В-третьих, посещение стоматолога для профессиональной чистки и получения индивидуальных рекомендаций также важно для профилактики и лечения. Врачи подчеркивают необходимость раннего выявления проблемы и своевременного обращения за медицинской помощью.
Эрозия эмали зубов представляет собой постепенное разрушение защитного слоя зуба, что может привести к повышенной чувствительности и другим стоматологическим проблемам. Эксперты подчеркивают, что основными факторами, способствующими этому процессу, являются неправильное питание, частое употребление кислых продуктов и напитков, а также недостаточная гигиена полости рта. Для борьбы с эрозией специалисты рекомендуют следить за рационом, ограничивая кислые продукты, и использовать зубные пасты с фтором, которые помогают укрепить эмаль. Регулярные визиты к стоматологу также играют важную роль в профилактике, так как специалист может выявить ранние признаки эрозии и предложить индивидуальные рекомендации. Важно помнить, что забота о здоровье зубов — это комплексный процесс, требующий внимания и регулярного ухода.
https://youtube.com/watch?v=nA0NruJKyy8
Причины возникновения
- Любые механические повреждения поверхности эмали. Например, если слишком часто пользоваться пастами с абразивными веществами или увлекаться отбеливающими средствами в домашних условиях, то можно оцарапать зуб, что и приведет к эрозии.
- Химическое воздействие в виде кислых напитков, еды, употребления уксуса, цитрусовых и пр. При частом влиянии различных агрессивных кислот на поверхность зуба можно вызвать его поражение.
- Наличие проблем в работе эндокринной системы также является частым спутником и, скорее всего, причиной возникновения подобного дефекта.
- Повышенная нагрузка на зубной ряд, когда при неправильном прикусе или отсутствии отдельных единиц жевательная функция выполняется неравномерно.
- Некоторые медикаменты также способны вызвать эрозию эмали в виде побочного эффекта.
- На производствах с металлической или минеральной пылью, а также при работе с химическими веществами.
Какими бы ни были причины диагностику и лечение нужно проводить своевременно.
| Причина эрозии эмали | Симптомы эрозии эмали | Методы борьбы с эрозией эмали |
|---|---|---|
| Кислотные напитки (газировка, соки) | Повышенная чувствительность зубов к холодному, горячему, кислому, сладкому; потемнение эмали; шероховатость поверхности зубов; сколы эмали; изменение цвета зубов | Ограничение потребления кислотных напитков; полоскание рта водой после употребления кислой пищи или напитков; использование щадящих зубных паст для чувствительных зубов; применение фторсодержащих гелей и лаков; профессиональная обработка зубов у стоматолога (реминерализация, пломбирование) |
| Кислотный рефлюкс (изжога) | Повышенная чувствительность зубов; эрозия эмали на задней поверхности зубов; потемнение эмали; изменение формы зубов | Лечение основного заболевания (рефлюкс-эзофагита); изменение диеты; прием лекарственных препаратов, назначенных врачом; использование защитных средств для зубов (капы) |
| Частая рвота (например, при булимии) | Выраженная эрозия эмали на задней поверхности зубов; значительное потемнение эмали; сильная чувствительность зубов; возможность разрушения зубов | Лечение основного заболевания (булимии); полоскание рта водой после рвоты; использование щадящих зубных паст; профессиональная обработка зубов у стоматолога (реминерализация, пломбирование, протезирование) |
| Неправильная чистка зубов (абразивная паста, жесткая щетка) | Повышенная чувствительность зубов; появление микротрещин на эмали; изменение цвета зубов; шероховатость поверхности зубов | Использование мягкой зубной щетки; выбор зубной пасты с низким уровнем абразивности; правильная техника чистки зубов |
| Бруксизм (скрежетание зубами) | Стирание эмали; повышенная чувствительность зубов; боль в челюстных мышцах | Использование каппы для зубов; лечение бруксизма у специалиста (психотерапевт, стоматолог) |
| Генетическая предрасположенность | Тонкая эмаль с рождения; повышенная чувствительность зубов | Регулярные профилактические осмотры у стоматолога; использование фторсодержащих средств; профессиональная реминерализация |
Интересные факты
Вот несколько интересных фактов об эрозии эмали зубов и способах ее предотвращения:
-
Причины эрозии эмали: Эрозия эмали может быть вызвана не только кислотами из пищи и напитков (например, цитрусовыми, газировкой и вином), но и внутренними факторами, такими как гастроэзофагеальная рефлюксная болезнь (ГЭРБ). В этом случае кислота из желудка попадает в рот и разрушает эмаль.
-
Необратимость процесса: Эмаль зубов — это единственная часть тела, которая не восстанавливается. Если эмаль повреждена, она не может регенерироваться, поэтому важно принимать меры по ее защите и предотвращению эрозии.
-
Способы борьбы с эрозией: Для защиты эмали рекомендуется использовать зубные пасты с фтором, избегать частого употребления кислых продуктов, пить воду после еды, а также не чистить зубы сразу после употребления кислых продуктов, чтобы не усугубить повреждение. Вместо этого лучше подождать 30-60 минут, чтобы слюна нейтрализовала кислоты.
https://youtube.com/watch?v=11nzQVRaTtE
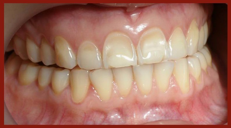
Фото
Эрозия зубной эмали — процесс истончения защитного слоя зубов под воздействием кислот из пищи и напитков. Продукты, такие как цитрусовые, газировка и некоторые соусы, могут негативно влиять на здоровье зубов. Признаки эрозии: повышенная чувствительность, изменение цвета и формы зубов.
Для борьбы с этой проблемой важно соблюдать гигиену полости рта: использовать фторсодержащие зубные пасты, ограничивать кислые продукты и пить достаточно воды. Регулярные визиты к стоматологу помогут выявить проблему на ранних стадиях и предотвратить повреждения. Рекомендуется также использовать реминерализующие гели для восстановления эмали.
Последствия
Замечено, что данное заболевание чаще встречается у взрослых пациентов, особенно средней возрастной категории. А вот у ребенка эрозия эмали возникает гораздо реже. Но когда бы ни проявились первые симптомы их нужно вовремя начинать устранять, так как последствия могут оказаться довольно серьезными:
- Значительно ускоряется износ зубов, то есть повышается их стираемость.
- Со временем появятся темные пятна, а потом поверхность может полностью потемнеть.
- Чувствительность на холодное и горячее доводит пациентов до значительных болевых ощущений.
- Изменения оттенка эмали также приведет к неравномерному распределению цвета и край единицы может стать прозрачным.
Если же эрозия дойдет до разрушения дентина, то очевидным последствием окажется полное разрушение твердой ткани и появление других стоматологических проблем.
https://youtube.com/watch?v=_JKFZNZp2f8
Стадии заболевания
Если не обращаться к стоматологу, начальные стадии заболевания могут оставаться незамеченными из-за отсутствия видимых изменений. Специалисты выделяют несколько этапов эрозии эмали:
- Начальная стадия — повреждение затрагивает только верхний слой и почти не заметно при быстром осмотре.
- Средняя стадия — поражение проникает в более глубокие слои, что вызывает повышенную чувствительность зубов.
- Глубокая стадия — эрозия почти полностью разрушает эмаль и начинает воздействовать на дентин.
- Активная стадия характеризуется быстрым развитием клинических проявлений. Эрозия охватывает значительную часть зубного ряда, вызывая дискомфорт и изменение цвета эмали за короткий срок.
- Стабилизированная стадия протекает более спокойно и почти не проявляется симптомами. Она возникает благодаря образованию третичного дентина, который создает защитный барьер и устраняет неприятные ощущения.
Методы профилактики эрозии эмали
Эрозия эмали зубов — это процесс разрушения верхнего защитного слоя зуба, который может привести к повышенной чувствительности, кариесу и другим стоматологическим проблемам. Профилактика эрозии эмали играет ключевую роль в поддержании здоровья зубов и десен. Существует несколько эффективных методов, которые помогут защитить эмаль и предотвратить ее разрушение.
1. Правильная гигиена полости рта
Регулярная и правильная гигиена полости рта — это основа профилактики эрозии эмали. Рекомендуется чистить зубы дважды в день с использованием зубной пасты, содержащей фтор. Фтор укрепляет эмаль и делает ее более устойчивой к кислотам. Также важно использовать зубную щетку с мягкой щетиной, чтобы избежать механического повреждения эмали.
2. Ограничение потребления кислых продуктов и напитков
Кислые продукты и напитки, такие как цитрусовые, газированные напитки, уксус и некоторые виды фруктов, могут способствовать эрозии эмали. Рекомендуется ограничить их потребление и, если вы все же решили насладиться ими, старайтесь делать это в сочетании с другими продуктами, чтобы снизить кислотное воздействие. После употребления кислых продуктов полезно прополоскать рот водой или использовать безалкогольные напитки с нейтральным pH.
3. Употребление достаточного количества воды
Вода играет важную роль в поддержании здоровья полости рта. Она помогает нейтрализовать кислоты и способствует вымыванию остатков пищи. Рекомендуется пить достаточное количество воды в течение дня, особенно после приема пищи. Это поможет поддерживать уровень слюны, которая естественным образом защищает эмаль зубов.
4. Регулярные визиты к стоматологу
Регулярные осмотры у стоматолога — это важный аспект профилактики эрозии эмали. Специалист сможет выявить ранние признаки эрозии и предложить соответствующее лечение. Кроме того, профессиональная чистка зубов поможет удалить налет и зубной камень, которые могут способствовать развитию кариеса и других заболеваний.
5. Использование защитных средств
Существуют специальные средства, которые могут помочь защитить эмаль зубов. Например, реминерализующие зубные пасты, содержащие фтор и кальций, могут помочь восстановить минералы, потерянные эмалью. Также можно использовать ополаскиватели для рта с фтором, которые обеспечивают дополнительную защиту.
6. Избегание вредных привычек
Некоторые вредные привычки, такие как курение и жевание табака, могут негативно сказаться на здоровье зубов и способствовать эрозии эмали. Отказ от этих привычек не только улучшит состояние зубов, но и общее здоровье.
Соблюдение этих рекомендаций поможет вам сохранить здоровье зубов и предотвратить эрозию эмали. Помните, что профилактика всегда проще и дешевле, чем лечение, поэтому заботьтесь о своих зубах заранее!
Вопрос-ответ
Каковы основные причины эрозии эмали зубов?
Основные причины эрозии эмали включают частое употребление кислых продуктов и напитков, таких как цитрусовые, газированные напитки и уксус. Также к эрозии могут привести гастроэзофагеальная рефлюксная болезнь (ГЭРБ), недостаток слюны и неправильная гигиена полости рта.
Какие симптомы могут указывать на эрозию эмали?
Симптомы эрозии эмали могут включать повышенную чувствительность зубов к горячему, холодному или сладкому, изменение цвета зубов, а также видимые изменения в форме и текстуре эмали, такие как гладкие или блестящие участки.
Как можно предотвратить эрозию эмали зубов?
Для предотвращения эрозии эмали рекомендуется ограничить потребление кислых продуктов и напитков, использовать соломинки при питье кислых жидкостей, поддерживать хорошую гигиену полости рта, а также регулярно посещать стоматолога для профессиональной чистки и осмотра.
Советы
СОВЕТ №1
Регулярно посещайте стоматолога для профилактических осмотров. Это поможет выявить начальные стадии эрозии эмали и предотвратить дальнейшее разрушение зубов.
СОВЕТ №2
Соблюдайте правильную гигиену полости рта. Чистите зубы не менее двух раз в день с использованием зубной пасты, содержащей фтор, который помогает укрепить эмаль.
СОВЕТ №3
Избегайте чрезмерного потребления кислых продуктов и напитков, таких как цитрусовые, газировка и уксус. Если вы их употребляете, старайтесь полоскать рот водой после этого, чтобы нейтрализовать кислоту.
СОВЕТ №4
Используйте специальные реминерализующие средства, такие как гели или полоски, которые помогают восстановить минералы в эмали и защищают зубы от дальнейшего разрушения.
