Клиновидный дефект зубов — распространенная проблема, способная вызвать повышенную чувствительность и риск кариеса. В статье рассмотрим причины его возникновения и методы предотвращения и лечения. Понимание клиновидного дефекта и способов его устранения поможет сохранить здоровье зубов и избежать дорогостоящих стоматологических процедур.
Что такое клиновидный дефект зубов?
Не каждый стоматолог заметит клиновидный дефект зубов, который проявляется поражением пришеечной области эмали и имеет форму треугольника или клина. Иногда его путают с придесневым кариесом, но это не совсем корректно, так как причины различны.
Данный недуг часто сравнивают с эрозией эмали, кариесом и кислотным некрозом, однако их происхождение отличается, что требует разных методов лечения. Правильный диагноз необходим для эффективного решения проблемы или замедления ее развития.
Стоматологи согласны, что для успешного лечения клиновидного дефекта нужен комплексный подход. Важно выяснить причину, связанную с неправильной гигиеной, вредными привычками или особенностями прикуса. Регулярные осмотры у стоматолога помогут выявить проблему на ранних стадиях.
Лечение может включать специальные пломбировочные материалы для восстановления формы зуба и защиты от разрушения. Врачи подчеркивают необходимость коррекции привычек, таких как скрежетание зубами или неправильное использование зубной нити. В некоторых случаях требуется ортодонтическое вмешательство для исправления прикуса. Ключ к успешному лечению — своевременная диагностика и индивидуальный подход к каждому пациенту.
Эксперты в области стоматологии подчеркивают, что для эффективного устранения клиновидного дефекта зубов необходимо комплексное подход. В первую очередь, важно провести тщательную диагностику, чтобы определить причины возникновения этого состояния. Часто клиновидный дефект связан с неправильной техникой чистки зубов или повышенной чувствительностью эмали.
Стоматологи рекомендуют использовать специальные зубные пасты, содержащие фтор и минералы, которые способствуют реминерализации эмали. Также важным аспектом является коррекция гигиенических привычек: использование мягкой щетки и правильной техники чистки. В некоторых случаях может потребоваться применение пломбировочных материалов или даже коронок для восстановления формы зуба.
Кроме того, эксперты акцентируют внимание на регулярных профилактических осмотрах у стоматолога, что позволяет своевременно выявлять и устранять проблемы, предотвращая дальнейшее развитие клиновидного дефекта.
https://youtube.com/watch?v=NWdbSqVNA4U
Причины возникновения
- Неправильная гигиена полости рта в целом. Сюда относится неграмотная чистка – движения по горизонтали. Очищение зубов с помощью жесткой щетки и сразу после употребления кислых продуктов, например, фруктов.
- Состав современных гигиенических паст также не всегда подобран правильно и способен вымывать эмаль, делать ее хрупкой.
- Нарушение кислотности общего характера и в полости рта в том числе. Даже изменения в работе желудочно-кишечного тракта могут повлиять способствовать появлению дефекта.
- Неправильный прикус, который наблюдается у большинства жителей планеты.
- Активные отбеливающие составы также могут разрушать эмаль.
- Заболевания щитовидной железы.
- Гормональные нарушения, особенно у женщин, способны привести к стиранию зубов. А во время беременности и грудного кормления повышается риск любых стоматологических заболеваний.
- Воспаления и различные проблемы десен по типу гингивита, пародонтита и пр.
- Возможно и механическое повреждение зубов или десен, например, в результате частого употребления твердой пищи и вредных привычек.
- Неполноценное питание, при котором исключены продукты, содержащие кальций и фтор.
- Чрезмерное употребление алкоголя и курение. Алкоголь вымывает кальций из организма в больших количествах, что приводит к частым заболеваниям зубов.
- Увлечение газированными напитками или кислыми соками.
- Некоторые инфекционные заболевания также могут привести к подобным последствиям.
- Лучевая и химиотерапия.
- Возрастные изменения в организме. В пожилом возрасте такие дефекты встречаются намного чаще.
- Ношение брекетов, если они подобраны неправильно или врач неаккуратно их снимал.
Даже наличие такой проблемы у родственников должно стать причиной повышенного внимания к профилактике заболевания.
| Метод лечения | Описание метода | Плюсы | Минусы | Стоимость (ориентировочно) |
|---|---|---|---|---|
| Реставрация композитными материалами | Восстановление формы зуба с помощью светоотверждаемой пломбы. | Быстро, относительно недорого, эстетично. | Менее долговечно, чем виниры или коронки, может потребоваться повторная реставрация. | от 3000 до 10000 руб. за зуб |
| Виниры | Тонкие пластинки из керамики или композита, которые крепятся на переднюю поверхность зуба. | Эстетично, долговечно, защищает эмаль. | Необратимо, требует обточки эмали, дороже реставрации. | от 15000 до 50000 руб. за зуб |
| Коронки | Полное покрытие зуба искусственной коронкой из металла, керамики или композита. | Наиболее долговечный метод, защищает зуб от дальнейшего разрушения. | Требует значительной обточки зуба, дороже виниров. | от 15000 до 50000 руб. за зуб |
| Ортодонтическое лечение (брекеты) | Выравнивание зубов для устранения причины клиновидного дефекта (например, бруксизм). | Устраняет причину дефекта, улучшает общее состояние зубов. | Долго, требует дисциплины, может быть дорогостоящим. | от 50000 до 200000 руб. |
Интересные факты
Вот несколько интересных фактов о том, как избавиться от клиновидного дефекта зубов:
-
Правильная гигиена полости рта: Одним из ключевых факторов в предотвращении и лечении клиновидного дефекта является регулярная и правильная гигиена полости рта. Использование зубной нити и ополаскивателей помогает удалить налет и предотвратить дальнейшее разрушение эмали.
-
Коррекция прикуса: Неправильный прикус может способствовать развитию клиновидного дефекта. Ортодонтическое лечение, такое как установка брекетов или использование кап, может помочь исправить прикус и снизить нагрузку на зубы, что в свою очередь может остановить прогрессирование дефекта.
-
Использование фторсодержащих средств: Фтор помогает укрепить зубную эмаль и может замедлить процесс разрушения. Использование фторсодержащих зубных паст и ополаскивателей может быть полезным в борьбе с клиновидным дефектом, особенно в сочетании с регулярными визитами к стоматологу для профессиональной чистки и фторирования.
https://youtube.com/watch?v=DOkIrggwqtw
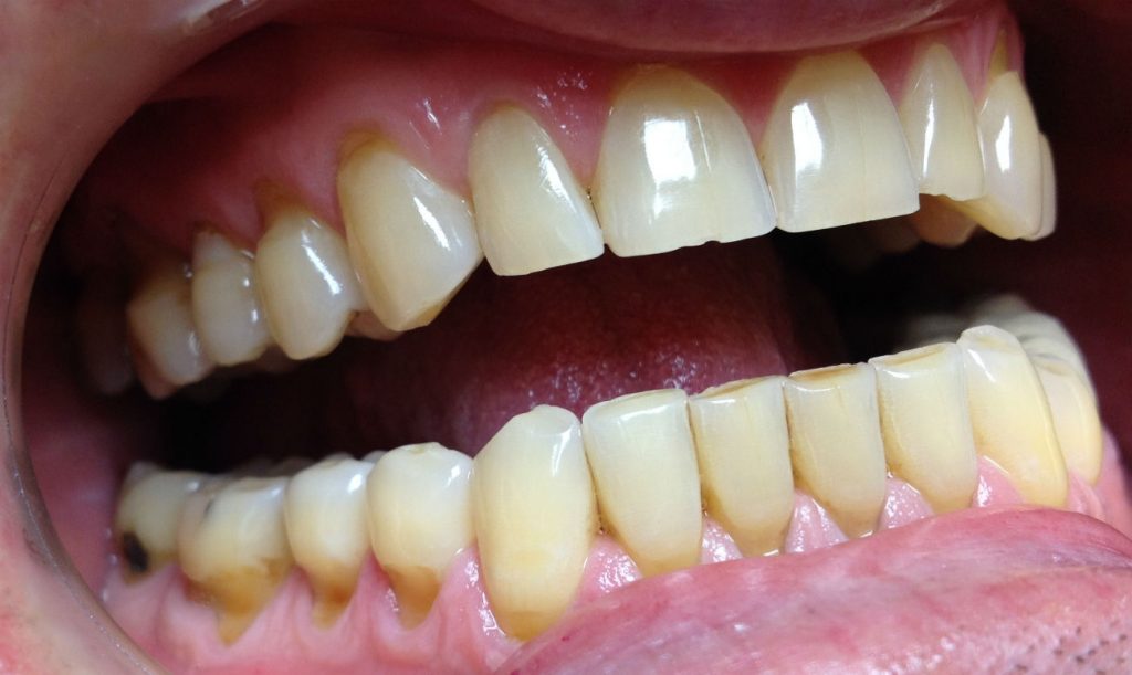
Фото
Многие сталкиваются с клиновидным дефектом зубов и ищут эффективные методы его устранения. Стоматологи рекомендуют обратить внимание на гигиену полости рта. Регулярная чистка зубов, использование зубной нити и ополаскивателей помогают предотвратить разрушение эмали. Важно также регулярно посещать стоматолога для профессиональной чистки и диагностики. Некоторые пациенты отмечают, что пасты и гели с фтором укрепляют зубную эмаль. Коррекция прикуса и специальные капы могут помочь в борьбе с клиновидными дефектами. Правильное питание, включая ограничение кислых и сладких продуктов, также способствует сохранению здоровья зубов. Комплексный подход и регулярные визиты к специалисту являются ключевыми факторами в решении этой проблемы.
Симптомы
Основная проблема клиновидного дефекта в том, что его появление замечается человеком не сразу. Ведь болевые ощущения полностью отсутствуют. Какие же симптомы должны насторожить и заставить более внимательно отнестись к состоянию зубов?
- Начальное изменение цвета эмали. Она становится менее блестящей и бледной, а со временем появляется отчетливая пигментация.
- Постепенно как бы «сползает» десна с зуба и открывается сначала зубная шейка, а в дальнейшем и корень.
- Неприятные ощущения и повышенная чувствительность, реакция на холодное и горячее. Такая гиперестезия может даже проявляться раздражением на зубную пасту или саму чистку зубов.
https://youtube.com/watch?v=mlxE1lVK5jU
Классификация
Патогенез дефекта заключается в разрушении эмали, что определяет подход к лечению. Выделяют несколько стадий заболевания:
- Начальная стадия – изменения едва заметны при осмотре. Возможна чувствительность к раздражителям и легкое изменение блеска эмали.
- Средняя степень – выраженная гиперестезия и начало разрушения зубной поверхности.
- Прогрессирующая стадия – заметная глубина дефекта до 4 мм. Клин становится четко видимым с острым окончанием.
- Глубокая стадия – превышает 5 мм. Наблюдается выраженная пигментация эмали, возможное затрагивание дентин.
Лечение клиновидного дефекта зубов
Чтобы определить, можно ли вылечить такое заболевание, нужно учесть степень поражения и правильно подобрать лечебные процедуры. Они могут быть следующими:
- Заполнение клиновидных образований специальными составами. Они имеют повышенное содержанием фтора, что предотвращает дальнейшее разрушение.
- Для восполнения дефицита кальция может использоваться и реминерализирующая терапия.
- Для домашнего лечения начальных стадий можно взять зубную пасту, содержащую фтор и кальций. Но для хорошего эффекта ею нужно пользоваться достаточно долго.
- Также для лечения в домашних условиях врач может назначить специальные лаки или гели, которые необходимо применять курсом.
- Особые брекеты ставят в случаях, когда причиной послужил явный нарушенный прикус.
- В более сложных ситуациях устанавливают пломбу или коронку.
- Полная реставрация зуба проводится при максимальном глубоком поражении.
- Современная стоматология предлагает и менее болезненное лечение – лазерная терапия. Неприятных ощущений пациент при этом совершенно не чувствует. С помощью лазера укрепляют эмаль, что снижает чувствительность и предотвращает дальнейшее разрушение. Процедуру можно проводить даже в случае аллергии, при беременности и кормлении грудью.
- Избирательное сошлифовывание, которое корректирует сам зуб и противостоящий к нему, который при жевании сильно воздействует на появление дефекта за счет нагрузки.
Если врач установит причину болезни, то будет намного проще. Устранив ее можно точно гарантировать, что дефект не появится снова, а уже возникшая проблема исчезнет сама по себе. Только вот современная медицина пока еще не смогла достоверно установить причины подобного заболевания. Есть только предположения, а потому полноценное лечение с надежной гарантией пока не доступно.
Важно помнить, что даже при установке протезов следует провести дополнительное фторирование и предотвратить ухудшение ситуации. Ведь под протезом дефект может дальше усугубляться.
Задаваясь вопросом нужно ли лечить такое заболевание, стоит понять, что оно опасно и при сильном повреждении эмали, а также повышенных нагрузках на зуб, он может полностью сломаться.
Особенности лечения клиновидного дефекта в том, что пораженная область труднодоступна для установки пломбы. Также при лечении могут возникать сильные болевые ощущения. Если приходится ставить пломбу или винир, то врач должен предупредить, что они могут слететь в скором времени, ведь закрепить такую конструкцию практически невозможно. Кроме того, постоянная повышенная нагрузка на зуб и пломбу способствует тому, что она как бы выдавливается из полости.
Для того чтобы конструкция продержалась дольше, врачу следует кое-что предпринять:
- Сделать на эмали насечки, которые лучше закрепят пломбу.
- Применяют специальный материал, чаще это жидкий состав с повышенной упругостью.
- Проведение процедуры сопровождают хорошим высушиванием нужной области. Ведь любая слюна или влажность способствуют плохому закреплению пломбы и скорому ее выпадению.
Народные средства
- Настойку прополиса на спирту разбавьте теплой водой. Полоскайте рот полученным раствором после каждого приема пищи.
- В меню должен быть салат из морской капусты, петрушки, шалфея и базилика с йодированной солью и оливковым маслом.
- Морские ракушки с перламутровой поверхностью очистите от песка и загрязнений, высушите и измельчите. Порошок наносите на зубы и не смывайте.
- Листья лимона укрепляют десны.
- Хрен полезен для здоровья ротовой полости.
- Для протирания десен используйте мед, смешанный с измельченной корицей.
Профилактика клиновидного дефекта зубов
Клиновидный дефект зубов – это распространенная проблема, которая может привести к серьезным последствиям для здоровья полости рта. Профилактика данного дефекта является ключевым аспектом в поддержании здоровья зубов и десен. Важно понимать, что профилактические меры могут значительно снизить риск возникновения клиновидного дефекта и других стоматологических заболеваний.
Первым шагом в профилактике является регулярное посещение стоматолога. Профессиональная чистка зубов и осмотр помогут выявить ранние признаки клиновидного дефекта, а также другие проблемы, которые могут потребовать вмешательства. Стоматолог сможет дать рекомендации по уходу за зубами и деснами, а также предложить индивидуальные методы профилактики.
Вторым важным аспектом является правильная гигиена полости рта. Чистка зубов должна проводиться не менее двух раз в день с использованием зубной пасты, содержащей фтор. Фтор помогает укрепить эмаль и делает зубы более устойчивыми к разрушению. Также стоит обратить внимание на выбор зубной щетки: она должна быть мягкой, чтобы не повреждать десны и эмаль.
Кроме того, использование зубной нити и ополаскивателей для рта поможет удалить налет и остатки пищи из труднодоступных мест, что также снижает риск развития клиновидного дефекта. Важно помнить, что недостаточная гигиена может привести к образованию кариеса и другим заболеваниям, которые способствуют развитию клиновидного дефекта.
Следующим важным аспектом профилактики является правильное питание. Избегание избыточного потребления сахара и кислых продуктов поможет защитить зубы от разрушения. Включение в рацион продуктов, богатых кальцием и витамином D, таких как молочные продукты, рыба и зеленые овощи, способствует укреплению зубной эмали.
Также стоит обратить внимание на привычки, которые могут негативно сказаться на здоровье зубов. Например, привычка скрежетать зубами (бруксизм) может привести к износу эмали и развитию клиновидного дефекта. В таких случаях рекомендуется обратиться к стоматологу для получения рекомендаций по коррекции данной проблемы.
Наконец, важно помнить о необходимости использования защитных средств при занятиях спортом. Специальные капы или защитные щитки помогут предотвратить травмы зубов, которые могут привести к клиновидному дефекту.
В заключение, профилактика клиновидного дефекта зубов требует комплексного подхода, включающего регулярные визиты к стоматологу, правильную гигиену полости рта, сбалансированное питание и отказ от вредных привычек. Соблюдение этих рекомендаций поможет сохранить здоровье зубов на долгие годы.
Вопрос-ответ
Можно ли остановить клиновидный дефект?
Клиновидный дефект зубов не может остановиться, исчезнуть сам. Он обязательно прогрессирует.
От чего появляется клиновидный дефект зубов?
Причиной образования подобного дефекта является неправильное смыкание челюстей, что приводит к неравномерному распределению жевательной нагрузки на зубы.
Нужно ли пломбировать клиновидный дефект?
Нужно ли ставить пломбу на клиновидный дефект? Определенно, ответ – да, нужно. В противном случае, если клиновидный дефект после лечения не запломбировать, то это может привести к пульпиту, что чревато удалением нерва корня зуба.
Советы
СОВЕТ №1
Регулярно посещайте стоматолога для профилактических осмотров. Это поможет выявить клиновидный дефект на ранней стадии и предотвратить его дальнейшее развитие.
СОВЕТ №2
Обратите внимание на свою гигиену полости рта. Используйте зубную пасту с фтором и щетку с мягкой щетиной, чтобы минимизировать повреждение эмали и десен.
СОВЕТ №3
Избегайте чрезмерного употребления кислых и сладких продуктов, которые могут способствовать эрозии зубной эмали. Если вы употребляете такие продукты, старайтесь полоскать рот водой после их употребления.
СОВЕТ №4
Рассмотрите возможность использования специальных защитных капп, если вы склонны к бруксизму (скрежетанию зубами). Это поможет снизить нагрузку на зубы и предотвратить дальнейшее развитие клиновидного дефекта.
