Фотоотбеливание зубов становится популярной процедурой для улучшения улыбки и повышения уверенности. Методика использует световые технологии для осветления зубной эмали, позволяя быстро избавиться от пятен и потемнений, вызванных курением, кофе или красным вином. В статье рассмотрим преимущества и особенности фотоотбеливания, чтобы помочь вам понять, почему эта процедура подходит для достижения белоснежной улыбки.
Что это такое?
Данную процедуру называют «отбеливание с использованием света». В процессе применяются световые лампы, но основной эффект обеспечивается гелем, который наносят на зубы. Свет активирует и усиливает действие геля, но не влияет на эмаль.
Существуют различные типы световых излучений:
- Ультрафиолетовое – выделяет тепло, что может нагревать зубы и считается менее безопасным.
- Галогеновое – лампа излучает «холодный свет», минимизируя риск перегрева тканей.
- Светодиодное – также относится к «холодному» методу и считается наиболее безопасным.
Гель содержит высокую концентрацию перекиси водорода. При активации лампой выделяется кислород, проникающий в глубокие слои эмали и дентина, что приводит к осветлению.
Из-за высокой концентрации перекиси и риска неправильного использования лампы, этот метод отбеливания рекомендуется проводить только в стоматологическом кресле. Попытки выполнить процедуру в домашних условиях могут привести к нежелательным последствиям.
Специалисты отмечают, что фотоотбеливание зубов становится все более востребованным благодаря эффективности и безопасности. Одно из ключевых преимуществ – минимальное воздействие на зубную эмаль, что снижает риск повреждения. Специальный свет активирует отбеливающий гель, позволяя достичь заметного результата за одно посещение.
Кроме того, фотоотбеливание обеспечивает равномерное осветление, делая улыбку более естественной и привлекательной. Врачи подчеркивают, что процедура подходит большинству пациентов, включая тех, кто страдает от чувствительности зубов. Быстрая и безболезненная процедура помогает восстановить уверенность в улыбке, что положительно сказывается на психологическом состоянии.
Эксперты в области стоматологии отмечают, что фотоотбеливание зубов становится все более популярным благодаря своей эффективности и безопасности. Одним из главных преимуществ этой процедуры является возможность достижения заметного результата всего за одно посещение. Использование специального света активирует отбеливающий гель, что позволяет быстро и безболезненно осветлить зубы на несколько тонов.
Кроме того, фотоотбеливание минимально инвазивно и не повреждает эмаль, что делает его подходящим для большинства пациентов. Специалисты также подчеркивают, что процедура подходит для людей с чувствительными зубами, так как современные технологии позволяют снизить дискомфорт. Важно отметить, что результаты могут сохраняться до двух лет при соблюдении рекомендаций по уходу за полостью рта, что делает фотоотбеливание не только эффективным, но и экономически выгодным решением для тех, кто стремится к белоснежной улыбке.
https://youtube.com/watch?v=NfehlwezQ8Y
Подробное описание процедуры
Фотоотбеливание делают за одно посещение врача, хотя бывают случаи, когда пациент желает усилить эффект и тогда через неделю можно повторить манипуляции. За один же сеанс допустимо наносить активный гель до шести раз. Хотя некоторые врачи рекомендуют ограничиться тремя. Все этапы довольно просты:
- Изначально стоматолог должен осмотреть ротовую полость, оценить состояние зубов пациента и решить, применять ли подобную процедуру или нет. Желательно также очистить налет, зубной камень и пролечить кариес, если таковой присутствует.
- Обязательно стоит обсудить выбор способа отбеливания, и какого результата желает добиться пациент.
- Для защиты надевают специальные очки, устанавливают ретрактор и закрывают слизистую.
- Врач наносит гель на поверхность зубов и включает лампу для активизации. Ее действие длится 10-20 минут. Затем гель убирают, и все манипуляции могут повторить нужное количество раз до достижения желаемого эффекта.
- В последний раз, очистив поверхность от геля и сняв все защитные приспособления, можно оценить результат по шкале Вита и дает рекомендации по дальнейшим действиям. Так, он может посоветовать бесцветную диету на первое время, а также использование различных средств для усиления или закрепления отбеливающего эффекта.
| Преимущество/Характеристика | Описание | По сравнению с чем? |
|---|---|---|
| Эстетический эффект | Визуально заметное осветление цвета зубов на несколько оттенков. | Естественным цветом зубов, другими методами отбеливания (например, народными средствами) |
| Быстрый результат | Заметное осветление достигается за один или несколько сеансов. | Долгосрочному отбеливанию с использованием капп |
| Профессиональный подход | Процедура проводится квалифицированным специалистом с использованием профессиональных материалов и оборудования. | Домашнему отбеливанию |
| Индивидуальный подход | Возможность выбора метода отбеливания и концентрации отбеливающего средства в зависимости от состояния зубов и желаемого результата. | Стандартным методам отбеливания |
| Разнообразие методов | Существуют различные методы фотоотбеливания, позволяющие подобрать оптимальный вариант для каждого пациента (например, лазерное, светодиодное). | Только одному методу отбеливания |
| Относительно высокая эффективность | Достижение значительного осветления цвета зубов у большинства пациентов. | Другим методам отбеливания с меньшей эффективностью |
| Возможность коррекции цвета после лечения | Отбеливание может быть использовано для коррекции цвета зубов после лечения кариеса или других стоматологических процедур. | Без отбеливания |
Интересные факты
Вот несколько интересных фактов о фотоотбеливании зубов:
-
Безопасность и минимальное воздействие: Фотоотбеливание зубов использует специальные гели, активируемые светом, что позволяет достичь желаемого результата с минимальным воздействием на эмаль. Это делает процедуру более безопасной по сравнению с традиционными методами отбеливания, которые могут вызывать чувствительность зубов.
-
Мгновенные результаты: Одним из главных преимуществ фотоотбеливания является возможность увидеть результаты сразу после процедуры. В отличие от домашних средств, которые могут требовать длительного времени для достижения эффекта, фотоотбеливание позволяет получить заметное осветление зубов всего за одну сессию.
-
Индивидуальный подход: Процедура может быть адаптирована под индивидуальные потребности пациента. Специалист может регулировать интенсивность света и концентрацию отбеливающего геля, что позволяет достичь оптимального результата с учетом состояния зубов и желаемого оттенка.
https://youtube.com/watch?v=E73ue0i1ayU
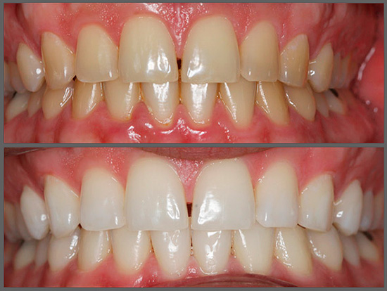
Фото до и после
Фотоотбеливание зубов становится всё более популярным среди тех, кто хочет белоснежную улыбку. Одно из главных преимуществ процедуры — высокая безопасность. В отличие от традиционных методов, которые могут повредить эмаль, фотоотбеливание использует световые технологии, что снижает риск повреждений.
Процедура занимает около часа, что делает её удобной для людей с плотным графиком. Многие пациенты замечают результаты уже после первого сеанса — зубы становятся значительно светлее.
Фотоотбеливание подходит большинству, включая людей с чувствительными зубами. Отсутствие длительного восстановления позволяет сразу вернуться к привычной жизни. В целом, это эффективный и безопасный способ достичь желаемой улыбки.
Преимущества и недостатки
Популярность метода фотоотбеливания вполне заслужена, так как можно выявить существенные плюсы процедуры:
- Пациент не испытывает особого дискомфорта во время отбеливания.
- В большинстве случаев при грамотном подходе врача процедура считается безопасной для здоровья зубов.
- Минимальное количество противопоказаний.
- Результат отбеливания заметен сразу, а на протяжении следующей недели может еще усилиться.
- Все манипуляции выполняются не дольше часа.
- Эффект по шкале Вита – до 10, а иногда и 12 оттенков за один сеанс.
- Равномерность осветления, воздействие на весь зубной ряд.
- Не разрушается минеральный состав эмали, что помогает ей быстро восстановиться после воздействия перекиси.
- Относительно невысокая стоимость процедуры по сравнению с другими методами.
- Может возникнуть повышенная чувствительность эмали, которая чаще всего проходит через несколько дней.
- Если потемнение зубной поверхности было спровоцировано тетрациклиновыми препаратами или это последствие флюороза, то результата может и не быть.
- Есть противопоказания, которые нужно учитывать.
https://youtube.com/watch?v=otMYJeCXww4
Методы фотоотбеливания
Наиболее востребованные варианты:
-
Beyond Polus – лампа сочетает галогеновое и светодиодное излучение, что повышает безопасность процедуры. Обычно процедура включает три цикла по 10 минут за одно посещение стоматолога. Результат сохраняется до года, риск высокой чувствительности эмали минимален.
-
Luma Cool – использует только «холодное» светодиодное излучение, что делает его безопасным для зубной структуры. Врач наносит гель трижды и активирует его лампой в течение восьми минут. Эффект может сохраняться несколько лет, чувствительность проходит через три дня.
-
Zoom – применяет ультрафиолетовое излучение, менее безопасное, чем в предыдущих вариантах. Нагрев позволяет достичь более выраженного результата за счет глубокого проникновения активного кислорода. Важно, чтобы стоматолог действовал осторожно. Пациент может испытывать дискомфорт, который проходит через несколько дней. Результат сохраняется до полутора лет.
Какой эффект после процедуры?
В зависимости от выбранного способа можно добиться результата осветления за одно посещение врача на 5-10 или даже 12 оттенков по шкале Вита. Хотя многое будет зависеть и от других факторов.
- Если от природы серый оттенок зуба, то он сложнее будет поддаваться осветлению. Желтизна удаляется намного легче.
- Потемнение эмали от курения, алкоголя, кофе, чая и других красящих напитков или продуктов быстрее поддается подобной коррекции.
- В случае приема тетрациклина или такой болезни, как флюороз эффекта отбеливания может не наступить вовсе.
Продолжительность результата также во многом будет зависеть от самого пациента – вредные привычки, питание, использование вспомогательных средств и т. д. Но на всю жизнь полного осветления добиться с помощью фотоотбеливания точно не удастся. Через год-два процедуру придется повторить.
Нужно понимать, что импланты, пломбы, коронки и другие инородные предметы не будут поддаваться осветлению. И дабы избежать значительной разницы в оттенках, следует поменять их на более подходящие или же установить виниры.
Побочные эффекты и противопоказания
Чтобы определить вредность воздействия, нужно учитывать противопоказания и проконсультироваться с квалифицированным специалистом. Неправильное использование световой лампы, выбор неподходящего геля или некачественных средств могут причинить значительный вред.
Также важны индивидуальные характеристики пациента. Возможны нежелательные последствия:
- Повышенная чувствительность к холодным и горячим температурам, которая обычно проходит через несколько дней.
- Аллергические реакции на компоненты химического геля для отбеливания.
- Раздражение при неосторожном нанесении средства на слизистую оболочку.
- Перегрев зуба при использовании ультрафиолетового излучения неопытным специалистом, что может привести к некрозу пульпы.
Противопоказания:
- беременность и период лактации;
- возраст до 18 лет;
- предрасположенность к аллергиям;
- повышенная чувствительность эмали;
- обширные кариозные полости;
- высокая стираемость зубов;
- повреждения поверхности в виде трещин и сколов.
Рекомендации по уходу за зубами после процедуры
После процедуры фотоотбеливания зубов важно соблюдать определенные рекомендации по уходу, чтобы сохранить достигнутый результат и минимизировать возможные негативные последствия. Вот несколько ключевых советов:
- Избегайте окрашивающих продуктов: В течение первых 24-48 часов после отбеливания рекомендуется избегать употребления продуктов и напитков, которые могут окрасить зубы. К ним относятся кофе, чай, красное вино, ягоды, соусы и другие продукты с яркими пигментами.
- Соблюдайте гигиену полости рта: Регулярная чистка зубов дважды в день и использование зубной нити помогут сохранить зубы чистыми и предотвратить образование налета. Рекомендуется использовать зубную пасту, содержащую фтор, для укрепления эмали.
- Используйте мягкую зубную щетку: После отбеливания зубы могут быть более чувствительными, поэтому стоит использовать мягкую зубную щетку, чтобы избежать повреждения эмали и десен.
- Избегайте курения: Курение не только негативно сказывается на здоровье зубов, но и может привести к потемнению эмали. Если вы хотите сохранить белизну зубов, лучше отказаться от этой привычки.
- Регулярные визиты к стоматологу: Профилактические осмотры и профессиональная чистка зубов помогут поддерживать здоровье полости рта и продлить эффект отбеливания. Стоматолог сможет дать рекомендации по уходу и выявить возможные проблемы на ранней стадии.
- Используйте специальные средства для ухода: Существуют специальные ополаскиватели и зубные пасты, предназначенные для поддержания эффекта отбеливания. Они могут помочь в уходе за зубами после процедуры.
- Следите за чувствительностью: Если после процедуры вы заметили повышенную чувствительность зубов, стоит использовать специальные пасты для чувствительных зубов или обратиться к стоматологу для получения рекомендаций.
Соблюдение этих рекомендаций поможет не только сохранить белизну зубов, но и поддерживать общее здоровье полости рта, что является важным аспектом после процедуры фотоотбеливания.
Вопрос-ответ
Каковы основные преимущества фотоотбеливания зубов по сравнению с другими методами?
Фотоотбеливание зубов обеспечивает более быстрое и эффективное осветление эмали по сравнению с традиционными методами, такими как отбеливающие пасты или полоски. Процедура занимает всего 30-60 минут, а результат может быть заметен сразу после первого сеанса. Кроме того, использование специального света минимизирует риск повреждения зубной эмали и десен.
Как долго сохраняется эффект после процедуры фотоотбеливания?
Эффект фотоотбеливания может сохраняться от нескольких месяцев до нескольких лет, в зависимости от индивидуальных особенностей пациента, его привычек и ухода за зубами. Для поддержания результата рекомендуется избегать продуктов, которые могут окрашивать зубы, таких как кофе, чай и красное вино, а также регулярно проходить профилактические осмотры у стоматолога.
Есть ли противопоказания для фотоотбеливания зубов?
Да, существуют противопоказания для этой процедуры. К ним относятся наличие заболеваний десен, кариеса, аллергии на компоненты отбеливающих средств, а также беременность и лактация. Перед проведением процедуры обязательно стоит проконсультироваться с стоматологом, чтобы исключить возможные риски и подобрать наиболее подходящий метод отбеливания.
Советы
СОВЕТ №1
Перед процедурой фотоотбеливания зубов обязательно проконсультируйтесь с вашим стоматологом. Он поможет определить, подходит ли вам этот метод, и учтет состояние ваших зубов и десен.
СОВЕТ №2
Обратите внимание на выбор клиники и специалиста. Убедитесь, что у них есть лицензия и положительные отзывы от клиентов, чтобы гарантировать безопасность и эффективность процедуры.
СОВЕТ №3
После фотоотбеливания следите за своим рационом. Избегайте продуктов и напитков, которые могут вызвать окрашивание зубов, таких как кофе, красное вино и ягоды, в течение первых нескольких дней после процедуры.
СОВЕТ №4
Регулярно проводите гигиенические процедуры, такие как чистка зубов и использование зубной нити, чтобы поддерживать эффект отбеливания и здоровье зубов в целом.
