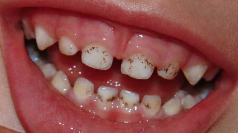
Черные точки на зубах вызывают беспокойство, так как могут указывать на стоматологические проблемы. Игнорирование таких изменений может привести к серьезным последствиям для здоровья полости рта. В этой статье рассмотрим причины появления черных точек, их последствия и необходимость обращения к стоматологу, чтобы помочь читателям принять обоснованное решение о своем здоровье.
Почему появляются черные точки на зубах?
- Неправильная гигиена и недостаточный уход за полостью рта приводят к образованию налета и зубного камня, что разрушает ткани зубов;
- Вредные привычки, такие как курение, способствуют образованию налета и негативно влияют на здоровье ротовой полости;
- Частое употребление ярких напитков и продуктов (кофе, черный чай, газировка) окрашивает зубную эмаль, что требует регулярного отбеливания;
- Заболевания желудочно-кишечного тракта нарушают кислотный баланс, повреждая эмаль и повышая ее чувствительность;
- Металлические изделия в ротовой полости (пломбы, брекеты, протезы) могут изменить цвет зубов из-за окислительных процессов или аллергии;
- Начальная эрозия эмали требует немедленного вмешательства и дополнительных лечебных процедур;
- Инфекции твердых тканей могут привести к кариесу;
- Длительный прием некоторых антибиотиков, особенно тетрациклинов, влияет на цвет зубов;
- Работа на вредных производствах с кислотными испарениями и тяжелыми металлами негативно сказывается на состоянии зубов;
- Неправильное питание, обмен веществ и частое употребление сахара ускоряют разрушение твердых тканей.
Что означают черные точки на зубах? Это может быть лишь эстетический дефект, не связанный с кариесом, который устраняется профессиональными процедурами. Чаще всего они сигнализируют о проблемах – зубном налете, камне, патологических изменениях тканей или нарушениях в работе внутренних органов.
Если черные точки появились недавно и их немного, это, вероятно, признак налета, от которого можно избавиться с помощью тщательной гигиенической процедуры или в стоматологическом кабинете.
Для определения причины их появления и возможных последствий необходимо обратиться к врачу. Специалист выявит наличие проблемы и решит, нужно ли лечить зубы. Даже если это лишь эстетический дефект на передних зубах, их стоит почистить или отбелить.
Стоматологи единодушны: необходимо обратиться к врачу. Черные точки могут указывать на начало кариеса или другие стоматологические проблемы. Игнорирование таких симптомов может привести к серьезным последствиям, включая разрушение зуба и необходимость сложного лечения. Кроме того, черные точки могут быть признаком налета или пигментации, что также требует профессиональной оценки. Регулярные визиты к стоматологу помогут выявить проблемы на ранней стадии и сохранить здоровье зубов. Поэтому, заметив черные точки, лучше не откладывать визит к специалисту.
Эксперты в области стоматологии настоятельно рекомендуют не игнорировать появление черных точек на зубах. Эти изменения могут свидетельствовать о начале кариеса или других стоматологических проблем. Важно понимать, что черные точки не всегда являются безобидными, и их игнорирование может привести к более серьезным последствиям, таким как разрушение зубной эмали или развитие воспалительных процессов. Стоматологи подчеркивают, что раннее обращение за помощью позволяет не только сохранить здоровье зубов, но и избежать дорогостоящего лечения в будущем. Регулярные осмотры у специалиста помогут выявить проблемы на ранних стадиях и обеспечить своевременное вмешательство. Поэтому, заметив изменения в состоянии зубов, лучше всего записаться на прием к стоматологу.
https://youtube.com/watch?v=xAA8N23-31Y
Фото
Черные точки на зубах могут вызывать беспокойство у многих людей. Часто такие изменения воспринимаются как признак серьезных проблем, и мнения по этому поводу разделяются. Некоторые считают, что это всего лишь косметический дефект, который можно игнорировать, особенно если нет боли или дискомфорта. Однако большинство стоматологов настоятельно рекомендуют не откладывать визит к специалисту. Черные точки могут быть признаком кариеса или других заболеваний зубов, которые требуют своевременного вмешательства. Чем раньше обратиться за помощью, тем легче и дешевле будет лечение. Кроме того, регулярные проверки у стоматолога помогают предотвратить более серьезные проблемы в будущем. Поэтому, если вы заметили изменения в состоянии своих зубов, лучше не рисковать и проконсультироваться с профессионалом.
| Симптом | Вероятная причина | Действия |
|---|---|---|
| Черные точки на зубах, небольшие, не вызывают боли | Поверхностные пятна, скопление пигмента от пищи, напитков (кофе, чай, вино), табака | Профессиональная чистка у стоматолога (профилактический осмотр) рекомендуется. Дома — тщательная гигиена полости рта. |
| Черные точки на зубах, более глубокие, сопровождаются болью или чувствительностью | Кариес, повреждение эмали, возможно, начальный пульпит | Немедленное обращение к стоматологу обязательно. |
| Черные точки на зубах, сопровождаются кровоточивостью десен, неприятным запахом изо рта | Возможно, гингивит, пародонтит, или другие заболевания десен | Немедленное обращение к стоматологу обязательно. |
| Черные точки на зубах, изменение цвета зуба, без боли | Возможно, внутренняя пигментация зуба, травма | Консультация стоматолога для диагностики и определения плана лечения. |
Интересные факты
Вот несколько интересных фактов о черных точках на зубах и необходимости обращения к стоматологу:
-
Кариес и его признаки: Черные точки на зубах могут быть признаком начальной стадии кариеса. Это означает, что зубная эмаль начинает разрушаться, и если не предпринять меры, процесс может прогрессировать, приводя к более серьезным проблемам, таким как боли и необходимость в лечении корневых каналов.
-
Пигментация зубов: Черные точки могут также быть результатом пигментации, вызванной потреблением определенных продуктов или напитков, таких как кофе, чай или красное вино. В этом случае стоматолог может предложить профессиональную чистку или отбеливание, чтобы улучшить внешний вид зубов.
-
Роль стоматолога в профилактике: Регулярные визиты к стоматологу не только помогают выявить и лечить проблемы на ранних стадиях, но и позволяют получить рекомендации по уходу за зубами и деснами, что может предотвратить появление черных точек и других заболеваний полости рта в будущем.
https://youtube.com/watch?v=_jsgLWWmqYI
Черные зубы у ребенка
- генетическая предрасположенность и наследственные факторы;
- влияние медикаментов, принимаемых беременной;
- дисбаланс микрофлоры в ротовой полости или ЖКТ;
- нехватка кальция в организме ребенка;
- недостаточный уход за зубами;
- нарушения в работе щитовидной железы;
- гипоплазия эмали и аналогичные состояния.
Методы лечения и профилактики черных точек на зубах
Черные точки на зубах могут быть признаком различных стоматологических проблем, и их лечение зависит от причины появления. Важно понимать, что игнорирование этого симптома может привести к более серьезным последствиям, таким как кариес или заболевания десен. Поэтому, если вы заметили черные точки, рекомендуется обратиться к стоматологу для диагностики и назначения соответствующего лечения.
Существует несколько методов лечения черных точек на зубах, в зависимости от их природы:
- Профессиональная чистка зубов: Если черные точки вызваны налетом или зубным камнем, стоматолог может провести профессиональную чистку. Этот процесс включает удаление налета и камня с помощью ультразвуковых инструментов и ручных инструментов, что помогает восстановить естественный цвет зубов.
- Лечение кариеса: Если черные точки являются признаком начальной стадии кариеса, стоматолог может предложить лечение с использованием пломбировочных материалов. Важно выявить кариес на ранней стадии, чтобы избежать более серьезных повреждений зуба.
- Фторирование: Для укрепления эмали и предотвращения дальнейшего разрушения зубов стоматолог может рекомендовать процедуры фторирования. Это помогает защитить зубы от кариеса и улучшить их внешний вид.
- Эстетическая стоматология: В случаях, когда черные точки являются следствием пигментации или других эстетических проблем, стоматолог может предложить процедуры, такие как отбеливание зубов или использование виниров для улучшения внешнего вида зубов.
Профилактика черных точек на зубах также играет важную роль в поддержании здоровья полости рта. Вот несколько рекомендаций:
- Регулярная гигиена полости рта: Чистите зубы дважды в день с использованием фторсодержащей зубной пасты и не забывайте о зубной нити для удаления остатков пищи между зубами.
- Посещение стоматолога: Регулярные профилактические осмотры у стоматолога (не реже двух раз в год) помогут выявить проблемы на ранней стадии и предотвратить их развитие.
- Сбалансированное питание: Ограничьте потребление сахара и кислых продуктов, которые могут способствовать образованию кариеса и пигментации зубов. Включайте в рацион продукты, богатые кальцием и витаминами, которые способствуют укреплению зубной эмали.
- Отказ от вредных привычек: Курение и чрезмерное употребление кофе или чая могут привести к образованию пятен на зубах. Старайтесь ограничить эти привычки для сохранения здоровья зубов.
В заключение, черные точки на зубах — это сигнал о необходимости обращения к стоматологу. Своевременное лечение и профилактика помогут сохранить здоровье зубов и предотвратить более серьезные проблемы в будущем.
https://youtube.com/watch?v=SscR_GEBNGE
Вопрос-ответ
Нужно ли лечить черные точки на зубах?
Небольшие углубления и пятна темного цвета не всегда свидетельствуют о поражении коронки зуба, а при посещении стоматолога специалист говорит, что лечение не требуется.
Что означают черные точки на зубе?
Черные точки на зубах — распространенная проблема, с которой сталкиваются и взрослые, и дети. Они могут быть вызваны различными причинами: налетом от пищевых красителей, курения, неправильной гигиены, а также кариесом или нарушением минерализации эмали.
Советы
СОВЕТ №1
Не откладывайте визит к стоматологу. Черные точки на зубах могут быть признаком кариеса или других стоматологических заболеваний, которые требуют профессионального вмешательства. Чем раньше вы обратитесь за помощью, тем легче будет решить проблему.
СОВЕТ №2
Обратите внимание на гигиену полости рта. Регулярная чистка зубов дважды в день и использование зубной нити помогут предотвратить образование черных точек и других проблем с зубами. Не забывайте также о регулярных профилактических осмотрах у стоматолога.
СОВЕТ №3
Изучите свои привычки в питании. Употребление слишком большого количества сладостей и кислых продуктов может способствовать образованию кариеса. Постарайтесь сбалансировать свой рацион и включить в него больше овощей, фруктов и молочных продуктов, которые способствуют здоровью зубов.
СОВЕТ №4
Не игнорируйте симптомы. Если вы заметили не только черные точки, но и другие изменения, такие как боль, чувствительность или неприятный запах изо рта, обязательно сообщите об этом стоматологу. Эти симптомы могут указывать на более серьезные проблемы, требующие немедленного внимания.
