Если вы хотите красивую улыбку, но стесняетесь носить заметные брекеты, лингвальные конструкции могут стать отличным решением. Эти невидимые брекеты устанавливаются на внутренней стороне зубов, что делает их практически незаметными. В статье рассмотрим преимущества лингвальных брекетов, их особенности и процесс установки, а также ответим на часто задаваемые вопросы, чтобы помочь вам сделать осознанный выбор в ортодонтическом лечении.
Особенности лингвальных брекетов
Сначала разберемся, что такое лингвальные брекеты. В латинском языке «лингва» означает «язык», что отражает их расположение на внутренней стороне зубного ряда, ближе к языку. Это главное отличие от традиционных брекетов.
Как они работают? Их функционирование аналогично обычным брекетам: на зубах крепятся пластинки, а также имеются пазы и замочки для фиксации дуги, создающей давление на челюсть. Врач периодически меняет дугу и ее положение для точной коррекции. Опора устанавливается на шестой или седьмой зуб.
Из-за скрытого расположения пациенты часто называют их «невидимками». Даже металлические или золотые конструкции остаются незаметными при общении или улыбке. Вся система крепится на внутренней стороне челюсти и имеет компактные размеры.
Многие пациенты испытывают дискомфорт от обычных брекетов, особенно в общественных местах. Ортодонты отмечают, что лингвальные конструкции — отличная альтернатива для тех, кто стесняется видимых металлических элементов. Эти брекеты практически незаметны для окружающих. Эффективность лингвальных систем не уступает традиционным, а в некоторых случаях даже превосходит их. Современные технологии позволяют создавать индивидуальные конструкции, обеспечивая максимальный комфорт и минимальные неудобства. Врачи уверены, что лингвальные брекеты — идеальное решение для исправления прикуса без лишнего внимания.
Многие пациенты, испытывающие дискомфорт при ношении обычных брекетов, находят идеальное решение в лингвальных конструкциях. Эксперты отмечают, что такие брекеты устанавливаются на внутренней стороне зубов, что делает их практически незаметными для окружающих. Это особенно важно для людей, которые ведут активную социальную жизнь или работают в сферах, где внешний вид играет ключевую роль.
Кроме того, лингвальные брекеты обеспечивают такой же уровень коррекции, как и традиционные, что делает их не только эстетически привлекательными, но и эффективными. Специалисты подчеркивают, что современные технологии позволяют создавать индивидуальные конструкции, что повышает комфорт и снижает риск дискомфорта. Таким образом, лингвальные брекеты становятся отличным выбором для тех, кто хочет исправить прикус, не привлекая к себе лишнего внимания.
https://youtube.com/watch?v=KDrHl2PAefw
Плюсы и минусы
За счет особенностей расположения и некоторых других нюансов системы, выделяют такие преимущества лингвальных брекетов перед остальными:
- повышенная эффективность, они способны изменить сложные случаи прикуса даже, когда иным подобным конструкциям это не под силу;
- полностью незаметны для посторонних глаз;
- успехи коррекции видны уже через короткий промежуток времени;
- благодаря продуманной модульной системе, все элементы располагаются независимо друг от друга, но при этом являются единым целым;
- достаточно быстрый процесс адаптации, который заканчивается уже через две недели после установки конструкции;
- доступность лечения даже для профессиональных спортсменов или музыкантов.
- те же маленькие размеры пластин, придающие большее удобство в эксплуатации, могут обернуться минусами – за счет небольшого объема крепления они легко отпадают;
- процесс установки проходит очень долго и является сложным, врач должен обладать высокими навыками в этом деле;
- первые дни или даже недели трудно разговаривать, так как все элементы находятся в непосредственной близости с языком, что требует привыкания;
- за счет внутреннего расположения значительно усложняется обработка зубов и брекетов;
- как и в случаях с другими ортодонтическими конструкциями, при использовании изделий лингвального типа нужно отказаться от твердых и липучих продуктов, способных повредить их;
- для профессиональной чистки и тщательного контроля процесса лечения нужно часто и регулярно посещать стоматолога;
- многих смущает стоимость изделий.
| Характеристика | Вестибулярные брекеты (обычные) | Лингвальные брекеты (внутренние) |
|---|---|---|
| Расположение | На внешней поверхности зубов | На внутренней поверхности зубов |
| Видимость | Хорошо заметны | Невидимы |
| Комфорт | Могут вызывать дискомфорт из-за выступающих элементов | Могут вызывать дискомфорт из-за давления на язык, требуется адаптация |
| Стоимость | Обычно дешевле | Обычно дороже |
| Уход | Требуется тщательная гигиена полости рта | Требуется тщательная гигиена полости рта, более сложная чистка |
| Срок лечения | Может варьироваться | Может варьироваться, иногда дольше из-за сложности установки и коррекции |
| Сложность установки | Относительно простая | Более сложная, требует высокой квалификации ортодонта |
| Возможные побочные эффекты | Раздражение слизистой оболочки, повреждение эмали | Раздражение языка, нарушение дикции (временное), повышенный риск кариеса |
Интересные факты
Вот несколько интересных фактов о лингвальных брекетах:
-
Невидимость и эстетика: Лингвальные брекеты устанавливаются на внутренней стороне зубов, что делает их практически незаметными для окружающих. Это идеальное решение для тех, кто стесняется носить обычные брекеты и хочет сохранить свою улыбку в тайне во время лечения.
-
Индивидуальная настройка: Лингвальные конструкции изготавливаются индивидуально для каждого пациента с использованием современных технологий, таких как 3D-моделирование. Это обеспечивает более точную подгонку и эффективное лечение, а также повышает комфорт при ношении.
-
Эффективность лечения: Несмотря на то, что лингвальные брекеты могут быть менее привычными для ортодонтов, они так же эффективны, как и традиционные брекеты. Они могут исправлять широкий спектр проблем с прикусом и выравниванием зубов, что делает их отличным вариантом для многих пациентов.
https://youtube.com/watch?v=36qKsEMUz2E
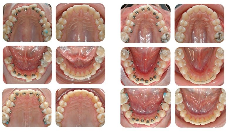
Фото до и после
Многие, стремящиеся к идеальной улыбке, испытывают дискомфорт от традиционных брекетов, которые могут вызывать неловкость и комплексы, особенно у подростков. Решением являются лингвальные брекеты, устанавливаемые на внутренней стороне зубов, что делает их практически невидимыми. Пациенты отмечают, что могут свободно общаться и улыбаться, не беспокоясь о внешнем виде. Лингвальные брекеты обеспечивают такую же эффективность в коррекции прикуса, как и традиционные. Многие пользователи сообщают о быстром привыкании, и вскоре забывают о наличии конструкции. Таким образом, лингвальные брекеты — отличный выбор для тех, кто хочет сохранить уверенность в себе на пути к идеальной улыбке.
Виды конструкций
Если говорить об общих разновидностях системы, то следует выделить две основные:
- Простые лигатурные – когда для фиксации используют специальные нити, с одной стороны, помогающие лучше удерживать систему, а с другой, таких элементы быстро приходят в негодность и врач их часто меняет.
- Безлигатурные – где применяются особые механизмы с самозащелкивающимися и саморегулирующимися замками.
А вот модели от разных фирм обладают своими особенностями:
- Incognito – хоть и считаются самыми дорогими вариантами лингвальных брекетов, но они того стоят. Ведь такая конструкция очень удобна в эксплуатации, производится с учетом всех индивидуальных особенностей пациента, что значительно ускоряет процесс адаптации. Материалом же для их изготовления чаще всего является золото.
- Forestadent 2d – более простая, плоская конструкция с самолигирующими креплениями. Правда, использовать ее рекомендуют только в случаях легких дефектов, но весь принцип действия у них основан на естественной коррекции за счет влияния на работу челюстных мышц.
- In-Ovation L – продукция американской фирмы GAC на основе безлигатурной системы. Их легко устанавливать, а сплавы золота, никеля и титана хорошо переносятся здоровыми тканями. Но для их установки должны быть выдержаны определенные условия, которые врач обязан учитывать.
- Stb – производятся американской компанией ORMCO. За счет маленьких замочков они обладают высокими критериями удобства при ношении. А вот в качестве основного материала используют сплав титана и никеля или же особую медицинскую сталь. Это дает возможность в короткие сроки качественно откорректировать прикус и положение зубов.
Изготовление
Создание лингвальных брекетов занимает немного времени и требует высокой квалификации врача.
- Специалист делает слепок челюсти пациента для разработки плана коррекции.
- На основе отпечатка в лаборатории создается рабочая модель и формируется идеальное расположение элементов для лечения.
- Сравнив два варианта, изготавливаются восковые копии брекетов, а для каждой пластинки создаются фиксирующие замочки.
- Восковые копии помещаются на модели и покрываются гипсом для точности конструкций.
- После растопки воска врач заполняет пространство золотом или другим материалом для изготовления брекетов, что обеспечивает идеальную подгонку под особенности челюстей пациента.
- Параллельно с этим с помощью компьютерной программы создается дуга с точностью до миллиметра.
Для обеспечения качества конструкции без дефектов используются специальные капы.
Установка лингвальных брекетов
Поскольку крепление каждой пластинки на внутреннюю поверхность зуба является довольно сложным процессом, то занимает он достаточно много времени. Ведь при этом нужно не просто закрепить каждый элемент, а расположить его очень точно для максимальной эффективности лечения.
Перечислим основные этапы установки лингвальных брекет-систем:
- Санация всех поверхностей во рту пациента. Ведь носить сложную конструкцию, значительно затрудняющую гигиенические процедуры, придется не один год. Поэтому так важно максимально очистить ротовую полость от всех бактерий, налета и камня, пролечить больные зубы, поставить качественные пломбы.
- Проведение рентген-диагностики, при которой устанавливаются основные причины искривления прикуса, строение челюсти и доступность коррекции тем или иным способом.
- Один из важнейших этапов – снятие слепков, качество проведения которого будет потом влиять на точность изготовления системы и правильного процесса лечения.
- В лабораторных условиях создают все необходимые элементы строго по индивидуальным слепкам. Для каждой пластинки делают особые замки, полностью соответствующие потребностям пациента.
- Для удобства установки врач закладывает специальные расширители, чтобы человеку легко было держать рот открытым все время. Сначала крепят основание брекет-системы на шестую единицу и только потом приступают к фиксации каждой пластинки. Важно, что при коррекции всех зубов, сначала устанавливают брекеты на нижнюю, и только через две недели – на верхнюю челюсть. Это делается для легкости привыкания.
Для полного контроля над процессом лечения нужно посещать врача еще до 8 раз за весь период. После того как снимут брекеты, проходит закрепление результата с помощью ретенционных кап. Сколько носить их? Обычно, до полугода, чтобы эффект лечения не исказился.
Противопоказания
Не всем пациентам подходят лингвальные брекеты для коррекции прикуса. Существуют временные и частичные противопоказания, при устранении которых лечение возможно. Однако есть и абсолютные противопоказания:
- узкая челюсть, не позволяющая адаптироваться к конструкциям;
- скученность зубов, затрудняющая размещение элементов;
- недостаточная высота коронки, ограничивающая пространство для пластин;
- заболевания пародонта;
- нарушения работы височно-нижнечелюстного аппарата;
- предрасположенность к аллергии на материалы сплавов;
- психические расстройства;
- возраст до 11 лет, когда постоянные зубы еще не прорезались;
- пренебрежение гигиеной полости рта;
- бруксизм (ночное скрежетание зубами);
- беременность.
Видео: лингвальные брекеты – один из ключей к вашей уверенности.
https://youtube.com/watch?v=qw1wyh_J124
Нюансы ухода
В связи с расположением пластин и замочков с внутренней стороны зубного ряда, добраться до них в процессе ежедневной гигиенической обработки оказывается непросто. Чтобы соблюдать полноценную чистоту поверхностей зубов и конструкции, врачи рекомендуют использовать специальные ершики вместо щеток, электрические аналоги, ирригаторы, нити и зубочистки.
Обрабатывать ротовую полость желательно после каждого приема пищи, тщательно вычищая все элементы конструкции и межзубное пространство от остатков еды. Периодически стоит посещать стоматолога для профессиональной гигиены, так как в домашних условиях сделать это практически невозможно.
Подробнее об этом читайте в статье: как правильно ухаживать за брекетами?
Цена
Какова стоимость таких систем? Они дорогие, так как часто изготавливаются из золота или титана, процесс индивидуален, а установка требует высокой квалификации. Рассмотрим средние расценки в Москве:
- Лингвальная брекет-система для одной челюсти — около 60 тысяч рублей;
- Установка системы — примерно 20 000 рублей;
- Профилактический осмотр и контроль за лечением — 5 тысяч рублей;
- Снятие конструкции в конце лечения — 4000 рублей;
- Ретенционная система для закрепления результата — 6000 рублей.
Рекомендуется уточнять цены в клинике, где планируете лечение. Стоимость может варьироваться в зависимости от типа моделей, а некоторые клиники предлагают акции, позволяющие установить конструкцию по более низкой цене или в рассрочку.
Отзывы
Петр:
Не хотел, чтобы стало заметно, что я ношу брекеты. Но изменить положение некоторых зубов очень нужно. Поэтому решил заплатить больше, но получить такую коррекционную систему, которая невидна для окружающих.
Василий:
Мне нужно было как можно быстрее исправить нарушения прикуса. Поэтому врач посоветовал модели Incognito, так как за более короткие сроки справляются с сильными дефектами. И действительно я уже через полгода начал замечать первые ощутимые результаты.
Ольга:
Я выбирала между сапфировыми и лингвальными вариантами. Согласилась на вторые, так как их вообще невидно. Но к ним сложно привыкать, все-таки языку замки долго мешали, и разговаривать приходилось медленно, чтобы правильно произносить звуки.
Владимир:
Слишком поздно обратил внимание на проблемы с прикусом. Пришлось корректировать его уже во взрослом возрасте, когда ходишь на работу и внешний вид довольно важен. Поэтому выбирал наименее заметные брекеты, чтобы совсем не мешали ежедневному рабочему общению.
Полина:
Родители установили мне такие конструкции на обе челюсти. Пришлось немного помучиться, так как разговаривать было неудобно и от некоторой еды отказывалась. Зато спустя полтора года у меня идеальная улыбка и я не стесняюсь общаться с людьми.
Сравнение с другими типами брекетов
Когда речь заходит о коррекции зубов, выбор типа брекетов становится одним из самых важных решений для пациента. На рынке представлено множество вариантов, включая традиционные металлические, керамические и лингвальные брекеты. Лингвальные конструкции, устанавливаемые на внутренней стороне зубов, становятся все более популярными благодаря своим уникальным преимуществам.
Первое, что стоит отметить, это эстетика. Традиционные металлические брекеты заметны и могут вызывать дискомфорт у пациентов, особенно у подростков и молодых людей, которые стесняются своей улыбки. Лингвальные брекеты, напротив, полностью скрыты от глаз окружающих, что делает их идеальным выбором для тех, кто хочет сохранить свою улыбку в тайне во время лечения.
Кроме того, лингвальные конструкции обеспечивают такой же уровень эффективности, как и традиционные брекеты. Они способны исправлять широкий спектр аномалий прикуса и зубного ряда, включая скученность, открытые прикусы и другие проблемы. Важно отметить, что лечение с использованием лингвальных брекетов может занять немного больше времени, чем с традиционными, но результаты стоят затраченных усилий.
Еще одним важным аспектом является комфорт. Лингвальные брекеты могут вызывать больше дискомфорта в начале лечения, так как они находятся ближе к языку. Однако большинство пациентов быстро привыкают к ним, и со временем дискомфорт уменьшается. В отличие от традиционных брекетов, которые могут натирать щеки и губы, лингвальные конструкции менее заметны в повседневной жизни.
С точки зрения ухода за полостью рта, лингвальные брекеты требуют особого внимания. Из-за их расположения может быть сложнее чистить зубы и использовать зубную нить, что увеличивает риск возникновения кариеса и заболеваний десен. Тем не менее, при соблюдении рекомендаций стоматолога и регулярной гигиене полости рта, можно избежать этих проблем.
Наконец, стоит упомянуть о стоимости. Лингвальные брекеты, как правило, дороже традиционных из-за их индивидуального изготовления и сложности установки. Однако для многих пациентов преимущества, которые они предлагают, оправдывают более высокую цену.
Таким образом, лингвальные конструкции представляют собой отличную альтернативу традиционным брекетам для тех, кто стесняется их внешнего вида. Они обеспечивают высокую эффективность лечения, комфорт и эстетичность, что делает их идеальным выбором для многих пациентов, стремящихся к красивой и здоровой улыбке.
Вопрос-ответ
Что такое лингвальные брекеты и как они работают?
Лингвальные брекеты — это ортодонтические конструкции, которые устанавливаются на внутренней стороне зубов, что делает их практически незаметными. Они работают так же, как и традиционные брекеты, оказывая давление на зубы для их выравнивания, но при этом остаются скрытыми от глаз окружающих.
Какие преимущества имеют лингвальные конструкции по сравнению с обычными брекетами?
Основное преимущество лингвальных брекетов заключается в их эстетике — они не видны при улыбке. Кроме того, они могут быть более комфортными для некоторых пациентов, так как не вызывают раздражения губ и щек. Также лингвальные брекеты могут быть индивидуально изготовлены для каждого пациента, что обеспечивает более точное и эффективное лечение.
Сколько времени занимает лечение с помощью лингвальных брекетов?
Время лечения с использованием лингвальных брекетов зависит от сложности случая и индивидуальных особенностей пациента. В среднем, процесс может занять от 18 до 30 месяцев. Однако точный срок лечения определяет ортодонт после тщательной диагностики и планирования.
Советы
СОВЕТ №1
Перед тем как выбрать лингвальные брекеты, проконсультируйтесь с ортодонтом. Он поможет оценить, подходят ли они именно вам, и объяснит все плюсы и минусы данного метода коррекции зубов.
СОВЕТ №2
Обратите внимание на уход за лингвальными брекетами. Из-за их расположения может быть сложнее поддерживать гигиену полости рта, поэтому используйте специальные щетки и нити для чистки зубов.
СОВЕТ №3
Будьте готовы к некоторому дискомфорту в первые недели после установки лингвальных брекетов. Это нормальная реакция, и со временем вы привыкнете к ним. Если дискомфорт не проходит, обязательно сообщите об этом своему врачу.
СОВЕТ №4
Не забывайте о регулярных визитах к ортодонту для контроля за процессом лечения. Это поможет избежать возможных осложнений и обеспечит эффективное исправление прикуса.
