Амелобластома челюсти — редкая, агрессивная опухоль, способная вызвать серьезные последствия при отсутствии раннего лечения. Первые признаки, такие как отек, боль или изменение формы челюсти, часто игнорируются, но именно в этот период вероятность успешного лечения максимальна. В статье рассмотрим важность немедленного обращения к специалисту при первых симптомах амелобластомы и последствия запущенной формы заболевания.
Что это такое?
Амелобластома – опухоль челюстно-лицевого аппарата, схожая по структуре с зубной эмалью. Увеличение опухоли может деформировать челюстную кость, вызывать расшатывание и потерю зубов, а в редких случаях приводить к злокачественным образованиям и угрозе для мозга.
Эту опухоль также называют адамантиномой или адамантобластомой. В международной классификации болезней (МКБ-10) она имеет код Д16.5 для амелобластомы нижней челюсти, что встречается в 90% случаев. В меньшем количестве случаев опухоль затрагивает верхнюю челюсть и имеет код Д16.4.
Амелобластома чаще всего диагностируется у взрослых в возрасте 20-60 лет, но может возникать и у детей (7% случаев). Она является доброкачественной и формируется из эпителиальных клеток зубных зачатков. Локализация опухоли может быть в любой части челюсти.
Заболевание часто протекает бессимптомно, и опухоль может быть обнаружена только на рентгеновских снимках, сделанных по другим причинам.
Наибольшую угрозу представляет амелобластома верхней челюсти, так как она может разрастаться в черепные кости и затрагивать близлежащие органы (глаза, носовые пазухи, головной мозг). В 4% случаев она может стать злокачественной.
Врачи рекомендуют начинать лечение амелобластомы при первых признаках заболевания. Несмотря на доброкачественный характер, несвоевременное удаление может привести к серьезным осложнениям. Ранняя диагностика и лечение помогают избежать разрушения костной ткани и снижают риск рецидива. Чем раньше начнется терапия, тем легче будет восстановить функции челюсти и эстетический вид. Игнорирование симптомов, таких как отек, боль или изменение формы челюсти, может привести к более сложным вмешательствам в будущем. Поэтому при первых подозрениях на амелобластому важно обратиться к врачу для диагностики и лечения.
Эксперты в области стоматологии и челюстно-лицевой хирургии подчеркивают важность немедленного обращения за медицинской помощью при первых признаках амелобластомы челюсти. Это опухолевое образование, хотя и редкое, может привести к серьезным последствиям, если его не диагностировать и не лечить вовремя. На ранних стадиях амелобластома может проявляться в виде незначительных болей, отеков или изменений в зубах, что часто игнорируется пациентами. Однако, по мнению специалистов, игнорирование этих симптомов может привести к прогрессированию заболевания, увеличению размеров опухоли и распространению на окружающие ткани. Раннее вмешательство позволяет не только сохранить здоровье пациента, но и минимизировать риск осложнений, таких как разрушение костной ткани и необходимость более сложных хирургических процедур. Поэтому важно быть внимательным к своему организму и не откладывать визит к врачу.
https://youtube.com/watch?v=rqMIHhvkpzI
Причины возникновения
- постоянное повреждение и инфицирование слизистой поверхности, например, пломбировочным материалом, краем коронки или протеза;
- оставленные без должного лечения воспалительные процессы челюсти (синусит, периодонтит и пр.);
- различные травмы – переломы, ушибы, вывихи и т. п.;
- табакокурение и другие вредные привычки;
- ионизирующее или радиационное облучение;
- вирусные инфекции и иные заболевания, приводящие к воспалению мягких или твердых тканей.
Врачи говорят о том, что даже недостаток минералов и белков в ежедневном рационе может спровоцировать амелобластому, если к тому была склонность. Но настоящую причину выявить довольно сложно.
| Последствие задержки лечения | Описание | Серьезность последствий |
|---|---|---|
| Рост опухоли | Амелобластома медленно, но постоянно растет, разрушая костную ткань челюсти. | Высокая. Может привести к значительной деформации лица и челюсти. |
| Увеличение сложности хирургического вмешательства | Чем больше опухоль, тем сложнее и обширнее операция по ее удалению, возможно потребуется резекция больших участков кости. | Высокая. Увеличивает риск осложнений и длительность реабилитации. |
| Повреждение окружающих тканей и нервов | Растущая опухоль может повредить нервы, отвечающие за чувствительность лица, кровеносные сосуды и другие важные структуры. | Очень высокая. Может привести к параличу лицевых мышц, нарушению кровоснабжения, постоянной потере чувствительности. |
| Риск рецидива | Неполное удаление опухоли повышает риск ее повторного появления. | Высокая. Требует повторных операций и длительного наблюдения. |
| Метастазирование (в редких случаях) | Хотя амелобластома редко метастазирует, задержка лечения может увеличить этот риск. | Критическая. Может привести к летальному исходу. |
| Психологическое воздействие | Значительная деформация лица и длительный период лечения могут негативно сказаться на психологическом состоянии пациента. | Средняя — Высокая. Может потребовать психологической поддержки. |
Интересные факты
Вот несколько интересных фактов о важности немедленного лечения амелобластомы челюсти:
-
Риск прогрессирования: Амелобластома — это агрессивная опухоль, которая может быстро расти и распространяться на окружающие ткани. Если лечение не начато вовремя, опухоль может достигнуть значительных размеров, что усложнит хирургическое вмешательство и увеличит риск рецидива.
-
Симптоматика и диагностика: Первые признаки амелобластомы могут быть неочевидными и включать легкую боль, отек или изменение формы челюсти. Раннее обращение к стоматологу или челюстно-лицевому хирургу позволяет провести диагностику на ранних стадиях, что значительно повышает шансы на успешное лечение и восстановление.
-
Психологические и функциональные последствия: Амелобластома может не только угрожать физическому здоровью, но и оказывать негативное влияние на качество жизни пациента. Преждевременное лечение может помочь избежать серьезных функциональных нарушений, таких как проблемы с жеванием и речью, а также снизить психологический стресс, связанный с изменениями внешности и состоянием здоровья.
https://youtube.com/watch?v=uDdbM_ZUVH8
Симптомы
Большинство форм амелобластомы протекают без явных симптомов, что делает ее обнаружение возможным только во время профилактического осмотра. В противном случае диагноз ставится на более поздних стадиях, когда опухоль становится заметной. Это приводит к следующим изменениям:
- асимметрия лица из-за смещения кости и окружающих тканей;
- отек в пораженной области, увеличивающийся со временем;
- боли при вовлечении костных тканей;
- расшатывание и смещение зубов;
- хруст при движении челюсти из-за истончения кортикальной пластины;
- образование, напоминающее веретено, при пальпации пораженного участка;
- деформация альвеолярных отростков;
- свищи с выделением гноя.
Амелобластома челюсти — редкая, но опасная опухоль, требующая внимательного подхода. Раннее обращение за медицинской помощью при первых признаках заболевания может значительно улучшить прогноз. Игнорирование симптомов, таких как отек, боль или изменение формы челюсти, может привести к серьезным последствиям и необходимости более сложного лечения. Раннее вмешательство помогает предотвратить распространение опухоли и сохранить функциональность челюсти, что важно для качества жизни. Многие пациенты отмечают, что своевременная диагностика и лечение помогли избежать осложнений и вернуться к привычному образу жизни. Поэтому важно не откладывать визит к врачу при первых тревожных симптомах.
Классификация
Среди всех вариантов развития болезни определяют две основные формы:
- Массивную (солидную) – происходит слияние нескольких кист в одну, а внутри обнаруживается губчатая ткань. На рентгене ее можно и не увидеть. Встречается реже.
- Кистозная – наиболее распространенная. Характеризуется отдельными частичными образованиями с эпителиальной тканью внутри. При этом данные участки могут быть как отдельно стоящими, так и рядом расположенными, даже сросшимися.
- базально-клеточная – сильно похожа на базально-клетчатый рак по структуре пораженных тканей;
- фолликулярная – присутствуют отдельные островки (фолликулы), сформированные эпителиальными клетками, располагаются в строме из соединительной ткани;
- акантоматозная – является плоскоклеточной метаплазией, внутри которой образуется кератин;
- гранулярно-клеточная – содержит большое количество ацидофильных гранул в эпителии;
- плеоморфная – это разветвленная сеть одонтогенных эпителиальных тяжей.
https://youtube.com/watch?v=X0lIb16paHA
Методы диагностики
Диагностика амелобластомы челюсти требует комплексного подхода, который включает в себя как клинические, так и инструментальные методы. Первоначально, при обращении пациента с подозрением на амелобластому, врач-стоматолог проводит тщательный осмотр полости рта, обращая внимание на наличие опухолевидных образований, изменения в слизистой оболочке и возможные деформации челюсти.
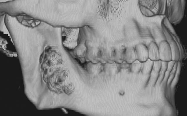
Одним из ключевых методов диагностики является рентгенография. Рентгеновские снимки позволяют выявить характерные изменения в костной ткани челюсти, такие как резорбция костной массы и наличие кистозных образований. Важно отметить, что амелобластома может проявляться в виде остеолитических поражений, что делает рентгенографию важным инструментом для предварительной оценки состояния пациента.
Для более детального изучения структуры опухоли и ее границ может быть использована компьютерная томография (КТ). Этот метод позволяет получить послойные изображения челюсти, что помогает в определении размеров и распространенности опухоли, а также в планировании хирургического вмешательства. КТ особенно полезна для оценки вовлеченности окружающих тканей и структур, таких как нервы и сосуды.
Дополнительно, магнитно-резонансная томография (МРТ) может быть применена для более точной оценки мягкотканевых компонентов опухоли и ее взаимодействия с окружающими структурами. МРТ предоставляет информацию о внутренней структуре образования, что может быть критически важным для определения тактики лечения.
Лабораторные исследования также играют важную роль в диагностике амелобластомы. Биопсия опухоли позволяет получить образец ткани для гистологического анализа, что помогает подтвердить диагноз и определить тип опухоли. Гистологическое исследование может выявить характерные клетки амелобластомы, что является ключевым моментом для выбора дальнейшей стратегии лечения.
Таким образом, диагностика амелобластомы челюсти включает в себя многоступенчатый процесс, который сочетает в себе клинические наблюдения, рентгенографические и томографические исследования, а также лабораторные анализы. Ранняя и точная диагностика является залогом успешного лечения и минимизации возможных осложнений, что подчеркивает важность немедленного обращения к специалисту при первых признаках заболевания.
Вопрос-ответ
Какое лечение амелобластомы является наиболее подходящим?
Лечение амелобластомы обычно включает хирургическое удаление опухоли. Амелобластома часто прорастает в соседнюю челюстную кость, поэтому хирургам может потребоваться удалить поражённую часть челюсти. Агрессивный подход к хирургическому лечению снижает риск рецидива амелобластомы.
Как лечится Амелобластома нижней челюсти?
Лечение амелобластомы лечится путем хирургического удаления пораженных челюстных тканей, объем которых обусловлен локализацией и запущенностью патологии. При обнаружении заболевания на ранней стадии современные методы оперативного вмешательства позволяют минимизировать вмешательство в челюстно-лицевые структуры.
Какова этиология амелобластомы?
Причины развития амелобластомы. Точные причины появления амелобластомы не установлены. По одной из версий она возникает из-за патологии развития зубного зачатка, по другой — происходит из одонтогенных эпителиальных остатков (островков Малассе).
Советы
СОВЕТ №1
Не откладывайте визит к врачу. При первых признаках амелобластомы, таких как опухоль, боль или изменение формы челюсти, важно немедленно обратиться к стоматологу или челюстно-лицевому хирургу для диагностики и начала лечения.
СОВЕТ №2
Регулярно проходите стоматологические осмотры. Профилактические осмотры помогут выявить проблемы на ранних стадиях, что значительно увеличит шансы на успешное лечение амелобластомы.
СОВЕТ №3
Обсуждайте свои симптомы с врачом. Не стесняйтесь задавать вопросы и делиться всеми беспокойствами, связанными с вашим состоянием. Чем больше информации у врача, тем более точный диагноз и эффективное лечение он сможет предложить.
СОВЕТ №4
Изучите информацию о заболевании. Понимание амелобластомы, ее симптомов и методов лечения поможет вам принимать более обоснованные решения и активно участвовать в процессе лечения.
