Пародонтоз — хроническое заболевание десен, способное привести к потере зубов и серьезным проблемам с полостью рта при отсутствии диагностики и лечения. В статье рассмотрим основные симптомы пародонтоза и эффективные методы его лечения, что поможет читателям понять свое состояние и предпринять шаги для сохранения здоровья зубов и десен. Знание признаков и способов борьбы с этой болезнью важно для профилактики и своевременного обращения к стоматологу.
Пародонтоз: описание заболевания и что это такое?
Пародонтоз — стоматологическое заболевание, затрагивающее периодонтальные структуры вокруг зубов. Пародонт включает связочный аппарат, костные перегородки и мягкие ткани десен.
Атрофические изменения в мягких тканях развиваются постепенно, что приводит к разрушению челюстных костей и снижению стабильности зубов.
На ранних стадиях симптомы пародонтоза могут быть едва заметны, и пациент часто не подозревает о проблеме, узнавая о ней только на приеме у стоматолога. Главная особенность — отсутствие воспалительных процессов: гиперемия и кровоточивость отсутствуют, наблюдается лишь уменьшение объема десен и костной ткани.
Поражение зубов пародонтозом начинается задолго до появления первых признаков. Точные причины его возникновения определить сложно.
Врачи подчеркивают, что пародонтоз — серьезное заболевание, требующее внимательного подхода. Основные симптомы: кровоточивость десен, неприятный запах изо рта и подвижность зубов. На начальных стадиях пациенты могут не замечать изменений, что затрудняет диагностику. Специалисты рекомендуют регулярно проходить профилактические осмотры у стоматолога для раннего выявления заболевания.
Методы лечения пародонтоза разнообразны и зависят от степени запущенности. Врач может рекомендовать профессиональную чистку зубов, антисептические растворы и специальные гели. В более сложных случаях может потребоваться хирургическое вмешательство. Успешное лечение невозможно без изменения образа жизни: соблюдение гигиенических норм, правильное питание и отказ от курения играют ключевую роль в восстановлении здоровья десен.
Эксперты в области стоматологии подчеркивают, что пародонтоз является серьезным заболеванием, которое требует внимательного отношения. Основными симптомами болезни являются кровоточивость десен, неприятный запах изо рта, а также подвижность зубов. На начальных стадиях пародонтоз может проявляться незначительными дискомфортом, однако без должного лечения он может привести к потере зубов.
Методы лечения пародонтоза варьируются в зависимости от стадии заболевания. Врач может рекомендовать профессиональную чистку зубов, использование антисептических растворов и специальных зубных паст. В более запущенных случаях может потребоваться хирургическое вмешательство для восстановления десен. Важно, что регулярные профилактические осмотры у стоматолога и соблюдение гигиенических норм могут значительно снизить риск развития пародонтоза. Эксперты настоятельно рекомендуют не игнорировать первые признаки заболевания и обращаться за помощью к специалистам.
https://youtube.com/watch?v=dzs8yqDTBbw
Стадии
Классификация пародонтоза производится на основании нескольких критериев: как он распространен, как происходит течение заболевания и какие виды существуют.
► По расположению:
- Локализованная форма – рецессия десны и костная убыль отмечаются в одном сегменте, или даже на одном зубе, при этом остальные участки не имеют признаков заболевания.
- Генерализованная – разлитое пародонтозное разрушение, которое затрагивает все зубы.
► Формы течения:
- Острая форма – стадия болезни, которая редко обнаруживается по причине того, что пародонтоз не относится к воспалительным процессам и очень редко встречается в качестве самостоятельной болезни.
- Хроническая – наиболее распространенный вариант, который наблюдается среди пациентов. При этом происходит стандартное проявление заболевания, его длительное и вялое течение.
► Стадии пародонтоза:
- Легкая степень – начинается незаметно, поэтому иногда больной может ее не обнаружить. Является начальной стадией болезни, при которой проявляются единичные признаки. Возникающая рецессия часто незаметна из-за укрывающих шейку зуба камней.
- Средняя – патологическое опущение десны, заметное невооруженным глазом. Это стадия, на которой пациент замечает характерные признаки заболевания, при этом возникает подвижность зубов, а также образуются большие щели между ними.
- Тяжелая – запущенное состояние периодонта, при котором зубы фиксируются в лунке только за счет мягких тканей, так как костные перегородки рассосались более трех четвертей своей высоты.
Если вы наблюдаете у себя воспаление десны около зуба, то немедленно нужно понять что это за недуг и какие есть методы лечения.
| Симптом пародонтоза | Стадия заболевания | Методы лечения |
|---|---|---|
| Кровоточивость десен при чистке зубов | Начальная | Профессиональная чистка зубов (снятие зубного камня и налета), обучение правильной гигиене полости рта, использование ополаскивателей |
| Припухлость и покраснение десен | Легкая | Профессиональная чистка, обучение гигиене, местное применение противовоспалительных средств (гели, мази) |
| Образование пародонтальных карманов (глубина более 3 мм) | Средняя | Профессиональная чистка, кюретаж (удаление воспаленной ткани из пародонтальных карманов), антибактериальная терапия (системная или местная) |
| Подвижность зубов | Тяжелая | Хирургическое лечение (лоскутные операции, костная пластика), шинирование зубов, в некоторых случаях – удаление зубов |
| Гнойные выделения из пародонтальных карманов | Тяжелая | Антибактериальная терапия, хирургическое лечение, возможно – системная антибиотикотерапия |
| Увеличение расстояния между зубами | Тяжелая | Ортодонтическое лечение (исправление прикуса), протезирование |
| Рецессия десны (отступ десны от зуба) | Любая стадия | Хирургическое лечение (лоскутные операции, трансплантация десны), улучшение гигиены полости рта |
| Неприятный запах изо рта (галитоз) | Любая стадия | Профессиональная чистка, лечение пародонтита, использование ополаскивателей |
| Боль и дискомфорт в деснах | Любая стадия | Лечение основного заболевания, обезболивающие средства, противовоспалительные средства |
Интересные факты
Вот несколько интересных фактов о пародонтозе, его симптомах и методах лечения:
-
Скрытые симптомы: Пародонтоз может развиваться без явных симптомов на ранних стадиях. Многие люди не замечают проблемы, пока не появятся такие признаки, как кровоточивость десен, неприятный запах изо рта или подвижность зубов. Это подчеркивает важность регулярных стоматологических осмотров для раннего выявления заболевания.
-
Связь с общим здоровьем: Исследования показывают, что пародонтоз может быть связан с другими заболеваниями, такими как диабет, сердечно-сосудистые заболевания и даже болезни Альцгеймера. Воспаление десен может способствовать системным воспалительным процессам, что делает лечение пародонтоза важным не только для здоровья полости рта, но и для общего состояния организма.
-
Современные методы лечения: В последние годы в стоматологии появились новые методы лечения пародонтоза, такие как лазерная терапия и регенеративные процедуры, которые помогают восстановить ткани десен и зубов. Лазерная терапия, например, позволяет минимизировать дискомфорт и ускорить процесс заживления, что делает лечение более эффективным и менее болезненным для пациентов.
https://youtube.com/watch?v=eR7B7O54MGM
Причины возникновения
На вопрос о причинах пародонтоза нельзя дать однозначный ответ. Изучение его этиологии и патогенеза вызывает интерес у специалистов, так как понимание этих процессов может привести к эффективным решениям.
Пародонтоз считается недостаточно изученным заболеванием, однако можно выделить некоторые факторы его развития. Значительное влияние оказывает наследственная предрасположенность, так как пародонтоз может передаваться по наследству.
Разрушение пародонта не наблюдается у абсолютно здоровых людей. Обычно этому предшествуют нарушения в организме, такие как нехватка витаминов, ухудшение питания тканей или наличие заболеваний.
- Системные заболевания, как наследственные, так и приобретенные;
- Нарушения в эндокринной системе, изменяющие уровень гормонов щитовидной железы, могут привести к разрушению пародонтального аппарата и потере костной ткани;
- Авитаминоз негативно сказывается на питании мягких тканей ротовой полости;
- Сахарный диабет влияет на состояние сосудов;
- Вредные привычки, такие как курение и алкоголизм, вызывают ишемию сосудов, способствуя развитию пародонтоза;
- Травмы от некачественных ортопедических конструкций, ушибы и вывихи;
- Длительные иммунные нарушения;
- Неправильный прикус;
- Заболевания сердечно-сосудистой и желудочно-кишечной систем;
- Психо-эмоциональные расстройства.
Пародонтоз вызывает беспокойство у многих. Симптомы варьируются от легкого дискомфорта до серьезных проблем с деснами. Часто пациенты отмечают кровоточивость десен, неприятный запах изо рта и подвижность зубов. Если не начать лечение вовремя, это может привести к потере зубов.
Методы лечения пародонтоза разнообразны и зависят от стадии заболевания. На ранних этапах важно наладить гигиену полости рта и регулярно посещать стоматолога для профессиональной чистки. В более запущенных случаях могут потребоваться медикаменты и хирургические вмешательства для восстановления здоровья десен. Комплексный подход к лечению, включая изменение рациона и отказ от курения, значительно улучшает состояние. Ранняя диагностика и регулярные профилактические меры являются ключом к успешному лечению пародонтоза.
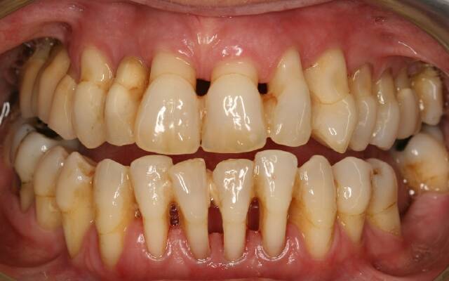
Фото
Симптомы пародонтоза
Клинические проявления пародонтоза зависят от стадии и тяжести заболевания. На начальных этапах симптомы могут быть едва заметными, но со временем усиливаются, создавая проблемы для пациента.
- Легкая степень – симптомы пародонтоза минимальны. Пациенты иногда ощущают зуд и жжение в деснах. Стоматолог может выявить минерализованные отложения на зубах, а после их удаления становятся видимыми участки рецессии десны на 1-2 мм. Рентген не показывает изменений в костной структуре.
- Средняя степень – рецессия десен достигает 3-4 мм. Пациенты часто жалуются на зуд и повышенную чувствительность оголенных корней, что приводит к обращениям к врачу. Расстояние между зубами увеличивается из-за рассасывания костных перегородок до одной трети. На рентгенограмме видны сглаженные вершины альвеолярных перегородок, указывающие на деструктивные изменения.
- Тяжелая степень – зубы выступают из десны более чем наполовину. Наблюдается значительная подвижность зубов из-за атрофии костных перегородок. Промежутки между зубами увеличиваются, что способствует накоплению остатков пищи и образованию зубного камня. Это последняя стадия, которая может привести к потере зубов. На рентгеновских снимках видно неравномерное сглаживание костных перегородок.
Одной из особенностей пародонтоза, отличающей его от пародонтита, является отсутствие воспалительных симптомов на всех стадиях. Десны сохраняют бледно-розовый цвет и могут не иметь патологических зубодесневых карманов.
Диагностика
При обнаружении признаков рецессии десны и возникновении подвижности, больной должен обратиться за помощью к пародонтологу. После стоматологического осмотра и проведения профессиональной гигиены, доктор назначает обследование у терапевта для детального изучения имеющихся заболеваний в организме.
Не стоит удивляться тому, что стоматолог задает много вопросов, не касающихся состояния полости рта, ведь часто пародонтоз относится к сопутствующим болезням, а основной источник проблем кроется совершенно в другом месте.
Для точного установления диагноза врач проводит дифференциальную диагностику имеющихся клинических проявлений с симптоматикой других заболеваний, таких как:
- Гингивит.
- Пародонтит.
Гингивит характеризуется выраженным воспалением десен, проявляющимся гиперемией, кровоточивостью, а также болевым синдромом. Однако при всей тяжести заболевания, деструкции челюстной кости не происходит. Это значит, что болезнь затрагивает только мягкие ткани десны. В отличие от пародонтоза, зубы остаются устойчивыми.
Пародонтит, как и пародонтоз, характеризуется усилением подвижности зубов. Но первый относится к заболеваниям воспалительного генеза, вызванного инфекционным заражением. Помимо того, что десны становятся рыхлыми и кровоточащими, образуются пародонтальные карманы, в которых может развиваться нагноение.
Лечение пародонтоза
Полное избавление от пародонтоза невозможно, а существующие методы лишь замедляют его прогрессирование и продлевают срок сохранности зубов.
Единственный метод терапии не даст ожидаемого результата. Комплексный подход к лечению необходим для стабилизации состояния.
- Первый этап – выявление причины. Для устранения негативного воздействия нужно провести полное обследование и определить сопутствующие заболевания. Пародонтоз затрагивает не только десны и зубы, но и может быть связан с заболеваниями внутренних органов, проявляющимися в ротовой полости.
- Второй этап – профессиональная гигиеническая чистка. Накопление зубного камня создает давление на десны, ускоряя рецессию. Отложения на зубах мешают эффективному проникновению лекарств в мягкие ткани.
- Третий этап – освоение навыков гигиены. Правильное использование зубной щетки и пасты обеспечивает качественное очищение зубов. Игнорирование рекомендаций стоматолога может ухудшить состояние десен, привести к клиновидным дефектам и накоплению вредных микроорганизмов.
- Четвертый этап – соблюдение рекомендаций врача. Для устойчивой стабилизации процесса применяются медикаментозные, физиотерапевтические и хирургические методы.
Видео: народный рецепт лечения пародонтоза.
https://youtube.com/watch?v=48kqSn4YD6g
Медикаментозное
Применение медицинских препаратов, в особенности на ранней стадии, способно остановить заболевание и не позволить ему прогрессировать. Назначаемые лекарства способствуют трофике тканей за счет улучшения кровообращения.
- гепариновая мазь – средство, разжижающее кровь, которое благоприятствует улучшению сосудистой циркуляции крови;
- троксевазин – препарат, обладающий противоотечным и сосудоукрепляющим эффектом, который нашел применение и в стоматологии;
- холисал – гель, применяемый для местного лечения в стоматологии. Его втирают в ткани пародонта два раза в день, а длительность применения определяется степенью тяжести болезни;
- элюгель – препарат, в основе которого находится хлоргексидин;
- солкосерил – адгезивная паста, применяемая для местного лечения. Втирание в десны или фиксация под повязку способствуют оздоровлению мягких тканей.
Профилактика пародонтоза
Профилактика пародонтоза играет ключевую роль в поддержании здоровья десен и зубов. Основные меры, направленные на предотвращение этого заболевания, включают в себя регулярную гигиену полости рта, правильное питание и регулярные посещения стоматолога.
Регулярная гигиена полости рта является основой профилактики пародонтоза. Рекомендуется чистить зубы не менее двух раз в день с использованием фторсодержащей зубной пасты. Также важно использовать зубную нить или межзубные щетки для удаления остатков пищи и налета из труднодоступных мест. Дополнительно, использование антисептических ополаскивателей для рта может помочь в борьбе с бактериями, вызывающими воспаление десен.
Правильное питание также способствует профилактике пародонтоза. Рацион, богатый витаминами и минералами, особенно витаминами C и D, помогает укрепить десны и поддерживать здоровье зубов. Избегание избыточного потребления сахара и кислых продуктов снижает риск развития кариеса и воспалительных процессов в полости рта.
Регулярные посещения стоматолога являются важной частью профилактики пародонтоза. Рекомендуется проходить профессиональную чистку зубов и осмотр у стоматолога не реже двух раз в год. Специалист сможет выявить ранние признаки заболевания и предложить соответствующее лечение, что поможет предотвратить его дальнейшее развитие.
Отказ от вредных привычек, таких как курение, также существенно снижает риск развития пародонтоза. Курение негативно влияет на кровоснабжение десен и замедляет процесс заживления, что делает десны более уязвимыми к инфекциям.
В заключение, профилактика пародонтоза требует комплексного подхода, включающего в себя регулярную гигиену, правильное питание, регулярные визиты к стоматологу и отказ от вредных привычек. Соблюдение этих рекомендаций поможет сохранить здоровье десен и предотвратить развитие пародонтоза.
Вопрос-ответ
Какие основные симптомы пародонтоза?
Основные симптомы пародонтоза включают кровоточивость десен, их отечность и покраснение, неприятный запах изо рта, а также подвижность зубов. На более поздних стадиях может наблюдаться рецессия десен и образование карманов между деснами и зубами.
Каковы основные методы лечения пародонтоза?
Лечение пародонтоза может включать профессиональную чистку зубов, использование антисептических растворов, а также медикаментозную терапию, направленную на устранение воспаления. В некоторых случаях может потребоваться хирургическое вмешательство для восстановления десен и зубов.
Как предотвратить развитие пародонтоза?
Профилактика пародонтоза включает регулярную гигиену полости рта, использование зубной нити, посещение стоматолога не реже двух раз в год для профессиональной чистки и осмотра, а также отказ от курения и соблюдение здорового питания.
Советы
СОВЕТ №1
Регулярно посещайте стоматолога для профилактических осмотров. Раннее выявление пародонтоза поможет предотвратить его прогрессирование и сохранить здоровье десен.
СОВЕТ №2
Обратите внимание на гигиену полости рта. Чистите зубы дважды в день и используйте зубную нить, чтобы удалить налет и остатки пищи из труднодоступных мест.
СОВЕТ №3
Следите за своим питанием. Употребление продуктов, богатых витаминами C и D, а также кальцием, может укрепить десны и улучшить общее состояние полости рта.
СОВЕТ №4
Избегайте курения и чрезмерного употребления алкоголя, так как эти факторы могут усугубить состояние десен и способствовать развитию пародонтоза.


