Отслойка сетчатки — серьезное офтальмологическое состояние, способное привести к потере зрения без своевременной диагностики и лечения. В статье рассмотрим причины, симптомы и методы лечения отслойки сетчатки, а также важность раннего обращения к врачу. Понимание этого заболевания поможет читателям быть внимательнее к своему зрению и реагировать на тревожные сигналы, что может сохранить зрительные функции и качество жизни.
Что такое отслойка сетчатки?
Сетчатка находится внутри глазного яблока и отвечает за восприятие света, преобразуя его в нервные импульсы, которые направляются в мозг.
Сетчатка покрывает внутреннюю поверхность глазного яблока, а ее нервные клетки преобразуют световые сигналы в импульсы, передаваемые в мозг через зрительный нерв.
Отслойка сетчатки — серьезное заболевание, требующее срочного вмешательства. Вероятность отслоения связана с особенностями ее строения: в задней части расположены 10 слоев, и свет должен пройти через них, прежде чем достигнет фоторецепторов — специализированных клеток, воспринимающих свет.
Отслойка сетчатки — это отделение слоя фоторецепторных клеток (палочек и колбочек) от наружного слоя, пигментного эпителия, из-за накопления жидкости между ними. Это нарушает питание наружных слоев сетчатки и может привести к быстрой потере зрения.
1 — сетчатка прилежит 2 — пузырь отслоенной сетчатки 3 — граница здоровой и отслоенной сетчатки
При отслойке сетчатки внутриглазная жидкость проникает под ее слои, что прекращает их питание и может привести к слепоте.
Врачи подчеркивают, что отслойка сетчатки требует немедленного вмешательства. Ранняя диагностика важна, так как своевременное обращение к офтальмологу может спасти зрение. Симптомы, такие как вспышки света, плавающие пятна или затуманенное зрение, должны вызывать беспокойство. Рекомендуются регулярные обследования, особенно для людей с предрасположенностью к этому заболеванию, например, при близорукости или травмах глаз. Лечение может включать хирургические методы, такие как витрэктомия или лазерная коагуляция. Успех во многом зависит от скорости реакции и квалификации медицинского персонала.
Отслойка сетчатки является серьезным состоянием, требующим немедленного медицинского вмешательства. Эксперты подчеркивают, что ранняя диагностика и лечение играют ключевую роль в сохранении зрения. Симптомы, такие как вспышки света, плавающие пятна или затенение в поле зрения, должны насторожить пациента и побудить его обратиться к врачу. Врачи отмечают, что факторы риска, включая близорукость, травмы глаза и возраст, могут значительно увеличить вероятность отслойки. Современные методы лечения, такие как лазерная коагуляция и витрэктомия, демонстрируют высокую эффективность, однако успех зависит от стадии заболевания. Поэтому регулярные осмотры у офтальмолога являются важной частью профилактики.
https://youtube.com/watch?v=ITJGJIOHaoo
Какие бывают отслойки и почему?
В зависимости от причин, которые вызывают отслоение сетчатки, офтальмологи выделяют несколько типов отслоек. Точное определение причин этого заболевания позволяет правильно выбрать тактику лечения пациента. Различают 5 видов отслоек сетчатки:
- Регматогенная (от греч. rhegma —разрыв) отслойка сетчатки, называемая также первичной, идиопатической, связана с наличием разрыва сетчатки, через который под нее проникает жидкость из стекловидного тела. Основной механизм формирования разрыва связан с истончением сетчатки в зоне такназываемых дистрофий. В таком случае отслойку называют дистрофической. Существует большое количество разновидностей дистрофий сетчатки: решетчатая, кистевидная, ретиношисиз и т.д. В дегенеративно измененной сетчатке разрыв может возникнуть при резких движениях, физическом напряжении или даже спонтанно.
- Тракционная отслойка сетчатки происходит при натяжении (тракции), которое испытывает сетчатка со стороны стекловидного тела из-за образования в результате фибринозных тяжей или новообразованных сосудов, которые врастают в стекловидное тело (например, при диабетической ретинопатии).
- Травматическая отслойка сетчатки связана с травмой глаза. Отслойка может возникнуть как непосредственно в момент травмы или непосредственно после нее, так и в течение нескольких лет. Отслойка сетчатки, возникшая как осложнение в результате хирургического вмешательства, также относится к разряду травматических.
- Вторичная отслойка является следствием различных заболеваний и патологических состояний глаза: новообразований, воспалительных заболеваний сосудистой оболочки глаза и сетчатки, кровоизлияний и тромбозов, диабетической ретинопатии, ретинопатии недоношенных, серповидно-клеточной анемии и др.
- Экссудативная отслойка, или серозная, возникает, когда в результате какого-либо патологического процесса под сетчаткой начинает накапливаться жидкость, при этом в самой сетчатке никакого разрыва не образуется.
1 — отслойка сетчатки 2 — спайка стекловидного тела тянет сетчатку 3 — внутриглазная жидкость под сетчаткой 4 — диск зрительного нерва 5 — стекловидное тело
Образовавшиеся в стекловидном теле спаечные тяжи крепятся к сетчатке, сокращаясь, они образуют разрывы, под которые попадает внутриглазная жидкость и отслаивает сетчатку
Таким образом, риск отслойки сетчатки увеличивается при близорукости, наличии дистрофий сетчатки, перенесенных операций на глазах, травмах глаза, сахарном диабете, сосудистых заболеваниях. Специалисты также классифицируют отслойку сетчатки по степени распространенности: локальную, распространенную, субтотальную, тотальную; по виду – плоскую, высокую, пузыревидную; по давности выделяют свежую, несвежую и старую отслойки.
| Симптом | Описание | Возможные причины |
|---|---|---|
| Внезапное появление «завесы» или «шторы» перед глазом | Потеря части поля зрения, как будто что-то закрывает часть изображения. | Отслойка сетчатки, кровоизлияние в стекловидное тело, тромбоз центральной вены сетчатки. |
| Появление «мушек» или «плавающих точек» перед глазом | Мелкие точки или нити, перемещающиеся в поле зрения. | Отслойка сетчатки, кровоизлияние в стекловидное тело, разрыв сетчатки. |
| Искажение зрения | Предметы могут казаться искаженными или деформированными. | Отслойка сетчатки, макулярный отек, дистрофия сетчатки. |
| Вспышки света | Внезапные вспышки света в поле зрения. | Отслойка сетчатки, разрыв сетчатки, тяжение стекловидного тела. |
| Потеря периферического зрения | Ухудшение зрения по краям поля зрения. | Отслойка сетчатки, глаукома. |
| Потеря центрального зрения | Ухудшение зрения в центре поля зрения. | Отслойка сетчатки (в случае отслойки макулы), макулярная дегенерация. |
Интересные факты
Вот несколько интересных фактов о отслойке сетчатки:
-
Симптомы и ранняя диагностика: Одним из первых симптомов отслойки сетчатки может быть появление «мушек» или вспышек света в поле зрения. Эти симптомы могут указывать на то, что сетчатка начинает отделяться, и ранняя диагностика может спасти зрение.
-
Причины отслойки: Отслойка сетчатки может быть вызвана различными факторами, включая травмы глаза, возрастные изменения, миопию (близорукость) и даже некоторые заболевания, такие как диабет. У людей с высокой степенью миопии риск отслойки сетчатки значительно увеличивается.
-
Методы лечения: Существует несколько методов лечения отслойки сетчатки, включая лазерную терапию, криотерапию и хирургическое вмешательство. В некоторых случаях, если отслойка обнаружена на ранней стадии, можно обойтись менее инвазивными методами, что значительно увеличивает шансы на восстановление зрения.
https://youtube.com/watch?v=2zT1yaegzEE
Клинические симптомы при отслойке сетчатки
Предвестниками отслойки сетчатки являются световые вспышки (фотопсии) и искажение прямых линий (метаморфопсии). При разрыве сосудов сетчатки пациент может заметить множество «мушек» или черных точек перед глазами.
При отслойке сетчатки возникает темная тень, напоминающая занавеску, которая затмевает зрение. Визуальные функции ухудшаются быстро. Некоторые пациенты отмечают временное улучшение остроты и поля зрения по утрам.
1 — нормальное изображение 2 — черная завеса в поле зрения при отслойке сетчатки
У человека с отслоенной сетчаткой появляется черная завеса, закрывающая часть поля зрения в пораженном глазу, что может привести к полной потере зрения.
Отслойка сетчатки — серьезное заболевание, вызывающее страх и неопределенность у пациентов. Внезапное появление черных точек или «занавески» вызывает панические настроения. Многие быстро обращаются к врачу, осознавая важность ранней диагностики. Некоторые делятся переживаниями во время операций и подчеркивают необходимость следовать рекомендациям специалистов после лечения. Поддержка близких и информация о заболевании помогают справиться с тревогой. Обсуждение отслойки сетчатки акцентирует внимание на значимости осведомленности и своевременной медицинской помощи.
Диагностика отслойки сетчатки
Если есть подозрение на отслойку сетчатки, требуется всестороннее обследование пациента. Ранняя диагностика отслойки сетчатки позволяет предотвратить неизбежную потерю зрения.
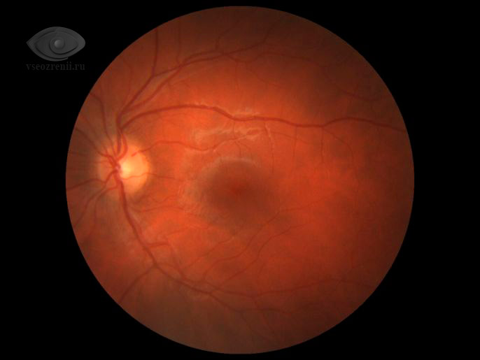
Особая роль в диагностике отслойки принадлежит методу офтальмоскопии – осмотру глазного дна – с помощью различных методик. При офтальмоскопии определяется степень распространенности отслойки, ее форма, локализуются разрывы, дистрофические участки.
Глазное дно можно осмотреть с помощью специальных бесконтактных и контактных линз, при помощи прямого и непрямого налобного офтальмоскопа. Комбинация всех возможных методик исследования и многократный осмотр глазного дна в горизонтальном и вертикальном положении позволяет получить наиболее полную информацию.
Офтальмоскопически отслойка сетчатки проявляется исчезновением на каком-либо участке нормального красного рефлекса глазного дна, который в зоне отслойки становится серовато-беловатым. При небольшой высоте отслойки судить о ее наличии можно лишь по изменению хода сосудов и меньшей четкости сосудистой оболочки.
При высокой отслойке виден беловато-сероватый пузырь, который слегка колышется при движении глаз. При старой отслойке в сетчатке возникают грубые складки, звездчатые рубцы. Отслоенная сетчатка становится неподвижной, ригидной.
Разрывы сетчатки имеют красный цвет и разную форму. Вид, локализация и размер разрыва во многом определяют скорость распространения отслойки сетчатки и перспективы лечения. Так, при расположении разрывов в верхней половине глазного дна отслойка, как правило, прогрессирует значительно быстрее, чем при нижних разрывах. Если разрыв расположен в нижней половине глазного дна, течение заболевания более медленное и благоприятное.
https://youtube.com/watch?v=75EU7eEmPs8
Обследование при отслойке сетчатки
При диагностике отслойки сетчатки применяются различные методы обследования. Если осмотр глазного дна затруднен из-за помутнения хрусталика, используется ультразвуковое исследование. Электрофизиологические тесты оценивают функциональные возможности сетчатки при наличии старой отслойки.
При подозрении на отслойку полезно измерение внутриглазного давления: обычно наблюдается умеренное снижение в пораженном глазу по сравнению со здоровым.
Также проводится периметрия. Изменения в поле зрения зависят от локализации и распространенности отслойки, а также от вовлечения центральной (макулярной) области. Выпадения в поле зрения возникают на стороне, противоположной месту расположения отслойки.
Методы лечения
Отслойка сетчатки это заболевание, которое требует срочного лечения. При длительно существующей отслойке сетчатки развивается стойкая гипотония глазного яблока, катаракта, хронический иридоциклит, субатрофия глазного яблока и неизлечимая слепота. Основная задача при лечении отслойки — сближение слоев сетчатки. При наличии разрыва необходимо его блокировать.
Все методы хирургии отслойки сетчатки делятся на экстрасклеральные, когда вмешательство производится на поверхности склеры и эндовитреальные (вмешательство проводится изнутри глазного яблока).
1 — витректор 2 — световод 3 — стекловидное тело 4 — сетчатка
Самым современным способом лечения отслойки сетчатки является витрэктомия – удаление стекловидного тела с временным введением в полость глаза силиконового масла или газа для обеспечения прилегания отслойки сетчатки
Эндовитреальная хирургия — это операции, выполняемые со стороны полости глаза. При выполнении эндовитреального вмешательства доступ к полости стекловидного тела и сетчатке обеспечивается через три разреза склеры длиной менее 1 мм, через которые вводятся осветитель, инструмент и раствор для поддержания тонуса глазного яблока.
Сначала производят витрэктомию — удаление стекловидного тела. Для того чтобы расправить и придавить сетчатку к подлежащим оболочкам глаза, вводят расширяющиеся газы, перфторорганические соединения (имеют большой удельный вес – «тяжелая вода») или силиконовое масло. После этого также может производиться лазеркоагуляция сетчатки.
Иногда требуется длительная тампонада полости стекловидного тела, для чего используют газ и силиконовое масло. Газовый пузырь рассасывается около 2 недель, иногда месяц и более (в зависимости от используемого газа и его концентрации), постепенно уменьшается в объеме и замещается внутриглазной жидкостью. Силиконовое масло обычно удаляется из глаза через 2-3 месяца, иногда позже.
Пломбирование склеры: сближение слоев сетчатки происходит за счет создания участка вдавления склеры извне. В проекции разрыва сетчатки к склере посредством швов прикрепляется силиконовая полоска (пломба) нужного размера. При этом склера под полоской вдавливается внутрь, склера и сосудистая оболочка приближаются к сетчатке, созданный вал вдавления блокирует разрыв, а жидкость, скопившаяся под сетчаткой, постепенно рассасывается.
В зависимости от вида и локализации разрыва, положение пломб может быть различным (радиальным, секторальным или циркулярным). Иногда применяют циркляж — круговое вдавление эластичной силиконовой нитью или тесьмой в области экватора глазного яблока. В ряде случаев при большом объеме скопившейся субретинальной жидкости может потребоваться ее удаление (дренирование) через небольшой прокол склеры.
Баллонирование склеры. Операция заключается во временном подведении к склере в зоне проекции разрыва специального катетера с баллоном. При нагнетании в баллон жидкости он увеличивается в объеме, создавая такой же эффект вдавления склеры, какой получается при операции пломбирования.
Баллонирование позволяет добиться рассасывания субретинальной жидкости и провести отграничительную лазеркоагуляцию сетчатки. После формирования спаек сетчатки с подлежащими тканями баллон удаляется. Операция баллонирования менее травматична, но имеет довольно ограниченный спектр показаний.
Эффект экстрасклеральных операций может быть закреплен диатермо-, фото-, лазеркоагуляцией и криопексией по границам участка отслойки, которые проводятся со стороны полости глаза траспупиллярно (через зрачок) или транссклерально. Эти методы вызывают спаечные процессы вокруг разрывов и таким образом фиксируют сетчатку.
Прогноз для зрения зависит от давности отслойки сетчатки, локализации разрывов, состояния стекловидного тела. Оптимальный срок операции — не более 2 месяцев с момента отслоения сетчатки. Больные, оперированные по поводу отслойки сетчатки, должны находиться под диспансерным наблюдением офтальмолога и избегать физических перегрузок.
Профилактика отслойки сетчатки
Основной мерой профилактики является обращение к офтальмологу при первых признаках отслойки сетчатки и регулярные осмотры для людей с факторами риска.
После травмы глаза необходимо полное офтальмологическое обследование. Осмотр беременных женщин и профилактическая лазерная коагуляция могут предотвратить отслойку сетчатки во время родов. Пациентам с высокой близорукостью, дистрофическими изменениями сетчатки или тем, кто перенес операцию по отслойке, следует избегать контактных видов спорта и подъема тяжестей.
Последствия и прогноз после лечения отслойки сетчатки
Отслойка сетчатки является серьезным заболеванием, которое может привести к потере зрения, если не будет своевременно диагностировано и лечено. После проведения лечения, последствия и прогноз зависят от нескольких факторов, включая степень отслойки, время, прошедшее с момента ее возникновения, и эффективность проведенной терапии.
Одним из наиболее распространенных последствий отслойки сетчатки является снижение остроты зрения. В некоторых случаях, даже после успешного хирургического вмешательства, пациенты могут испытывать затуманенность зрения или его ухудшение. Это может быть связано с повреждением фоторецепторов или других структур сетчатки во время отслойки.
Также возможно развитие осложнений, таких как образование катаракты, особенно если операция проводилась у пожилых людей. Катаракта может потребовать дополнительного хирургического вмешательства для восстановления нормального зрения.
Прогноз после лечения отслойки сетчатки варьируется. Если отслойка была обнаружена на ранней стадии и лечение было проведено своевременно, вероятность восстановления зрения значительно возрастает. В таких случаях многие пациенты могут ожидать улучшения остроты зрения до уровня, близкого к нормальному.
Однако, если отслойка была запущенной или произошли осложнения, восстановление может быть менее успешным. В некоторых случаях пациенты могут столкнуться с постоянным снижением зрения или даже полной потерей зрения на пораженном глазу. Поэтому важно следить за состоянием глаз и при первых признаках проблем обращаться к врачу.
Кроме того, психологические последствия отслойки сетчатки также могут быть значительными. Пациенты могут испытывать страх, тревогу и депрессию из-за изменений в зрении и возможной потери независимости. Поддержка со стороны семьи, друзей и профессиональных психологов может сыграть важную роль в процессе восстановления.
В заключение, последствия и прогноз после лечения отслойки сетчатки зависят от множества факторов, и каждый случай уникален. Регулярные осмотры у офтальмолога и соблюдение рекомендаций врача помогут минимизировать риски и улучшить качество жизни пациентов после перенесенного заболевания.
Вопрос-ответ
Что такое отслойка сетчатки и как она возникает?
Отслойка сетчатки — это состояние, при котором сетчатка, тонкая ткань на задней стенке глаза, отделяется от своего нормального положения. Это может произойти из-за различных причин, таких как травма глаза, дегенеративные изменения, наличие отверстий или разрывов в сетчатке, а также из-за заболеваний, таких как диабетическая ретинопатия.
Какие симптомы могут указывать на отслойку сетчатки?
Симптомы отслойки сетчатки могут включать внезапное появление плавающих точек или «мушек» перед глазами, вспышки света, затемнение или затенение части поля зрения, а также потерю зрения. Если вы заметили эти симптомы, важно немедленно обратиться к врачу-офтальмологу.
Как лечится отслойка сетчатки?
Лечение отслойки сетчатки зависит от ее типа и степени тяжести. В большинстве случаев требуется хирургическое вмешательство, такое как витрэктомия, лазерная коагуляция или склеропластика. Ранняя диагностика и лечение могут значительно повысить шансы на восстановление зрения.
Советы
СОВЕТ №1
Регулярно проходите обследования у офтальмолога, особенно если у вас есть предрасположенность к заболеваниям глаз или вы заметили изменения в зрении. Раннее выявление проблем может предотвратить серьезные осложнения, такие как отслойка сетчатки.
СОВЕТ №2
Обратите внимание на симптомы, такие как вспышки света, плавающие пятна или затенение в поле зрения. Если вы заметили что-то подобное, немедленно обратитесь к врачу. Быстрая реакция может спасти ваше зрение.
СОВЕТ №3
Избегайте чрезмерных нагрузок на глаза, особенно при работе за компьютером. Делайте регулярные перерывы, следите за освещением и используйте защитные очки, если это необходимо. Это поможет снизить риск развития глазных заболеваний.
СОВЕТ №4
Поддерживайте здоровый образ жизни: правильно питайтесь, занимайтесь физической активностью и избегайте курения. Здоровье всего организма напрямую влияет на состояние глаз и может помочь предотвратить отслойку сетчатки.


