Зубной абсцесс — воспаление, возникающее из-за инфекции зубов или десен. Он вызывает боль, отек и может привести к серьезным осложнениям без медицинской помощи. В статье рассмотрим причины зубного абсцесса, его симптомы, методы лечения и профилактику. Эти знания помогут своевременно распознать проблему и сохранить здоровье полости рта.
Что такое абсцесс зуба?
Гнойная инфекция проявляется абсцессом зуба. Патогенные бактерии проникают в организм через кровеносные сосуды, лимфатические узлы и межфасциальную клетчатку, что способствует распространению инфекции.
Темп развития заболевания зависит от вирулентности микроорганизмов и защитных механизмов организма. При высоком уровне иммунной защиты вероятность абсцесса снижается.
Заболевание может развиваться по трем основным сценариям:
- умеренное, вялотекущее течение;
- острая форма с осложнениями;
- медленное, хроническое течение с малозаметной симптоматикой.
Зубной абсцесс возникает из-за инфекции, спровоцированной кариесом, травмой зуба или заболеваниями десен. Бактерии проникают в ткани зуба и окружающие его структуры, вызывая воспаление и накопление гноя. Симптомы абсцесса включают сильную боль, отечность и покраснение в области пораженного зуба, а также возможное повышение температуры.
Для лечения абсцесса стоматологи рекомендуют обратиться за помощью. Обычно требуется дренирование гноя и назначение антибиотиков. В некоторых случаях может потребоваться лечение корневых каналов или удаление зуба. Врачи подчеркивают важность своевременного обращения к стоматологу для предотвращения осложнений и сохранения здоровья зубов. Профилактика, включая регулярные осмотры и соблюдение гигиенических норм, также важна для предотвращения абсцессов.
Зубной абсцесс возникает в результате бактериальной инфекции, которая может развиться из-за кариеса, травмы зуба или заболеваний десен. Эксперты отмечают, что игнорирование первых симптомов, таких как боль и отек, может привести к серьезным осложнениям. Для лечения абсцесса необходимо обратиться к стоматологу, который проведет осмотр и назначит соответствующее лечение. В большинстве случаев требуется дренирование гноя и назначение антибиотиков для устранения инфекции. Профилактика включает регулярные визиты к стоматологу, соблюдение гигиены полости рта и своевременное лечение зубных заболеваний. Важно помнить, что самостоятельное лечение может усугубить ситуацию, поэтому консультация специалиста является обязательной.
https://youtube.com/watch?v=V9gD891ggBg
Причины
Основная причина абсцесса – это попадание в пульпу бактерий, провоцирующих в дальнейшем патологический процесс. Произойти подобное может после удаления зуба, но еще и под влиянием ряда факторов:
- Инфекции, ОРВИ или ангина, особенно если заболевания сильно подорвали иммунитет.
- Запущенное состояние полости рта, наличие болезней (пародонтит, киста, кариес).
- Вывих, перелом или удар челюсти.
- Скол дентина или травма эмали.
- Фурункулы на лицевой части или на слизистой.
- Инфекция после инъекции во время стоматологической процедуры.
Развитию гнойного осложнения часто предшествует нарушение целостности естественной защиты зуба. Абсцесс и его признаки проявляются уже после воспаления. Чем оно дольше протекает процесс, тем ярче становится интоксикация организма.
| Причина зубного абсцесса | Симптомы | Методы лечения |
|---|---|---|
| Нелеченный кариес | Сильная боль, пульсация, отек десны, покраснение, припухлость щеки, повышение температуры тела, головная боль | Антибиотики, хирургическое вскрытие абсцесса, чистка корневых каналов, удаление зуба (в запущенных случаях), обезболивание |
| Травма зуба | Боль, отек, покраснение, кровотечение из десны | Антибиотики, хирургическое лечение, удаление поврежденного зуба (при необходимости) |
| Периодонтит | Гнойное воспаление тканей вокруг корня зуба, боль, отек, подвижность зуба | Чистка корневых каналов, хирургическое лечение, удаление зуба (в запущенных случаях), антибиотики |
| Повреждение пломбы или коронки | Появление боли при надавливании на зуб, постепенное развитие воспаления | Замена пломбы или коронки, лечение корневых каналов, антибиотики |
| Неправильная гигиена полости рта | Накопление зубного налета и камня, воспаление десен, развитие инфекции | Профессиональная чистка зубов, улучшение гигиены полости рта, антибиотики (при необходимости) |
Интересные факты
Вот несколько интересных фактов о зубном абсцессе и способах его лечения:
-
Причины возникновения: Зубной абсцесс обычно возникает в результате бактериальной инфекции, которая может развиться из-за кариеса, травмы зуба или заболеваний десен. Бактерии проникают в мягкие ткани зуба, вызывая воспаление и образование гноя.
-
Симптомы и диагностика: Зубной абсцесс может проявляться сильной болью, отеком, повышением температуры и даже затруднением при открывании рта. Важно обратиться к стоматологу при первых признаках, так как запущенные случаи могут привести к серьезным осложнениям, включая распространение инфекции.
-
Методы лечения: Лечение зубного абсцесса обычно включает дренирование гноя и назначение антибиотиков для борьбы с инфекцией. В некоторых случаях может потребоваться лечение корневых каналов или удаление зуба. Также важно поддерживать хорошую гигиену полости рта, чтобы предотвратить повторное возникновение абсцессов.
https://youtube.com/watch?v=JDD0GEMP3HU
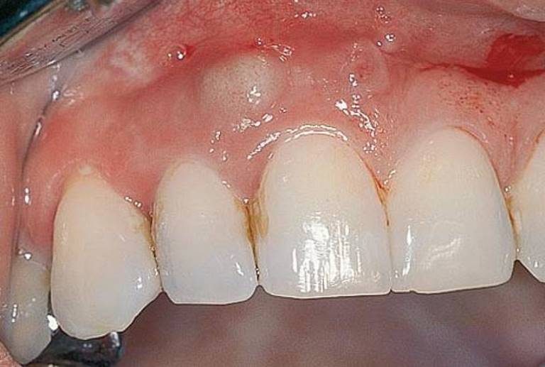
Фото
Зубной абсцесс — болезненное состояние, вызванное инфекцией зуба или десны. Основные факторы его появления — кариес, травмы и заболевания десен. Инфекция приводит к образованию гноя, вызывая сильную боль и отечность. Важно не откладывать визит к стоматологу, так как только врач может правильно определить проблему и назначить лечение.
Для временного облегчения боли можно полоскать рот солевым раствором, но это лишь временная мера. Полное избавление от абсцесса требует антибиотиков и, возможно, дренирования гноя. Некоторые используют народные средства, такие как компрессы с травами, но они не заменят профессиональную помощь. Забота о здоровье зубов и регулярные осмотры помогут избежать подобных проблем в будущем.
Симптомы
Определить абсцесс зуба и у ребенка, и у взрослого нужно как можно раньше. Если знать все симптомы, которые сопровождают этот процесс, то обратиться к врачу получится своевременно. Присутствует при заболевании перечень признаков:
- боль тянущего, пульсирующего характера, иногда приступообразно острая;
- привкус горечи;
- увеличение чувствительности зубов;
- лимфоузлы в области шеи набухают;
- отек в месте поражения;
- плохой аппетит;
- озноб и жар;
- нарушение сна, недомогание;
- головная боль;
- воспаление, краснота и гиперемия в той части щеки, где расположена патология;
- выделение гноя из ранок на десне;
- ослабление иммунитета;
- плохой запах изо рта;
- усиление болевой реакции при сжатии челюсти, поедании раздражающей пищи.
Постепенно симптоматика скуднеет, что связано с отмиранием корня зуба, а иногда и части нерва. Но улучшения картины не предвидится, поскольку инфекция продолжает прогрессировать. При худшем сценарии она распространится на кость челюсти и глубокие ткани.
Улучшение самочувствия происходит и после прорыва наружу гнойного содержимого. На фоне этого спадает отечность, щека становится менее горячей, исчезает воспаление, озноб. Все это не свидетельствует о том, что абсцесс прошел сам. На самом деле болезнь хронизировалась, поэтому в дальнейшем пациента ждут рецидивы и образование свища.
Даже если все перечисленные симптомы – это не слишком частое явление, все равно требуется консультация стоматолога. Эта мера убережет от опасных осложнений.
https://youtube.com/watch?v=xZ9_9c-A7Pw
Лечение абсцесса зуба
Лечение абсцесса в домашних условиях опасно. Самостоятельное вскрытие гнойника может вызвать осложнения, такие как усиление инфекции и повреждение нервов.
Терапия подбирается индивидуально, с целью сохранить зуб и предотвратить осложнения. Важно устранить инфекцию, местное воспаление и интоксикацию, для чего применяются антибиотики.
- Хирургическое вмешательство — полное вскрытие абсцесса с очищением полости. Десна в области гнойника разрезается, очищается и дезинфицируется.
- Лазерная терапия низкой интенсивности — менее болезненный метод, используемый для дренирования зуба, ускоряющий заживление.
- Дренирование каналов — позволяет удалить гной через каналы без разрезания десны. После очистки используется дезинфицирующий раствор. Если дренирование неэффективно, зуб удаляют и проводят повторную очистку раны.
Что делать дальше? Терапия продолжается после визита к стоматологу: пациент должен следить за гигиеной и принимать назначенные медикаменты. Для предотвращения распространения инфекции подходят антибиотики, такие как Метронидазол, Амоксициллин и Тримокс. Рекомендуется также использовать обезболивающие. После лечения стоит подобрать витаминный комплекс и препараты для укрепления иммунной системы.
Чистка зубов должна проводиться дважды в день. Из народной медицины можно использовать отвары из дуба, шалфея, корня аира и ромашки. Солевой раствор или полоскание рта Фурацилином также обладают антисептическими свойствами. Процедуру рекомендуется повторять каждые 2 часа для улучшения регенерации.
При комплексном подходе к лечению избавиться от симптомов удается уже на второй день, а полное устранение последствий абсцесса возможно спустя неделю.
Осложнения
Последствия не ограничиваются гибелью части зуба. Абсцесс постепенно приведет к следующим проблемам:
- Углубление воспаления, что неизбежно вовлечет и костную ткань. Такая инфекция грозит распространиться по нервным волокнам лица, а в дальнейшем затронет и все тело.
- Воспаление легких.
- Менингит – случается при длительном течении болезни.
- Формирование в ротовой полости свища – гноетечение из него будет постоянным, что серьезно подорвет иммунную систему и спровоцирует инфекционные осложнения.
- Острая стадия абсцесса настолько серьезна, что этот процесс затрагивает не только кость, но еще и мягкие ткани. Это грозит воспалением головного мозга или даже остеомиелитом.
- Выпадение зубов как результат разъедания челюсти случается в самых запущенных случаях. Привести такое осложнение способно к искажению лицевых черт, сепсису, болезням сердца, сахарному диабету.
- Инфицирование костного мозга.
Обнаружив признаки, характерные для абсцесса зуба, нужно не откладывать визит к стоматологу. Осложнения начинают развиваться стремительно, поэтому промедление недопустимо.
Профилактика
Лечение заболеваний полости рта может быть болезненным, но неприятные ощущения можно избежать с помощью профилактических мер. Полезны следующие методы гигиены:
- регулярно удалять зубной камень;
- при сколах, повышенной чувствительности или подвижности зубов обращаться к стоматологу;
- использовать электрическую зубную щетку для качественной очистки;
- применять ополаскиватели и флоссы в течение дня;
- следить за состоянием ЛОР-органов и предотвращать их заболевания;
- своевременно лечить кариес;
- выбирать два вида зубной пасты для разнообразия ухода.
Если у вас есть искусственные зубные конструкции, рекомендуется дополнительно использовать ирригатор. Важно включать регулярные визиты к стоматологу в комплекс профилактических мер, желательно дважды в год.
Когда обращаться к врачу?
Зубной абсцесс — это серьезное стоматологическое заболевание, которое требует немедленного внимания специалиста. Если вы заметили у себя симптомы, указывающие на наличие абсцесса, важно не откладывать визит к врачу. К основным признакам, при которых следует обратиться за медицинской помощью, относятся:
- Сильная боль в зубе или десне: Боль может быть пульсирующей и усиливаться при нажатии на зуб или при жевании. Если она становится невыносимой, это явный сигнал к обращению к стоматологу.
- Отек и покраснение: Если вы заметили отек десны или лица, а также покраснение в области пораженного зуба, это может указывать на распространение инфекции.
- Повышение температуры: Лихорадка или общее недомогание могут свидетельствовать о том, что инфекция распространилась и требует медицинского вмешательства.
- Выделения из десны: Если из десны или зуба выделяется гной, это явный признак абсцесса, и вам необходимо обратиться к стоматологу как можно скорее.
- Неприятный запах изо рта: Запах гноя или гнилостный запах изо рта также могут указывать на наличие абсцесса.
- Проблемы с открытием рта: Если вы испытываете трудности с открытием рта или жеванием, это может быть связано с воспалением и отеком.
Не стоит игнорировать эти симптомы, так как зубной абсцесс может привести к серьезным осложнениям, таким как распространение инфекции на другие участки тела, включая челюсть, шею и даже мозг. Чем быстрее вы обратитесь к врачу, тем выше вероятность успешного лечения и минимизации последствий.
Стоматолог проведет необходимые обследования, такие как рентгенография, чтобы определить степень поражения и выбрать оптимальный метод лечения. Не забывайте, что самолечение может усугубить ситуацию, поэтому важно довериться профессионалам.
Вопрос-ответ
Можно ли вылечить абсцесс зуба без операции?
Если Вы заметили у себя эти симптомы, нужно как можно быстрее обратиться к стоматологу. Дома невозможно устранить абсцесс полностью. Остатки патогенных бактерий только спровоцируют дальнейшее распространение инфекции.
Как вылечить абсцесс зуба в домашних условиях?
Важно помнить, что абсцесс не пройдет самостоятельно, и вылечить его в домашних условиях невозможно. Если вы думаете, что у вас абсцесс десны, срочно обратитесь к стоматологу.
Что нельзя делать при абсцессе зуба?
Главное, что категорически нельзя делать при абсцессе зуба — самостоятельно вскрывать гнойник, выдавливать его содержимое. Без должной санации экссудат разольется по мягким тканям.
Советы
СОВЕТ №1
Регулярно посещайте стоматолога для профилактических осмотров. Это поможет выявить проблемы на ранних стадиях и предотвратить развитие зубного абсцесса.
СОВЕТ №2
Следите за гигиеной полости рта: чистите зубы дважды в день и используйте зубную нить. Это поможет избежать накопления бактерий, которые могут привести к воспалению и образованию абсцесса.
СОВЕТ №3
При появлении первых признаков абсцесса, таких как боль, отек или покраснение, не откладывайте визит к стоматологу. Чем раньше вы начнете лечение, тем меньше вероятность осложнений.
СОВЕТ №4
Избегайте самолечения и народных методов, так как они могут усугубить ситуацию. Обратитесь к специалисту для получения профессиональной помощи и назначения правильного лечения.
