Магнитно-резонансная томография (МРТ) — современный метод диагностики, который предоставляет детализированные изображения внутренних органов и тканей. В статье рассмотрим, что такое МРТ-картина, как она формируется и какие заболевания можно выявить с её помощью. Понимание принципов работы МРТ и интерпретации изображений поможет пациентам и врачам лучше ориентироваться в результатах обследования, что способствует более точной диагностике и эффективному лечению.
Самостоятельная расшифровка МРТ головного мозга: результаты, заключение по снимкам
Магнитно-резонансная томография (МРТ) — современный метод диагностики состояния мозга и центральной нервной системы. Он безопасен, информативен и неинвазивен. Правильная интерпретация результатов МРТ позволяет установить точный диагноз.
МРТ не является основным методом диагностики; обычно его применяют на завершающем этапе после более общих исследований.
Врач направляет пациента на МРТ, имея предположения о диагнозе. Изображения мозга предоставляют ценную информацию.
С помощью МРТ можно выявить:
- сосудистые заболевания;
- заболевания мозга;
- нарушения кровоснабжения;
- травматические повреждения;
- болезни органов, окружающих головной мозг;
- опухоли и кисты;
- степень и область повреждений при инсульте;
- наследственные и приобретенные заболевания центральной нервной системы.
Магнитно-резонансная томография (МРТ) является одним из наиболее информативных методов визуализации, позволяющим получить детальные изображения внутренних органов и тканей. Эксперты отмечают, что МРТ особенно полезна в диагностике заболеваний головного мозга, позвоночника и суставов. Благодаря высокой контрастности изображений, этот метод позволяет выявлять даже незначительные изменения, которые могут быть пропущены при других исследованиях.
Кроме того, специалисты подчеркивают, что отсутствие ионизирующего излучения делает МРТ безопасным для пациентов, что особенно важно при проведении исследований у детей и беременных женщин. Однако, несмотря на свои преимущества, МРТ не является универсальным методом и требует тщательной интерпретации результатов, что подчеркивает важность квалифицированного подхода со стороны врачей. В целом, МРТ продолжает оставаться важным инструментом в современной медицине, способствуя более точной и своевременной диагностике.
https://youtube.com/watch?v=0q0UNqlhhLk
Какие заболевания можно увидеть на снимках МРТ?
Такое обследование помогает определить все аномалии головного мозга и сосудов. Процедуру назначают при следующих заболеваниях:
- Пороки развития головного мозга.
- Нарушение зрения или слуха.
- Злокачественные и доброкачественные новообразования.
- Инфекционные заболевания, например, менингит или энцефалит.
- Гидроцефалия.
- Гематомы после травмы.
- Инсульт.
- Эпилепсия.
- Рассеянный склероз и некоторые другие заболевания нервной системы.
- Аневризма, венозный тромбоз и прочие сосудистые нарушения.
- Деменция.
При этих заболеваниях МРТ станет единственным достоверным методом диагностики.
| Название патологии | МРТ-признаки | Дифференциальная диагностика |
|---|---|---|
| Глиома головного мозга | Зона повышенной интенсивности сигнала на Т2-ВИ и FLAIR, гиперинтенсивность на DWI, супрессия сигнала на Т1-ВИ (в большинстве случаев), наличие некроза и/или кист, перифокальный отек. | Метастазы, абсцесс, туберкулома |
| Метастазы головного мозга | Многочисленные очаги с различной интенсивностью сигнала, часто с перифокальным отеком, нечеткими границами. | Глиома, абсцесс, инфаркт |
| Инсульт ишемический | Зона пониженной интенсивности сигнала на DWI в острой фазе, гиперинтенсивность на FLAIR через несколько часов/дней, потеря кортикальной архитектуры. | Инсульт геморрагический, демиелинизирующие заболевания |
| Инсульт геморрагический | Зона повышенной интенсивности сигнала на Т1-ВИ и Т2-ВИ, смещение структур мозга. | Инсульт ишемический, внутримозговая гематома |
| Рассеянный склероз | Очаги повышенной интенсивности сигнала в белом веществе, преимущественно перивентрикулярно, различной формы и размера. | Инфекционные заболевания ЦНС, лейкодистрофии |
Интересные факты
Вот несколько интересных фактов о МРТ (магнитно-резонансной томографии) и её изображениях:
-
Безопасность и отсутствие радиации: В отличие от рентгеновских исследований и КТ, МРТ не использует ионизирующее излучение. Вместо этого она основана на сильных магнитных полях и радиоволнах, что делает её более безопасной для пациента, особенно при повторных обследованиях.
-
Разнообразие изображений: МРТ позволяет получать изображения различных тканей и органов с высокой четкостью. Существуют разные режимы сканирования, которые могут выделять жир, воду и другие компоненты, что помогает в диагностике заболеваний, таких как опухоли, воспаления и дегенеративные изменения.
-
Функциональная МРТ (фМРТ): Эта разновидность МРТ используется для изучения активности мозга. Она позволяет визуализировать изменения в кровотоке, связанные с нейронной активностью, что помогает исследовать функции различных участков мозга и может быть полезно в нейропсихологии и нейрохирургии.
Эти факты подчеркивают важность и многообразие применения МРТ в медицине и научных исследованиях.
Могут ли быть результаты недостоверными
Точность исследования зависит от нескольких факторов:
- Статичность пациента. Движения могут искажать изображения, затрудняя оценку состояния структур.
- Неправильно выбранный метод. Для точной диагностики иногда требуется томография с контрастом. Пропуск этого этапа усложняет оценку патологии.
Во время исследования важно сохранять неподвижность, иначе результаты будут недостоверными.
- Низкий уровень квалификации рентгенолога. Врач-новичок может неправильно интерпретировать результаты МРТ мозга и не выявить редкие или скрытые заболевания.
Рентгенологи должны следить за правильной подготовкой пациентов и отсутствием металлических предметов перед исследованием.
Как происходит расшифровка результатов?
После того как снимок сделан, врач сразу же приступает к его исследованию. В самом конце он оформляет в бумажном виде заключение со всеми результатами своих изысканий и отдает его пациенту. При желании результат обследования может быть записан на любой электронный носитель. Это поможет больному показать снимки различным врачам и получить более точный диагноз.
Расшифровка результатов МРТ головного мозга состоит из следующих этапов:
- Магнитный резонансный томограф передает на специальный компьютер результаты обследования. Они отображаются в виде снимков головного мозга. В идеале должно быть 4 проекции: передняя, верхняя, левая и правая.
- Все снимки распечатываются на пленке.
- Специалист располагает все снимки на столе с внутренней подсветкой.
- Последовательно, не упуская ни одной детали, врач обследует все изображения. Он определяет нормальные показатели и наличие аномалий.
- Все свои изыскания врач оформляет в виде письменного заключения и передает его больному.
https://youtube.com/watch?v=qoqgsxVImGY
Кому нужно уметь расшифровывать результаты МРТ
При интерпретации результатов МРТ сравниваются данные конкретного исследования с нормальными изображениями здорового мозга. Разные ткани на снимках имеют различную яркость, где белое вещество выделяется наибольшей светлотой.
Специалист должен иметь глубокие знания о структуре головного мозга, его составляющих, размерах и типах тканей, а также в области физиологии и патологической анатомии.
Пациенту сложно самостоятельно интерпретировать результаты МРТ, и обычно диагноз устанавливается совместно радиологом и лечащим врачом.
Процесс расшифровки проходит в следующей последовательности:
- Томограф передает результаты на компьютер. Мозг исследуется в четырех проекциях.
- Снимки распечатываются.
- Специалист размещает изображения на стенде с подсветкой.
- Врач изучает снимки и сравнивает их с нормальными показателями.
- Радиолог составляет заключение, которое передается пациенту. В нем описывается состояние тканей мозга, их форма и вывод о наличии или отсутствии патологий.
Рассеянный склероз на МРТ (с контрастом и без): как выглядят признаки болезни на снимке головного мозга?
Магнитно-резонансную томографию активно используют в неврологии. При подозрениях на рассеянный склероз невропатолог назначает этот диагностический метод.
Неинвазивное исследование позволяет выявить заболевание даже на начальных этапах развития.
Почему используется этот метод?
Принцип действия метода основан на воздействии магнитного поля на атомы водорода в головном и спинном мозге пациента. Под его влиянием частицы меняют расположение и выстраиваются в определённый порядок. Атомы вызывают колебания импульсов, которые аппарат фиксирует и преобразует в трехмерное черно-белое изображение.
Магнитно-резонансная томография (МРТ) подходит для диагностики демиелинизирующих заболеваний, обеспечивая лучшую визуализацию мягких тканей, хрящей и сосудов. Компьютерная томография (КТ) используется для анализа состояния костной системы и свежих повреждений головного мозга.
Ключевое преимущество МРТ — отсутствие радиоактивного излучения, что делает процедуру безопасной и позволяет проводить её многократно в короткие сроки. В отличие от МРТ, КТ создает большую лучевую нагрузку на организм.
Показания и противопоказания для процедуры
Врач назначает МРТ при наличии таких симптомов болезни:
- эпизодическое головокружение;
- шаткость походки и потеря равновесия;
- резкое снижение зрения на один глаз;
- уменьшение полей зрения;
- невосприятие какого-либо цвета;
- ощущение онемения в конечностях;
- развитие тазовых расстройств (учащение или задержка мочеиспускания, импотенция);
- двигательные нарушения – мышечная слабость, неловкость движений.
Однако в некоторых случаях магнитно-резонансная томография запрещается. Она может навредить здоровью исследуемого или даст искаженные данные сканирования. Врачи делят противопоказания на абсолютные и относительные.
В первую группу входят:
- Предметы из металла, которые вставлено в тело больного.
- Наличие кардио- или нейростимулятора.
- Кохлеарный имплант.
- Протезы или металлические конструкции.
- Несъемная брекет-система.
- Вес исследуемого превышает 120 кг.
Ко второй группе относят такие противопоказания, связанные с временными нарушениями здоровья пациента на время выполнения МРТ. Когда он получит лечение или пройдет определенный период, диагностику можно будет провести.
К ним относятся:
- Сердечная недостаточность в стадии декомпенсации.
- Вынашивание ребенка (1 триместр).
- Обострение тяжелых хронических заболеваний.
Описание способов проведения
Пациент может пройти сканирование как с контрастным веществом, так и без него. Врач, учитывая симптомы и клиническую ситуацию, выбирает наиболее подходящий метод исследования.
Без контраста
Применяется для выявления патологических очагов в ткани мозга. Преимущества метода по сравнению с контрастным исследованием:
- Возможность использования при тяжелых почечных нарушениях и аллергических реакциях на компоненты красящего вещества.
- Отсутствие специальной подготовки перед сканированием.
- Занимает меньше времени для осмотра.
- Рекомендуется использовать во 2 и 3 триместре гестации, поскольку контраст запрещен на любом сроке беременности.
- Стоимость исследования ниже.
С солями гадолиния
Для диагностики используются соли гадолиния, относящиеся к лантаноидным металлам. Это вещество накапливается в участках с повышенным кровоснабжением.
Соли гадолиния:
- линейные соединения (например, Оптимарк и Омнискан);
- макроциклические (например, Гадовист и Дотарем).
Объем контрастного вещества определяется индивидуально и зависит от массы пациента. После введения в кровоток гадолиний быстро достигает мозговых тканей. Магнитно-резонансная томография с контрастированием позволяет выявить участки разрушения нервных волокон.
Перед началом сканирования врач объясняет, как вести себя во время процедуры. Он предупреждает о громких звуках аппарата и предлагает надеть наушники. Также демонстрирует тревожную кнопку для обращения в случае ухудшения самочувствия.
Этапы проведения МРТ головного мозга при рассеянном склерозе:
- Пациент располагается на столе томографа.
- Ремешками фиксируются грудная клетка и конечности для неподвижности.
- При сканировании с контрастом врач вводит его в вену, катетер остается на руке на протяжении всего обследования.
- Пациент помещается в томограф, начинается осмотр.
- После завершения процедуры доктор снимает ремни и анализирует полученные томограммы, формируя заключение.
Подготовка к томографии не требует особых усилий. Перед исследованием необходимо убрать все металлические предметы: часы, украшения, а также оставить электронные карты и смартфоны вне кабинета. Врач проводит тест на наличие аллергической реакции, так как некоторые пациенты могут иметь непереносимость компонентов контрастного вещества.
Статистика локализации очагов заболевания в головном мозге
При рассеянном склерозе патологические изменения имеют симметричное распределение и обычно затрагивают одни и те же структуры.
Их типичное расположение, выявленное на МР-снимках:
- перивентрикулярная область;
- мозолистое тело;
- изолированные очажки в белом веществе;
- мозжечок;
- ствол мозга;
- кора больших полушарий.
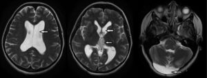
Признаки и картина болезни на снимке
Одним из признаков рассеянного склероза на магнитно-резонансных снимках являются мелкие очаги в головном и спинном мозге, которые выглядят как светлые участки.
На томограммах врач может заметить следующие изменения:
- «Пальцы Доусона» — признак демиелинизации белого вещества головного мозга. Эти образования вытянуты и располагаются вдоль мелких вен, перпендикулярно боковым желудочкам.
- Увеличение сигнала от очагов после введения контрастного вещества.
- Множество поражений в перивентрикулярной зоне.
Если пациент пройдет МРТ через три месяца после начала клинических проявлений, врач сможет обнаружить:
- Множественные очаги, накапливающие контрастное вещество.
- Участки просветления, прилегающие к коре головного мозга и затрагивающие дугообразные волокна.
Как выглядит заключение?
В протоколе исследования специалист подробно описывает структуры головного мозга, указывая патологические изменения при их обнаружении. При рассеянном склерозе врач укажет в заключении следующее: МР-признаки очаговых изменений в белом веществе (очаги демиелинизации или глиоза).
Возможны ли какие-то осложнения после обследования?
Уведомите врача о наличии металлических имплантатов.
Магнитно-резонансная томография (МРТ) — неинвазивный метод диагностики, часто используемый для подтверждения рассеянного склероза. Врачи обычно применяют сканирование с контрастным веществом, что обеспечивает высокую информативность, надежность и безопасность для пациента.
Мрт (магнитно-резонансная томография) головного мозга
Метод магнитно-резонансной томографии основан на способности ядер некоторых атомов (в частности, водорода) поглощать передаваемую энергию и переходить на более высокий энергетический уровень. Однако это состояние в соответствии со вторым законом термодинамики нестабильно и стремится восстановиться в своей прежней позиции.
Поэтому энергетически заряженное ядро водорода стабильно только на время действия специального магнита и резонансно с ним в положении (как раз положение атома и изменяется при воздействии магнита). Пока магнит подает некоторый электромагнитный уровень на данную область, ее атомы как бы выстраиваются в сторону вектора магнитного поля.
После окончания действия атомы занимают выгодное положение, излучая лишнюю энергию, которая и фиксируется с последующим конвертированием в изображение.
Дифференцировка происходит по времени вращения атомов (времени спина), которое происходит при возвращении в обычное положение атома (положение – понятие относительное, ведь электрон атома находится в постоянном движении). Также ткани отличаются по содержанию ионов водорода.
Томография (перевод с латинского языка: tomia – разрезать, graphia – написание (разрезание – условно, метод не инвазивен) – метод визуализации внутренних сред, который подразумевает послойное изображение определенной области через все слои. Впоследствии томограммы могут быть наложены друг на друга с получением трехмерного изображения, что очень удобно для анализа и семиотики.
Положительный результат на обследовании это – нормальное расположение и «консистенция» тканей, отсутствие аномальных образований («плюс-тень»), нет кровотечений, гнойных скоплений, тромбов и т.д.
Показания
Показания для магнитно-резонансной томографии (МРТ) разнообразны, но этот метод не является основным в обследовании и инструментальной диагностике. МРТ имеет высокую стоимость, и результаты не всегда оправдывают затраты.
После острого нарушения мозгового кровообращения (геморрагический инсульт) предпочтительным методом нейровизуализации остается компьютерная томография.
- Черепно-мозговая травма: МРТ не используется как первичный метод, проводится после компьютерной томографии.
- Обязательно при подозрении на опухоли, включая метастазы в головном мозге или оболочках.
- Дегенеративные и демиелинизирующие заболевания, такие как дисциркуляторная энцефалопатия.
- Эпилепсия (первичная и симптоматические судорожные припадки) после электроэнцефалографии.
- Состояние после операций на головном мозге или сосудах.
- Инфекционные или паразитарные заболевания головного мозга, включая эхинококкоз, цистицеркоз, метастазы туберкулезной палочки и абсцессы.
- Подозрение на мозговую причину симптоматической артериальной гипертонии.
- Врожденные аномалии развития головного мозга.
- Гидроцефалия любого происхождения.
Что может показать исследование
Магнитно-резонансная томография позволяет выявлять структурные изменения и органические нарушения в структуре головного мозга, его оболочек или окружающих тканей.
Метод не подходит для функциональной оценки кровотока или электрической активности нервной ткани.
Однако в некоторых случаях для определения этиологии заболевания могут быть использованы косвенные признаки или наоборот, исключения органического компонента патологии.
Магнитно-резонансная томография позволяет обнаружить очаги измененной нервной ткани, наличие новообразований, полостей, смещение тканей. Важной характеристикой состояния головного мозга является определение его архитектоники, оценка состояния серого и белого вещества, их взаимоотношений для дифференцировки дегенеративных и демиелинизирующих заболеваний, врожденных пороков развития.
Также проводится магнитно-резонансная томография с использованием контрастирования – гадолиний. Контраст накапливается неоднородно – больше в измененных тканях, что позволяет лучше локализовать очаг поражения.
Преимущества и возможности данного метода исследования
Преимущества магнитно-резонансной томографии (МРТ) разнообразны. Главным является высокая информативность и точность, особенно при исследовании головного мозга и его сосудов.
Изображение имеет объемный характер благодаря наложению нескольких томограмм. Метод не создает лучевой нагрузки, что исключает риск стохастических эффектов.
Многие другие методы, такие как ультразвуковое исследование, имеют низкую информативность из-за защиты головного мозга костным черепом. Нейровизуализация позволяет точно установить диагноз и прогнозировать возможные нарушения, которые могут не проявляться на текущем этапе обследования.
МР-семиотика – что это такое, как видны заболевания на снимках
Семиотика – определение прямых или косвенных указателей на тот или иной патологический процесс или конкретную нозологию.
Опухоли и метастатические поражения
Опухоль на магнитно-резонансной томограмме выглядит как участок нервной ткани с измененной плотностью — как более плотной, так и менее. В зависимости от типа опухоли могут присутствовать кальцинаты, псевдокисты и другие образования.
Края опухоли могут указывать на ее происхождение и степень злокачественности. Инвазивный рост, при котором опухоль проникает в нормальную нервную ткань, является неблагоприятным признаком. Если опухоль растет, отодвигая нервные структуры, но они остаются относительно неизменными, это может свидетельствовать о опухоли из мозговых оболочек.
Метастазы опухолей обычно множественные, в отличие от первичного очага. Наиболее распространенные симптомы метастазов — нарушения речи, параличи, парезы, судороги и расстройства психических функций.
Ключевым прогностическим фактором опухолей является их объем: они давят на окружающие ткани, отодвигая и разрушая их (масс-эффект), что может привести к утрате функций и возникновению парциальных или генерализованных эпилептических приступов.
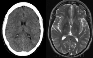
Острые нарушения мозгового кровообращения
Чаще всего в острейшем периоде для постановки диагноза инсульта применяется компьютерная томография. МРТ исследование же дает информацию о состоянии головного мозга уже после проведенной экстренной терапии.
Однако МРТ является более чувствительным методом диагностики, раньше выявляет очаг поражения.
При ишемическом инсульте очаг с высоким сигналом соответствует определенной зоне кровоснабжения (чаще в бассейне средней мозговой артерии).
На картине диффузионно-взвешенного изображения изменения могут быть выявлены еще до того, когда они станут заметны в других режимах, в виде повышенного осмоса. При геморрагическом проявляется гиподенсивным сигналом в режиме T1 и гиперденсивным сигналом в режиме T2, возможен масс эффект.
Субарахноидальное кровоизлияние выглядит на МР томограмме как очаг в форме серпа, окаймляющий большой полушарие, повторяющий его борозды и извилины, оттесняя нервную ткань с возможным сдавлением желудочков и гидроцефалией.
Дегенеративные и демиелинизирующие заболевания
Для дегенеративных заболеваний головного мозга характерны атрофические изменения: ткани полушарий уменьшаются, борозды углубляются, а желудочки расширяются. Это наблюдается, например, при дисциркуляторной энцефалопатии. Также выявляются диффузные или локальные изменения в сером или белом веществе.
Рассеянный склероз имеет уникальную картину на МРТ: на сагиттальных срезах виден пунктир над третьим желудочком, служащий ранним признаком заболевания. Для рассеянного склероза также характерно образование пространств Вирхова-Робина — очаги нервной ткани с пониженной плотностью вокруг сосудов.
При рассеянном склерозе наблюдаются множественные гиперденсивные очаги.
Основные симптомы рассеянного склероза включают слабость и покалывание в конечностях, нарушения функций тазовых органов и ухудшение зрения.
Абсцесс головного мозга
Картина весьма типична: объемное образование головного мозга, которое не оттесняет окружающие ткани, имеет сниженную плотность, относительно окружающей нервной ткани. Четко определяется капсула вокруг очага, особенно при контрастном усилении. В анамнезе чаще всего есть указание на перенесенный энцефалит.
Причиной образования абсцессов чаще всего являются воспалительные процессы в легких (бронхоэктатическая болезнь, эмпиема плевры, хроническая пневмония, абсцесс легкого)
Немного истории
Магнитно-резонансная томография (МРТ) — современный метод диагностики заболеваний внутренних органов.
Заключение
Магнитно-резонансная томография является одним из наиболее сильных инструментальных методов диагностики заболеваний головного мозга, обладает высокой чувствительностью и, что важно именно для семиотики заболеваний центральной нервной системы, позволяет с точностью поставить топический диагноз, играющий важную роль в определении дальнейшей тактики ведения пациента.
Мрт головного мозга: что показывает?
Магнитно-резонансная томография (МРТ) головного мозга — один из самых точных и безопасных методов диагностики.
Достижения медицины позволили отказаться от инвазивных процедур и перейти к безвредным методам визуализации, подходящим для большинства пациентов.
МРТ — популярный способ диагностики, предоставляющий детальную информацию о состоянии головного мозга. С помощью магнитно-резонансного сканирования можно выявить патологические изменения в мозговых структурах на ранних стадиях, что помогает предотвратить развитие заболеваний и начать лечение вовремя.
Анализ головы на снимках МРТ
Магнитно-резонансная томография, даже выполненная на высококлассном оборудовании с последующей обработкой сложной компьютерной программой, без правильной интерпретации рентгенологом не имеет диагностической ценности. Поэтому самостоятельно расшифровать данные исследования невозможно для пациента.
Анализ головы на снимках МРТ чаще проводят при следующих патологиях.
Опухоли. На томограммах патология визуализируется в виде образований, чаще — с неровным контуром, но возможны варианты в зависимости от типа.
Введение контрастного вещества улучшает качество снимков и позволяет с высокой точностью предположить характер поражения, взаимоотношение с окружающими структурами, метастатическую распространенность.
Если раковые клетки размножаются и растут слишком быстро, визуализируются зоны ишемии, а в дальнейшем — некроза.
По кровоснабжению очага судят о его природе и стадии. Окончательная верификация возможна исключительно после морфологического исследования.
МР-ангиография с контрастом показывает состояние сосудов головного мозга
Сосудистые патологии. Магнитно-резонансная ангиография всегда подразумевает введение контрастного вещества, что позволяет оценить толщину сосудистой стенки, степень выраженности патологического процесса (например, атеросклеротическое поражение, отложения холестериновых бляшек).
На томограммах видны врожденные мальформации, аневризматические выпячивания, опухолевый ангиогенез (прорастание новообразования новыми питающими артериями и венами). Мальформации проявляются радиальным расположением сосудов, которые сливаются ближе к центру.
Для аневризмы характерно истончение васкулярной стенки с одновременным ее расширением.
Водянка головного мозга. Гидроцефалия (нарушение циркуляции спинномозговой жидкости в ликворных пространствах) бывает врожденной или приобретенной.
К первичной патологии приводит родовая травма, внутриутробные инфекции, пороки развития сосудов и формирования мозга; причинами вторичной рассматривают инсульты, опухолевые процессы, тяжелые травмы, энцефалопатии и пр.
МРТ-картина водянки зависит от ее типа: при наружной гидроцефалии жидкость располагается в субарахноидальном пространстве, при внутренней окклюзионной форме вода не поступает в соседние желудочки. О заместительной водянке говорят, когда на томограммах видно уменьшение размеров головного мозга, а свободное пространство занимает ликвор.
Пороки и аномалии развития. Есть дефекты строения, которые не представляют опасности для жизни, чаще они обнаруживаются случайно. Киста сосудистого сплетения относится к таковым.
Этот диагноз часто встречается в педиатрической неврологии, влияние на умственное и физическое развитие обычно отсутствует. Иногда дефект рассасывается внутриутробно, но чаще образование редуцируется в течении первого года жизни.
Ретроцеребеллярная, арахноидальные, дермоидная, церебральная кисты менее оптимистичны в прогностическом плане и требуют индивидуальной оценки.
Голопрозэнцефалия (сращение полушарий), агирия (недоразвитие извилин с нарушением архитектоники коры), фокальная корковая дисплазия (присутствие участков с гигантскими нейронами) и пр. также относят к врожденным порокам развития головного мозга, как правило, несовместимым с жизнью. При соответствующих неврологических проблемах в развитии ребенка врач направляет на МР-диагностику.
Инсульт.
Специалисты выделяют два вида острого нарушения мозгового кровообращения: в первом из них процесс инициирует ишемия тканей (кислородное голодание) в результате резкого ангиоспазма, тромбоза или эмболии, во втором — причиной становится разрыв сосудистой стенки с излитием крови и формированием гематомы. МРТ позволяет дифференцировать эти состояния. Зона, пострадавшая от гипоксии, имеет более светлый оттенок, а при геморрагическом инсульте видны разрывы сосудов (в отдаленный период на томограммах это выглядит, как темные полости с кольцевидными периферическими полосами).
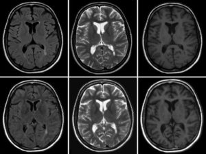
МРТ головного мозга: рассеянный склероз, видны очаги демиелинизации
Рассеянный склероз.
https://youtube.com/watch?v=DuYk9k7_gRg
Что выявляет МРТ головного мозга?
Магнитно-резонансная томография (МРТ) головного мозга в 99% случаев позволяет установить точный диагноз.
Когда у невропатолога или нейрохирурга есть подозрения на патологические процессы в центральной нервной системе, проведение МРТ становится необходимым. Результаты МРТ подтверждают или опровергают предположения о различных заболеваниях. МРТ головного мозга помогает выявить:
- опухоли, абсцессы, кисты, гематомы, полости;
- гидроцефалию (избыточное накопление жидкости);
- смещения структур мозга из-за черепно-мозговых травм или опухолевого давления;
- нарушения стенок сосудов (аневризмы), такие как расслоение или выпячивание;
- васкулярный стеноз и тромбоз;
- ишемические и геморрагические повреждения (инфаркты и инсульты), а также кровоизлияния в субарахноидальное пространство;
- заболевания гипофиза;
- инфекционные процессы, включая менингит и энцефалит;
- очаги демиелинизации при рассеянном склерозе;
- болезни Альцгеймера и другие дегенеративные заболевания;
- врожденные аномалии.
Хотя МРТ головного мозга не является исследованием первой линии из-за высокой стоимости, пациенты, откладывающие диагностику из-за опасений за здоровье, ошибаются. Нет убедительных доказательств негативного влияния магнитного поля на организм.
Побочные эффекты наблюдаются менее чем у 1% пациентов. Противопоказаниями для сканирования являются металлические предметы в организме, такие как клипсы, ортопедические устройства, импланты и кардиостимуляторы. МРТ можно проводить детям и беременным женщинам, однако контрастирование рекомендуется после первого триместра беременности.
Как проходит томографическое исследование мозга
Во время диагностической процедуры важно лежать максимально неподвижно, через громкую связь Вас могут попросить задержать на несколько секунд дыхание
По предварительной записи через сайт или по телефону пациент выбирает удобное время. В ночные часы многие диагностические клиники предоставляют скидки на МРТ. Перед началом проводится беседа для выявления противопоказаний (металлические конструкции в теле, аллергия на гадолиний, тяжелая форма почечной недостаточности).
Техник укладывает пациента на стол, который скользит вглубь томографа. Вокруг головы внутри кольца аппарата вращается множество датчиков, которые фиксируют ответ исследуемых структур человеческого организма на воздействие магнитного поля. Данные передаются на компьютер, где обрабатываются специальной программой.
В дальнейшем получают послойные изображения в разных проекциях, которые можно переписать на любой носитель или распечатать на пленку. Каких-либо болевых ощущений нет, шум работающего аппарата нейтрализуют с помощью наушников или берушей. Длительность диагностической процедуры 30-60 минут. Если запланировано контрастирование, во время исследования внутривенно вводят препарат.
Результаты готовы в течение часа, все вопросы можно обсудить с рентгенологом, проводившем диагностическую процедуру.
Нужно ли сдавать анализы перед МРТ головы?
Как выглядит структура головного мозга на МРТ фотоснимках?
Даже мельчайшие и труднодоступные структуры головного мозга и сосуды на томограммах выглядят четко, особенно, если выполняется контрастное усиление парамагнитным препаратом.
Разные части отличаются по цвету изображения: от белого до черного, включая несколько десятков оттенков серого.
Контрастность зависит от степени насыщения структур протонами водорода, обратный импульс от которых улавливает томограф.
На фотоснимках видно состояние серого и белого вещества головного мозга, желудочков (полостные образования, внутри которых циркулирует спинномозговая жидкость), подкорковых центров, отвечающих за различные функции в организме человека. Доступны для анализа мозговые оболочки, промежутки между костями черепа, орбиты, носовые пазухи и слуховые проходы.
Мрт суставов: что показывает исследование, преимущества методики
Магнитно-резонансная томография (МРТ) — это метод диагностики, позволяющий точно визуализировать состояние суставов. С его помощью выявляют нарушения в мышцах, менисках, волокнах сухожилий и костной ткани. Этот метод считается информативным, безопасным и доступным.
МРТ не создает лучевой нагрузки, так как основан на различиях в отражении магнитных волн между поврежденными и здоровыми тканями, что обеспечивает четкое изображение. Чаще всего МРТ используется для диагностики коленных, плечевых, тазобедренных, голеностопных, челюстных и локтевых суставов, а также кистей и стоп.
Что показывает исследование
На ранних стадиях заболевания порой очень трудно оценить тонкости проблемы. Даже рентген не дает всей полноты картины, т. к. изображение больной области получается плоскостным, в то время как при МРТ — трехмерным, с очень высокой точностью. Врач получает возможность как бы «заглянуть» внутрь больного сустава.
При этом хорошо различимы следующие патологии:
- разрывы сухожилий и повреждения связок;
- врожденные дефекты сустава;
- различные изменения в мягких тканях (как дегенеративные, так и дистрофические);
- скопление жидкости и нагноения;
- трещины и переломы костной ткани;
- места воспалений;
- кисты;
- области с нарушенным кровоснабжением;
- костные наросты и остеофиты;
- грыжи позвоночника и протрузии;
- вывихи.
Предлагаем посмотреть видео, котором идет речь о МРТ-обследовании суставов, а также познакомиться с мнением специалиста на этот счет.
Показания к применению
В травматологии, ревматологии и ортопедии невозможно обойтись без магнитно-резонансной томографии (МРТ). Высокая точность изображений минимизирует вероятность ошибок в лечении, особенно в сложных случаях. Показания для МРТ зависят от конкретного сустава.
Тазобедренные суставы
Чаще всего исследуются на предмет выявления следующих заболеваний:
- артрит, артроз или остеомиелит;
- трещины и переломы в костных тканях;
- некроз головки бедра;
- остеоартрит;
- боли, не поддающиеся консервативному лечению.
Томография коленных суставов и голеностопа
Магнитно-резонансная томография колена и стопы диагностирует:
- переломы и трещины;
- повреждения связок и сухожилий;
- возрастные изменения костно-мышечной системы;
- травмы суставной капсулы;
- состояние после установки протезов.
Плечевые и локтевые исследования
В данном случае можно определить:
- защемление нерва;
- травмы капсулы сустава, а также ее разрывы;
- повреждения манжеты мышц;
- вывихи и повреждения плечевых вращателей;
- дегенеративные заболевания (артрит и артрозы).
Височно-нижнечелюстные суставы
Обследование проводится в следующих случаях:
- при подготовке к ортодонтическим процедурам;
- для диагностики аномалий прикуса;
- как контрольный этап после челюстно-хирургических операций;
- для анализа состояния суставных дисков.
Противопоказания
Пациентам с расстройствами психики или клаустрофобией необходимо принять препараты, обладающие успокаивающим действием или погрузиться в медикаментозный сон. Доза и выбор медикамента подбирается исключительно индивидуально и только врачом, чтобы полностью исключить риски, связанные с побочными эффектами.
Не все знают, что существование татуировок, выполненных с применением ферромагнитных частиц, также может послужить запретом к проведению томографии у больного.
Не надо забывать, что типовой томограф рассчитан на среднего человека, вес которого не превышает 130 кг, хотя существуют и иные приборы, предназначенные для более полных людей (до 250 кг).
Особой подготовки к проведению МРТ не требуется. Предварительный режим питания или график жизни ничуть не отличаются от повседневного. Только в случае применения контрастирующего вещества для более точной диагностик, надо за 2-3 часа отказаться от приема пищи, а лучше и воды.
Перед процедурой достаточно снять с себя все металлические предметы, такие как часы, очки и заколки. Одежду лучше заменить на одноразовую медицинскую или просто остаться в нижнем белье.
Самое важное — это рассказать врачу, проводящему процедуру, о наличии аллергических реакций на медикаменты, своих хронических заболеваниях и о существующей беременности. Если пациент подвержен клаустрофобии, или его возраст меньше 7 лет, лучше принять успокаивающие препараты, т. к.
положение пациента при проведении МРТ должно быть неподвижным и прерывать процесс нельзя.
Как проводится обследование
Время процедуры зависит от обследуемого сустава и оборудования, обычно составляет от 20 минут до 1 часа. Процесс проходит по следующему алгоритму:
- Пациент ложится на выдвижной стол аппарата, его конечности фиксируются ремнями и валиками для предотвращения случайных движений, что улучшает качество изображений.
- Стол перемещается в тоннель томографа, пациенту передается кнопка для сигнала тревоги. Существуют аппараты открытого типа, где часть тела остается вне капсулы, что снижает дискомфорт для тех, кто боится замкнутых пространств.
- Внутри аппарата включаются освещение и вентиляция, врач покидает помещение, оставаясь в соседней комнате и следя за процессом на мониторе. Общение осуществляется через микрофон. Уровень шума невысок, а воздух постоянно обновляется, что делает пребывание более комфортным.
- По окончании процедуры пациент получает краткое объяснение от медицинского работника, а через час — готовые снимки и заключение врача на электронном носителе.
Дальнейшее лечение назначает лечащий врач, который располагает всей информацией о состоянии пациента и его анамнезом. Если результаты МРТ не полные, пациента могут попросить пройти процедуру повторно с контрастным веществом, вводимым внутривенно или в сустав.
Как видно, процедура не представляет опасности и имеет множество преимуществ по сравнению с альтернативными методами.
Преимущества МРТ
К ним можно отнести:
- уникальную четкость снимков;
- информативность метода;
- быстроту проведения исследования;
- безопасность и полную безболезненность;
- отсутствие предварительной подготовки;
- возможность просмотра моделей суставов в объемном изображении;
- доступная цена.
Все полученные в результате МРТ данные дают возможность лечащему врачу не только оценить состояние больного на сегодняшний момент, но и скорректировать, если надо, лечение в будущем. Особенно важна такая информация для принятия решения о необходимости проведения операции или в период реабилитации.
Возможные побочные эффекты
Альтернативные методы диагностики
В случае, когда клинических обследований при выяснении проблемы со здоровьем недостаточно, требуется проведение дополнительных исследований, а к МРТ существуют противопоказания, лучше сделать КТ (компьютерную томографию). Этот метод также очень информативен, а при диагностике структур костей дает даже более высокие результаты.
Иногда специалисты просят пройти оба этих обследования, тогда картина болезни выглядит наиболее полно. Дело здесь в том, что эти методы основаны на разных физических явлениях. В первом случае основой служит рентгеновское излучение.
Оно дает возможность рассуждать о физическом состоянии исследуемого участка тела, а во втором — о его химическом строении.
Метод компьютерной диагностики несколько дешевле и в поликлиниках применяется чаще. Кроме того, он позволяет обследовать больных, категорически не переносящих замкнутых пространств.
Что показывает МРТ при обследовании коленных суставов, информативность диагностической процедуры, противопоказания, показания и недостатки
Магнитно-резонансная томография (МРТ) — эффективный метод визуализации для диагностики различных заболеваний. В статье рассмотрим МРТ коленного сустава, его диагностические возможности и заболевания, при которых назначается это исследование.
Советы по подготовке к процедуре МРТ
Подготовка к процедуре магнитно-резонансной томографии (МРТ) является важным этапом, который может существенно повлиять на качество получаемых изображений и точность диагностики. Ниже представлены основные рекомендации, которые помогут пациентам правильно подготовиться к исследованию.
1. Консультация с врачом: Перед проведением МРТ обязательно проконсультируйтесь с врачом. Он объяснит, какие именно области будут исследоваться, и ответит на все ваши вопросы. Также важно сообщить врачу о наличии любых медицинских условий, аллергий или имплантатов.
2. Уведомление о наличии имплантатов: Если у вас есть металлические имплантаты, кардиостимуляторы, слуховые аппараты или другие устройства, обязательно сообщите об этом медицинскому персоналу. Некоторые из этих предметов могут быть несовместимы с МРТ.
3. Ограничения в питании: В зависимости от области исследования, может потребоваться ограничение в приеме пищи. Например, для МРТ органов брюшной полости рекомендуется не есть за 4-6 часов до процедуры. Уточните у врача, нужно ли соблюдать какие-либо ограничения.
4. Одежда: На процедуру лучше приходить в удобной одежде без металлических деталей. Избегайте ношения украшений, ремней и других аксессуаров, которые могут помешать исследованию. В большинстве случаев вам предложат переодеться в специальный халат.
5. Психологическая подготовка: Если вы испытываете страх перед замкнутыми пространствами (клаустрофобия), сообщите об этом врачу. Возможно, вам предложат успокоительное средство или альтернативные методы, такие как открытый МРТ-аппарат, который менее ограничивает пространство.
6. Информирование о беременности: Женщинам в репродуктивном возрасте рекомендуется сообщить о возможности беременности. В большинстве случаев МРТ не рекомендуется в первом триместре беременности, если нет неотложных показаний.
7. Прием лекарств: Если вы принимаете какие-либо лекарства, уточните у врача, нужно ли продолжать их прием перед процедурой. Некоторые препараты могут повлиять на результаты исследования.
8. Приведение в порядок личных вещей: Перед процедурой убедитесь, что у вас нет с собой металлических предметов, таких как ключи, монеты или мобильные телефоны. Эти предметы могут повредить оборудование и повлиять на качество изображений.
Следуя этим рекомендациям, вы сможете подготовиться к процедуре МРТ и минимизировать возможные риски, что в свою очередь поможет врачам получить наиболее точные и информативные результаты для диагностики.
Вопрос-ответ
Что такое МРТ и как оно работает?
Магнитно-резонансная томография (МРТ) — это метод медицинской визуализации, который использует мощные магнитные поля и радиоволны для создания детализированных изображений внутренних органов и тканей. Процедура основана на принципе ядерного магнитного резонанса, который позволяет получать информацию о структуре и состоянии тканей организма.
Какие преимущества имеет МРТ по сравнению с другими методами визуализации?
МРТ обладает рядом преимуществ, включая отсутствие ионизирующего излучения, что делает его безопасным для повторных исследований. Он также предоставляет высокое разрешение изображений мягких тканей, что позволяет лучше диагностировать заболевания мозга, суставов и внутренних органов по сравнению с рентгеном или КТ.
Как подготовиться к процедуре МРТ?
Перед проведением МРТ пациенту рекомендуется снять все металлические предметы, такие как украшения и часы, так как они могут повлиять на качество изображения. Также важно сообщить врачу о наличии имплантатов, кардиостимуляторов или других медицинских устройств, так как они могут быть противопоказанием для проведения процедуры.
Советы
СОВЕТ №1
Перед проведением МРТ обязательно проконсультируйтесь с врачом, чтобы понять, какие именно области тела будут исследоваться и какие показания к этому есть. Это поможет вам лучше подготовиться к процедуре и снизить уровень тревожности.
СОВЕТ №2
Если у вас есть металлические имплантаты, кардиостимуляторы или другие медицинские устройства, обязательно сообщите об этом медицинскому персоналу перед процедурой. Некоторые из этих устройств могут повлиять на качество изображения или представлять опасность во время МРТ.
СОВЕТ №3
Перед МРТ постарайтесь расслабиться и не нервничать. Если вы страдаете от клаустрофобии, обсудите с врачом возможность использования успокаивающих средств или альтернативных методов, таких как открытые МРТ-аппараты, которые могут быть менее угнетающими.
СОВЕТ №4
После процедуры не спешите покидать медицинское учреждение. Убедитесь, что у вас есть все необходимые инструкции по дальнейшим действиям и когда ожидать результаты. Это поможет вам избежать ненужного стресса и подготовиться к следующему шагу в вашем лечении.




