Магнитно-резонансная томография (МРТ) гипофиза — важный диагностический инструмент для выявления патологий этого эндокринного органа. Гипофиз вырабатывает гормоны, регулирующие физиологические процессы, и может страдать от заболеваний, таких как аденомы, кисты и опухоли. В статье рассмотрим особенности проведения МРТ гипофиза, его преимущества и показания к исследованию, а также важность ранней диагностики заболеваний для своевременного лечения и предотвращения осложнений.
Мрт гипофиза: что показывает, зачем и как проводят, показания и противопоказания, расшифровка результатов
Магнитно-резонансная томография (МРТ) — современный метод нейровизуализации. Аппараты установлены в крупных медицинских учреждениях и применяются при подозрениях на изменения в мягких тканях. МРТ активно используется для диагностики заболеваний мозга, включая патологии гипофиза. Однако этот метод подходит не всем и не всегда, поэтому важно знать, какие подготовительные меры нужно предпринять перед процедурой.
Эксперты в области медицины подчеркивают важность магнитно-резонансной томографии гипофиза для диагностики различных заболеваний. Этот метод позволяет получить детализированные изображения, что особенно актуально при подозрении на опухоли, аденомы или другие патологии. Специалисты отмечают, что МРТ является неинвазивным и безопасным способом исследования, что делает его предпочтительным выбором для пациентов. Кроме того, высокое качество изображений помогает врачам точно оценить размеры и расположение образований, что критично для выбора дальнейшей тактики лечения. Важно, чтобы обследование проводилось в специализированных центрах с современным оборудованием и опытными радиологами, что значительно повышает точность диагностики.
https://youtube.com/watch?v=h9MihvqwIyk
Зачем нужен гипофиз
Эта часть мозга относится к органам внутренней секреции, поэтому его еще называют питуитарной железой.
Находится он в мозгу, в так называемом турецком седле. В нем три доли, каждая отвечает за свои функции. При нормальном развитии не вырастает больше 13 миллиметров, при этом весит около грамма.
К нему подходит кровь из сонной артерии, причем к этой части мозга ведет разветвленная сеть сосудов.
Хотя размер этой железы небольшой, но функций у нее много. специальность – выработка гормонов особого состава, которые регулируют работу половой системы, надпочечников и щитовидной железы.
То есть без гипофиза организм не сможет работать продуктивно и долго существовать.
Из-за проблем с этой железой могут быть аномалии в развитии сердца, сосудов, репродуктивной системы, возможно перебои в росте тела или нетипичный вид кожи.
Также есть предположения, что неправильная работа гипофиза ведет к развитию психических заболеваний.
| Показатель | Нормальные значения | Патологические значения и возможные заболевания |
|---|---|---|
| Размер гипофиза (передне-задний, поперечный, вертикальный) | Зависит от возраста и пола, нормальные диапазоны указаны в протоколе исследования. | Увеличение размеров (макроаденома), уменьшение размеров (гипоплазия) |
| Интенсивность сигнала на Т1-ВИ | Изоинтенсивно относительно серого вещества головного мозга | Гиперинтенсивный сигнал (например, при кистах, кровоизлияниях), гипоинтенсивный сигнал (например, при некоторых опухолях) |
| Интенсивность сигнала на Т2-ВИ | Изо- или гипоинтенсивно относительно серого вещества головного мозга | Гиперинтенсивный сигнал (например, при аденомах, кистах), гипоинтенсивный сигнал (например, при некоторых опухолях) |
| Наличие очаговых изменений | Отсутствуют | Аденомы, микроаденомы, краниофарингиомы, кисты, опухоли, абсцессы |
| Сдавление окружающих структур | Отсутствует | Сдавление хиазмы зрительных нервов (снижение зрения), III, IV, VI черепно-мозговых нервов (офтальмоплегия), гипоталамуса (эндокринные нарушения) |
| Форма гипофиза | Овальная, ровная | Деформация, наличие узлов |
Интересные факты
Вот несколько интересных фактов о магнитно-резонансной томографии (МРТ) гипофиза:
-
Чувствительность к малым изменениям: МРТ гипофиза обладает высокой чувствительностью и может обнаруживать даже небольшие опухоли и аномалии, такие как аденомы, которые могут быть меньше 5 мм. Это позволяет врачам своевременно диагностировать и лечить заболевания, связанные с гипофизом.
-
Безопасность и отсутствие радиации: В отличие от других методов визуализации, таких как компьютерная томография (КТ), МРТ не использует ионизирующее излучение. Это делает его более безопасным для пациентов, особенно для тех, кто подвержен частым обследованиям, например, детям или беременным женщинам.
-
Функциональная МРТ: Современные технологии позволяют проводить функциональную МРТ (фМРТ), которая может оценивать не только анатомию, но и функциональное состояние гипофиза. Это помогает исследовать, как различные гормоны, вырабатываемые гипофизом, влияют на другие системы организма, что может быть полезно в изучении эндокринных заболеваний.
Что показывает МРТ
Основной механизм магнитно-резонансной томографии (МРТ) основан на использовании магнитного поля. При его воздействии атомы водорода излучают сигналы, что позволяет получить многослойное изображение в сагиттальной и фронтальной плоскостях.
МРТ позволяет визуализировать не только ткани желез, но и состояние сосудов, что помогает выявлять заболевания центральной и эндокринной систем. При исследовании гипофиза может использоваться контрастное вещество, что улучшает четкость изображения и помогает определить нарушения и недостаточное кровоснабжение.
Также МРТ позволяет оценить состояние мозга и зрительной хиазмы. Однако применение контраста оправдано не всегда; оно необходимо для обнаружения опухолей, так как новообразования мешают равномерному распространению контраста, что помогает точно определить их расположение и размеры.
Таким образом, врач может оценить характер опухоли и разработать план лечения. МРТ не выявляет изменения в костях или кальцификаты, что не критично для диагностики гипофиза. Мощность аппарата должна быть не менее 1,5 Тесла для получения полной картины и назначения адекватного лечения.
Показания
Исследование железы важно проводить, если анализы показывают высокий уровень пролактина или другие изменения в гормональном фоне.
Чаще всего показаниями выступают:
- Возможное наличие опухоли.
- Подозрение на синдром Кушинга.
- Головные боли с яркими неврологическими симптомами.
- Проблемы в работе половой системы.
- Длительное бесплодие и нарушение эрекции.
- Черепно-мозговые травмы тяжелой степени.
- Некроз гипофиза после родов.
- Наличие пустого турецкого седла.
- Снижение остроты зрения одного глаза, двоение в нем, черные точки, пятна, изменение цвета.
Играет роль и внешность пациента. Показана процедура низкого или высокого роста, если есть проблемы с волосами и кожей, слабо выражены первичные половые признаки.
МРТ проводят для контроля за обнаруженными опухолями, при повышенном внутричерепном давлении и некоторых других болезнях.
Противопоказания
Контрастные вещества противопоказаны при заболеваниях почек и для обследования беременных женщин, так как они могут проникать к плоду.
Не рекомендуется использовать контраст при анемии.
Специальная подготовка перед процедурой не требуется. Если контраст не используется, достаточно прибыть в медицинское учреждение вовремя. При планировании введения контрастного вещества необходимо прийти за 30-60 минут до процедуры и воздержаться от еды и питья за пять часов до нее.
При обследовании детей важно учитывать их эмоциональное состояние. Для активных и беспокойных детей может быть рекомендована седация, что также подходит для взрослых, испытывающих трудности в ограниченном пространстве.
Как проводят МРТ
Дополнительная подготовка перед исследованием не нужна, если не используется контраст. Человек приходит по записи в назначенный день, ему рассказывают о процедуре, подписывают договор.
При использовании контраста рассказывают о его свойствах, возможных побочных явлениях, объеме ввода. Обычно применяют «Гадовист» или «Омнискан».
Перед помещением в камеру с себя надо снять все металлические вещи. Потом человек укладывается в капсулу, голова закрепляется обручем.
Лежать надо неподвижно во время всей процедуры, обычно это занимает до получаса. Если двигаться, исследование будет неинформативным.
Интерпретация результатов
Правильную оценку результатов может дать рентгенолог с навыками интерпретации данных МРТ. Все сведения сохраняются на диске и передаются лечащему врачу.
При анализе снимков специалист обращает внимание на размеры гипофиза, его расположение, состав, структуру, сосудистую сеть, а также наличие опухолей и других образований. Для четкой визуализации гипофиза рекомендуется использовать контрастное вещество, которое помогает выявить опухоли диаметром до 3 миллиметров. МРТ без контраста часто нецелесообразно.
Не все патологии можно обнаружить при магнитно-резонансном исследовании. Опухоли могут иметь различные формы. Во время анализа определяется «эффект массы», показывающий, насколько здоровая ткань искажена и смещена под воздействием новообразования.
Симптомами таких изменений могут быть ухудшение зрения и повышенное давление в голове. На томограмме опухоль проявляется как яркий сигнал.
Причины возникновения опухолей разнообразны:
- Наиболее часто диагностируется аденома гипофиза.
- Аденокарцинома – злокачественное образование.
- Гормонально активные опухоли проявляют себя по-разному; если гормоны не выделяются, такую опухоль называют гормонально неактивной.
Если новое образование не проникает в окружающие ткани, его классифицируют как неинвазивное; в противном случае – как инвазивное. Опухоли различаются по размеру: макроопухоли имеют размер от 1 сантиметра, микроопухоли – до 1 сантиметра. Часто разница составляет всего несколько миллиметров. Однако МРТ не является окончательным методом диагностики и требует подтверждения с помощью биопсии и дополнительных анализов.
Все перечисленные факторы влияют на окончательную постановку диагноза. Обычно опухоли удаляют, даже если они не злокачественные. Если новое образование вырабатывает гормоны, назначаются специальные препараты, блокирующие их активность.
Мрт гипофиза
Магнитно-резонансная томография — наиболее информативный метод визуализации, позволяющий полноценно оценить анатомию гипофиза и прилежащих к нему районов головного мозга.
Метод выделяется своей безопасностью: в процессе обследования не используется рентгеновское излучение.
Показания включают отслеживание динамики развития ранее обнаруженных поражений гипофиза, таких как аденома, эндокринологические и неврологические симптомы: нарушение гормонального фона, головная боль и ухудшение зрения.
Что показывает Мрт гипофиза?
Четкость и контрастность магнитно-резонансных изображений делают МРТ важным инструментом для уточнения результатов обследования головного мозга, полученных с помощью компьютерной томографии или рентгенографии. На снимках отображаются воспалительные, рубцовые, кистозные и опухолевые изменения в области гипофиза. С использованием контрастных веществ можно выявить поражения размером от 1 мм.
Основное показание для визуализации гипофиза — диагностика новообразований. Особое внимание уделяется метастазам, особенно у женщин с раком молочной железы.
Доброкачественные опухоли, такие как аденомы, часто нарушают гормональный фон пациента, что приводит к обращению к врачу. Другие эндокринологические показания для исследования включают:
- недоразвитие половых органов (гипогонадизм);
- дисбаланс гормонов гипофиза (гипопитуитаризм);
- несахарный диабет;
- надпочечниковую недостаточность;
- дефицит гормона роста;
- повышенный уровень пролактина;
- гипотиреоз;
- сбои менструального цикла и бесплодие у женщин;
- эректильную дисфункцию у мужчин.
МРТ также применяется для диагностики неврологических симптомов, даже без гормональных нарушений. К таким симптомам относятся:
- головные боли;
- ухудшение или потеря зрения;
- психические расстройства;
- обмороки;
- судороги;
- эпилепсия;
- менингит.
Как проводится и сколько длится МРТ?
Процедура полностью безболезненна, не доставляет никакого дискомфорта и обычно занимает от 20 до 50 минут, в зависимости от того, какие области тела исследуются, и сколько изображений нужно получить. Важно, чтобы вы расслабились и лежали как можно неподвижнее: любое движение во время исследования размоет полученное изображение. Результаты МРТ будут готовы в течение часа.
Подробнее о подготовке, ходе обследования и противопоказаниях читайте в разделе про МРТ.
В сети диагностических центров ЦМРТ используют высокопольные закрытые томографы GE Signa HDxt 1.5 T от «General Electric Medical Systems». Повышение контрастности снимков достигается применением контрастирующего вещества, вводимого внутривенно.
Преимущества МРТ в ЦКБ РАН
- Процедура безопасна, не вызывает радиационного воздействия и может проводиться многократно.
- Обладает высокой диагностической точностью.
- Квалифицированные специалисты гарантируют надежность диагностики и высокое качество результатов.
Показания МРТ гипофиза (с контрастом)?
- при подозрении на опухоли гипофиза;
- при подозрении на синдром пустого турецкого седла.
Для чего делают МРТ гипофиза (с контрастом)?
- направление от врача;
- выписка из медицинской карты;
- изображения и описания результатов предыдущих исследований (включая МРТ и другие);
- дополнительные документы по вашему заболеванию.
Проведение МРТ гипофиза (с контрастом)
- Непосредственно перед процедурой Вы должны снять с себя все металлические предметы: зубные протезы, украшения, часы, пирсинг и проч.
- Во время исследования Вы будете лежать на передвижном столе, при этом положение тела будет зафиксировано специальными ремнями и валиками. С началом процедуры стол заедет внутрь кольцевой части томографа, где Вы будете находиться до конца процедуры.
- В ходе сканирования не рекомендуется совершать никаких движений, поэтому перед его началом не забудьте убедиться в том, что Вам комфортно.
- Внутри кольца работают освещение и вентилятор, а при каких-то проблемах Вы всегда сможете связаться с технологом по двусторонней связи.
- При необходимости МРТ гипофиза проводят в присутствии родственника или близкого человека.
Ниже вы можете увидеть фото магнитно-резонансной томографии.
Чтобы лучше увидеть разницу между снимком МРТ с контрастом и без наведите курсор на фото и щёлкните по нему. В открывающимся окне вы сможете лучше рассмотреть отличия исследований.
Противопоказания мрт гипофиза (с контрастом)
Процедура магнитно-резонансной томографии (МРТ) противопоказана при наличии металлических элементов в организме, которые могут быть притянуты магнитом. Под воздействием магнитного поля такие детали могут нагреваться и смещаться, что приводит к повреждению тканей и ожогам. Поэтому МРТ нельзя проводить пациентам с металлическими брекетами, скобами на сосудах и другими имплантами.
Исследование также противопоказано людям с кардиостимуляторами, слуховыми аппаратами, инсулиновыми помпами, имплантированными кардиовертеры-дефибрилляторами и другими медицинскими устройствами, так как радиоволны могут нарушить их работу.
Пациентам с клаустрофобией, сильным болевым синдромом или гиперкинезами (непроизвольными движениями) не рекомендуется проходить МРТ, так как они не смогут оставаться неподвижными.
Контрастная МРТ противопоказана беременным и кормящим женщинам из-за потенциальной токсичности контрастных веществ для плода и их способности проникать в грудное молоко.
Кроме того, исследование с контрастом не рекомендуется пациентам с почечной недостаточностью, так как нарушение выведения препарата может вызвать побочные эффекты и отравление организма.
Мрт гипофиза: показания, проведение с контрастом
МРТ гипофиза — это полная, высококачественная методика диагностики локальных отклонений наряду с магнитной томографией головного мозга. Исследование демонстрирует серьёзные нарушения в процессе функционирования анатомической структуры, помогает визуализировать аденомы, аневризмы и прочие патологии, ведущие к летальному исходу больного.
В чём важность гипофиза
Гипофиз расположен в нижней части головного мозга и играет ключевую роль в эндокринной системе и взаимодействии с гипоталамусом. Гипоталамус делится на три области: первая отвечает за гормоны, регулирующие половые функции; средняя контролирует пигментацию кожи; третья, собственно гипофиз, вырабатывает гормоны, регулирующие артериальное давление, половую систему и сердечный тонус.
Основная задача гипофиза — производство гормонов, необходимых для нормальной работы организма. Эта железа влияет на репродуктивную, эндокринную и мочеполовую системы, а также на психоэмоциональное состояние.
Когда показано обследование гипофиза
МРТ-диагностика гипофиза головного мозга назначается при наличии подозрений на развитие патологий органа. Эта же мера диагностики применима в случае выявления проблем с головным мозгом.
Чаще подобное обследование проводится при выявлении прогрессирующей аденомы гипофиза — доброкачественного новообразования, сформированного из железистого эпителия.
В числе прочих показаний к МРТ-обследованию:
- подозрения на синдром Кушинга;
- высокая активность определённых видов гормонов;
- повышенный уровень пролактина;
- сбои в функционировании других желез;
- частые головные боли;
- прогрессирующие патологические процессы в головном мозге;
- стремительная потеря зрения, причина которой не определена;
- сильный сбой в менструальном цикле;
- существенное отклонение в массе тела;
- отсутствие эрекции;
- выраженный гигантизм, карликовость.
Лист противопоказаний
При назначении магнитно-резонансной томографии гипофиза выделяют абсолютные и относительные противопоказания.
Абсолютные противопоказания:
- металлические имплантаты или кардиостимуляторы;
- металлические предметы в организме (пластины, спирали, осколки).
Относительные противопоказания:
- эпилептические приступы;
- тяжёлое общее состояние;
- аллергия на контрастные вещества (при необходимости их использования);
- острая печёночная недостаточность (при введении контраста);
- клаустрофобия;
- невозможность сохранять неподвижность во время процедуры.
Можно ли делать МРТ в период вынашивания ребёнка
https://youtube.com/watch?v=L0_tkpwzL8Q
Ход проведения обследования
Процесс сканирования прост и не требует предварительной подготовки. Томограф находится в отдельном помещении, а врач контролирует исследование из соседней комнаты, общаясь с пациентом через микрофон. Обследование проходит в следующем порядке:
- Пациент переодевается и убирает металлические предметы (очки, украшения и т.д.).
- При проведении МРТ-диагностики гипофиза с контрастом пациенту вводят специальный препарат.
- Сканирование осуществляется в горизонтальном положении пациента на спине.
- Для неподвижности конечности и голова фиксируются ремнями.
- Стол томографа перемещается в тоннель до необходимого уровня. Длительность сканирования составляет от 25 до 60 минут в зависимости от количества снимков.
- Аппарат передает данные на компьютер, который обрабатывает информацию и создает изображения. Снимки анализирует врач.
После процедуры пациент может отдохнуть, нет ограничений по еде и питью или запрета на управление транспортом. Если обследовалась женщина, кормящая грудью, ей рекомендуется отлучить ребенка от груди на 1-2 дня.
Что нужно знать о процедуре с контрастом
Разница между традиционной процедурой и обследованием с применением контраста состоит не только в необходимости использования специфического препарата для подробной диагностики органа. Процедура предполагает проведение пары предварительных мероприятий:
- больному стоит воздержаться от приёма пищи за 5-6 часов до начала сеанса. Наилучшее время диагностики — утро;
- требуется пройти аллергическую пробу, чтобы исключить вероятность появления побочной реакции на контраст.
После введения препарата пациент может ощутить дискомфорт и «металлический» привкус во рту.
В редких случаях возможно развитие побочных явлений в результате применения контраста: тошнота, болезненность в месте инъекции.
В случае проявлений подобных симптомов больному требуется сообщить об этом специалисту. При магнитно-резонансной диагностике микроаденомы гипофиза часто применяется контрастное вещество.
Преимущественные характеристики диагностики
Магнитно-резонансная томография (МРТ) гипофиза имеет ряд уникальных особенностей, делающих её важным инструментом диагностики:
- безболезненность исследования;
- отсутствие ионизирующего излучения;
- высокая четкость изображений;
- возможность выявления аномалий, недоступных другим методам;
- оценка функциональных показателей гипофиза;
- реже аллергические реакции на контраст по сравнению с йодсодержащими препаратами в компьютерной томографии;
- высокая чувствительность к новообразованиям в гипофизе.
В некоторых случаях необходимо выбирать между стандартной МРТ головного мозга и МРТ гипофиза. Стандартное обследование охватывает область турецкого седла, но информация может быть недостаточной для полного понимания проблемы.
Для визуализации патологического очага на ранних стадиях (менее 1 см), определения его структурных характеристик и выяснения причин появления пятен, следует проводить именно МРТ гипофиза.
Гипофиз — ключевая железа в организме, и МРТ позволяет выявить патологии на ранних стадиях. Значение МРТ-диагностики при подозрении на заболевания гипофиза велико, так как эта железа влияет на работу всего организма. Использование контрастного вещества во время сканирования значительно повышает эффективность процедуры.
Мрт гипофиза: что показывает?
Выявление заболеваний, поражающих различные отделы головного мозга, часто представляет сложности из-за особенностей строения данной части тела. Кости черепа, выполняя защитную функцию, ограничивают возможности обследования.
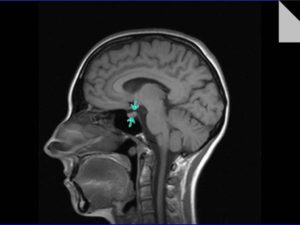
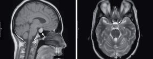
Серия снимков МРТ головного мозга с применением контрастного вещества, сагиттальная и аксиальная проекции
Выраженные затруднения в постановке диагноза возникают при подозрении на патологические изменения тканей гипофиза. Это небольшая железа, расположенная в ямке турецкого седла. Для дифференцирования заболеваний данной области применяют магнитно-резонансную томографию. МРТ гипофиза является информативным и достоверным диагностическим методом.
Что покажет МРТ гипофиза?
Для повышения информативности метода используется контрастное вещество, вводимое внутривенно. Это красящее средство на основе гадолиния не участвует в метаболизме и безопасно для организма.
Магнитно-резонансная томография гипофиза позволяет оценить состояние зрительных нервов, серого и белого вещества головного мозга, а также ликвородинамику. Метод выявляет следующие патологические изменения:
- доброкачественные опухоли;
- злокачественные новообразования;
- кисты;
- врожденные аномалии;
- воспалительные процессы;
- нарушения кровоснабжения.
При диагностике опухолей МРТ помогает определить их расположение и размеры. Эндоселлярные опухоли находятся в пределах турецкого седла, а эндоэкстраселлярные выходят за его границы. Изменения в структуре долей гипофиза и окружающих тканей позволяют различать доброкачественные и злокачественные процессы, однако окончательный диагноз устанавливается на основе гистологического анализа.
Основное преимущество МРТ гипофиза перед другими методами — высокая детализация визуализации тканей. Это позволяет выявлять заболевания на ранних стадиях, что значительно увеличивает эффективность лечения.
Мрт гипофиза: противопоказания к исследованию
Применение магнитного поля для сканирования головного мозга является одним из самых безопасных методов аппаратного обследования. Абсолютными противопоказаниями к проведению МРТ считают:
- наличие у пациента металлических имплантов (спицы, зубные конструкции, протезы и др.);
- присутствие в теле человека вживленных электромагнитных устройств (кардиостимуляторы, инсулиновые помпы и т.д.);
- наличие татуировок, выполненных металлизированными красками.
В любом из перечисленных случаев врач подбирает альтернативный метод обследования (без использования магнитного поля).
Относительными противопоказаниями к сканированию гипофиза с помощью контрастной МРТ считают:
- беременность, первый триместр;
- период грудного вскармливания;
- серьезные патологии печени, почек;
- декомпенсированные заболевания сердечно-сосудистой системы;
- клаустрофобию;
- избыточную массу тела (более 120 кг для аппаратов закрытого типа);
- младенческий возраст (до 4 недель);
- бронхиальную астму тяжелого течения;
- индивидуальную непереносимость контрастного вещества;
- анемию тяжелой степени.
В процессе исследований не было выявлено негативного влияния магнитного поля на эмбрион человека, но в течение первого триместра беременным лучше воздержаться от любого внешнего воздействия. МРТ гипофиза у женщин в период лактации возможно при условии отказа от кормления на период до 36 часов после введения красящего вещества.
При запущенных хронических процессах в печени и почках контрастная МРТ может спровоцировать обострение заболевания. Нахождение в замкнутом пространстве и эмоциональное напряжение во время обследования негативно сказываются на состоянии пациентов, страдающих клаустрофобией, что значительно затрудняет исследование.
Декомпенсированные патологии сердечно-сосудистой системы служат противопоказанием для введения контраста, обострение стенокардии сопровождается выраженным болевым синдромом.
Такие состояния осложняют проведение МРТ гипофиза и требуют индивидуальной подготовки пациента к процедуре..
https://youtube.com/watch?v=FYhtvu1-5K4
Предварительно рекомендуют снять металлические украшения, пирсинг, аксессуары. Одежда для обследования должна быть удобной, некоторые клиники выдают специальные одноразовые комплекты.
Премедикацию проводят только при показаниях и в соответствии с рекомендациями лечащего врача, самостоятельный прием лекарств перед МРТ нежелателен.
Расшифровка результатов МРТ гипофиза головы
Профессиональная интерпретация результатов МРТ гипофиза основывается на пяти ключевых критериях:
- расположение;
- форма;
- размеры;
- контуры;
- структура.
Гипофиз располагается в ямке турецкого седла клиновидной кости. В сагиттальной проекции он овальный, а в фронтальном сечении — прямоугольный. Нижняя граница железы соответствует контурам костного кармана, верхний край может быть слегка выпуклым или вогнутым.
Размеры гипофиза варьируются и изменяются на протяжении жизни. Средние показатели:
- длина — 5-10 мм;
- ширина — 3-5 мм;
- высота — 6-8 мм.
Увеличение размеров свыше 10 мм может указывать на патологические процессы. Физиологические изменения наблюдаются у детей в период роста и у женщин во время беременности, когда размеры могут достигать верхних пределов нормы.
Гипофиз имеет четкие контуры и однородную структуру без включений. Истончение железы, принимающей серповидную форму и не заполняющей костный карман, называется синдромом пустого турецкого седла. Это состояние может быть связано с врожденными аномалиями или серьезными нарушениями.
Атипичное расположение задней доли гипофиза и недоразвитие передней части указывают на снижение синтеза соматотропина, отвечающего за рост и развитие. Ранняя диагностика позволяет корректировать гормональный баланс и нормализовать физиологические процессы.
Определение новообразований проводится с помощью контрастной МРТ, так как обычные снимки не всегда информативны для опухолей менее 1 см. Контрастный раствор помогает различать доброкачественные и злокачественные образования с собственной сетью кровеносных сосудов. Злокачественные участки имеют неоднородную структуру и размытые границы.
Микроаденомы гипофиза необходимо дифференцировать от кист, которые на Т1-взвешенных изображениях выглядят как темные участки с четкими границами. Признаки опухоли:
- нарушение симметрии железы;
- смещение воронки гипоталамуса от центральной оси;
- изменение формы костного кармана.
Доброкачественные опухоли гипофиза классифицируются по размеру: микроаденомы (до 10 мм), макроаденомы (более 10 мм) и гигантские аденомы (более 30 мм). Радиолог укажет характер образования, его границы и локализацию, а окончательный диагноз ставит лечащий врач на основе полученных результатов.
Сравнение МРТ гипофиза с другими методами диагностики
Магнитно-резонансная томография (МРТ) гипофиза является одним из наиболее эффективных методов визуализации, позволяющим получить детализированные изображения этой важной железы внутренней секреции. Однако, для полноценной оценки состояния гипофиза и диагностики различных заболеваний, необходимо сравнить МРТ с другими методами диагностики, такими как компьютерная томография (КТ), ультразвуковое исследование (УЗИ) и рентгенография.
Компьютерная томография (КТ) является одним из основных методов визуализации, используемых для диагностики заболеваний головного мозга. КТ позволяет быстро получить изображения, однако она менее чувствительна к изменениям мягких тканей, чем МРТ. Это особенно важно при исследовании гипофиза, так как многие патологии, такие как аденомы или кисты, могут быть не видны на КТ. Кроме того, МРТ не использует ионизирующее излучение, что делает его более безопасным для пациента.
Ультразвуковое исследование (УЗИ) в основном применяется для оценки состояния органов, расположенных в брюшной полости и малом тазу. В случае гипофиза УЗИ не является стандартным методом диагностики, так как эта железа расположена глубоко в черепе и не доступна для ультразвуковых волн. Тем не менее, УЗИ может быть полезным для оценки состояния щитовидной железы и других эндокринных органов, что может косвенно указывать на нарушения в работе гипофиза.
Рентгенография также не является предпочтительным методом для диагностики заболеваний гипофиза. Хотя рентген может быть использован для оценки состояния костей черепа, он не предоставляет достаточной информации о мягких тканях и не позволяет визуализировать сам гипофиз. В некоторых случаях рентгенография может помочь выявить изменения в костях, связанные с опухолями или другими патологиями, но для детальной оценки состояния гипофиза необходимы более точные методы, такие как МРТ.
Таким образом, МРТ гипофиза является наиболее информативным и безопасным методом диагностики, позволяющим выявлять различные патологии, включая опухоли, кисты и другие аномалии. В отличие от КТ, УЗИ и рентгенографии, МРТ обеспечивает высокое разрешение изображений и позволяет получить трехмерные модели, что значительно улучшает точность диагностики и планирования лечения.
Вопрос-ответ
Что такое МРТ гипофиза и зачем оно необходимо?
МРТ гипофиза — это магнитно-резонансная томография, которая позволяет получить детальные изображения гипофиза и окружающих тканей. Это исследование необходимо для диагностики различных заболеваний, таких как опухоли, гипопитуитаризм, или другие нарушения, связанные с функцией гипофиза.
Как проходит процедура МРТ гипофиза?
Процедура МРТ гипофиза обычно занимает от 30 до 60 минут. Пациент ложится на специальный стол, который помещается в магнитный томограф. Во время исследования важно оставаться неподвижным, чтобы получить четкие изображения. В некоторых случаях может быть использован контрастный препарат для улучшения визуализации.
Есть ли противопоказания для проведения МРТ гипофиза?
Да, существуют противопоказания для проведения МРТ. К ним относятся наличие металлических имплантов, кардиостимуляторов, а также некоторых других медицинских устройств. Также беременным женщинам рекомендуется избегать МРТ без необходимости. Перед процедурой важно сообщить врачу о всех имеющихся противопоказаниях и состояниях здоровья.
Советы
СОВЕТ №1
Перед проведением МРТ гипофиза обязательно проконсультируйтесь с врачом. Он поможет вам понять, какие показания для исследования у вас есть и какие результаты могут быть получены.
СОВЕТ №2
Убедитесь, что у вас нет противопоказаний для проведения МРТ, таких как наличие металлических имплантов или кардиостимуляторов. Сообщите об этом своему врачу перед процедурой.
СОВЕТ №3
Перед исследованием постарайтесь расслабиться и не нервничать. МРТ может занять от 20 до 60 минут, и важно оставаться неподвижным для получения качественных изображений.
СОВЕТ №4
После процедуры обсудите результаты с врачом. Он объяснит, что означают полученные данные и какие дальнейшие шаги могут быть необходимы для вашего здоровья.



