Кисты на губах — распространенная проблема, вызывающая дискомфорт и эстетические неудобства. Многие задаются вопросом: можно ли обойтись без хирургического вмешательства и вылечить кисту народными методами? В статье рассмотрим подходы к лечению кист на губах, оценим эффективность народных средств и определим, в каких случаях операция необходима. Эта информация поможет читателям сделать осознанный выбор в вопросах здоровья и ухода за собой.
Причины
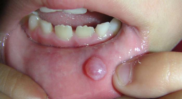
Киста на губе — это мягкое, округлое образование, обычно без симптомов, прозрачного цвета, размером от 0,3 до 0,5 см. Без лечения она может стать плотнее и изменить цвет на белый, напоминая фиброму.
Причины образования кисты:
- Травма слюнной железы — нарушает функционирование протока, что приводит к застою слюны и образованию нароста с жидкостью. У кисты отсутствует оболочка, так как она развивается вне соединительной ткани.
- Воспаление от травмы — может возникнуть у людей любого возраста и иметь наследственный характер.
- Омертвение выводящих протоков — приводит к застою слюны и образованию кисты или рубца, нарушая движение жидкости и растягивая стенку протока.
Не рекомендуется вскрывать кисту в домашних условиях, так как это может вызвать сильную боль и воспаление из-за инфекции.
Врачи считают, что народные методы лечения кисты на губе часто неэффективны и могут быть опасны. Компрессы, травяные отвары и мази на основе натуральных компонентов редко приводят к полному выздоровлению. Кисты могут возникать по разным причинам, и без точной диагностики невозможно определить подходящее лечение. В большинстве случаев требуется хирургическое вмешательство для удаления кисты, особенно если она вызывает дискомфорт или эстетические проблемы. Операция обычно безопасна и предотвращает рецидивы. Пациенты должны избегать самолечения и обращаться за профессиональной помощью для предотвращения осложнений и обеспечения эффективного лечения.
Мнения экспертов по поводу лечения кисты на губе народными методами разделяются. Некоторые специалисты утверждают, что использование травяных настоев и компрессов может облегчить симптомы и уменьшить воспаление, однако они подчеркивают, что такие методы не способны устранить саму кисту. Врач-дерматолог отмечает, что народные средства могут быть полезны на начальных стадиях, но при наличии крупных образований или ухудшении состояния необходимо обратиться к врачу. Хирургическое вмешательство часто является единственным эффективным способом удаления кисты, особенно если она вызывает дискомфорт или эстетические проблемы. Важно помнить, что самолечение может привести к осложнениям, поэтому консультация с медицинским специалистом остается ключевым шагом в решении данной проблемы.
https://youtube.com/watch?v=LykIkDvPxMg
Виды
Чтобы точно установить диагноз, необходимо определить какая именно киста была сформирована на слюнной железы. В медицинской терминологии имеются следующие виды:
- Подъязычная – она сосредоточена над подъязычно-челюстной мышцей. Может поражать подчелюстную область. Размеры у нее большие, что мешает нормально разговаривать и употреблять еду.
- Подчелюстная – она поражает область поднижнечелюстного треугольника. При прощупывании киста представлена в виде гладкого округлого нароста. При его увеличении в размерах он может поразить верхние отделы полости рта. Это приводит к перемещению кисты в подъязычную область. При этом наблюдается сбой в работе слюноотделительной функции.
- Околоушная киста – этот вид нароста диагностируют реже всего. Он находиться в протоке околоушной слюнной железы. При глубоком расположении кисты определить флюктуацию ее не возможно. Причина формирования околоушной кисты состоит в механическом повреждении, закупорки междолькового протока железы и воспалении. На первых стадиях развитие кисты осуществляется без видимых симптомов, а дальше человек испытывает трудности во время открывания рта
- Экстравазатная – эта киста формируется по причине механического дефекта. Внутри ее образуется грануляционная ткань. А ее оболочкой служит слюнная железа.
| Метод лечения | Эффективность при кисте губы | Риски и побочные эффекты |
|---|---|---|
| Хирургическое удаление | Высокая (полное удаление кисты) | Кровотечение, инфекция, рубцевание, повреждение нервов |
| Народные методы (примочки, компрессы с травами) | Низкая (может уменьшить воспаление, но не удаляет кисту) | Аллергические реакции, раздражение кожи, замедление заживления, риск инфицирования |
| Лазерное удаление | Высокая (точное удаление, минимальное повреждение тканей) | Ожоги, рубцевание (редко), высокая стоимость |
| Лечение медикаментами (противовоспалительные) | Низкая (снижает воспаление, но не удаляет кисту) | Побочные эффекты лекарственных препаратов |
Интересные факты
Вот несколько интересных фактов о лечении кист на губе:
-
Народные методы: Существуют различные народные средства, которые люди используют для уменьшения кист, такие как компрессы с алоэ вера, масло чайного дерева или настойка прополиса. Однако эффективность этих методов не всегда подтверждена научными исследованиями, и они могут помочь только в случае небольших образований или на начальных стадиях.
-
Риск самолечения: Попытки самостоятельно лечить кисту могут привести к осложнениям, таким как инфекция или воспаление. Важно помнить, что некоторые образования могут быть злокачественными, и неправильное лечение может усугубить ситуацию.
-
Хирургическое вмешательство: В большинстве случаев, если киста вызывает дискомфорт, эстетические проблемы или не проходит самостоятельно, рекомендуется обратиться к врачу. Хирургическое удаление кисты является наиболее эффективным и безопасным способом лечения, особенно если киста большая или вызывает болезненные ощущения.
https://youtube.com/watch?v=4amoC-bEMLY
Симптомы
Кисту на губах можно распознать по следующим признакам:
- размер образования в начале не превышает 1 см;
- нарост увеличивается постепенно;
- киста имеет округлую, шарообразную форму;
- отсутствуют болезненные ощущения, кроме чувства инородного тела в ротовой полости;
- при значительных размерах может затрудняться еда и речь.
Существует множество мнений о лечении кисты на губе народными средствами. Некоторые считают, что компрессы с травами или маслами могут снизить воспаление и способствовать рассасыванию кисты. Например, настойка календулы и масло чайного дерева часто упоминаются как эффективные. Однако многие специалисты предупреждают, что такие методы могут быть неэффективными и даже опасными, особенно при воспалении или инфекции. В таких случаях лучше обратиться к врачу. Оперативное удаление кисты часто является наиболее надежным решением, особенно если она вызывает дискомфорт или эстетические проблемы. Самолечение может привести к осложнениям, поэтому консультация с медицинским специалистом всегда предпочтительна.
Фото
https://youtube.com/watch?v=YaPLquupcDQ
Как проводят лечение?
Лечение кисты на губе включает несколько методов:
- Оперативное вмешательство.
- Медикаментозная терапия.
- Народные рецепты.
Рассмотрим каждый из этих способов подробнее.
Операция
Чтобы навсегда избавиться от нароста на губе, необходимо провести оперативное вмешательство. Но не всегда врачи прибегают к этому способу терапии. Для начала они предлагают подождать несколько дней, так как существует возможность того, что киста сможет сама рассосаться.
- Процесс удаления кисты осуществятся хирургическим путем, а проводит операцию стоматолог.
- Для этого пациенту вводят местную анестезию в губу, а после операции накладывают швы.
- После операции в течение нескольких дней может наблюдаться припухлость губы.
- Во время удаления нароста врач должен быть предельно осторожным, чтобы не навредить тонкой оболочке кисты. Если это произойдет, то вся жидкость, находящаяся в ней, вытечет и будет проблематично понять, где заканчивается нарост.
- Если киста была удалена не полностью, то существует высокая вероятность рецидива. Во второй раз операция будет произведена в целях удаления слюнной железы.
Сегодня для удаления кисты на губе врачи применяют инновационный метод терапии – лазерную технологию. Благодаря этой процедуре риск осложнений сводится к минимуму. Длительность процедуры составляет 30 минут.
Популярность лазерного лечения вызвана тем, что отсутствуют обильные кровотечения и повреждения слизистой области слюнных желез. Именно эти факторы осложняют процесс и увеличивают продолжительность операции. Кроме этого, при обычной операции врачи применяют сильные анестетики. Лазерный способ терапии относится к щадящим, так как он предполагает применение анестетиков меньшей силы действия, а это снижает риск образования осложнений.
Операция лазером проводится под местной анестезией, а затем накладывают тонкие швы, они смогут рассосаться за неделю. Содержимое нароста должно быть отправлено на гистологическое исследование, эта процедура обязательная при удалении различных опухолей. Благодаря такой диагностике можно будет понять природу опухоли и вовремя исключить осложнения. Длительность операции составляет 40 минут. Полное заживление раны происходит через месяц, а вероятность образования рецидива минимальная.
Медикаменты
Лечение кисты на губе медикаментами недостаточно. Обычно препараты назначают после хирургического вмешательства для ускорения восстановления и снижения риска осложнений.
После удаления кисты врач очищает рану и накладывает рассасывающиеся швы, которые исчезают через неделю. Пациенту нужно обрабатывать рану хлоргексидином для дезинфекции.
После каждого приема пищи рекомендуется наносить мазь Фукоцин для заживления. Полное заживление может занять до полугода, но при небольшом поражении процесс может быть быстрее. В первые дни после операции возможны дискомфорт, трудности при разговоре и приеме пищи.
Видео: удаление ретенционной кисты нижней губы.
Народные средства
- солевой раствор – необходимо поместить в стакан с теплой водой небольшое количество соды. Получить максимальный эффект можно, если добавить несколько капель йода. Задействовать раствор для ополаскивания ротовой полости. Подобные мероприятия проводить несколько раз в день. Приготовленный раствор оказывает отличный дезинфицирующий эффект и снимает воспаление, предотвращая дальнее разрастание опухоли;
- спиртовая настойка с хреном – следует измельчить хрен, поместить кашицу в спирт и настаивать 3 дня. Применять для ополаскивания. Раствор оказывает отличный антисептический эффект, убирает инородные бактерии;
- отвары – для приготовления можно задействовать ромашку. Календулу, шалфей, кору дуба, тысячелистник. Представленные травы можно соединить или использовать по отдельности. Приготовленные отвары отлично купируют воспалительный процесс и дезинфицируют ротовую полость;
- чеснок – еще с древних времен чеснок считали отличным антисептическим продуктом. Взять несколько долек чеснока, измельчить и приложить полученную кашицу на пораженный участок губы. Этот продукт отлично заживляет трещины и раны, делает крепче десны;
- сок каланхоэ – лист растения превратить в кашицу и приложить ее на пораженную область губы. Сок оказывает заживляющее действие и купирует воспаление;
- настойка фикуса – мелко порубить листья растения, отправить их в спирт и ждать 3 дня. Полученный раствор разбавить водой, смочить ватный диск и приложить к пораженной части губы.
Профилактика
Киста на губе включает в себя несколько важных аспектов, которые помогут снизить риск ее появления и развития. Во-первых, необходимо соблюдать правила личной гигиены. Регулярное мытье рук и лица, а также использование индивидуальных средств личной гигиены, таких как полотенца и бритвы, помогут избежать попадания инфекции и воспалительных процессов.
Во-вторых, важно следить за состоянием здоровья полости рта. Регулярные визиты к стоматологу и своевременное лечение зубных заболеваний могут предотвратить возникновение кист, связанных с инфекциями или воспалениями. Также стоит избегать травм губ, которые могут привести к образованию кисты. При занятиях спортом рекомендуется использовать защитные средства, такие как капы.
Кроме того, стоит обратить внимание на питание. Употребление достаточного количества витаминов и минералов, особенно витаминов A, C и E, способствует поддержанию здоровья кожи и слизистых оболочек. Избегание стрессов и поддержание общего психоэмоционального состояния также играют важную роль в профилактике различных заболеваний, включая кисты.
Наконец, важно помнить о необходимости избегать вредных привычек, таких как курение и чрезмерное употребление алкоголя, которые могут негативно сказаться на состоянии кожи и слизистых оболочек. Соблюдение этих простых рекомендаций поможет снизить риск возникновения кист на губах и поддерживать здоровье в целом.
Вопрос-ответ
Какие народные методы могут помочь при кисте на губе?
Среди народных методов часто рекомендуются компрессы с отварами трав, такими как ромашка или календула, а также использование меда и алоэ. Однако стоит помнить, что эффективность этих методов не всегда подтверждена научными исследованиями, и они могут лишь облегчить симптомы, но не устранить проблему.
Когда следует обратиться к врачу при наличии кисты на губе?
Если киста на губе начинает увеличиваться в размере, вызывает боль, дискомфорт или изменения в цвете кожи, необходимо обратиться к врачу. Также стоит посетить специалиста, если киста не проходит в течение нескольких недель или вызывает другие настораживающие симптомы.
Можно ли обойтись без операции при кисте на губе?
В некоторых случаях киста может рассосаться самостоятельно или уменьшиться в размере, но это не всегда возможно. Если киста не исчезает или вызывает проблемы, операция может быть единственным эффективным способом лечения. Решение о необходимости операции должен принимать врач на основе индивидуальных особенностей пациента.
Советы
СОВЕТ №1
Перед тем как применять народные методы, обязательно проконсультируйтесь с врачом. Самолечение может привести к ухудшению состояния, поэтому важно получить профессиональную оценку вашей ситуации.
СОВЕТ №2
Если вы все же решите попробовать народные средства, начните с простых и безопасных методов, таких как компрессы с теплой водой или отварами трав, например, ромашки. Это может помочь уменьшить воспаление и облегчить симптомы.
СОВЕТ №3
Следите за состоянием кисты. Если она не уменьшается или, наоборот, начинает увеличиваться, обязательно обратитесь к врачу. В некоторых случаях может потребоваться хирургическое вмешательство для удаления кисты.
СОВЕТ №4
Обратите внимание на свое питание и образ жизни. Употребление здоровой пищи, богатой витаминами и минералами, а также отказ от вредных привычек могут способствовать улучшению состояния кожи и общего здоровья.
