Киста на десне — распространённая проблема, вызывающая дискомфорт и беспокойство. В статье рассмотрим, возможно ли вылечить кисту на десне в домашних условиях, а также методы, которые могут облегчить симптомы и предотвратить осложнения. Понимание доступных вариантов лечения поможет читателям принять обоснованное решение о своём здоровье и избежать ненужных визитов к стоматологу.
Почему возникает киста на десне?
Киста – это полость, заполненная мертвыми клетками, гноем и бактериями. Она может увеличиваться и разрушать зуб, корни и костную ткань. В сложных случаях возможны повышение температуры, ухудшение состояния и увеличение лимфатических узлов из-за воспаления.
Причины образования кисты:
- Некачественная пломбировка каналов – ошибки стоматологов при лечении корневых каналов могут привести к осложнениям и утрате зуба. Основная ошибка – неполная пломбировка канала, оставляющая полость для воспаления, что может вызвать периодонтальный абсцесс. При накоплении гноя он может выйти за пределы корня и сформировать кисту на десне.
- Несвоевременное лечение пульпита и кариеса – периодонтит может развиться у взрослых и детей как осложнение кариеса и пульпита. Гной скапливается в области верхушки корня и может проникнуть под слизистую десны.
- Перфорация зуба – стоматолог может случайно сделать отверстие в канале при его чистке. Это происходит, если штифт установлен неправильно или лечение проводилось без рентгенографии. В результате запломбировать канал становится невозможно, что вызывает воспаление и периодонтальный абсцесс, который может привести к образованию кисты.
В редких случаях киста может возникнуть как осложнение гайморита. Появление кисты во время беременности требует обращения к стоматологу.
Лечение кисты на десне в домашних условиях не безопасно и неэффективно. Народные средства, такие как полоскания солевым раствором или травяные настойки, не устраняют причину и могут усугубить ситуацию. Кисты часто требуют профессионального вмешательства для предотвращения осложнений, таких как инфекция или повреждение тканей. Рекомендуется обратиться к стоматологу для диагностики и лечения, которое может включать дренирование кисты или хирургическое вмешательство. Игнорирование проблемы или самолечение могут привести к серьезным последствиям для здоровья полости рта.
Эксперты в области стоматологии подчеркивают, что лечение кисты на десне в домашних условиях может быть неэффективным и даже опасным. Хотя некоторые пациенты прибегают к народным средствам, таким как полоскания с солью или травяными настоями, эти методы не устраняют причину образования кисты и могут лишь временно облегчить симптомы. Важно помнить, что киста может быть признаком более серьезных заболеваний, таких как инфекция или воспаление. Поэтому стоматологи настоятельно рекомендуют обратиться к специалисту для диагностики и назначения адекватного лечения. Игнорирование проблемы или самостоятельное лечение может привести к осложнениям и ухудшению состояния. Профессиональная помощь остается наиболее надежным способом решения данной проблемы.
https://youtube.com/watch?v=exzJdL6c35U
Симптомы
На начальной стадии болезни воспаляется периодонт. Больной чувствует неприятные ощущения в области десны и замечает небольшую припухлость. Однако, не всегда на этой стадии заболевания обращаются за стоматологической помощью и болезнь продолжает прогрессировать. В области припухлости появляется гранулема, которая дальше превращается в кисту.
Довольно длительное время больной может и не догадываться о своем заболевании, так как оно способно протекать абсолютно бессимптомно. Лишь иногда киста может давать о себе знать во время надкусывания или при надавливании на десну.
Во время простудного заболевания, на фоне снижения иммунитета, инфекция обостряется, что проявляется острой болью и повышенным гноеобразованием. Наряду с болезненными ощущениями у больного появляется отек десны и щеки, возможно повышение температуры тела.
| Метод лечения | Эффективность при кисте на десне | Риски и побочные эффекты |
|---|---|---|
| Домашние средства (полоскания соленой водой, отварами трав) | Низкая. Может помочь снять воспаление, но не устранит причину кисты. | Аллергические реакции, раздражение слизистой. |
| Профессиональное лечение (хирургическое вмешательство, медикаментозная терапия) | Высокая. Полное удаление кисты и лечение причины ее возникновения. | Риски, связанные с хирургическим вмешательством (кровотечение, инфекция), побочные эффекты лекарственных препаратов. |
| Самолечение без консультации врача | Крайне низкая. Может привести к осложнениям и ухудшению состояния. | Развитие осложнений (абсцесс, распространение инфекции), необходимость более сложного и дорогостоящего лечения в будущем. |
Интересные факты
Вот несколько интересных фактов о лечении кист на десне в домашних условиях:
-
Народные средства: Некоторые люди используют народные средства, такие как полоскания солевым раствором или отварами трав (например, ромашки или шалфея), чтобы уменьшить воспаление и облегчить симптомы. Однако эти методы могут лишь временно облегчить состояние, но не устраняют причину кисты.
-
Риск осложнений: Лечение кист на десне в домашних условиях может быть опасным, так как неправильное обращение с проблемой может привести к осложнениям, таким как инфекция или распространение воспалительного процесса. Поэтому важно консультироваться с врачом, прежде чем начинать любое лечение.
-
Профилактика: Поддержание хорошей гигиены полости рта и регулярные визиты к стоматологу могут помочь предотвратить образование кист. Важно следить за состоянием десен и зубов, чтобы избежать необходимости в более серьезном лечении.
https://youtube.com/watch?v=p1VonhHU8-s
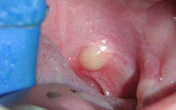
Фото
Многие сталкиваются с кистой на десне и ищут домашние методы лечения. В интернете можно найти советы, от солевых растворов до травяных настоев. Однако такие методы лишь временно облегчают симптомы и не устраняют причину кисты. Полоскания с содой или отварами трав могут снизить воспаление, но не заменяют профессиональное лечение. Врачи предупреждают, что игнорирование проблемы может привести к инфекциям или потере зуба. Домашние методы могут облегчить боль, но консультация с стоматологом необходима для эффективного и безопасного лечения.
Методы лечения
Лечение кисты на десне проводится двумя способами: хирургическим и консервативным.
При хирургическом лечении возможно проведение цистэктомии, когда киста полностью удаляется вместе с частью корня зуба и гемисекции, когда удаляется весь кистозный мешок вместе с корнем и частью зуба.
При консервативном лечении вскрывают сам зуб и прочищают о гнойного содержимого. Чтобы облегчить симптомы, врач может вскрыть кисту, чтобы вытекло все ее содержимое, после чего наступает значительное облегчение.
Консервативное лечение имеет свои недостатки, так как есть риск повторного развития кисты.
Современная медицина позволяет спасать даже крайне тяжелые зубы, поэтому к удалению прибегают, только если ни один из методов не оказался эффективным. Когда ваш стоматолог рекомендует удалять зуб, но вы не знаете, что делать, обратитесь в другую клинику, возможно, другой специалист возьмется спасти вашу улыбку.
Традиционные меры
Лечение кисты требует значительных усилий и финансовых затрат. Для полного устранения образования и его причин потребуется несколько визитов к стоматологу. Специалист выполняет следующие шаги:
- Лечение корневых каналов. Каналы распломбировываются, даже если была проведена пломбировка. При первичном обращении удаляется пульпа.
- Каналы промываются антисептическими растворами для удаления гнойного содержимого кисты.
- В очищенную полость кисты вводится антисептическое медикаментозное средство.
- Каналы заполняются временной пастой с антисептическими свойствами.
- Лечение медикаментами может длиться несколько месяцев, поэтому потребуется периодическое посещение стоматолога для замены препарата.
- Для проверки исчезновения или уменьшения кисты проводится рентгенография. При положительном результате можно переходить к следующему этапу.
- Временное содержимое удаляется, и каналы заполняются гуттаперчей на постоянной основе.
- После пломбировки восстанавливается структура зуба.
Киста на десне – лечение в домашних условиях
Лечение даже народными средствами лучше проводить после осмотра стоматолога. В домашних условиях можно эффективно заниматься профилактическими мерами, которые помогут снять воспаление и уменьшить кисту без операции.
Чтобы предотвратить большое количество зубных заболеваний, важно, соблюдать гигиену полости рта. Пользоваться нитью, ополаскивателями и раз в три месяца менять зубную щетку.
В целях профилактики можно использовать народные средства, которые оказывают дезинфицирующий эффект, к ним относится, например, кунжутное масло. Для уменьшения опухоли, к десне можно прикладывать тампон, предварительно смоченный в кунжутном и гвоздичном масле.
Для уменьшения воспаления подходят следующие растительные средства:
- масло чайного дерева;
- сок клюквенный;
- масло бергамота, мяты и миндаля;
- вода с небольшим количеством лимонного сока.
Все растительные компоненты обладают антисептическим свойством, помогают бороться с болезнетворными бактериями в ротовой полости.
Видео: киста на десне.
https://youtube.com/watch?v=D_JNkBN3-R8
Дополнительные вопросы:
► Как долго заживает киста после удаления?
После консервативного лечения симптомы могут исчезнуть быстро. При хирургическом вмешательстве восстановление занимает несколько недель. Для облегчения процесса могут назначаться антибиотики, обезболивающие и противовоспалительные препараты. Рекомендуется полоскать рот антисептическими растительными растворами.
Профилактика кисты на десне
Профилактика кисты на десне является важным аспектом поддержания здоровья полости рта и предотвращения возникновения подобных образований. Киста на десне может возникнуть по различным причинам, включая инфекции, травмы, воспалительные процессы и неправильную гигиену. Чтобы минимизировать риск появления кисты, следует соблюдать несколько простых, но эффективных рекомендаций.
1. Регулярная гигиена полости рта. Один из основных способов профилактики кисты на десне — это тщательная и регулярная гигиена полости рта. Чистка зубов дважды в день с использованием фторсодержащей зубной пасты помогает удалить налет и предотвратить развитие кариеса и заболеваний десен. Не забывайте также о чистке языка и использовании зубной нити для удаления остатков пищи из межзубных пространств.
2. Посещение стоматолога. Регулярные профилактические осмотры у стоматолога (не реже одного раза в полгода) позволяют выявить проблемы на ранних стадиях. Стоматолог сможет провести профессиональную чистку зубов, а также оценить состояние десен и выявить возможные воспалительные процессы, которые могут привести к образованию кисты.
3. Правильное питание. Сбалансированное питание, богатое витаминами и минералами, особенно кальцием и витамином D, способствует укреплению зубов и десен. Избегайте избыточного потребления сахара и кислых продуктов, которые могут способствовать развитию кариеса и воспалительных процессов в деснах.
4. Избегание вредных привычек. Курение и чрезмерное употребление алкоголя негативно сказываются на здоровье десен и могут способствовать развитию различных заболеваний, включая кисты. Отказ от этих привычек поможет улучшить общее состояние полости рта.
5. Устранение травм. Будьте осторожны с травмами десен, которые могут возникнуть в результате неправильного использования зубных щеток, жесткой пищи или спортивных травм. Если вы заметили повреждение десны, обратитесь к стоматологу для оценки ситуации и получения рекомендаций по лечению.
6. Контроль хронических заболеваний. Некоторые хронические заболевания, такие как диабет, могут увеличивать риск заболеваний десен. Если у вас есть подобные заболевания, важно контролировать их и следовать рекомендациям врача для снижения риска осложнений.
Соблюдение этих простых рекомендаций поможет вам снизить риск возникновения кисты на десне и поддерживать здоровье полости рта на высоком уровне. Помните, что профилактика всегда проще и эффективнее, чем лечение уже возникших заболеваний.
Вопрос-ответ
Каковы основные симптомы кисты на десне?
Симптомы кисты на десне могут включать опухоль или уплотнение в области десны, болезненность, покраснение, а также возможное выделение гноя. В некоторых случаях может наблюдаться неприятный запах изо рта и затруднение при жевании.
Какие домашние средства могут помочь при кисте на десне?
Некоторые домашние средства, такие как полоскание рта солевым раствором или настоем ромашки, могут помочь уменьшить воспаление и облегчить дискомфорт. Однако важно помнить, что эти методы не заменяют профессионального лечения и не устраняют причину кисты.
Когда следует обратиться к стоматологу при наличии кисты на десне?
Обратиться к стоматологу следует, если киста не проходит в течение нескольких дней, сопровождается сильной болью, отеком или гнойными выделениями. Также важно посетить врача, если наблюдаются признаки инфекции, такие как повышение температуры или общее недомогание.
Советы
СОВЕТ №1
Перед тем как пытаться лечить кисту на десне в домашних условиях, обязательно проконсультируйтесь с врачом-стоматологом. Самолечение может привести к осложнениям, поэтому важно получить профессиональную оценку состояния.
СОВЕТ №2
Используйте полоскания с антисептическими растворами, такими как раствор соли или соды. Это может помочь уменьшить воспаление и предотвратить инфекцию, но не заменяет визит к врачу.
СОВЕТ №3
Обратите внимание на свою диету. Употребление продуктов, богатых витаминами и минералами, особенно витамина C, может способствовать укреплению десен и улучшению общего состояния полости рта.
СОВЕТ №4
Избегайте травмирования области кисты и не пытайтесь самостоятельно прокалывать или выдавливать ее. Это может усугубить проблему и привести к инфекции.
