Керамические брекеты становятся популярным выбором для исправления прикуса и выравнивания зубов. Однако они подходят не всем. Выбор ортодонтической конструкции зависит от индивидуальных особенностей зубочелюстной системы, возраста, образа жизни и предпочтений пациента. В этой статье мы рассмотрим, кому подойдут керамические брекеты, а кому лучше выбрать другие виды ортодонтических аппаратов, чтобы помочь вам сделать осознанный выбор и достичь желаемых результатов в коррекции зубного ряда.
Особенности керамических брекетов
Эта система представляет собой эстетически привлекательные ортодонтические конструкции для коррекции зубов и прикуса. Брекеты устанавливают на верхнюю и нижнюю челюсти в зависимости от расположения зубов. Процесс ношения обычно занимает около двух лет, поэтому внешний вид устройств становится важным аспектом.
Многие испытывают дискомфорт из-за металлических систем, которые могут негативно сказаться на эстетике улыбки, и даже отказываются от лечения. С появлением керамических брекетов проблема эстетики решена: они почти незаметны на зубах, а некоторые элементы могут быть прозрачными.
Керамические брекеты становятся популярными среди пациентов, желающих эстетически исправить зубной ряд. Ортодонты отмечают, что такие конструкции подходят взрослым и подросткам, заботящимся о внешнем виде во время лечения. Керамика менее заметна, что делает ее предпочтительным выбором для людей, работающих с клиентами или активно общающихся.
Однако специалисты предупреждают, что керамические брекеты могут не подойти детям и тем, кто испытывает высокую жевательную нагрузку, так как они более хрупкие. Для пациентов с серьезными ортодонтическими проблемами лучше рассмотреть металлические брекеты, которые обеспечивают более надежное и быстрое исправление. В конечном итоге выбор конструкции должен основываться на индивидуальных потребностях пациента и рекомендациях врача.
Керамические брекеты становятся все более популярными среди пациентов, стремящихся к эстетичному исправлению зубного ряда. Эксперты отмечают, что такие конструкции идеально подходят для взрослых и подростков, которые хотят минимизировать визуальное воздействие ортодонтического лечения. Керамика хорошо сочетается с естественным цветом зубов, что делает их менее заметными. Однако для детей и людей с активным образом жизни, где возможны травмы, лучше рассмотреть металлические брекеты, которые более устойчивы к повреждениям. Также керамические брекеты могут быть менее эффективными при сложных случаях, требующих значительных перемещений зубов. В таких ситуациях специалисты рекомендуют альтернативные варианты, такие как металлические или лингвальные брекеты, которые обеспечивают более быстрое и надежное лечение.
https://youtube.com/watch?v=km-fCzvL07Q
Плюсы и минусы
Чтобы понять, чем отличаются керамические брекеты от металлических и других подобных конструкций, выделим их основные преимущества:
- эстетичный внешний вид, который обеспечивается схожим оттенком пластин с естественной эмалью;
- легкость в адаптации, она проходит гораздо быстрее;
- относительная доступность цены по сравнению с другими «невидимыми» брекет-системами (сапфировые, лингвальные и пр.);
- керамика не вызывает аллергии, не окисляется и не наносит вред организму различными испарениями;
- за счет гладкой поверхности и закругленной форме каждого элемента не происходит травмирование твердых и мягких тканей во рту;
- выбранный оттенок брекетов останется таким же и через несколько месяцев после ношения, так как не имеет свойства менять цвет;
- за ними проще ухаживать, чем, например, за металлическими конструкциями.
- хоть адаптация проходит быстрее, чем с другими материалами, но изначального натирания и некоторого дискомфорта не избежать;
- с керамикой коррекция положения зубов будет проходить чуть дольше;
- фиксирующие элементы могут сами по себе быть заметными или окрашиваться от цветных продуктов и напитков;
- хрупкость материала приводит к поломкам.
| Характеристика | Керамические брекеты (подходят) | Керамические брекеты (не подходят) | Другие виды брекетов (рекомендованы) |
|---|---|---|---|
| Возраст | Взрослые, подростки с хорошей гигиеной полости рта | Дети младшего возраста, пациенты с низкой мотивацией к гигиене | Металлические (для детей), лингвальные (для взрослых с высокими требованиями к эстетике) |
| Состояние эмали | Здоровая эмаль, отсутствие кариеса | Тонкая эмаль, склонность к кариесу, эрозии | Металлические (более прочные) |
| Прикус | Легкие и средние аномалии прикуса | Сложные аномалии прикуса, требующие сильного давления | Самолигирующие брекеты (более эффективны при сложных случаях) |
| Финансовые возможности | Пациенты, готовые к более высокой стоимости лечения | Пациенты с ограниченным бюджетом | Металлические брекеты (более доступны) |
| Требования к эстетике | Пациенты, которым важна эстетика улыбки | Пациенты, для которых эстетика не является приоритетом | Металлические брекеты (менее заметны) |
| Гигиена полости рта | Пациенты, способные тщательно следить за гигиеной | Пациенты с плохой гигиеной полости рта | Металлические брекеты (проще в уходе) |
| Сроки лечения | Пациенты, готовые к возможно более длительному лечению | Пациенты, желающие быстрого результата | Самолигирующие брекеты (более быстрые) |
Интересные факты
Вот несколько интересных фактов о керамических брекетах и их применении:
-
Эстетика и незаметность: Керамические брекеты идеально подходят для взрослых и подростков, которые хотят исправить прикус, не привлекая к себе лишнего внимания. Они менее заметны на зубах по сравнению с металлическими брекетами, что делает их популярным выбором среди тех, кто заботится о своей внешности.
-
Чувствительность зубов: Керамические брекеты могут быть более щадящими для зубной эмали, так как они не вызывают такой сильной чувствительности, как некоторые металлические конструкции. Однако, они могут быть менее прочными и более подвержены сколам, поэтому их лучше выбирать тем, кто готов соблюдать осторожность в повседневной жизни.
-
Проблемы с окрашиванием: Хотя керамические брекеты менее заметны, они могут окрашиваться от пищи и напитков, таких как кофе или красное вино. Поэтому их не рекомендуется устанавливать тем, кто не готов следить за своим рационом и соблюдать правила гигиены полости рта. В таких случаях лучше рассмотреть альтернативные варианты, такие как лингвальные брекеты или прозрачные капы.
https://youtube.com/watch?v=54Sv5JTmpTw
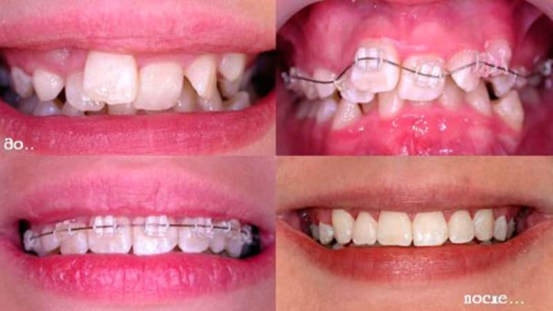
Фото до и после
Керамические брекеты становятся популярными благодаря эстетике и эффективности. Они менее заметны, что важно для взрослых и подростков, стремящихся сохранить уверенность во время лечения. Однако керамические брекеты могут быть менее прочными и подвержены окрашиванию, что требует тщательного ухода.
Для активных людей или спортсменов лучше подойдут металлические брекеты, так как они более устойчивы к повреждениям. В сложных случаях коррекции прикуса ортодонты могут рекомендовать лингвальные брекеты или системы с элайнерами. Консультация с ортодонтом поможет выбрать оптимальный вариант с учетом индивидуальных особенностей пациента.
Нюансы конструкции
Вся система во многом схожа с другими, сделанными из различных материалов. Она имеет такие элементы:
- Сами пластинки, прикрепляемые к каждому отдельному зубу. В данном случае они сделаны из керамики и фиксируются с помощью специального ортодонтического клея.
- Дуга, соединяющая все элементы между собой и делающая их единым целым. Именно она отвечает за то давление на пластины, которое обеспечивает разворот зуба в нужную сторону. Обычно ее делают из металла, но для тех, кто стесняется внешнего вида брекетов, окрашивают в естественный цвет эмали и тогда вся конструкция с белой дугой становится абсолютно незаметной.
- Крепежная система – может быть различной. Врачи предоставляют на выбор фиксацию с помощью лигатур (резиновые кольца или металлическая проволока) и без них (саморегулирующая система), с использованием надежных миниатюрных замков.
Виды
Элементы брекет-систем изготавливаются из различных материалов, что позволяет выделить несколько разновидностей:
- Цельнокерамические пластины – все компоненты выполнены из одного материала и не заметны на зубах, но более хрупкие.
- Металлические замковые системы – безлигатурные, саморегулирующие конструкции, надежно фиксирующие элементы и ускоряющие коррекцию.
- Керамические пластины с металлическими пазами – лигатурная фиксация, обеспечивающая надежность благодаря прочному материалу.
- Комбинированные брекеты – сочетают керамику и металл, что снижает стоимость и ускоряет исправление прикуса.
Такое сочетание материалов позволяет экономить и эффективно устранять дефекты. Например, керамические пластины устанавливаются на видимой части улыбки, а боковые зубы корректируются металлическими элементами, что повышает надежность и ускоряет лечение.
Популярные бренды, предлагающие такие системы для исправления прикуса:
- Damon-3 – американский продукт компании Ormco, безлигатурные конструкции, компактные и почти незаметные при разговоре, оснащены фиксирующей клипсой для удобства снятия.
- Clarity Advanced APC – разработаны для ускоренного лечения с концентраторами напряжения. Металлические пазы обеспечивают надежность, а отсутствие ортодонтического клея сокращает время установки.
- Reflections – продукция компании Ortho Technology, лигатурные конструкции в форме «ласточкин хвост», легко крепятся и не требуют дополнительных фиксирующих элементов, обеспечивая комфорт благодаря небольшим размерам.
- Mistique – изделия американского производителя GAC, изготовленные из армированной керамики для повышения прочности. Силиконовые покрытия делают систему почти незаметной.
- QuickKlear – немецкие конструкции из специального керамического состава, невидимого на зубах. Металлические клипсы с саморегулирующейся основой и особое покрытие для фиксации пластинок на зубах.
Установка керамических брекетов
Чтобы правильно провести полноценное ортодонтическое лечение, врач и пациент должны пройти ряд важных этапов:
- Осмотр ротовой полости, установка дефектов и проблем и составление плана коррекции.
- Лечение зубных заболеваний.
- Стоматолог создает гипсовую модель челюсти пациента и делает рентген-диагностику.
- Очень важно перед установкой брекет-систем провести профессиональную чистку, снять зубной камень и устранить возможные бактерии в труднодоступных местах.
- Далее происходит сам процесс установки, при котором поверхность зубов обрабатывается особым образом, на нее крепят пластинки с помощью клея или замочков и фотополимерной лампы.
- Стягивают всю систему дугой, фиксируя ее выбранным способом – с лигатурами или без. Края оставшейся проволоки откусывают щипцами.
Ощущения после процедур
Хотя установка может занять более часа, процесс проходит безболезненно для пациента. Наиболее сложным этапом является период адаптации, который начинается через два дня после установки пластин. В это время могут возникнуть неприятные ощущения, такие как болезненность при жевании и напряжение в челюсти. Врачи рекомендуют придерживаться мягкой и перетертой пищи.
Иногда адаптация сопровождается натиранием слизистой оболочки, что решается с помощью специального ортодонтического воска. Нанесение воска на проблемные участки ускоряет заживление, и со временем мягкие ткани привыкают к ортодонтическому изделию.
Как ухаживать?
Многих пациентов тревожит вопрос, сколько носить подобные системы и как очищать зубы и саму конструкцию? Следует отметить, что в зависимости от сложности дефекта и величины нарушения прикуса, лечение может длиться разный период, но обычно он составляет 2-3 года.
Уход за брекет-системами не особо сложный, но требует соблюдение некоторых правил:
- ради сохранения целостности керамических пластин, следует отказаться от твердых продуктов;
- также невозможно достичь чистоты поверхности, если употреблять липкую пищу – чернослив, жевательную резинку, конфеты «ириски» и пр.;
- после каждого приема еды желательно применять зубную нить для очищения межзубных промежутков и ополаскивать ротовую полость антибактериальным раствором;
- обрабатывать поверхность зубов теперь придется не щеткой, а специальным ершиком, держа его вертикально для улучшенного очищения всей поверхности;
- для более качественной обработки врачи также рекомендуют воспользоваться ирригатором;
- регулярно приходить на осмотр к стоматологу, особенно если появились подозрения на поломку какого-либо элемента, заниматься ремонтом и правкой конструкции самостоятельно запрещается.
При адекватном отношении и избегании перегруженности системы можно добиться ее длительной эксплуатации, когда ремонт за весь период лечения вовсе не потребуется.
Видео: о керамических брекетах.
https://youtube.com/watch?v=pFWCbC0qU-8
Цена
Чтобы узнать стоимость керамических брекет-систем, учитывайте ценовую политику клиники, тип конструкции, способ крепления и производителя. Цены варьируются.
Вот средние расценки по Москве:
| Название брекет-системы | Стоимость |
|---|---|
| Damon-3 | 70-80 тысяч рублей |
| Clarity Advanced APC | 70 000-90 000 |
| Reflections | от 60 тысяч |
| Mistique | 30 000 рублей |
| QuickKlear | от 65 000 |
Эти суммы — минимальные затраты на установку системы на одну челюсть. В VIP-стоматологиях цена может быть в два раза выше.
Отзывы
Алина:
Еще в подростковом возрасте родители хотели, чтобы я исправила прикус. Но из-за металлических некрасивых конструкций отказалась. Теперь же с помощью керамической системы исправляю все по своей воле. Визуально они очень аккуратно смотрятся.
Федор:
Долго выбирал подходящую конструкцию, с помощью которой можно было бы разместить зубы так, как надо. Ведь кривая улыбка никого не красит. Ввиду работы среди людей нужно было выбрать что-то незаметное. Из всех доступных вариантов керамические пластинки оказались самыми приемлемыми по цене.
Ирина:
Проносила такую брекет-систему полтора года и уже к выпускному у меня появилась ослепительная улыбка. Хоть и пришлось помучиться первое время от неприятных ощущений, но теперь я рада своим ровным и здоровым зубам.
Алена:
Сначала врач установил мне керамическую конструкцию. Но она быстро поломалась. Пришлось менять ее на металлические пластинки, так как выровнять прикус все равно надо, а керамика не справилась.
Никита:
Ношу такое изделие уже год и стало заметно, что зубы расположены по-другому, более ровно. И хоть конец лечения еще не близок, но результат заметен. А вот ухаживать за ними не так сложно, как казалось вначале.
Дополнительные вопросы
► Какие брекеты выбрать: керамические или металлические?
Выбор между керамическими и металлическими брекетами зависит от ваших предпочтений. Керамические брекеты более эстетичны и менее заметны, но могут быть хрупче и требуют больше времени для коррекции прикуса. Металлические брекеты заметнее, но дешевле и быстрее исправляют положение зубов благодаря своей прочности.
► Чем отличаются керамические брекеты от сапфировых?
Обе системы предназначены для коррекции прикуса и имеют схожий внешний вид, что делает их менее заметными. Сапфировые брекеты могут отражать свет и блестеть на солнце или при ярком освещении. Керамические брекеты обычно стоят дешевле.
► Как ухаживать за брекетами?
Керамические брекеты не меняют цвета в процессе носки, поэтому их отбеливание не требуется. Если крепежные элементы потемнели от пищи, стоматолог легко заменит их.
Сравнение с другими видами брекетов
Керамические брекеты являются одним из популярных вариантов ортодонтических конструкций, однако их выбор не всегда является оптимальным для каждого пациента. Чтобы понять, кому подойдут керамические брекеты, а кому лучше рассмотреть другие виды конструкций, необходимо провести сравнение с другими типами брекетов, такими как металлические, сапфировые и лингвальные.
Металлические брекеты — это традиционный вариант, который отличается высокой прочностью и эффективностью в исправлении зубных аномалий. Они более заметны на зубах, что может быть недостатком для пациентов, стремящихся к эстетике. Однако металлические брекеты обычно дешевле керамических и могут быть более подходящими для детей и подростков, которые могут не заботиться о внешнем виде своих брекетов.
Сапфировые брекеты представляют собой более эстетичный вариант, чем металлические, так как они прозрачные и менее заметны на зубах. Они также более устойчивы к окрашиванию, чем керамические, что делает их более предпочтительными для пациентов, которые беспокоятся о внешнем виде. Однако сапфировые брекеты могут быть дороже и менее прочными, чем металлические, что может привести к необходимости более частой замены.
Лингвальные брекеты устанавливаются на внутренней стороне зубов, что делает их совершенно незаметными для окружающих. Это идеальный вариант для тех, кто хочет сохранить свою улыбку в тайне во время лечения. Однако лингвальные брекеты могут быть более сложными в установке и уходе, а также могут вызывать дискомфорт в начале лечения. Кроме того, они могут быть более дорогими, чем керамические и металлические брекеты.
Таким образом, выбор между керамическими и другими видами брекетов зависит от множества факторов, включая возраст пациента, его образ жизни, бюджет и предпочтения в эстетике. Керамические брекеты могут подойти тем, кто ищет баланс между эстетикой и эффективностью, но для пациентов с активным образом жизни или ограниченным бюджетом могут быть более подходящими металлические или сапфировые брекеты. Важно проконсультироваться с ортодонтом, чтобы определить наилучший вариант для конкретного случая.
Вопрос-ответ
Кому не подходят керамические брекеты?
Кому не подходят брекеты из керамики? Такие изделия более хрупкие, чем традиционные металлические аппараты. Они не рекомендуются пациентам с серьезными аномалиями прикуса и тем, кто занимается травматичными контактными видами спорта.
В чем минусы керамических брекетов?
Главный недостаток керамических брекетов – хрупкость. Они не могут выдерживать, а значит, оказывать значительные нагрузки. Поэтому при серьезных аномалиях прикуса с ротациями, большой скученностью зубов они не применяются. Хрупкость брекетов означает повышенный риск их поломок, образования сколов и трещин.
Почему люди худеют после установки брекетов?
Многие пациенты отмечают потерю веса в первый месяц ношения брекет-системы. Это связано с тем, что первые дни после установки брекетов зубы активно растягиваются под воздействием системы, и процесс пережевывания пищи становится некомфортным. Основная часть пациентов в первые две недели предпочитает мягкую диету.
Советы
СОВЕТ №1
Если вы заботитесь о внешнем виде и хотите, чтобы брекеты были менее заметными, керамические брекеты могут стать отличным выбором. Они имеют цвет, близкий к цвету зубов, что делает их более эстетичными по сравнению с металлическими конструкциями.
СОВЕТ №2
Обратите внимание на состояние ваших зубов и десен. Керамические брекеты могут быть менее прочными, чем металлические, поэтому если у вас есть серьезные проблемы с прикусом или зубами, возможно, стоит рассмотреть более прочные варианты, такие как металлические брекеты.
СОВЕТ №3
Учитывайте свой образ жизни. Если вы занимаетесь спортом или ведете активный образ жизни, металлические брекеты могут быть более надежными и устойчивыми к повреждениям. Керамические брекеты могут быть более хрупкими и требуют осторожности.
СОВЕТ №4
Проконсультируйтесь с ортодонтом. Каждый случай индивидуален, и только специалист сможет оценить ваши зубы и предложить наилучший вариант лечения, учитывая ваши предпочтения и медицинские показания.
