Удаление поддесневого зубного камня — важная стоматологическая процедура, поддерживающая здоровье полости рта и предотвращающая заболевания десен. Поддесневой камень образуется из налета и минерализуется, что может вызвать воспаление десен и пародонтит. В статье рассмотрим методы удаления поддесневого зубного камня и важность регулярной гигиенической чистки для здоровья зубов и десен.
Что такое поддесневой камень и как он образуется?
Существует два типа зубного камня: поддесневой и наддесневой. Оба представляют собой затвердевшие минеральные отложения, способствующие размножению бактерий, но имеют значительные различия.
Наддесневой камень — это желтоватые или коричневые твердые образования вокруг шейки зуба. Удалить его самостоятельно невозможно, поэтому стоматолог очищает ротовую полость различными методами, устраняя минерализованный налет.
Поддесневой камень формируется из сыворотки, состоящей из жидкостей и белков организма. Его трудно заметить, так как он образуется внутри пародонтальных карманов. При утолщении камня десна отодвигается, обнажая корень зуба и создавая условия для проникновения болезнетворных бактерий.
Игнорирование этой проблемы может привести к кистам, гранулемам и воспалениям костных и мягких тканей. Диагностика и лечение таких состояний возможны только в стоматологическом кабинете.
Удаление поддесневого зубного камня — важная процедура в стоматологии. Процесс начинается с диагностики, во время которой стоматолог оценивает степень накопления камня и состояние десен. Врач может использовать ультразвуковой скалер для разрушения минеральных отложений без повреждения окружающих тканей. Затем проводится ручная чистка инструментами для удаления остатков камня и налета. После процедуры стоматологи рекомендуют регулярные профилактические осмотры и профессиональную гигиену для предотвращения повторного образования камня и поддержания здоровья зубов и десен.
Удаление поддесневого зубного камня является важной процедурой в стоматологии, и эксперты подчеркивают, что она требует высокой квалификации и точности. В первую очередь, стоматолог проводит тщательную диагностику, используя рентгенографию для оценки состояния тканей вокруг зубов. Затем, в зависимости от степени накопления камня, применяются различные методы. Наиболее распространенным является ультразвуковое скейлирование, которое эффективно разрушает минеральные отложения, не повреждая окружающие ткани. В некоторых случаях может потребоваться ручное инструментальное удаление с помощью специальных инструментов, таких как кюреты. После процедуры стоматолог рекомендует пациентам соблюдать гигиену полости рта и регулярно посещать стоматолога для профилактических осмотров, чтобы предотвратить повторное образование камня.
https://youtube.com/watch?v=RyT3NG7PQ58
Причины возникновения
- Плохая гигиена полости рта в целом. Это может быть и неправильный подбор зубной щетки, пасты, неграмотные движения во время ежедневной обработки, а то и полное отсутствие необходимых процедур.
- Некачественное питание – повышенное содержание углеводной и мягкой пищи, редкое употребление свежих овощей, увлечение сладкими газированными напитками и пр.
- Нарушения прикуса или неровность зубов, их скрученность или слишком тесное расположение.
- Некачественные или неправильно установленные протезы, импланты, пломбы.
- Общие заболевания также могут способствовать образованию поддесневого камня – нарушенный обмен веществ, какие-либо патологии в работе внутренних органов.
Изначально появляется легкий тонкий и мягкий налет. Затем образуется бляшка, которую очистить уже непросто. Очень быстро без должной обработки она отвердевает и темнеет, что только усугубляет проблему. Когда камень стал твердым и застарелым, почистить его становится намного сложнее даже с помощью специальных инструментов.
| Метод удаления поддесневого зубного камня | Описание метода | Преимущества | Недостатки |
|---|---|---|---|
| Ручной кюретаж | Удаление зубного камня с помощью специальных инструментов (кюреток) вручную. | Высокая точность, возможность удаления камня в труднодоступных местах. | Долгое время процедуры, может быть болезненно, риск повреждения десен. |
| Ультразвуковая чистка | Удаление зубного камня с помощью ультразвукового скалера. | Быстрая процедура, эффективное удаление камня, меньше травматично, чем ручной кюретаж. | Может вызывать дискомфорт, не подходит для пациентов с кардиостимуляторами. |
| Лазерная чистка | Удаление зубного камня с помощью лазера. | Бескровная процедура, минимальный дискомфорт, быстрое заживление. | Высокая стоимость, не всегда эффективна при значительном скоплении камня. |
Интересные факты
Вот несколько интересных фактов о том, как удаляют поддесневой зубной камень в стоматологии:
-
Ультразвуковая чистка: Один из самых распространенных методов удаления поддесневого зубного камня — это ультразвуковая чистка. Стоматологи используют специальные ультразвуковые скейлеры, которые создают высокочастотные вибрации. Эти вибрации помогают разрушить зубной камень, не повреждая при этом окружающие ткани.
-
Лазерная стоматология: В последние годы все более популярным становится использование лазеров для удаления зубного камня. Лазерные технологии позволяют не только эффективно удалять отложения, но и минимизировать кровотечения и дискомфорт для пациента. Лазеры также могут способствовать заживлению десен.
-
Профилактика и регулярность: Удаление поддесневого зубного камня — это не только лечение, но и профилактика. Регулярные визиты к стоматологу (раз в 6-12 месяцев) помогают предотвратить накопление зубного камня и развитие заболеваний десен. Стоматологи рекомендуют сочетать профессиональную чистку с ежедневной гигиеной полости рта для достижения наилучших результатов.
https://youtube.com/watch?v=Z7hFhB5Z9qc
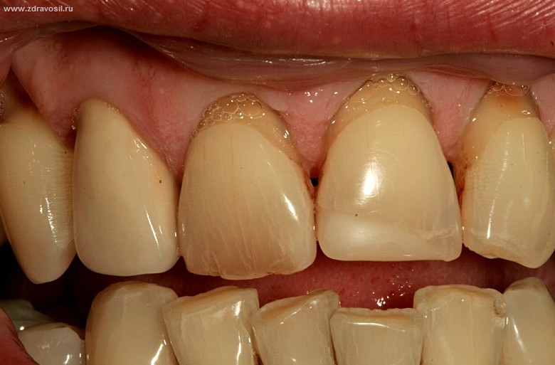
Фото
Удаление поддесневого зубного камня — важная стоматологическая процедура, поддерживающая здоровье десен и предотвращающая заболевания. Хотя процесс может вызывать дискомфорт, современные стоматологи используют методы, минимизирующие неприятные ощущения.
Наиболее распространен ультразвуковой метод, который эффективно удаляет отложения, не повреждая зубную эмаль. Стоматолог создает высокочастотные колебания с помощью специального устройства, разбивая зубной камень. Затем проводится ручная чистка для удаления остатков и полировки зубов.
Регулярные профилактические осмотры помогают избежать накопления зубного камня и связанных с ним проблем. Большинство пациентов отмечают облегчение и свежесть в полости рта после процедуры.
Как удалить?
Более простой наддесневой камень поддается удалению только профессиональными методами в кабинете стоматолога. Поддесневые образования и вовсе невозможно обнаружить без посещения врача, а речи о самостоятельной их чистке и быть не может.
Очистительные процедуры любого вида налета осуществляется в такие этапы:
- В зависимости от сложности и места расположения выбирается подходящий метод чистки и производится процедура открытого кюретажа.
- Очищенные поверхности полируются, чтобы новый налет не оседал в шероховатостях.
- Для защиты эмали зубы дополнительно обрабатывают специальными составами, содержащими повышенное количество фтора.
Если речь идет о чистке поддесневых карманов, то чаще всего используют ультразвук и специальные ложки. Также для этого применяют антисептические растворы. Полировку производят пастами и резиновыми наконечниками.
Если есть подозрения на то, что налет и камень образовались от неправильного питания или нарушенного обмена веществ, то врач может прописать особую диету. Также стоматологи рекомендуют после процедуры использовать некоторое время зубные пасты и ополаскиватели с защитным составом.
Многих беспокоит вопрос – болит ли зуб при наличии камня, а тем более, во время чистки. Если налет свежий, то он не приносит никаких неприятных ощущений. Процесс же чистки может быть болезненным в некоторых случаях, все будет зависеть от вида и сложности проблемы, а также от выбранного способа очистки.
Часть пациентов предпочитают использовать народные средства, чтобы не посещать стоматолога. И хоть их эффективность сомнительна, все же опишем самый распространенный. Помогает ли он – решите сами, испробовав рецепт:
- Отварите 40 грамм скорлупы от грецкого ореха в стакане воды минут 20.
- Отвар нужно процедит и остудить, окунуть в него щетку на 10-15 минут.
- Производите обработку зубов как обычно, периодически обмакивая щетку дополнительно в полученный состав.
И все же, полное и профессиональное очищение от камня, тем более, если он поддесневой или застарелый, возможно только в кабинете врача. Чем дольше происходит минерализация и отвердение бляшек, тем сложнее их очистить. Домашними же способами можно снять только мягкий поверхностный налет.
Помните, чем дольше тянуть с походом к врачу, тем запущенней становится проблема и в результате лечебная процедура станет дороже, длительней и болезненной. Поэтому не стоит затягивать, а вовремя обнаружить поддесневой камень, устранив его симптомы, а главное – причины.
Видео: кровоточивость десен и поддесневой зубной камень.
https://youtube.com/watch?v=PQnlTjLdH5o
Профилактика
Регулярные визиты к стоматологу помогают своевременно выявить или предотвратить стоматологические проблемы, включая зубной камень. Если специалист заметит налет и проведет чистку, это снизит риск распространения бактерий и осложнений.
Также важно поддерживать гигиену полости рта и следовать принципам здорового питания, чтобы минимизировать образование налета. Профилактические меры включают:
- Посещения стоматолога каждые шесть месяцев.
- Использование зубной щетки с жесткой щетиной и абразивных паст.
- Правильная техника чистки зубов ежедневно.
- Употребление твердых фруктов и овощей.
- Полоскание рта после каждого приема пищи специализированными средствами.
- Профессиональная чистка зубов с использованием современных технологий.
Образование зубного камня может быть связано не только с уходом за полостью рта или питанием, поэтому профилактические меры не всегда полностью исключают эту проблему. Однако они значительно снижают риск осложнений.
Последствия наличия поддесневого камня
Поддесневой зубной камень – это твердые отложения, образующиеся на зубах под деснами. Его наличие может привести к различным стоматологическим проблемам, включая воспаление десен, пародонтит и даже потерю зубов. Поэтому важно понимать, какие последствия могут возникнуть при игнорировании этого состояния.
Одним из основных последствий наличия поддесневого камня является развитие гингивита – воспаления десен. Это состояние проявляется в покраснении, отечности и кровоточивости десен, что может привести к более серьезным заболеваниям, если не принять меры. Гингивит, в свою очередь, может прогрессировать в пародонтит, который характеризуется разрушением тканей, поддерживающих зубы, и может привести к их потере.
Кроме того, поддесневой камень может стать источником инфекции. Бактерии, находящиеся в налете и камне, могут проникать в кровоток, что увеличивает риск системных заболеваний, таких как диабет, сердечно-сосудистые заболевания и даже инфекции дыхательных путей. Это особенно опасно для людей с ослабленной иммунной системой.
Наличие поддесневого камня также может привести к неприятному запаху изо рта, что негативно сказывается на качестве жизни пациента и его социальной активности. Поскольку камень образуется под деснами, его трудно заметить визуально, что делает регулярные стоматологические осмотры особенно важными для своевременного выявления и устранения проблемы.
В дополнение к вышеупомянутым последствиям, поддесневой камень может вызывать дискомфорт и боль при жевании, а также повышенную чувствительность зубов. Это может затруднить прием пищи и снизить общее качество жизни пациента.
Таким образом, наличие поддесневого зубного камня может привести к серьезным стоматологическим и общим проблемам со здоровьем. Регулярные визиты к стоматологу и профессиональная чистка зубов являются необходимыми мерами для предотвращения этих последствий и поддержания здоровья полости рта.
Вопрос-ответ
Как проводится удаление поддесневого зубного камня?
Традиционным методом снятия твердых отложений с поверхности эмали является ультразвуковая чистка зубов. Она применяется для удаления наддесневого камня, а процедура достаточно проста и безболезненна. Врач использует ультразвуковой скалер — инструмент, через который подаются УЗ-волны, разрушающие зубной камень.
Как удалить поддесневой зубной камень?
Как убрать поддесневой зубной камень? Нужен ультразвуковой скалер, кюреты, позволяющие проникать под десну. Иногда сочетают с Air Flow (пескоструйная полировка) для финиша. Кюретаж: закрытый (для неглубоких карманов) или открытый (когда глубина существенна и приходится отодвигать десну).
- Наддесневой камень располагается коронально или над краем десны. 2. Поддесневой камень располагается апикально или под краем десны в десневой бороздке или пародонтальном кармане.
Советы
СОВЕТ №1
Регулярно посещайте стоматолога для профилактических осмотров. Это поможет выявить проблемы с зубами и деснами на ранней стадии, что может предотвратить образование поддесневого зубного камня.
СОВЕТ №2
Обратите внимание на свою гигиену полости рта. Чистите зубы дважды в день и используйте зубную нить, чтобы удалить остатки пищи и налет из труднодоступных мест, что поможет снизить риск образования зубного камня.
СОВЕТ №3
Изучите методы профессиональной чистки зубов, такие как ультразвуковая чистка. Это эффективный способ удаления поддесневого зубного камня, который может быть предложен вашим стоматологом.
СОВЕТ №4
Соблюдайте сбалансированную диету и ограничьте потребление сахара. Питание играет важную роль в здоровье зубов и десен, и правильный рацион может помочь предотвратить образование зубного камня.
