Откололся кусок зуба — ситуация, с которой может столкнуться каждый, и она вызывает панику. Важно знать, как действовать, чтобы минимизировать дискомфорт и предотвратить проблемы с зубами. Эта статья расскажет о необходимых шагах после травмы и даст советы по уходу за поврежденным зубом до визита к стоматологу. Правильные действия в первые минуты могут существенно повлиять на здоровье зуба и состояние полости рта.
Причины
- механическое повреждение: удары, падения и другие травмы;
- употребление жесткой пищи, откусывание нитей и пластиковых деталей;
- слабая эмаль, подверженная повреждениям даже при незначительном воздействии;
- незаконченные стоматологические заболевания: кариес, пульпит;
- аномалии прикуса, при которых коронки зубов давят друг на друга, ослабляя прилегающие участки.
Факторы, способствующие ослаблению зубных тканей:
- снижение уровня кальция (часто у беременных, кормящих и женщин в период менопаузы);
- чрезмерное потребление сладкой или кислой пищи, ослабляющее эмаль;
- недостаточная иммунная защита;
- гормональные нарушения;
- вредные привычки;
- неправильная установка пломбы или превышение срока её эксплуатации.
Если откололся зуб, не стоит паниковать. Оцените ситуацию: небольшой откол может не вызвать серьезных проблем, но важно обратиться к стоматологу для консультации. Специалист осмотрит зуб и определит необходимость лечения.
При значительном отколе избегайте жесткой пищи и не пытайтесь решить проблему самостоятельно. Врач предложит методы восстановления, такие как пломбирование или установка коронки. Соблюдайте гигиену: тщательно чистите зубы, чтобы предотвратить попадание бактерий в поврежденную область. Своевременное обращение к специалисту поможет избежать осложнений и сохранить здоровье зубов.
В случае откола зуба эксперты рекомендуют сохранять спокойствие и действовать быстро. Прежде всего, важно оценить степень повреждения: если откололся небольшой кусок, можно попробовать сохранить его и обратиться к стоматологу. Важно избегать жесткой пищи и не использовать поврежденный зуб для жевания, чтобы предотвратить дальнейшие повреждения.
Если откололся значительный фрагмент, следует немедленно записаться на прием к специалисту. В ожидании визита можно использовать временные средства, такие как стоматологический воск, чтобы защитить обнаженную область. Также рекомендуется избегать горячих и холодных напитков, чтобы не вызвать дискомфорт.
Эксперты подчеркивают, что своевременное обращение к стоматологу поможет избежать осложнений и сохранить здоровье зуба.
https://youtube.com/watch?v=MBSAnewUI-4
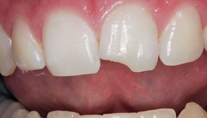
Виды сколов
- Неполный скол – микротрещина эмали. Обычно не вызывает дискомфорта и зачастую остаётся незамеченной. В этом и заключается опасность: в трещине размножаются микробы, которые постепенно разрушают дентальные ткани.
- Скол эмали – утрата маленького кусочка эмали, которая также не даёт явной болезненности, но может царапать мягкие ткани ротовой полости (язык, губы). Иногда эмаль откалывается вместе с ранее установленной пломбой.
- Скол дентина. В этом случае зуб обычно болит, боль носит ноющий характер и усиливается при жевательной нагрузке. Если скол длительно не лечить, то возможны инфекционные осложнения со стороны пульпы.
- Скол, распространяющийся на пульпарную камеру. В такой ситуации зуб фактически раскалывается, оголяются сосуды и нервные волокна, что сопровождается выраженной болезненностью и ускоренным развитием воспалительного процесса.
| Действие | Что делать | Что не делать |
|---|---|---|
| Первая помощь | Прополоскать рот теплой соленой водой (1/2 чайной ложки соли на стакан воды). Осторожно приложить к поврежденному месту холодный компресс, чтобы уменьшить отек. Если откололся большой кусок зуба, постарайтесь найти его и завернуть во влажную ткань или положить в контейнер с молоком или физиологическим раствором. | Не трогать поврежденный зуб грязными руками. Не принимать обезболивающие средства до консультации с врачом. Не пытаться приклеить отколотый кусок зуба самостоятельно. |
| Обращение к врачу | Записаться на прием к стоматологу как можно скорее. Опишите врачу все обстоятельства происшествия и покажите отколотый фрагмент (если он у вас есть). | Не откладывать визит к врачу. Не пытаться самостоятельно лечить поврежденный зуб. |
| Последующие действия | Следовать рекомендациям стоматолога по лечению и уходу за зубом. Соблюдать гигиену полости рта. | Игнорировать рекомендации стоматолога. Не пренебрегать гигиеной полости рта. |
Интересные факты
Вот несколько интересных фактов о том, как действовать в ситуации, когда у вас откололся кусок зуба:
-
Сохранение отколотого кусочка: Если у вас откололся кусок зуба, важно сохранить его. Поместите отколотый фрагмент в молоко или физиологический раствор. Это поможет сохранить клетки зуба живыми, что может быть полезно, если вам потребуется восстановление зуба у стоматолога.
-
Не откладывайте визит к стоматологу: Даже если откололся небольшой кусок зуба и вы не испытываете боли, важно обратиться к стоматологу как можно скорее. Это поможет предотвратить дальнейшие повреждения и возможные инфекции, а также даст возможность восстановить зуб с минимальными затратами.
-
Управление болью и дискомфортом: Если откололся кусок зуба и вы испытываете боль, можно использовать безрецептурные обезболивающие, такие как ибупрофен или парацетамол. Также стоит избегать горячей и холодной пищи, чтобы не усугубить дискомфорт, пока вы ждете визита к стоматологу.
https://youtube.com/watch?v=gRIgvcGu1uo
Что делать до посещения клиники?
Обращение к стоматологу после повреждения зуба не стоит откладывать. Если быстро записаться на прием не удается, важно устранить дискомфорт и предотвратить осложнения. Для этого выполните следующие шаги:
- Промойте рот водой, чтобы удалить осколки зубов, остатки пищи и бактерии; можно использовать соленую воду.
- Если повреждена десна, прополощите её антисептиком и приложите марлевый тампон, смоченный холодной водой, для остановки кровотечения.
- Если откололся зуб и он травмирует язык, изолируйте его с помощью ватного тампона.
- При сильной боли наложите компресс с местным анестетиком (например, новокаином или лидокаином) и примите обезболивающее (анальгин, ибупрофен или кетанов).
- Перед визитом к врачу тщательно соблюдайте гигиену полости рта: регулярно чистите зубы, полощите рот после еды, употребляйте только мягкую и теплую пищу.
- Если повреждены дентин и пульпа, не откладывайте визит к стоматологу из-за болей и риска инфекции. Сохраните отколовшуюся часть зуба, если она достаточно крупная, чтобы показать врачу для восстановления.
При откалывании зуба важно сохранять спокойствие и обратиться к стоматологу. Временные меры могут помочь до визита: промойте рот теплой водой и используйте холодный компресс для уменьшения отека. Избегайте жесткой пищи и не трогайте поврежденный зуб языком, чтобы не усугубить ситуацию. Сохраните отколовшуюся часть зуба, если возможно, так как стоматолог может использовать её для восстановления. Главное — не откладывать визит к специалисту, чтобы избежать осложнений и сохранить здоровье зубов.
Методы восстановления и цена ремонта
Выбор реставрационной методики зависит от локализации поврежденной зубной единицы. Методы лечения также будут различны при сколах постоянных и молочных зубов у детей.
► Травмирование переднего зубного ряда
- Реставрация композитными материалами применяется при повреждении в пределах зубной эмали. Композиты послойно накладываются на предварительно обработанный участок слома и затвердевает под воздействием специальных направленных источников света. Композиты тщательно подбирают по цвету, и конечный результат чаще всего бывает не отличим от собственной эмали. Данная услуга – самая доступная по цене. Её стоимость по Москве в среднем составляет 4000-4500 рублей.
- Применение виниров, люминиров – это тонкие накладки, повторяющие форму резцов или клыков, устанавливающиеся на передней зубной поверхности. Изготавливаться могут из различных материалов (композиты, керамика). Люминиры отличаются большей тонкостью и практически не требуют предварительного обтачивания зубной поверхности. Стоимость установки виниров в среднем начинается от 12000 рублей, люминиров – от 20000.
- Коронки предназначены для реставрации значительных зубных повреждений, свыше половины площади. Они представляют собой слепки резца или клыка, повторяющие их физиологическую форму, изготовленные из различных вариантов материалов. Предварительно зуб депульпируют, прочищают корневые каналы. Стоимость коронки из металлопластика составляет от 3000, диоксид циркониевые коронки стоят около 25000 рублей.
- Дентальная имплантация необходима при полном разрушении зубной коронки. При этом в ткань челюсти устанавливают имплантат, а затем выполняется протезирование. Цена непосредственно на процедуру имплантации составляет в среднем 30000, протезирование – от 12000 рублей.
► Повреждение задних жевательных зубных поверхностей
- Установка пломб из стоматологических композитов применяется при легких формах сколов, ограниченных эмалью.
- Дентальные вкладки используют при повреждении половины площади коронки. Вкладки представляют собой объемные пломбы, изготовленные из композита, керамики, металла или прочной синтетики. В зависимости от используемых материалов стоимость услуги варьирует от 5000 до 15000 рублей.
- Коронки и мостовидные протезы применяют при обширных сколах, чаще вследствие травм.
- Имплантация – наиболее долговечный метод дентальной реставрации при полной утрате коронковой части.
В случае значительного повреждения “зуба мудрости”, его, как правило, не восстанавливают, так как значимой жевательной нагрузки он не несет. Реставрация возможна только при небольших сколах эмали.
Осложнения
- воспалительный процесс, приводящий к кариесу и пульпиту;
- повышенная чувствительность зубной эмали в поврежденной области;
- воспаление окружающих тканей: периодонтит, гингивит, глоссит, стоматит;
- подвижность зубов;
- нарушение смыкания зубных рядов;
- деформация зубного ряда и смещение соседних зубов;
- образование кист (жидкостных полостей) и гранулем (разрастание соединительной ткани) при поражении сосудисто-нервного пучка.
Осложнения могут сделать восстановление зуба невозможным, поэтому важно своевременно обратиться к стоматологу.
Видео: сломался зуб – советы стоматолога.
https://youtube.com/watch?v=zl3h8_obr-A
Профилактика
Для того, чтобы сохранить зубы в целости и избежать их сломов, необходимо придерживаться определенных правил:
- Тщательно следить за гигиеническим состоянием ротовой полости: регулярно чистить зубы, пользоваться флоссами, ополаскивателями для полости рта, посещать стоматолога не реже 1 раза в полгода для проведения профессиональной чистки зубов;
- Сбалансированно питаться: пища обязательно должна содержать минералы и микроэлементы, обеспечивающие прочность зубной ткани. Нельзя пренебрегать молочными продуктами, орехами, морепродуктами, употреблять много сладких и кислых продуктов.
- Не подвергать зубы избыточным нагрузкам: не разгрызать орехи, твердые леденцы, предметы, не предназначенные в пищу (нитки, узлы, пластик).
- Не пить и не есть слишком горячую и холодную пищу, которая вызывает размягчение эмали. Особенно вредно её одновременное употребление, например, при запивании мороженного горячим чаем.
- Отказаться от вредных привычек.
- Следить за ранее установленными пломбами, периодически проверять их у стоматолога на предмет плотности прилегания и наличия трещин.
- Не забывать использовать защищающие накладки при занятиях травмоопасным спортом.
- Своевременно исправлять (если это возможно) аномалии прикуса, пока они не привели к разрушению зубов.
- По возможности корректировать гормональные сбои по рекомендации врача.
Откололся молочный зуб у ребенка
Сколы молочных зубов у детей 1-2 лет — распространенное явление из-за подвижности и недостаточной координации. Многие родители считают, что лечение молочных зубов не нужно. Однако при повреждении следует обратиться к стоматологу в течение суток и предварительно продезинфицировать место травмы.
Специалист осмотрит поврежденный зуб и при необходимости назначит рентген для исключения серьезных повреждений. При небольших сколах и трещинах можно использовать специальный консервационный гель, который восстанавливает зубные ткани и предотвращает проникновение микробов.
При значительных сколах устанавливается композитная пломба, укрепляющая зуб до его естественного выпадения. Удаление пульпы у детей происходит крайне редко, только при серьезных травмах, так как пульпа восстанавливается в 95% случаев без удаления сосудисто-нервного пучка.
Когда обращаться к стоматологу?
Если у вас откололся кусок зуба, важно не паниковать, но и не откладывать визит к стоматологу. Существует несколько ситуаций, когда обращение к специалисту становится необходимым.
Во-первых, если откололся значительный кусок зуба, это может привести к обнажению нервных окончаний, что вызывает сильную боль и повышает риск инфекции. В таких случаях необходимо как можно скорее обратиться к стоматологу для оценки повреждения и выбора подходящего метода лечения.
Во-вторых, если откололся кусок зуба, и вы заметили, что зуб стал чувствительным к горячему или холодному, это также является сигналом для обращения к врачу. Чувствительность может указывать на то, что дентин (внутренняя часть зуба) открыт, и это может привести к дальнейшему разрушению зуба или к развитию кариеса.
Третьим важным признаком является наличие трещин или сколов на зубе, которые могут не быть видимыми невооруженным глазом. Если вы заметили изменения в форме зуба или его поверхности, это также требует профессиональной оценки. Стоматолог сможет провести рентгенографию и определить степень повреждения.
Кроме того, если откололся кусок зуба, и вы испытываете дискомфорт при жевании или ощущаете, что зуб стал менее устойчивым, это также является поводом для обращения к стоматологу. Неправильное распределение нагрузки на зубы может привести к дальнейшим повреждениям и даже к потере зуба.
Наконец, если у вас есть какие-либо сомнения относительно состояния зуба, лучше перестраховаться и обратиться к стоматологу. Профилактика и раннее вмешательство могут предотвратить более серьезные проблемы в будущем.
В целом, если у вас откололся кусок зуба, важно внимательно следить за состоянием зуба и не игнорировать любые изменения. Своевременное обращение к стоматологу поможет сохранить здоровье зубов и избежать осложнений.
Вопрос-ответ
Можно ли ходить с отколотым зубом?
Ходить долгое время с отколотым зубом нельзя. Это прямой и быстрый путь к развитию кариеса и в дальнейшем — пульпита. Своевременное лечение — хорошая профилактика осложнений и гарантия полноценного восстановления зуба.
Что делать, если откололся кусок зуба с пломбой?
Что делать при выпадении пломбы? В случае выпадения пломбы следует немедленно отправиться на прием к стоматологу. Медлить с принятием этого решения не стоит, ведь от быстрой реакции пациента часто зависит, удастся ли сохранить зуб или защитить его от эндодонтического лечения.
Советы
СОВЕТ №1
Сразу же промойте рот теплой водой, чтобы удалить остатки пищи и снизить риск инфекции. Избегайте использования жестких щеток или зубных паст, чтобы не повредить чувствительные участки зуба.
СОВЕТ №2
Если у вас есть отколотый кусок зуба, постарайтесь сохранить его. Поместите его в контейнер с молоком или солевым раствором, чтобы сохранить его в целостности до визита к стоматологу.
СОВЕТ №3
Запишитесь на прием к стоматологу как можно скорее. Чем быстрее вы получите профессиональную помощь, тем меньше вероятность осложнений и тем легче будет восстановить зуб.
СОВЕТ №4
Избегайте жесткой пищи и горячих напитков до визита к стоматологу, чтобы не усугубить повреждение и не вызвать болевые ощущения. Лучше придерживаться мягкой и холодной пищи.
