Язвенно-некротический гингивит — серьезное заболевание десен, требующее профессионального лечения. Многие пациенты пытаются справиться с ним самостоятельно, используя домашние средства и народные рецепты, но такие методы часто неэффективны и могут усугубить состояние. В этой статье рассмотрим причины язвенно-некротического гингивита, его симптомы и, что важно, способы профессионального лечения, которые помогут восстановить здоровье полости рта.
Причины возникновения
Чтобы избежать язвенно-некротического гингивита Венсана, важно понимать его причины. Анализ медицинских историй показал, что этому состоянию могут предшествовать различные факторы.
Основными возбудителями воспалительного процесса являются спирохеты и фузобактерии. В норме они присутствуют в ротовой полости в небольших количествах, но начинают вызывать поражения при определенных условиях. Язвенно-некротический гингивит чаще развивается на фоне других заболеваний и становится серьезным осложнением без должного лечения.
Основные факторы риска:
- неправильная техника чистки зубов;
- нерегулярная гигиена полости рта;
- несвоевременное лечение стоматологических и инфекционных заболеваний;
- хронический катаральный язвенно-некротический гингивит;
- низкое качество пломб;
- мостовидные протезы;
- ортодонтические конструкции (брекеты), травмирующие десны;
- неаккуратное удаление зубов;
- обширные отложения зубного камня;
- нарушения в работе слюнных желез;
- проблемы с носовым дыханием (дыхание через рот);
- неправильный прикус или аномалии зубов;
- травмы десен при лечении резцов;
- проблемы с прорезыванием третьих моляров;
- повреждения слизистой острыми краями зубов.
Однако эти факторы не всегда приводят к гингивиту. Развитию инфекции способствуют:
- ослабленный иммунитет;
- вредные привычки;
- несбалансированное питание, нехватка витаминов и микроэлементов;
- чрезмерная усталость;
- гормональные изменения (беременность, половая зрелость);
- прием определенных медикаментов;
- стресс;
- радиационное облучение;
- интоксикация.
Причины и механизмы инфекции часто связаны с другими заболеваниями. Язвенно-некротический гингивит может возникать на фоне:
- ВИЧ-инфекции;
- сердечно-сосудистых заболеваний;
- эндокринных заболеваний;
- сахарного диабета;
- кожных заболеваний;
- аллергий;
- туберкулеза;
- кори и скарлатины;
- расстройств пищеварительного тракта;
- дифтерии;
- вирусных респираторных инфекций;
- ревматизма;
- врожденных дефектов;
- многоморфной экссудативной эритемы;
- тяжелых заболеваний (лейкоз, мононуклеоз, агранулоцитоз).
Чаще всего инфекция возникает из-за нескольких провоцирующих факторов и низкого иммунитета. Симптомы острого гингивита могут указывать на иммунодефицит.
Специалисты подчеркивают, что лечение язвенно-некротического гингивита в домашних условиях неэффективно и может усугубить ситуацию. Это заболевание требует профессионального подхода, так как связано с инфекцией и воспалением десен. Самолечение может привести к серьезным последствиям, таким как потеря зубов и распространение инфекции. Рекомендуется обратиться к стоматологу для диагностики и назначения адекватного лечения, которое может включать антибактериальные препараты, профессиональную чистку зубов и коррекцию гигиенических привычек. Комплексный подход позволит эффективно справиться с заболеванием и предотвратить его рецидивы.
Эксперты в области стоматологии единодушны: домашнее лечение язвенно-некротического гингивита не только неэффективно, но и может усугубить состояние пациента. Это заболевание, характеризующееся воспалением десен и образованием язв, требует профессионального подхода. Врач-стоматолог должен провести тщательную диагностику и назначить комплексное лечение, включающее антибактериальные препараты и процедуры по очищению полости рта. Самолечение, основанное на народных методах или неэффективных средствах, может привести к серьезным осложнениям, таким как потеря зубов и распространение инфекции. Поэтому важно обратиться к специалисту при первых признаках заболевания, чтобы избежать негативных последствий и восстановить здоровье десен.
https://youtube.com/watch?v=MXKgUNuDOLA
Формы и степени заболевания
Согласно общей классификации, язвенно-некротический гингивит бывает в двух состояниях:
- Острый – провоцируется низким иммунным статусом и наличием катаральной формы патологии. В результате признаки болезни очень стремительно развиваются. Буквально за несколько часов состояние пациента резко ухудшается. Это характерно для детей, подростков и тех, у кого обнаружили синдром иммунодефицита.
- Хронический – протекает более спокойно, развивается на протяжении нескольких лет. Обостряется состояние во время вирусных и простудных заболеваний, в весенне-зимний период. Этому всегда предшествует плохая гигиена ротовой полости и резкое понижение защитных функций организма.
Также существуют и различия по формам протекания болезни. Врачи ориентируются на такие из них:
- Катаральный – встречается у маленьких детей и подростков. Характеризуется отечностью мягких тканей, гиперемией, повреждением края десны и межзубных сосочков.
- Гипертрофический – отличается сильной кровоточивостью, болевыми ощущениями при любом касании и даже во время совершения гигиенических процедур. Ему подвержены беременные женщины, люди с эндокринными заболеваниями, пенсионеры.
- Атрофический стоматит – считается самым сложным состоянием. Это тяжелая степень патологии, при которой десны полностью деформируются, истончаются, уменьшаются в размерах. За счет этого их легче травмировать твердой пищей, инструментами, протезами или ортодонтическими конструкциями. Даже во время чистки зубов пациент жалуется а сильнейший зуд. Такое состояние десен нередко встречается у представителей средней и старшей возрастной категории. Преимущественно развивается на фоне стоматита, гингивита или других инфекционно-воспалительных процессов.
Иногда нужно определить степень поражения, для чего врачи ориентируются на обширность патологии. Так, при начальной стадии затронуты лишь межзубные сосочки, на средней гингивит поражает общую часть десны, а при запущенном состоянии достигает альвеолярных отростков и полностью деформирует их.
По МКБ-10 язвенно-некротический гингивит Венсана относится к разделу А69 – Другие инфекции, вызванные спирохетами. Данная патология имеет код А69.1.
| Симптом/Проявление язвенно-некротического гингивита | Неэффективные методы домашнего лечения | Эффективные методы лечения (необходимо обратиться к врачу!) |
|---|---|---|
| Кровоточивость десен | Полоскание соленой водой, отварами трав | Профессиональная чистка зубов, антибиотики (системные и местные), противовоспалительные препараты |
| Язвы и некроз десен (отмирание тканей) | Применение народных средств, гелей для десен без назначения врача | Хирургическое удаление некротических тканей, антисептическая обработка |
| Сильная боль и дискомфорт | Самолечение обезболивающими | Препараты для местной анестезии, назначенные врачом, обезболивающие средства по рецепту |
| Неприятный запах изо рта (особенно сильный) | Полоскания различными растворами без консультации врача | Лечение основной инфекции, профессиональная гигиена полости рта |
| Общее недомогание, лихорадка | Прием витаминов и иммуностимуляторов без врачебного контроля | Лечение сопутствующих инфекций, симптоматическая терапия (снижение температуры, борьба с болью) |
| Лимфаденопатия (увеличение лимфатических узлов) | Компрессы, мази | Лечение основной инфекции, в некоторых случаях — хирургическое вмешательство |
Интересные факты
-
Причины язвенно-некротического гингивита: Это заболевание часто связано с бактериальной инфекцией, которая может возникнуть на фоне стресса, недостатка витаминов (особенно витамина C), курения и ослабления иммунной системы. Поэтому для эффективного лечения важно не только устранить симптомы, но и выявить и устранить первопричины.
-
Роль профессиональной гигиены: Домашние методы лечения, такие как полоскания и использование антисептиков, могут временно облегчить симптомы, но не устраняют основную проблему. Профессиональная чистка зубов и лечение у стоматолога являются ключевыми для восстановления здоровья десен и предотвращения рецидивов.
-
Антибиотикотерапия: В некоторых случаях язвенно-некротический гингивит требует назначения антибиотиков для борьбы с инфекцией. Это подчеркивает важность обращения к врачу, так как самолечение может привести к ухудшению состояния и развитию серьезных осложнений.
https://youtube.com/watch?v=wN5DnT65F5c
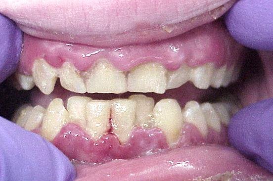
Фото
Многие, столкнувшиеся с язвенно-некротическим гингивитом, пытаются решить проблему самостоятельно с помощью домашних средств. Однако такие подходы часто неэффективны. Симптомы, такие как сильная боль, кровоточивость десен и неприятный запах изо рта, требуют профессионального вмешательства. Стоматолог сможет правильно диагностировать заболевание и назначить лечение, включая антисептики и антибиотики. Важно поддерживать гигиену полости рта и следить за общим состоянием здоровья. Игнорирование симптомов может привести к осложнениям, поэтому лучше обратиться к специалистам за квалифицированной помощью.
Симптомы
Если болезнь протекает в хронической форме, тогда признаки патологии сразу не обнаруживаются. Но в остром состоянии он дает о себе знать такими проявлениями:
- отечность мягких тканей;
- инфильтрация десен;
- некротические изменения на поверхности;
- покраснение;
- болевой синдром;
- появление налета на слизистой;
- образование язвочек;
- отмирание края десны;
- ощущается гнилостный привкус и запах;
- чрезмерная кровоточивость, провоцируемая даже легким нажатием;
- увеличиваются лимфоузлы;
- общее состояние организма при интоксикации – повышенная температура тела, головная и мышечная боль, слабость;
- цвет лица отличается синеватым или бледным оттенком;
- усиливается слюноотделение, но состав секрета меняется на более вязкий и тягучий;
- десневой контур все больше размывается и некротизируется.
Нужно отметить, что в остром состоянии симптоматика ухудшается резко, буквально на глазах. Все признаки могут развиваться стремительно, за несколько часов и тяжелой формы воспалительный процесс достигает уже за трое суток.
Лечение язвенно-нектротического гингивита
При возникновении проблемы следует немедленно обратиться к стоматологу. Специалист проведет диагностику и отличит гингивит Венсана от других заболеваний. Для этого выполнит визуальный осмотр, пальпацию и назначит анализы крови и мочи, включая пробу Шиллера-Писарева. Также измерят уровень иммуноглобулина и индекс кровоточивости.
Лечение проходит в несколько этапов. На начальных стадиях оно осуществляется в стационаре под контролем врачей. Излечение возможно при строгом соблюдении рекомендаций. Для устранения некротического поражения десен сначала удаляют мертвые ткани и обрабатывают участок раствором протеолитических ферментов. В больнице проводят терапию с антибиотиками и дезинфицирующими промываниями.
После этого переходят к домашнему лечению, которое включает:
- Антисептическая обработка пораженных участков 3% перекисью водорода, Фурацилином или 0,25% Хлоргексидином. Промывания дезинфицируют слизистую, устраняют инфекцию и способствуют заживлению. Процедуру проводят до трех раз в день после еды.
- Спазмолитики (Гидрохлорид Лидокаина, Анестезин в глицерине) снимают боль и успокаивают ткани. Обработку слизистой выполняют 4-5 раз в день.
- Антибактериальная терапия включает Дермазинол, Ируксол, 10% Димексид или 1% Диоксидин. Эти препараты уменьшают отечность и воспаление. Применяют в виде примочек три раза в день, удерживая на пораженном участке 15-20 минут.
- Кератопластические средства (Актовегин, раствор витамина А, Метилурацил) способствуют восстановлению мягких тканей. Аппликации проводят несколько раз в сутки.
- Противомикробные препараты (Азитромицин, Сумамед) борются с патогенными микроорганизмами, что приводит к исчезновению симптомов.
Рекомендуется одновременно принимать витаминно-минеральные комплексы для повышения защитных функций организма, антигистаминные препараты и иммуностимуляторы. В некоторых случаях назначают физиотерапевтические процедуры, такие как УФО, лазерная терапия или ультрафонофорез. После устранения инфекции важно провести осмотр ротовой полости и удалить пораженные зубы.
Для ускорения лечения и избавления от симптомов врачи иногда рекомендуют народные рецепты:
- отвар из зверобоя и спорыша: 3 ст. л. зверобоя и 1 ст. л. спорыша заливают стаканом кипятка;
- настой корней лапчатки: 20 г растения на 100 мл спирта, настаивают неделю и используют в виде аппликаций, смешав с небольшим количеством глицерина;
- обработка пораженных участков маслом шиповника или облепихи;
- запаренная кора дуба, которая быстро справляется с воспалением и обладает вяжущим эффектом;
- настой шалфея: 1 ст. л. шалфея запаривают в стакане горячей воды для полоскания;
- слабый содовый раствор также можно использовать для полоскания;
- настойки из ромашки или календулы.
Видео: виды и формы гингивита.
https://youtube.com/watch?v=01ryIrKZ3K4
Возможные последствия
Если болезнь находится в легкой стадии, то ее приравнивают к катаральной форме. Но даже в более запущенных состояниях своевременное и адекватное лечение приводит к полному выздоровлению. Но если поражение деформировало край десны, то он таким и останется.
При обращении на поздних стадиях патологии в результате некротического разрушения и изъязвления межзубных сосочков мягкие ткани истончаются, уменьшаются в объеме, оголяются корни зубов. Этот процесс необратимый. Если же не пролечить язвенно-некротический гингивит, то это приведет к более серьезному поражению пародонтита или пародонтоза, образованию абсцессов, разрушению челюстных костей, потере здоровых зубов.
Профилактика
Предотвратить некротическое воспаление десен просто, если следовать рекомендациям стоматологов:
- регулярно проводить гигиенические процедуры;
- отказаться от вредных привычек;
- выбирать зубные пасты с триклозаном;
- использовать травяные отвары для полоскания рта;
- наладить сбалансированное питание;
- своевременно лечить стоматологические проблемы;
- избегать стрессов;
- вести здоровый образ жизни для поддержки иммунной системы;
- посещать стоматолога дважды в год для профилактических осмотров.
Когда обращаться к врачу
Язвенно-некротический гингивит — это серьезное воспалительное заболевание десен, которое требует профессионального медицинского вмешательства. Признаки этого состояния могут включать в себя сильную боль в деснах, наличие язвочек, кровоточивость, неприятный запах изо рта и общее недомогание. Если вы заметили у себя хотя бы один из этих симптомов, важно не откладывать визит к стоматологу.
Первым признаком, который должен вас насторожить, является длительная кровоточивость десен, особенно если она не проходит после обычной гигиенической чистки зубов. Если вы замечаете, что десны становятся красными, отечными и болезненными, это также сигнал к тому, что необходимо обратиться к специалисту. Язвенно-некротический гингивит может быстро прогрессировать, и без должного лечения он может привести к более серьезным стоматологическим проблемам, таким как пародонтит или потеря зубов.
Кроме того, если вы испытываете общие симптомы, такие как повышенная температура, слабость или головная боль, это может указывать на системное воспаление, связанное с инфекцией десен. В таких случаях не стоит заниматься самолечением, так как это может усугубить ситуацию и привести к серьезным осложнениям.
Важно помнить, что домашние методы лечения, такие как полоскания солевыми растворами или использование антисептических средств, могут временно облегчить симптомы, но не устранят основную причину заболевания. Только квалифицированный стоматолог сможет провести полноценную диагностику, назначить необходимые анализы и разработать индивидуальный план лечения, который может включать в себя профессиональную чистку зубов, назначение антибиотиков и противовоспалительных средств.
Если вы уже проходили лечение, но симптомы не исчезли или вернулись, это также является поводом для повторного обращения к врачу. Не стоит ждать, пока заболевание перейдет в хроническую форму, так как это может значительно усложнить процесс лечения и восстановление здоровья десен.
В заключение, если вы заметили у себя симптомы язвенно-некротического гингивита, не откладывайте визит к стоматологу. Чем раньше вы получите профессиональную помощь, тем быстрее сможете избавиться от проблемы и избежать серьезных последствий для здоровья полости рта.
Вопрос-ответ
Как лечить острый язвенно-некротический гингивит в домашних условиях?
В домашних условиях рекомендуется полоскать рот соленой водой, раствором перекиси водорода (обычная аптечная перекись водорода, смешанная пополам с водой) или хлоргексидином (антисептик). В первые несколько дней вместо чистки зубов может быть рекомендовано полоскание из-за повышенной чувствительности десен.
Можно ли вылечить гингивит в домашних условиях?
Гингивит лечится дома, но по инструкции стоматолога. Врач назначает препараты, которые нужно использовать в домашних условиях. Продолжительность лечения будет зависеть от тяжести течения патологического процесса. В среднем это 2 недели.
Что используется для лечения язвенного гингивита?
Местная терапия заключается в обработке пораженных поверхностей и глубоких язв десны с помощью обезболивающих препаратов. Данные участки ротовой полости обрабатывают антибактериальными препаратами (1-процентной перекисью водорода, 0,06-процентным хлоргексидином, суспензией метронидазола и т. д.).
Советы
СОВЕТ №1
Обратитесь к стоматологу для профессиональной диагностики и лечения. Язвенно-некротический гингивит требует медицинского вмешательства, и только специалист сможет назначить правильное лечение, включая антибиотики и противовоспалительные препараты.
СОВЕТ №2
Поддерживайте гигиену полости рта. Регулярная чистка зубов и использование зубной нити помогут предотвратить ухудшение состояния. Обратите внимание на мягкие щетки и специальные ополаскиватели, которые не будут раздражать воспаленные участки.
СОВЕТ №3
Соблюдайте сбалансированную диету, богатую витаминами и минералами. Употребление продуктов, содержащих витамин C и B, поможет укрепить иммунную систему и ускорить процесс заживления тканей.
СОВЕТ №4
Избегайте стрессов и курения, так как они могут усугубить состояние десен. Найдите способы расслабления, такие как медитация или физическая активность, чтобы поддерживать общее здоровье и снизить риск рецидива заболевания.
