Свищ на десне — патологическое образование, возникающее из-за воспалительных процессов в зубочелюстной области, часто сопровождающееся болью и дискомфортом. В статье рассмотрим, что такое свищ, его причины, а также методы лечения и профилактики. Знание о свище и способах его устранения поможет читателям вовремя обратиться к стоматологу и избежать осложнений, связанных с заболеваниями полости рта.
Причины
Существует две основные причины возникновения свищевого хода на десне.
- Наиболее распространенная причина — накопление гнойного экссудата на верхушке корня зуба при гранулирующем периодонтите. Это часто наблюдается у детей из-за запущенного лечения кариеса и воспаления нерва, так как заболевания молочных зубов быстро прогрессируют в периодонтит.
- Вторая причина связана с глубоким пародонтальным карманом при заболеваниях пародонта. Эти заболевания чаще встречаются у пожилых людей, поэтому у детей и молодежи свищи по этой причине редки.
Причины свищевого хода:
- несвоевременное лечение стоматологических заболеваний;
- недостаточная гигиена полости рта;
- прогрессирующий кариес;
- длительно существующая кариозная полость;
- пульпит — воспаление нерва в зубе;
- некачественное эндодонтическое лечение корневых каналов;
- перфорация корня зуба;
- травматические повреждения;
- ослабление иммунной системы.
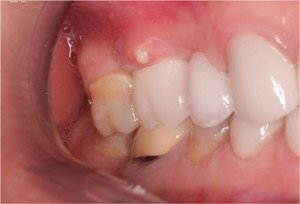
Свищ на десне — это патологическое образование, возникающее в результате хронического воспалительного процесса. Он может быть следствием периодонтита или абсцесса и проявляется в виде небольшого отверстия на десне, из которого выделяется гной или серозная жидкость.
Для лечения свища необходимо обратиться к стоматологу для диагностики и выявления причины. Обычно терапия включает хирургическое вмешательство для удаления воспаленного участка и дренирования гноя. Врач может назначить антибиотики для борьбы с инфекцией. Игнорирование свища может привести к серьезным осложнениям, поэтому своевременное обращение к специалисту критически важно для успешного лечения.
Свищ на десне представляет собой патологическое образование, которое возникает в результате воспалительного процесса, часто связанного с инфекцией корня зуба или десны. Эксперты отмечают, что свищ может проявляться в виде небольшого отверстия на десне, из которого выделяется гной или серозная жидкость. Это состояние требует внимательного подхода, так как игнорирование проблемы может привести к серьезным осложнениям, включая распространение инфекции.
Для лечения свища необходимо обратиться к стоматологу, который проведет диагностику и определит причину его возникновения. В большинстве случаев лечение включает в себя дренирование гноя, а также назначение антибиотиков для борьбы с инфекцией. Важно также устранить основную причину, что может потребовать лечения корневых каналов или удаления зуба. Регулярные профилактические осмотры у стоматолога помогут избежать подобных проблем в будущем и сохранить здоровье полости рта.
https://youtube.com/watch?v=Kt6cEDG5eRk
Виды заболевания
Клиническая картина нестандартного формирования свища, который открывается в подчелюстной области
Свищевой канал, как патологическое образование, может возникнуть в любом органе организма при наличии очага инфекции и подходящих условий. Патология встречается у людей при снижении иммунной защиты, наличии хронических заболеваний. Свищевой ход формируется при отсутствии своевременного или правильного лечения, при переходе с острой стадии в хроническую. Свищевое отверстие открывается в проекции эпицентра очага воспаления, может локализироваться в полости рта, на лице или подбородочном участке.
В челюстно-лицевой области чаще всего возникает зубной свищ, но есть и другие виды болезни:
- После удаления зуба. Возникает довольно редко, проявляется при занесении инфекции, сложном удалении, отсутствии своевременного лечения альвеолита и снижении иммунитета человека.
- При остеомиелите. Это серьезное заболевание, которое характеризуется воспалением костной ткани челюсти, скоплением гноя и может вызывать образование свища.
- При неправильном лечении острых воспалительных процессов – абсцесса, флегмоны. Если не провести вскрытие гнойника, то воспаление может перейти у вялотекущий процесс и при обострении выйти наружу в виде свища.
- После имплантации. Одним из осложнений имплантации является воспаление тканей вокруг импланта – периимплантит. Длительно текущий воспалительный процесс может провоцировать образование фистулы на десне или на лице.
| Симптом | Возможная причина свища на десне | Методы лечения |
|---|---|---|
| Боль, припухлость, покраснение десны | Инфекция зуба (пульпит, периодонтит) | Лечение корневых каналов, удаление зуба, антибиотики |
| Гнойное выделение из свища | Абсцесс, гранулема | Хирургическое вскрытие абсцесса, дренаж, антибиотики |
| Неприятный запах изо рта | Накопление гноя и бактерий | Профессиональная чистка зубов, антисептические полоскания |
| Отек щеки, лимфаденопатия | Распространение инфекции | Антибиотики, хирургическое вмешательство |
| Повышенная температура тела | Сильная инфекция | Антибиотики, жаропонижающие средства |
| Постоянная ноющая боль | Хроническое воспаление | Лечение корневых каналов, хирургическое вмешательство |
| Изменение цвета десны | Воспалительный процесс | Лечение основного заболевания |
Интересные факты
Вот несколько интересных фактов о свищах на десне и их лечении:
-
Причины возникновения: Свищ на десне часто возникает как следствие хронического воспаления, например, при периодонтите или абсцессе. Это может быть результатом инфекции, которая образует гной, и свищ служит каналом для выхода гноя на поверхность десны, что помогает организму избавиться от инфекции.
-
Симптомы и диагностика: Свищ может проявляться в виде небольшого отверстия на десне, из которого может выделяться гной или жидкость. Часто он сопровождается болевыми ощущениями, отечностью и покраснением десен. Важно обратиться к стоматологу для диагностики, так как свищ может быть признаком более серьезных стоматологических заболеваний.
-
Методы лечения: Лечение свища на десне обычно включает в себя устранение основной причины, вызвавшей его появление. Это может быть дренирование гноя, лечение корневых каналов или удаление зуба. В некоторых случаях может потребоваться антибиотикотерапия для борьбы с инфекцией. Важно не заниматься самолечением, так как неправильные действия могут усугубить ситуацию.
https://youtube.com/watch?v=wfILmjuWcGI
Патогенез или как возникает свищ?
Схематическое представление прогрессирования заболевания
Формирование свища при периодонтите связано с гнойным воспалением рядом с корнем зуба. При затрудненном или отсутствующем оттоке экссудата он накапливается, что приводит к повышению давления в пораженной области. Гной проникает в костные ткани и десну, образуя канал. Он стремится найти выход и прорывается через слизистую оболочку десны.
Образование свища можно считать относительно благоприятным исходом периодонтита, так как это заболевание может быть опасным. Гной может распространиться на надкостницу и кость, что чревато развитием периостита, остеомиелита и другими осложнениями. При поражении моляров верхней челюсти гной может попасть в верхнечелюстную пазуху, вызывая одонтогенный гайморит.
При пародонтите механизм развития отличается. Он проявляется воспалением десен, разрушением зубодесневого соединения, изменениями в костной ткани и подвижностью зубов. Образуются пародонтальные карманы, где скапливаются остатки пищи, микроорганизмы и продукты их жизнедеятельности, что может привести к образованию гнойного содержимого. Обычно гной отводится через карманы, выходя вдоль корня зуба через десну. Однако при глубоких карманах могут возникнуть проблемы с оттоком из-за зубных отложений или остатков пищи, что может привести к пародонтальному абсцессу и образованию свища.
Свищ на десне — это патологическое образование, возникающее из-за воспалительных процессов в зубочелюстной системе. Он может вызывать неприятные ощущения, боль и отечность. Внешний вид свища варьируется: это может быть небольшое отверстие или пузырь с гнойным содержимым. Часто свищ появляется после неудачного стоматологического вмешательства или травмы.
Для лечения свища необходимо обратиться к стоматологу для диагностики и выяснения причины. Обычно требуется устранение воспалительного очага, а иногда и удаление зуба. Не стоит заниматься самолечением, так как это может привести к осложнениям. В качестве временной меры можно использовать антисептические растворы для полоскания рта, однако основное лечение должен назначить специалист. Своевременное обращение к врачу поможет избежать серьезных проблем и восстановить здоровье десен.
Течение болезни
Хронический периодонтит и его основной симптом – свищевой ход характеризуются волнообразным течением. Симптомы заболевания всегда буду зависеть от стадии развития болезни. Некоторый период времени заболевание может существовать практически бессимптомно или вызвать незначительные симптомы (дискомфорт, покалывание, неприятные ощущения в зубе). При обострении патологии происходит формирование канала и выход гноя.
При этом на десне образуется гнойник, который со временем лопнет. После этого давление в очаге воспаления около верхушки зуба будет отсутствовать и свищевое отверстие заживает самостоятельно. Но если не устранить эпицентр воспаления, то свищ может возникать и исчезать самостоятельно много раз, пока не спровоцирует более серьезные осложнения.
https://youtube.com/watch?v=JDD0GEMP3HU
Симптомы
Схематическое представление прогрессирования заболевания
- Формирование гнойника на десне.
- Покраснение десны в области корней пораженного зуба.
- Боль и дискомфорт при жевании на затронутом зубе.
- Болезненность ограниченной зоны десны.
- Подвижность зуба.
- Неприятный запах изо рта.
- Общие симптомы: легкое повышение температуры, недомогание, увеличение лимфатических узлов.
Методы диагностики
Диагностика свища на десне требует комплексного подхода и включает в себя несколько этапов. В первую очередь, стоматолог проводит тщательный осмотр полости рта, обращая внимание на состояние десен, зубов и окружающих тканей. Визуальный осмотр позволяет выявить наличие свища, его размер, цвет и расположение.
Для более детального изучения проблемы могут быть использованы рентгенологические методы. Рентгенография помогает определить наличие воспалительных процессов в корнях зубов, а также выявить возможные кисты или абсцессы, которые могут быть связаны со свищом. В некоторых случаях может потребоваться панорамный снимок, который даст более полное представление о состоянии зубочелюстной системы.
Кроме того, стоматолог может назначить дополнительные исследования, такие как КТ (компьютерная томография), если есть подозрение на сложные случаи, требующие более детального анализа. Это особенно актуально, если свищ связан с хроническим воспалением или другими стоматологическими заболеваниями.
Важно также провести опрос пациента о его симптомах, истории заболеваний и возможных травмах. Это поможет врачу понять, что могло стать причиной возникновения свища. Часто свищи возникают как следствие запущенного кариеса, пародонтита или травм зубов.
В некоторых случаях может потребоваться консультация смежных специалистов, таких как хирург или пародонтолог, для более точной диагностики и выбора оптимального метода лечения. Важно помнить, что своевременная диагностика свища на десне позволяет избежать серьезных осложнений и сохранить здоровье зубов и десен.
Вопрос-ответ
Каковы основные причины появления свища на десне?
Свищ на десне может возникнуть из-за различных факторов, включая инфекцию, воспаление десен, кариес, а также травмы зуба или десны. Неправильная гигиена полости рта и наличие зубного камня также могут способствовать развитию свища.
Какие симптомы указывают на наличие свища на десне?
Симптомы свища на десне могут включать боль в области зуба, отек десен, выделение гноя или жидкости из свища, а также неприятный запах изо рта. В некоторых случаях может наблюдаться общее недомогание и повышение температуры.
Как проходит лечение свища на десне?
Лечение свища на десне обычно включает в себя удаление причины воспаления, что может потребовать лечения кариеса, чистки зубов от зубного камня или дренирования гнойного содержимого. Врач может также назначить антибиотики для борьбы с инфекцией и рекомендовать полоскания антисептическими растворами для ускорения заживления.
Советы
СОВЕТ №1
Обратитесь к стоматологу при первых признаках свища на десне. Не откладывайте визит, так как своевременная диагностика и лечение помогут избежать осложнений и более серьезных заболеваний.
СОВЕТ №2
Поддерживайте хорошую гигиену полости рта. Регулярная чистка зубов, использование зубной нити и ополаскивателей помогут предотвратить воспалительные процессы и снизить риск появления свищей.
СОВЕТ №3
Не занимайтесь самолечением. Использование народных средств или препаратов без консультации с врачом может усугубить ситуацию. Следуйте рекомендациям стоматолога и не пренебрегайте назначенными процедурами.
СОВЕТ №4
Обратите внимание на свое общее состояние здоровья. Хронические заболевания, такие как диабет, могут влиять на здоровье десен. Регулярные медицинские осмотры помогут контролировать состояние вашего организма и предотвратить проблемы с зубами и деснами.


