Синдром Шегрена — аутоиммунное заболевание, поражающее слюнные и слезные железы, что приводит к сухости во рту и глазах. Оно также может затрагивать другие органы, вызывая различные симптомы и осложнения. Понимание причин, механизмов и проявлений синдрома важно для диагностики и лечения. В статье рассмотрим ключевые аспекты синдрома Шегрена, чтобы читатели лучше осознали его влияние на качество жизни.
Что такое болезнь Шегрена?
Синдром Шегрена, согласно международной классификации болезней (МКБ-10), имеет код М35.0 и относится к аутоиммунным расстройствам. Он проявляется нарушениями в соединительных тканях и работе слюнных и слезных желез. Увеличение воспалительного процесса и снижение выработки слюны могут привести к вторичной инфекции.
При синдроме Шегрена иммунная система начинает атаковать собственные клетки и ткани. Заболевание чаще всего затрагивает женщин среднего возраста, мужчины составляют лишь 5-10% пациентов.
Синдром часто сопровождается другими расстройствами, такими как склеродермия, дерматомиозит, ревматоидный артрит, тиреоидит Хашимото, гепатит, васкулит и первичный билиарный цирроз.
Это аутоиммунное заболевание вызывает атаку на слюнные и слезные железы, что приводит к сухости в ротовой полости и глазах. Состояние может развиваться как самостоятельно, так и в сочетании с другими аутоиммунными заболеваниями, такими как ревматоидный артрит или системная красная волчанка. Причины синдрома Шегрена не полностью выяснены, но предполагается, что генетическая предрасположенность и вирусные инфекции играют значительную роль. Врачи подчеркивают важность ранней диагностики и комплексного лечения для улучшения качества жизни пациентов и минимизации проявлений заболевания.
Синдром Шегрена представляет собой аутоиммунное заболевание, при котором иммунная система атакует слюнные и слезные железы, что приводит к сухости во рту и глазах. По мнению экспертов, точные причины возникновения синдрома до конца не изучены, однако существует ряд факторов, способствующих его развитию. Генетическая предрасположенность, вирусные инфекции и гормональные изменения могут играть ключевую роль. Исследования показывают, что у женщин синдром встречается значительно чаще, что может быть связано с гормональными изменениями в организме. Кроме того, эксперты подчеркивают важность ранней диагностики и комплексного подхода к лечению, чтобы минимизировать симптомы и улучшить качество жизни пациентов.
https://youtube.com/watch?v=BUaMilY5OCU
Причины возникновения
Изучая истории болезней пациентов, врачи до сих пор не смогли выделить основные факторы, провоцирующие патологию. Есть только общие предположения на тему того, каким образом передается синдром Шегрена и у каких людей есть большая склонность к его появлению. На сегодняшний день обнаружена генетическая предрасположенность к патологии.
Все собранные данные указывают на некую связь между внутренними факторами и внешними стимулами, которые запускают ответную реакцию организма. Считается, что человек изначально склонен к такой патологии, но она возникает лишь после того, как ее спровоцирует что-либо из окружающей среды.
- стрессовые ситуации, депрессии, эмоциональные переживания;
- переохлаждение или перегрев организма;
- чрезмерное употребление лекарственных препаратов;
- гиперчувствительность к внешним раздражающим факторам;
- наследственность;
- гормональные нарушения.
Нередко синдром Шегрена является лишь одним из признаков какого-то другого внутреннего заболевания, преимущественно аутоиммунного характера.
| Симптом/Характеристика | Описание | Связь с причинами синдрома Шегрена |
|---|---|---|
| Ксерофтальмия (сухость глаз) | Чувство песка в глазах, жжение, зуд, покраснение, повышенная чувствительность к свету. | Аутоиммунная атака на слезные железы, приводящая к уменьшению выработки слезной жидкости. |
| Ксеростомия (сухость во рту) | Сухость во рту, затрудненное глотание, трещины в уголках рта, изменение вкуса, кариес. | Аутоиммунная атака на слюнные железы, приводящая к уменьшению выработки слюны. |
| Утомляемость | Постоянная усталость, слабость, снижение энергии. | Связана с хроническим воспалением и аутоиммунным процессом, затрагивающим организм в целом. |
| Сухость кожи | Сухая, шелушащаяся кожа, зуд. | Аутоиммунное воспаление, затрагивающее кожные железы. |
| Сухой кашель | Хронический, непродуктивный кашель. | Сухость слизистых оболочек дыхательных путей. |
| Воспаление суставов (артрит) | Боль, припухлость, скованность в суставах. | Аутоиммунное воспаление, затрагивающее суставы. |
| Поражение других органов | Поражение почек, легких, печени, нервной системы. | Аутоиммунное воспаление, затрагивающее различные органы и ткани. |
| Генетическая предрасположенность | Наличие семейного анамнеза по аутоиммунным заболеваниям. | Генетические факторы могут повышать риск развития синдрома Шегрена. |
| Вирусные инфекции | Возможное участие вирусных инфекций в развитии аутоиммунного процесса. | Вирусная инфекция может запускать аутоиммунную реакцию, приводящую к синдрому Шегрена. |
| Неизвестные факторы | Существуют факторы, которые до конца не изучены и не могут быть объяснены. | Некоторые случаи синдрома Шегрена могут быть связаны с факторами окружающей среды или другими неизвестными причинами. |
Интересные факты
Синдром Шегрена — это аутоиммунное заболевание, которое в первую очередь поражает слюнные и слезные железы, приводя к сухости во рту и глазах. Вот несколько интересных фактов об этом синдроме и его причинах:
-
Аутоиммунная природа: Синдром Шегрена является аутоиммунным заболеванием, что означает, что иммунная система организма ошибочно атакует собственные клетки и ткани. Это приводит к воспалению и повреждению слюнных и слезных желез, что вызывает характерные симптомы.
-
Связь с другими заболеваниями: Синдром Шегрена часто сопутствует другим аутоиммунным заболеваниям, таким как ревматоидный артрит и системная красная волчанка. Это может затруднить диагностику, так как симптомы могут перекрываться.
-
Не только сухость: Хотя основными симптомами синдрома Шегрена являются сухость глаз и рта, это заболевание может также вызывать системные проявления, такие как усталость, боли в суставах и даже поражение внутренних органов. Это делает его более сложным для понимания и лечения, чем может показаться на первый взгляд.
https://youtube.com/watch?v=5u28SdJKGxI
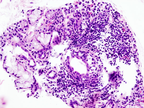
Фото
Гистологическая картина слюнной железы
Первый признак – сухость и покраснение глаз
Синдром Шегрена — аутоиммунное заболевание, при котором иммунная система атакует слюнные и слезные железы, вызывая сухость в ротовой полости и глазах. Пациенты описывают постоянный дискомфорт, затрудняющий повседневные задачи. Причины синдрома не полностью ясны, но предполагаются генетическая предрасположенность и влияние вирусных инфекций. Люди с этим синдромом часто имеют сопутствующие заболевания, такие как ревматоидный артрит или системная красная волчанка. Ранняя диагностика и комплексное лечение могут значительно улучшить качество жизни, помогая справляться с симптомами и предотвращая осложнения.
Симптомы
В медицине принято выделять железистые и внежелезистые проявления патологии. То есть, частично клиническая картина выглядит как последствия нарушения работы желез внутренней или внешней секреции, а при прогрессирующем заболевании поражаются другие органы и системы.
Но нужно понимать, что подобное аутоиммунное состояние в каждом случае может проявляться совершенно по-разному. У одних пациентов это легкие малозаметные симптомы, а у других – серьезные нарушения, при которых существенно ухудшается качество жизни.
- сухость слизистых начинается с глаз, при этом человек ощущает жжение, зуд, дискомфорт, как будто в них насыпали песок, постепенно развивается конъюнктивит, в уголках скапливаются белые образования;
- нарушается и острота зрения, сужаются глазные щели, появляется неприятная реакция на яркий свет;
- увеличиваются слюнные железы, возникает отечность;
- сухость во рту, воспалительный процесс слизистой, образуются заеды, трещинки на губах;
- нередко уменьшенное слюноотделение приводит к обширным кариозным поражениям, стоматиту и другим инфекционным процессам в ротовой полости;
- увеличиваются и близлежащие лимфатические узлы;
- сухие ощущения постепенно нарастают настолько, что человеку приходится запивать любую твердую пищу и даже употреблять воду во время разговора;
- изменяется оттенок слизистой на розовый;
- появляется сиплость или хрипота в голосе, ухудшается дикция;
- язык становится складчатым, заметны ороговевшие образования во рту;
- наблюдается и сухость носоглотки, из-за чего в носу и ушах возникают корочки, что приводит к нарушениям слуха и отиту;
- также к заболеванию присоединяются и патологии верхних дыхательных путей – бронхиты, пневмонии, синуситы, трахеобронхиты;
- у женщин проблема переходит и на половые органы, слизистая влагалища чрезмерно пересыхает, краснеет, воспаляется, пациентки ощущают боль и зуд;
- наблюдаются высыпания, уменьшенное потоотделение, аллергические реакции и дерматиты;
- снижение количества выделяемой слюны влияет и на способность глотать, качество первичной обработки пищи, в результате появляются патологии пищеварительного тракта, нередко диагностируют гастрит или другие заболевания ЖКТ;
- работа печени и желчного пузыря также нарушается, что приводит к холециститу, гепатиту и другим серьезным патологиям;
- страдает и поджелудочная железа, развивается панкреатит.
https://youtube.com/watch?v=bFRj_pVChN8
Диагностика синдрома Шегрена
Диагностика синдрома Шегрена представляет собой многоступенчатый процесс, который включает в себя как клинические, так и лабораторные методы. Основной задачей врача является выявление характерных симптомов и подтверждение наличия аутоиммунного процесса.
Первым шагом в диагностике синдрома Шегрена является сбор анамнеза. Врач должен выяснить, какие симптомы беспокоят пациента, как долго они наблюдаются и есть ли у пациента в анамнезе другие аутоиммунные заболевания, такие как ревматоидный артрит или системная красная волчанка. Симптомы могут включать сухость глаз (ксерофтальмия), сухость во рту (ксеростомия), а также общие симптомы, такие как усталость, боли в суставах и мышцах.
После сбора анамнеза врач проводит физикальное обследование, в ходе которого обращает внимание на состояние слюнных и слезных желез, а также на наличие других признаков, указывающих на аутоиммунные заболевания.
Лабораторные исследования играют ключевую роль в подтверждении диагноза. Одним из основных анализов является определение уровня антител к Ro (SS-A) и La (SS-B), которые часто обнаруживаются у пациентов с синдромом Шегрена. Также могут быть назначены анализы на наличие ревматоидного фактора и анти-Ядро антител, что поможет исключить другие аутоиммунные заболевания.
Кроме того, для оценки функции слюнных желез может быть проведен тест на секрецию слюны, а также биопсия малой слюнной железы, которая позволяет выявить характерные изменения, такие как лимфоцитарная инфильтрация.
Для диагностики сухости глаз используются специальные тесты, такие как тест Ширмера, который измеряет количество слез, производимых глазом, и тест на окрашивание роговицы специальными красителями, позволяющими оценить состояние поверхности глаза.
Важно отметить, что синдром Шегрена может проявляться в различных формах, и его симптомы могут варьироваться от пациента к пациенту. Поэтому диагностика требует комплексного подхода и тщательного анализа всех собранных данных.
В заключение, диагностика синдрома Шегрена является сложным и многоступенчатым процессом, который требует внимательного отношения как со стороны врача, так и со стороны пациента. Раннее выявление и правильная диагностика играют ключевую роль в успешном управлении заболеванием и улучшении качества жизни пациентов.
Вопрос-ответ
Какие основные симптомы синдрома Шегрена?
Синдром Шегрена характеризуется сухостью слизистых оболочек, особенно глаз и рта. Основные симптомы включают сухость глаз (ксерофтальмия), сухость во рту (ксеростомия), усталость, боли в суставах и иногда кожные высыпания. Также могут наблюдаться проблемы с пищеварением и увеличение слюнных желез.
Как диагностируется синдром Шегрена?
Диагностика синдрома Шегрена включает клинический осмотр, анализы крови на наличие специфических антител (например, анти-SSA и анти-SSB), а также тесты на сухость глаз и слюнных желез. В некоторых случаях может потребоваться биопсия слюнной железы для подтверждения диагноза.
Каковы возможные методы лечения синдрома Шегрена?
Лечение синдрома Шегрена направлено на облегчение симптомов. Это может включать использование искусственных слез для увлажнения глаз, препараты для стимуляции слюноотделения, а также противовоспалительные средства для уменьшения болей в суставах. Важно также следить за общим состоянием здоровья и консультироваться с врачом для индивидуального подбора терапии.
Советы
СОВЕТ №1
Обратите внимание на симптомы. Синдром Шегрена может проявляться в виде сухости глаз и рта, усталости, болей в суставах. Если вы заметили у себя подобные симптомы, не откладывайте визит к врачу для диагностики и получения рекомендаций.
СОВЕТ №2
Изучите факторы риска. Синдром Шегрена чаще встречается у женщин старше 40 лет и может быть связан с другими аутоиммунными заболеваниями. Если у вас есть такие заболевания в анамнезе, обсудите это с вашим врачом.
СОВЕТ №3
Следите за своим образом жизни. Правильное питание, регулярные физические нагрузки и управление стрессом могут помочь в поддержании общего здоровья и уменьшении симптомов синдрома Шегрена. Рассмотрите возможность консультации с диетологом или специалистом по физической реабилитации.
СОВЕТ №4
Не забывайте о регулярных обследованиях. Если у вас уже диагностирован синдром Шегрена, важно регулярно проходить обследования у врача для контроля состояния и предотвращения возможных осложнений.
