Ретейнеры — это инструмент в бизнесе и маркетинге, который помогает компаниям поддерживать долгосрочные отношения с клиентами и обеспечивать стабильный доход. В статье рассмотрим, что такое ретейнеры, как они функционируют и в каких ситуациях их использование особенно актуально. Понимание этих аспектов поможет предпринимателям и маркетологам эффективно управлять ресурсами и выстраивать успешные стратегии взаимодействия с клиентами.
Что это такое?
Ретейнеры — ортодонтические устройства для коррекции прикуса, используемые после снятия брекетов. Они необходимы в ретенционном периоде, когда происходит переход от активной терапии к поддержанию результатов.
Ретейнеры могут быть в виде тонкой проволоки или прозрачной пластины, крепящихся к внутренней стороне зубного ряда или десне. Их основная задача — сохранить результаты, достигнутые с помощью брекетов.
- Сохраняют положение зубов;
- Удерживают зубы в правильной позиции;
- Изготавливаются индивидуально или доступны в готовом виде;
- Удобны в использовании и практически незаметны.
Ретейнеры необходимы для поддержания зубов после завершения ортодонтического лечения. Их главная функция — предотвращение рецидива, то есть возвращения зубов в прежнее состояние. После удаления брекетов зубы могут стремиться занять исходные позиции, и ретейнеры этому препятствуют.
Существуют съемные и несъемные ретейнеры. Съемные позволяют пациентам контролировать их использование, что удобно в повседневной жизни. Несъемные фиксируются на зубах и обеспечивают постоянное удержание. Врачи подчеркивают важность соблюдения рекомендаций по ношению ретейнеров, так как это влияет на долговечность результатов лечения. Правильное использование ретейнеров помогает сохранить красивую улыбку на долгие годы.
Ретейнеры представляют собой специальные устройства, используемые в ортодонтии для поддержания результатов лечения. Эксперты отмечают, что после завершения ортодонтического лечения зубы имеют тенденцию возвращаться в исходное положение, и именно ретейнеры помогают предотвратить этот процесс. Они фиксируют зубы в новом положении, обеспечивая стабильность и долговечность результата.
Существует несколько типов ретейнеров: съемные и несъемные. Съемные устройства удобны в использовании и позволяют пациентам поддерживать гигиену полости рта, в то время как несъемные ретейнеры обеспечивают более надежную фиксацию. Важно, чтобы пациенты следовали рекомендациям врачей по ношению ретейнеров, так как это напрямую влияет на успех лечения. Эксперты подчеркивают, что регулярные визиты к ортодонту также играют ключевую роль в контроле за состоянием зубов и корректировке ретейнеров при необходимости.
https://youtube.com/watch?v=Oq8Huex96oM
Зачем нужны и как действуют?
После вполне успешной коррекции погрешностей прикуса, зубы могут возвращаться в прежнее положение. Также обратные изменения затрагивают мышцы, суставы. Чтобы избежать такого развития событий, специалисты после брекетов ставят ретейнеры.
Эти устройства фиксируют в неизменном положении самую податливую часть зубного ряда, связки. Даже успешное исправление недостатков зубного ряда в отсутствие укрепляющего изнутри фактора может нивелироваться.
Они могут использоваться в тандеме с капами. Более того, самым результативным считается сочетание такого способа шинирования с ночными капами из пластика.
| Тип ретейнера | Функция | Механизм действия |
|---|---|---|
| Съёмный (пластинка, каппа) | Поддержание достигнутого результата ортодонтического лечения, предотвращение рецидива. | Фиксирует зубы в новом положении, оказывая постоянное, но щадящее давление. |
| Несъёмный (дуга, проволока) | Поддержание достигнутого результата ортодонтического лечения, предотвращение рецидива. | Фиксирует зубы в новом положении с помощью постоянного, но минимального давления, цепляясь за зубы. |
| Лингвальный ретейнер (невидимый) | Поддержание достигнутого результата ортодонтического лечения, предотвращение рецидива. | Фиксируется на внутренней поверхности зубов, оказывая постоянное, но щадящее давление. |
| Букальный ретейнер (видимый) | Поддержание достигнутого результата ортодонтического лечения, предотвращение рецидива. | Фиксируется на внешней поверхности зубов, оказывая постоянное, но щадящее давление. |
Интересные факты
Вот несколько интересных фактов о ретейнерах:
-
Функция удержания: Ретейнеры — это ортодонтические устройства, которые используются после завершения лечения брекетами для удержания зубов в новом положении. Они помогают предотвратить рецидив, когда зубы могут вернуться на свои прежние места.
-
Разнообразие типов: Существует несколько типов ретейнеров, включая съемные и несъемные. Съемные ретейнеры, такие как Hawley, могут быть легко сняты для чистки или во время еды, в то время как фиксированные ретейнеры прикрепляются к задней поверхности зубов и остаются на месте постоянно.
-
Долговременное использование: Многие ортодонты рекомендуют носить ретейнеры в течение нескольких лет после завершения ортодонтического лечения, а иногда даже на всю жизнь, особенно в ночное время. Это связано с тем, что зубы могут продолжать двигаться даже после завершения активного лечения, и ретейнеры помогают сохранить достигнутый результат.
https://youtube.com/watch?v=TsBIsAiKnFo
Фото
Ретейнеры — это устройства, которые поддерживают результаты ортодонтического лечения. После снятия брекетов многие пациенты сталкиваются с возвращением зубов в прежнее положение. Ретейнеры помогают сохранить правильное расположение зубов и предотвращают их смещение.
Пациенты отмечают, что ретейнеры облегчают адаптацию после лечения. Некоторые выбирают съемные модели, которые удобно снимать во время еды или чистки зубов, другие предпочитают фиксированные варианты для постоянного удержания зубов.
Регулярное ношение ретейнеров, особенно в первые месяцы после лечения, критически важно для долговременного результата. Многие пациенты подчеркивают, что, следуя рекомендациям врача и используя ретейнеры, они могут наслаждаться красивой улыбкой на протяжении многих лет.
Виды
Приспособления подразделяются по степени прозрачности материала, способу ношения и крепления. Устанавливаются они после вердикта стоматолога и гигиенических процедур.
Классификация конструкций:
- Ретейнеры съемные.
- Ретейнеры несъемные.
- сочетание нескольких видов, или комбинированные устройства.
► Съемные
- Их снимают на некоторый промежуток времени, либо носят без перерывов в зависимости от рекомендаций ортодонта.
- Есть возможность носить устройство только ночью, либо только днем. На время приема пищи, гигиенических процедур или на время, в течение которого они будут доставлять эстетические неудобства пациенту, их можно снять без ущерба эффективности терапии. Важно не использовать такую возможность слишком часто.
- Съемные конструкции чаще изготавливают из прозрачного или цветного полимера (силикон) или пластмассы, а также из металлической проволоки. Прозрачные изделия малозаметны окружающим. Пластик для изделий используют очень тонкий. Неудобств владельцу ретейнеры не доставляют.
- Конструкции делят на одночелюстные, которые носят постоянно или надевают на конкретный срок, и двучелюстные, для кратковременного ношения.
- По формам изделия бывают в виде пластинок, металлических дуг, прозрачных кап, напоминающих каркас или маску.
- Минусы устройств в том, что они способны провоцировать аллергию и чрезмерное отделение слюны. Кроме того, в некоторых случаях они доставляют неудобства при ношении и разговоре.
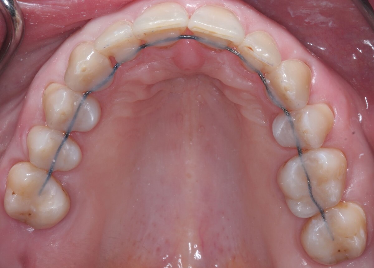
► Несъемные
- Внешне напоминают дугу, тонкую, незаметную, удобную, либо ленту, или волокнистую систему.
- Выполняются из современных металлов.
- Устанавливаются изнутри зубного ряда с применением особого клеящего состава.
- Крепятся к молярам.
- Фиксируются специальным композитным материалом.
- Требуют регулярного наблюдения ортодонта. Врач оценит состояние зубов, особенно моляров, к которым изделия крепятся.
- Кроме обычной гигиены ротовой полости с несъемными ретейнерами потребуется профессиональная чистка.
- Носятся весь курс лечения без перерывов. Одновременно это и преимущество, т. к. приборы оказывают постоянное действие, и недостаток – затрудняется гигиена ротовой полости. При недостаточной чистке высок риск образования зубного камня.
► Комбинированные
- Скорее это вариант ношения. Например, на верхней челюсти крепят капы, на нижней – ленту.
- В некоторых случаях требуется ношение сначала несъемной модели, затем съемной.
Устройство не выбирается пациентом по его предпочтениям. Выбор осуществляет врач-ортодонт, его решение предваряет комплексное обследование.
https://youtube.com/watch?v=V4MCkEkyCu4
Установка ретейнеров после брекетов
Ретейнеры устанавливаются сразу после удаления брекетов и необходимых гигиенических процедур. В некоторых случаях, по медицинским показаниям, несъемные корректирующие устройства могут применяться в конце лечения с брекет-системами.
- удаление брекетов;
- осмотр ротовой полости и зубов;
- лечение заболеваний, если они есть;
- гигиенические процедуры;
- обработка десен и зубов специальными растворами для улучшения сцепления;
- высушивание зубных поверхностей;
- подготовка эмали для установки лент;
- фиксация несъемных ретейнеров с использованием клея;
- создание слепка и установка съемных конструкций.
Сколько нужно их носить?
Однозначного ответа на такой вопрос быть не может. Срок использования ретейнеров пациентом определяется непосредственно после снятия предыдущих устройств.
- Средняя продолжительность терапии съемными или несъемными корректорами соответствует примерно одному или двукратному временному промежутку, в течение которого клиент носил брекеты. Минимальный срок использования – 1 год. Максимальный – всю жизнь. В каждом случае время лечения определяется индивидуально.
- Важный критерий – степень подвижности зубов. Длительному сроку коррекции брекетов соответствует длительный же срок поддержки ретейнерами.
- С возрастом связки зубов приобретают все большую подвижность. Значит, чем старше пациент, тем больше времени потребуется на коррекцию. После двадцатилетнего рубежа срок коррекции однозначно увеличивается.
- Если патология зубного ряда серьезна, выражены субъективные трудности коррекции, срок терапии будет продлен.
- Индивидуальные особенности пациента, его пародонта так или иначе влияют на курс лечения.
- При наличии вредных привычек (курения), иногда потребуется переустановка уже используемых ретейнеров из-за их повреждения.
- Влияет количество удаленных зубов перед установкой скоб.
Особенности ухода
Если говорить о гигиенических требованиях при ношении ретейнеров, основными принципами являются тщательный уход, использование мягких щеток и специализированных зубных паст.
Три основных «нельзя»:
- Строго соблюдайте график посещений стоматолога. Изменения в процессе лечения могут быть незаметны для пациента, но важны для общего состояния. Специалист вовремя выявит и устранит возможные проблемы.
- Отклеившуюся систему нельзя оставлять без внимания. Важно быстро предпринять меры для ее фиксации.
- Для ухода за ортодонтическими устройствами не используйте агрессивные средства, такие как перекись водорода.
Средства для ухода:
- чистая вода;
- зубная паста;
- хлоргексидин;
- зубные нити;
- ирригаторы;
- ортодонтический бокс;
- дезинфицирующие растворы;
- растворы для полоскания.
► Уход за капами и пластинками
Капы и пластины следует регулярно промывать чистой водой и при необходимости очищать мягкой зубной щеткой. Утром съемные устройства протирайте стерильной салфеткой, смоченной в слабом растворе хлоргексидина. Перед едой капы и пластины нужно снимать. Храните их в ортодонтических боксах.
Помещайте их в бокс во время перерывов на еду и питье, особенно при употреблении сладких газированных или алкогольных напитков. Дезинфекцию кап и пластин проводите дважды в день в теплых растворах.
► Уход за лентами и дугами
С несъемными системами требуется более тщательный подход.
- Обязательно используйте зубные нити, предпочтительно специализированные.
- Чистите зубы с помощью стационарных ирригаторов и других специализированных приборов.
- Не реже одного раза в сутки обрабатывайте полость рта противомикробными ополаскивателями.
- Профессиональная чистка зубов должна проводиться не реже одного раза в шесть месяцев.
Следите за:
- накоплением зубного налета;
- образованием зубного камня;
- воспалением мягких тканей из-за отложений;
- кровоточивостью десен;
- появлением неприятного запаха изо рта.
Потенциальные проблемы и их решение
Ретейнеры, как и любые другие инструменты в бизнесе, могут столкнуться с рядом потенциальных проблем, которые могут повлиять на их эффективность и результативность. Понимание этих проблем и разработка стратегий для их решения являются ключевыми аспектами успешного использования ретейнеров.
Одной из основных проблем является недостаточная ясность в определении объема работ и ожиданий. Когда клиент и поставщик услуг не имеют четкого представления о том, что именно включает в себя ретейнер, это может привести к недопониманию и конфликтам. Чтобы избежать этой ситуации, важно заранее согласовать все детали, включая объем работ, сроки выполнения и критерии оценки результатов. Создание детального договора, в котором будут прописаны все условия, поможет минимизировать риски.
Еще одной распространенной проблемой является недостаток коммуникации между клиентом и исполнителем. Регулярные встречи и отчеты о проделанной работе могут помочь поддерживать открытый диалог и своевременно выявлять возможные проблемы. Использование инструментов для управления проектами и коммуникации, таких как Slack или Trello, может значительно упростить этот процесс и сделать его более прозрачным.
Также стоит учитывать, что ретейнеры могут привести к финансовым рискам, если объем работ превышает запланированный. В таких случаях важно заранее обсудить возможные дополнительные расходы и условия их оплаты. Установление лимитов на количество часов или объем работ, включенных в ретейнер, поможет избежать неприятных сюрпризов.
Наконец, стоит отметить, что не все клиенты могут быть готовы к формату ретейнера. Некоторые компании могут предпочитать разовые услуги или проекты с фиксированной стоимостью. В этом случае важно быть гибким и готовым предложить альтернативные варианты сотрудничества, которые будут соответствовать потребностям клиента.
В заключение, успешное использование ретейнеров требует внимательного подхода к планированию, коммуникации и управлению ожиданиями. Понимание потенциальных проблем и разработка стратегий для их решения помогут как клиентам, так и исполнителям извлечь максимальную выгоду из этого формата сотрудничества.
Вопрос-ответ
Каковы основные преимущества использования ретейнеров после ортодонтического лечения?
Ретейнеры помогают сохранить достигнутые результаты ортодонтического лечения, предотвращая смещение зубов. Они обеспечивают стабильность зубного ряда и помогают избежать повторной коррекции, что может сэкономить время и деньги в будущем.
Сколько времени нужно носить ретейнеры после завершения лечения?
Время ношения ретейнеров зависит от индивидуальных рекомендаций ортодонта, но обычно они рекомендуются носить постоянно в течение первых 6 месяцев, а затем только на ночь в течение нескольких лет. В некоторых случаях может потребоваться более длительное ношение.
Какие существуют виды ретейнеров и в чем их отличия?
Существует два основных типа ретейнеров: съемные и несъемные. Съемные ретейнеры можно легко убрать для чистки и во время еды, тогда как несъемные фиксируются на зубах и обеспечивают постоянную поддержку. Выбор типа зависит от конкретной ситуации и рекомендаций врача.
Советы
СОВЕТ №1
Изучите различные типы ретейнеров. Существуют съемные и несъемные ретейнеры, и каждый из них имеет свои преимущества и недостатки. Понимание различий поможет вам выбрать наиболее подходящий вариант для вашей ситуации.
СОВЕТ №2
Следуйте рекомендациям вашего ортодонта. Чтобы ретейнеры выполняли свою функцию, важно носить их столько времени, сколько вам предписано. Пренебрежение этим может привести к смещению зубов и необходимости повторного лечения.
СОВЕТ №3
Регулярно ухаживайте за ретейнерами. Чистите их специальными средствами или мягкой зубной щеткой, чтобы избежать накопления бактерий и неприятного запаха. Это поможет сохранить их в хорошем состоянии и продлить срок службы.
СОВЕТ №4
Не забывайте о регулярных визитах к ортодонту. Даже если вы носите ретейнеры, важно периодически проверять состояние зубов и ретейнеров у специалиста, чтобы убедиться, что все идет по плану и нет необходимости в коррекции.
