Перекрестный прикус — стоматологическая аномалия, при которой зубы верхней и нижней челюсти неправильно смыкаются. Это может вызвать проблемы с жеванием, речью и эстетикой лица. В статье рассмотрим причины перекрестного прикуса, его влияние на здоровье и качество жизни, а также методы лечения и сроки достижения результата. Понимание проблемы поможет читателям обратиться к специалистам и выбрать оптимальный подход к коррекции.
Что такое перекрестный прикус?
Ортодонтия различает несколько типов нарушений прикуса, среди которых перекрестный прикус — одно из самых серьезных. Это состояние характеризуется смещением челюстей в горизонтальной плоскости, иногда проявляющимся асимметрией лица.
Чаще всего нарушение проявляется в детском возрасте. Раннее обнаружение упрощает и ускоряет процесс исправления. Однако проблема может возникнуть и у взрослых.
Перекрестный прикус — это стоматологическая аномалия, при которой зубы верхней и нижней челюсти не находятся в правильном соотношении. Такая деформация может вызвать трудности при жевании, дискомфорт и болевые ощущения в области челюсти. Лечение зависит от тяжести проблемы и может включать ортодонтические аппараты, брекеты или хирургическое вмешательство. Продолжительность лечения варьируется: в легких случаях коррекция занимает от нескольких месяцев до года, в сложных — до нескольких лет. Важно своевременно обратиться к врачу, чтобы избежать осложнений и достичь наилучшего результата.
Перекрестный прикус — это стоматологическая аномалия, при которой зубы верхней и нижней челюсти не совпадают должным образом, что может привести к нарушению жевательной функции и эстетическим проблемам. Эксперты отмечают, что данное состояние может быть вызвано генетическими факторами, неправильным развитием челюстей или привычками, такими как сосание пальца. Лечение перекрестного прикуса может варьироваться в зависимости от степени выраженности аномалии и возраста пациента. В большинстве случаев требуется использование брекет-систем или других ортодонтических аппаратов. Время лечения может составлять от нескольких месяцев до нескольких лет, что зависит от индивидуальных особенностей пациента и выбранной методики. Важно, чтобы лечение проводилось под наблюдением квалифицированного специалиста, что обеспечит наилучший результат и минимизирует риск рецидива.
https://youtube.com/watch?v=C0DjF8UlcU4
Причины возникновения
- генетическая предрасположенность, наследственный фактор;
- врожденная расщелина на небе;
- различные воспалительные процессы, которые препятствуют нормальному росту костей;
- нарушение обмена веществ, плохое усвоение фосфора и кальция;
- проблемы при жевании, несогласованность челюстной мускулатуры как следствие других заболеваний;
- отсутствие зачатков некоторых единиц;
- утрудненное дыхание с помощью носа;
- слишком ранняя потеря молочных зубов;
- бруксизм, то есть ночное скрежетание;
- подкладывание руки под щеку во время сна;
- другие вредные детские привычки – сосание пальца, соски, гримасы, закусывание внутренней стороны щек и пр.;
- удаление зубов по причине обширного кариеса;
- врожденные аномалии формы и размеров челюсти;
- травмы;
- значительные нарушения осанки.
Сам же перекрестный прикус может стать причиной развития таких последствий:
- Из-за проблем при жевании страдает весь желудочно-кишечный тракт, потому что пища не измельчается во рту так, как надо.
- Более быстрое развитие кариеса и болезней пародонта.
- Подобная проблема приводит к частым воспалениям горла, что может перейти даже в хроническую форму.
- Сложности дыхания.
- Нарушается речь, человеку трудно произносить звуки.
- Внешний вид лица при некоторых формах перекрестного прикуса имеет выраженную асимметрию.
Задумавшись о том, почему стало трудно кушать, разговаривать, дышать, человек должен обратиться к специалисту и вовремя начать лечение. Что делать и как исправить подобную проблему подскажет врач-ортодонт.
| Характеристика перекрестного прикуса | Описание | Продолжительность лечения |
|---|---|---|
| Тип перекрестного прикуса | Односторонний (с одной стороны челюсти), двусторонний (с обеих сторон) | Зависит от типа, возраста пациента и сложности случая. |
| Причина возникновения | Генетическая предрасположенность, вредные привычки (сосание пальца, пустышки), травмы челюсти, неправильное развитие челюстей | Не влияет напрямую на продолжительность, но определяет методы лечения. |
| Возраст пациента | Дети (проще исправить), подростки, взрослые (сложнее, может потребоваться хирургическое вмешательство) | У детей – короче, у взрослых – дольше. |
| Методы лечения | Брекет-системы, пластинки, каппы, хирургическое вмешательство (в сложных случаях) | От нескольких месяцев до нескольких лет. |
| Стадия заболевания | Начальная, средняя, запущенная | Начальная – лечение короче, запущенная – дольше. |
| Степень выраженности | Легкая, средняя, тяжелая | Легкая – лечение короче, тяжелая – дольше. |
| Сопутствующие заболевания | Наличие других аномалий прикуса, заболеваний пародонта | Может удлинить лечение. |
| Соблюдение рекомендаций врача | Регулярные посещения ортодонта, гигиена полости рта | Несоблюдение может затянуть лечение или привести к его неэффективности. |
Интересные факты
-
Определение и виды перекрестного прикуса: Перекрестный прикус — это аномалия прикуса, при которой зубы верхней челюсти не перекрывают зубы нижней челюсти должным образом. Существует несколько видов перекрестного прикуса: односторонний (когда аномалия наблюдается только с одной стороны) и двусторонний (когда проблема затрагивает обе стороны). Также различают передний и боковой перекрестный прикус, в зависимости от того, какие зубы не совпадают.
-
Причины возникновения: Перекрестный прикус может возникнуть по разным причинам, включая генетическую предрасположенность, неправильное развитие челюстей, преждевременную потерю молочных зубов или вредные привычки, такие как сосание пальца или неправильное положение языка. Важно выявить причину аномалии, чтобы выбрать правильный метод лечения.
-
Сроки лечения: Время, необходимое для коррекции перекрестного прикуса, может варьироваться в зависимости от степени аномалии и выбранного метода лечения. В среднем, лечение может занять от нескольких месяцев до нескольких лет. Ортодонтические аппараты, такие как брекеты или элайнеры, часто используются для исправления прикуса, и их ношение может длиться от 6 месяцев до 2-3 лет. В некоторых случаях может потребоваться хирургическое вмешательство для достижения оптимального результата.
https://youtube.com/watch?v=03Zo9FWJewg
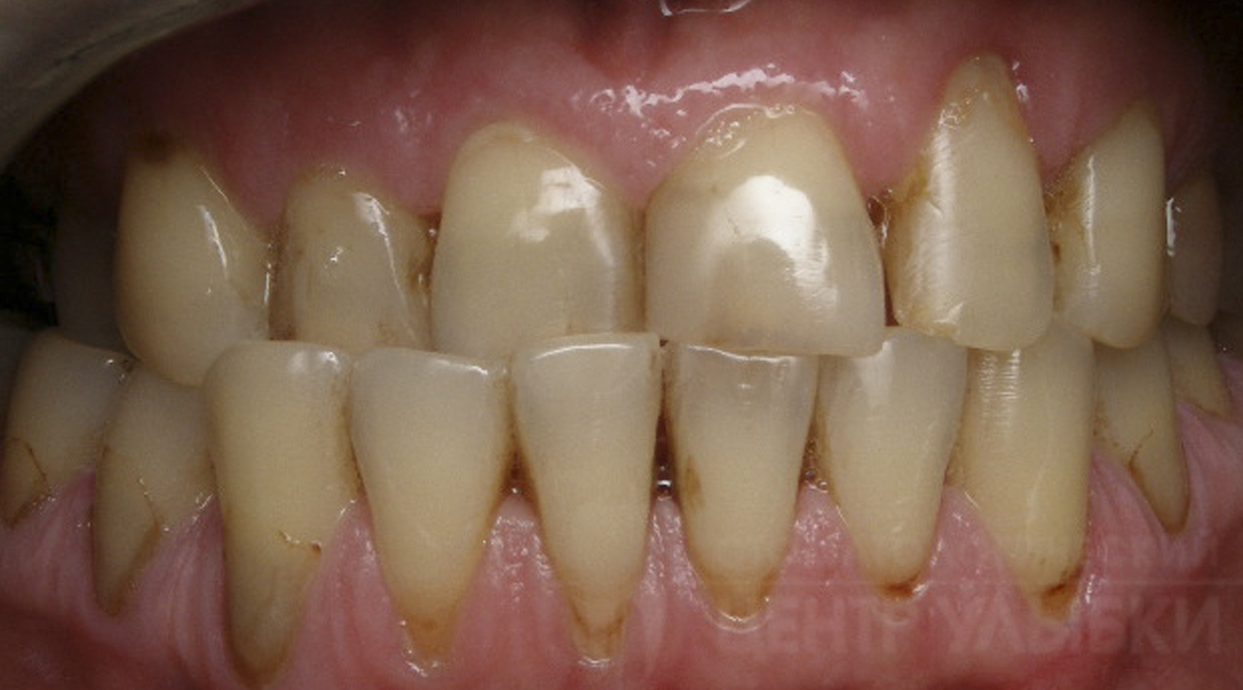
Фото
Перекрестный прикус — стоматологическая проблема, при которой зубы верхней и нижней челюсти не совпадают. Это может затруднять жевание и негативно влиять на эстетику улыбки. Многие не понимают, что это состояние также сказывается на здоровье ротовой полости.
Лечение перекрестного прикуса может занять от нескольких месяцев до нескольких лет, в зависимости от степени проблемы и метода коррекции. Наиболее распространены брекеты и капы. Пациенты отмечают, что хотя процесс длительный, результаты оправдывают усилия. Регулярные визиты к ортодонту и соблюдение рекомендаций специалиста важны для успешного завершения лечения.
Виды
При рассмотрении перекрестного прикуса существует своя классификация:
- Буккальный – проблема бокового смыкания зубов, при котором затруднительно пережевывание пищи. Этому способствует как смещение, так и сужение челюсти.
- Лингвальный – в данном случае не происходит контакта зубов-антагонистов. Такое бывает из-за слишком суженного или же расширенного ряда одной из челюстей. Проблема может стать как односторонней, так и двухсторонней.
- Буккально-лингвальный – проявляется максимальным разнообразием причин и видов нарушения и совмещает в себе как первый, так и второй вариант в самых причудливых формах. Причиной этого может стать нарушение размера костей, со смещением нижней челюсти по горизонтали, слаборазвитые зубоальвеолярные дуги и пр.
Любая из этих форм заболевания доставляет свои трудности пациенту. Врач же, установив конкретную причину и разновидность прикуса, назначает максимально приемлемую и эффективную терапию.
https://youtube.com/watch?v=BeFYwJokMhM
Диагностика
Качественную диагностику проблемы может провести только квалифицированный ортодонт, используя визуальный осмотр и рентгенографию челюсти. Основные признаки аномалии:
- Явная асимметрия лица с заметным смещением подбородка.
- Ограниченные движения нижней челюсти.
- При открывании рта зубной ряд отклоняется в сторону или по диагонали.
- Изменения в форме подбородка.
- Периодический прикус внутренней части щек во время еды, указывающий на нарушение жевательной функции.
- Трудности с четким произношением слов, затрудняющие речь.
Эти симптомы служат основанием для полного обследования и установления диагноза.
Лечение перекрестного прикуса у взрослого
Врач назначает определенные процедуры или аппараты для коррекции только в строгом соответствии с возрастом пациента, формой заболевания, наличием осложнений и пр. В каждом из случаев подбирается индивидуальный подход и разные методики.
Как долго будет длиться этот процесс, зависит от адекватности подобранного способа, а также от сложности и формы нарушения. При лечении взрослых пациентов, у которых все кости уже сформированы, можно сделать не так уж и много:
- Применяют специальные ортодонтические аппараты, с помощью которых пытаются расширить или сузить зубную дугу.
- Нормализуют тонус жевательной мускулатуры.
- Фиксируют нижнюю челюсть в правильном положении.
- Иногда удаляют деформированные зубные единицы.
- В самых сложных случаях остается только коррекция с помощью хирургического вмешательства.
После лечения нужно еще и закрепить результат. Для этого врачи рекомендуют на ночь надевать специальную пластинку или воспользоваться ретенционным аппаратом.
Как избавиться от аномалии у ребенка?
Чем раньше начнется терапия, тем выше ее эффективность. Перекрестный прикус часто обусловлен врожденными факторами и детскими привычками, поэтому коррекция должна проводиться в раннем возрасте. Как исправить такие нарушения у детей? Специалисты рекомендуют следующие шаги:
- Родителям следует бороться с вредными привычками ребенка: не позволять сосать пальцы или соску, убирать руку из-под щеки во время сна.
- Стоматолог проводит санацию полости рта и устраняет проблемы в носоглотке.
- Если в боковых участках имеются бугорки, их необходимо сошлифовать.
- Для правильного формирования челюсти эффективен метод разобщения зубных рядов с использованием специальных пластин с винтами.
- Полезны активаторы, способствующие правильному развитию костей.
- В редких случаях может потребоваться хирургическое вмешательство.
Кроме лечения, важны профилактические меры:
- следить за осанкой ребенка;
- обучить правильной технике чистки зубов;
- своевременно лечить заболевания лор-органов;
- обеспечивать полноценное питание с необходимыми микроэлементами;
- регулярно посещать стоматолога для раннего выявления проблем с зубами;
- при преждевременном выпадении молочных зубов проводить временное протезирование.
Видео: перекрестный прикус и аномалия лица.
Дополнительные вопросы
► Сколько нужно носить брекеты при перекрестном прикусе?
Длительность лечения во многом зависит от сложности и запущенности самого нарушения. Также на этот процесс влияет и возраст пациента, сформированность костей, уровень сложности, разновидности и причины перекрестного прикуса.
Профилактика перекрестного прикуса
Профилактика перекрестного прикуса включает в себя несколько ключевых аспектов, которые могут помочь избежать развития этой аномалии или минимизировать ее проявления. Важно понимать, что перекрестный прикус может возникнуть как в результате генетических факторов, так и из-за внешних воздействий, поэтому профилактические меры должны быть комплексными.
1. Регулярные стоматологические осмотры: Один из самых эффективных способов профилактики перекрестного прикуса — это регулярные визиты к стоматологу. Профессиональная оценка состояния зубочелюстной системы позволяет выявить проблемы на ранних стадиях и принять меры до того, как они станут серьезными. Стоматолог может рекомендовать ортодонтическое лечение, если заметит предрасположенность к аномалиям прикуса.
2. Правильное питание: Здоровое питание играет важную роль в формировании правильного прикуса. Употребление твердой пищи, такой как овощи и фрукты, способствует естественному развитию челюстей и зубов. Избегание чрезмерного потребления мягкой пищи и сладостей также может помочь предотвратить проблемы с прикусом.
3. Устранение вредных привычек: Вредные привычки, такие как сосание пальца, использование пустышек в более старшем возрасте или длительное сосание бутылочек, могут негативно сказаться на формировании прикуса. Родителям следует следить за поведением детей и по возможности устранять такие привычки.
4. Ортодонтические меры: В некоторых случаях, особенно если у ребенка есть предрасположенность к перекрестному прикусу, может быть рекомендовано использование ортодонтических аппаратов, таких как капы или брекеты, с целью коррекции зубного ряда и прикуса. Эти меры могут быть предприняты даже в раннем возрасте, что значительно увеличивает шансы на успешное лечение в будущем.
5. Образ жизни: Важно вести активный образ жизни и заниматься физической активностью. Спортивные занятия способствуют общему развитию организма, в том числе и челюстно-лицевой области. Однако следует избегать видов спорта, которые могут привести к травмам лица и челюсти.
6. Образование и осведомленность: Повышение осведомленности о проблемах с прикусом среди родителей и детей также играет важную роль в профилактике. Знание о возможных последствиях и методах профилактики может помочь предотвратить развитие аномалий.
Соблюдение этих рекомендаций может значительно снизить риск возникновения перекрестного прикуса и других стоматологических аномалий. Важно помнить, что профилактика всегда проще и эффективнее, чем лечение, поэтому стоит уделять внимание здоровью зубов и челюстей с раннего возраста.
Вопрос-ответ
Как долго лечить перекрестный прикус?
Частые вопросы про коррекцию перекрёстного прикуса. Как долго нужно носить брекеты при перекрёстном прикусе? Зависит от возраста пациента и формы окклюзии. В среднем подросткам требуется 1–1,5 года, а взрослым – 1,5–2,5 года ношения брекетов.
Как долго лечится неправильное прикус?
В некоторых случаях исправление неправильного прикуса может занять всего несколько месяцев, а в более сложных случаях может потребоваться несколько лет. Однако в большинстве случаев типичная продолжительность ортодонтического лечения составляет от 1 до 3 лет.
Как исправить перекрестный прикус?
Перекрестный прикус у взрослых плохо поддается коррекции. Исправляют его двумя путями: несъемными конструкциями и оперативным вмешательством. К аппаратному лечению относят установку брекетов. При перекрестном прикусе брекеты лучше использовать металлические, они более эффективны.
Что такое перекрестный прикус?
Перекрестный прикус — это патология, при которой зубы верхней и нижней челюсти смыкаются неравномерно из-за асимметричного расположения, и часть нижних зубов перекрывает верхние и наоборот.
Советы
СОВЕТ №1
Обратитесь к ортодонту при первых признаках перекрестного прикуса. Чем раньше вы начнете лечение, тем легче будет исправить аномалию и избежать более серьезных проблем в будущем.
СОВЕТ №2
Регулярно посещайте стоматолога для контроля состояния зубов и челюстей. Профилактические осмотры помогут выявить проблемы на ранних стадиях и предотвратить их усугубление.
СОВЕТ №3
Следуйте рекомендациям врача по ношению брекетов или других ортодонтических аппаратов. Соблюдение назначений и регулярные визиты к специалисту ускорят процесс лечения и улучшат конечный результат.
СОВЕТ №4
Обратите внимание на свою диету и привычки. Избегайте жесткой пищи и привычек, которые могут усугубить перекрестный прикус, таких как частое кусание ногтей или использование зубов в качестве инструмента.
