Катаральный гингивит — воспаление десен, проявляющееся покраснением, отечностью и кровоточивостью тканей вокруг зубов. Это начальная стадия гингивита, и игнорирование симптомов может привести к серьезным стоматологическим проблемам. В статье рассмотрим причины катарального гингивита, его симптомы и методы лечения, что поможет читателям своевременно распознать заболевание и предпринять меры для поддержания здоровья полости рта.
Причины возникновения
При анализе истории болезни пациента с катаральным гингивитом видно, что воспалительный процесс схож с поражением других тканей и не имеет специфических признаков.
Причины катарального гингивита разнообразны. К внутренним факторам относятся:
- сахарный диабет;
- психические расстройства;
- нехватка витаминов;
- зубной налет и камень;
- сердечно-сосудистые заболевания;
- прорезывание зуба мудрости;
- аллергические реакции;
- ослабленный иммунитет;
- эндокринные нарушения;
- неправильный прикус;
- депрессивные состояния;
- заболевания желудочно-кишечного тракта.
Внешние причины включают:
- Неправильная гигиена полости рта.
- Отравление тяжелыми металлами (ртуть, свинец).
- Вредные привычки.
- Некачественные стоматологические процедуры.
- Дыхание через рот.
- Позднее обращение к стоматологу.
- Инфекционные и вирусные заболевания.
Катаральный гингивит — это воспаление десен, часто вызванное недостаточной гигиеной ротовой полости и связанными системными заболеваниями. Основные симптомы: покраснение, отечность и кровоточивость десен. Без лечения заболевание может усугубиться и привести к серьезным стоматологическим проблемам.
Для лечения катарального гингивита рекомендуется профессиональная чистка зубов для удаления налета и камня. Важно установить регулярный режим гигиены, включая использование зубной нити и антисептических ополаскивателей. В некоторых случаях назначаются противовоспалительные препараты или антибиотики при риске бактериальной инфекции. Своевременное обращение к стоматологу и следование рекомендациям помогут избежать осложнений и восстановить здоровье десен.
Катаральный гингивит представляет собой воспаление десен, которое часто возникает в результате недостаточной гигиены полости рта. Эксперты подчеркивают, что основными симптомами этого заболевания являются покраснение, отечность и кровоточивость десен. Для эффективного лечения важно установить причину воспаления и устранить ее. Врач-стоматолог рекомендует регулярную чистку зубов, использование зубной нити и ополаскивателей для рта. В некоторых случаях может потребоваться профессиональная чистка зубов. Также стоит обратить внимание на питание, включая в рацион продукты, богатые витаминами и минералами. При своевременном обращении к специалисту и соблюдении рекомендаций, катаральный гингивит можно успешно вылечить, предотвращая развитие более серьезных заболеваний десен.
https://youtube.com/watch?v=6JErPopaW24
Симптомы
Начальные стадии патологии протекают бессимптомно, что объясняет откладывание визита к стоматологу. Отсутствует большинство признаков, в том числе и основные – болезненность и кровоточивость.
Если кровь из десен все же появляется, то замена щетки на щетину с низкой жесткостью и использование лечебных растворов для полоскания на время предотвращают проблему. Однако это только ухудшает клиническую картину, так как видимое улучшение отодвигает визит к стоматологу. На самом деле болезнь продолжает развиваться.
► Острая форма гингивита катарального типа сопровождается рядом симптомов:
- отечность, распространяющаяся иногда на большую часть десны;
- кровоточивость;
- боль;
- гиперемия;
- жжение.
Интенсивность кровоточивости слизистой десны зависит от степени воспаления. Признаки болезни обычно локализованы, но в редких случаях патология влияет и на общее состояние человека. Если течение гингивита тяжелое, то возникает слабость, боль в мышцах, общее недомогание. Область поражения при прикосновении кажется горячей (гипертермия).
- застойная гиперемия – десна приобретает синеватый оттенок, в ней ощущается утолщение;
- кровоточивость даже при слабой травме;
- давящие ощущения в десне;
- образование зубных камней и большого количества налета;
- единичные эрозии;
- межзубные сосочки приобретают форму купола;
- неприятный запах изо рта;
- количество десневой жидкости повышается в 5 раз.
Острая фаза продолжается до 7 дней, а после затухает или заболевание перетекает в хроническую форму.
| Симптом | Причина | Лечение |
|---|---|---|
| Отек десен | Бактериальная инфекция, плохая гигиена полости рта, недостаток витаминов | Тщательная гигиена полости рта (чистка зубов дважды в день, использование зубной нити), полоскание антисептическими растворами (например, хлоргексидин), профессиональная чистка зубов у стоматолога, в некоторых случаях — противовоспалительные препараты |
| Гиперемия (покраснение) десен | Воспаление десен | Тщательная гигиена полости рта, полоскание антисептическими растворами, коррекция зубного налета и зубного камня у стоматолога |
| Кровоточивость десен | Воспаление десен, травмирование десен | Тщательная гигиена полости рта, полоскание антисептическими растворами, устранение травмирующих факторов (например, острых краев пломб) |
| Боль в деснах | Воспаление, инфекция | Полоскание антисептическими растворами, обезболивающие препараты (по назначению врача), устранение причины воспаления |
| Налет на зубах | Накопление бактерий | Тщательная гигиена полости рта, профессиональная чистка зубов у стоматолога |
Интересные факты
Вот несколько интересных фактов о катаральном гингивите и его лечении:
-
Причины и симптомы: Катаральный гингивит часто возникает из-за плохой гигиены полости рта, что приводит к накоплению зубного налета и воспалению десен. Симптомы включают покраснение, отек десен и легкое кровотечение при чистке зубов. Интересно, что в начальных стадиях заболевание может протекать бессимптомно, что делает регулярные стоматологические осмотры особенно важными.
-
Обратимость состояния: Катаральный гингивит является обратимым состоянием. При своевременном обращении к стоматологу и соблюдении правил гигиены полости рта (чистка зубов дважды в день, использование зубной нити и ополаскивателей) можно полностью восстановить здоровье десен всего за несколько недель.
-
Связь с общим здоровьем: Исследования показывают, что хронический гингивит может быть связан с различными системными заболеваниями, такими как диабет, сердечно-сосудистые заболевания и даже некоторые формы рака. Это подчеркивает важность поддержания здоровья десен не только для сохранения зубов, но и для общего состояния организма.
https://youtube.com/watch?v=dKgIkplp3vI
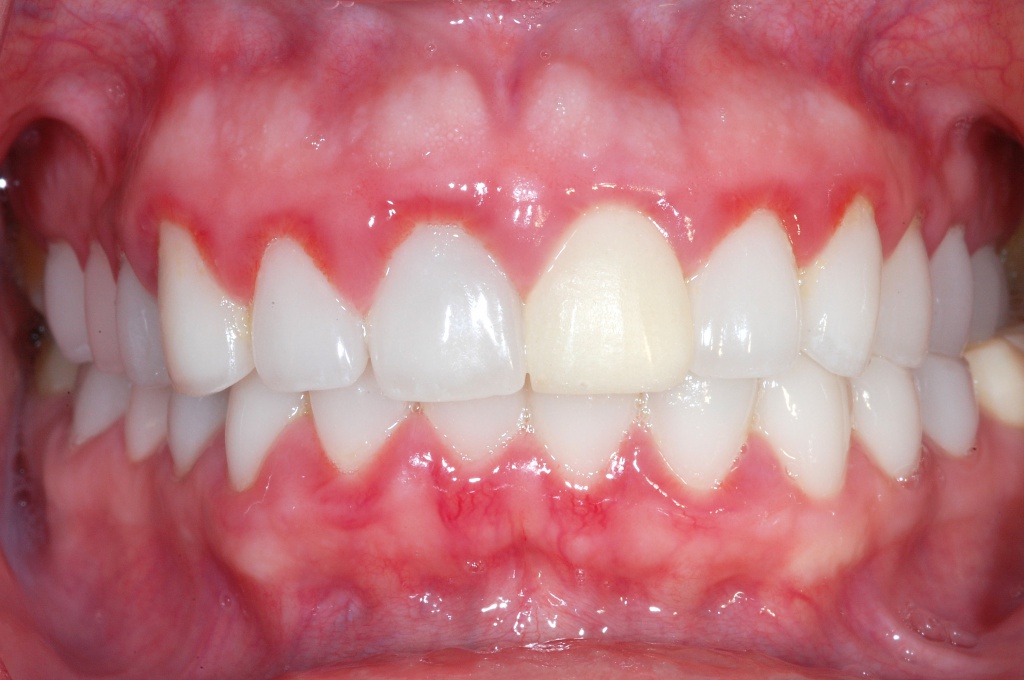
Фото
Катаральный гингивит — это воспаление десен, часто вызванное недостаточной гигиеной полости рта. Симптомы включают покраснение, отечность и кровоточивость десен, особенно при чистке зубов. При первых признаках заболевания важно сразу обратиться к стоматологу. Лечение обычно включает профессиональную чистку, антисептические растворы и регулярное полоскание рта. Рекомендуется также улучшить рацион, добавив продукты, богатые витаминами, особенно витамином C. Участники форумов подчеркивают важность профилактики: регулярная гигиена и плановые визиты к стоматологу помогут избежать повторного возникновения проблемы.
Виды катарального гингивита
► Формы заболевания подразделяются по распространенности воспаления на 2 вида:
- Генерализованный – затрагивает большую часть десны, а иногда и сразу обе челюсти.
- Локализованный – воспаление сосредотачивается на участке в области 1-3 зубов.
► Степени тяжести патологии:
- Легкая стадия (поражение десневых сосочков).
- Средняя степень (распространение воспаления на маргинальные десны).
- Тяжелая степень (процесс затрагивает альвеолярный участок десен).
► Классификация гингивита катарального типа проводится и по характеру поражения:
- Острое течение – протекающее за определенный промежуток сильное воспаление ткани, характеризующееся быстрым прогрессом и обширным списком клинических проявлений.
- Хроническое течение – развивается в результате отсутствия лечения на острой стадии. Симптомы проявляются редко, прогрессирует гингивит медленно, но обязательно обостряется. Эта форма болезни требует более длительного и тщательного лечения.
https://youtube.com/watch?v=vwW0vHgvRs8
Диагностика
Катаральный гингивит диагностируется стоматологом или пародонтологом после осмотра и беседы с пациентом. Важные лабораторные показатели:
- индексы Грина-Вермильон и Силнес-Лоу для оценки налета в пришеечной зоне зуба;
- проба Шиллера-Писарева для определения степени воспаления;
- зондовая проба для вычисления индекса кровоточивости по методике Мюлемана.
Для анализа крови могут быть взяты образцы из десен, также исследуется десневая жидкость. При необходимости проводят морфологический анализ десны и биопсию.
Дополнительные методы диагностики:
- рентгенография;
- витальная микроскопия;
- реопародонтография;
- ортопантомография.
Профилактика катарального гингивита
Профилактика катарального гингивита играет ключевую роль в поддержании здоровья полости рта и предотвращении развития более серьезных заболеваний десен. Основные меры профилактики включают в себя регулярную гигиену полости рта, правильное питание, а также регулярные визиты к стоматологу.
1. Регулярная гигиена полости рта: Одним из самых важных аспектов профилактики катарального гингивита является тщательная и регулярная гигиена полости рта. Рекомендуется чистить зубы дважды в день с использованием фторсодержащей зубной пасты. Также важно не забывать о чистке языка и использовании зубной нити для удаления остатков пищи и налета между зубами. Дополнительно можно использовать антисептические ополаскиватели для рта, которые помогут снизить количество бактерий в полости рта.
2. Правильное питание: Здоровое питание также играет важную роль в профилактике гингивита. Включение в рацион продуктов, богатых витаминами C и D, а также кальцием, способствует укреплению десен и зубов. Избегайте избыточного потребления сахара и кислых продуктов, которые могут способствовать развитию кариеса и воспалительных процессов в деснах.
3. Отказ от вредных привычек: Курение и злоупотребление алкоголем негативно влияют на здоровье десен и могут способствовать развитию катарального гингивита. Отказ от этих привычек не только улучшит состояние десен, но и окажет положительное влияние на общее состояние здоровья.
4. Регулярные визиты к стоматологу: Профилактические осмотры у стоматолога должны проводиться не реже двух раз в год. Специалист сможет выявить ранние признаки гингивита и других заболеваний полости рта, а также провести профессиональную чистку зубов, что поможет удалить зубной налет и камень, которые могут способствовать воспалению десен.
5. Обучение правильной технике чистки зубов: Важно не только чистить зубы регулярно, но и делать это правильно. Неправильная техника чистки может привести к повреждению десен и ухудшению их состояния. Рекомендуется использовать мягкую зубную щетку и чистить зубы круговыми движениями, уделяя особое внимание участкам, где десны соприкасаются с зубами.
Следуя этим рекомендациям, можно значительно снизить риск развития катарального гингивита и сохранить здоровье десен на долгие годы. Помните, что профилактика всегда проще и эффективнее, чем лечение уже возникших заболеваний.
Вопрос-ответ
Каковы основные симптомы катарального гингивита?
Симптомы катарального гингивита включают покраснение и отечность десен, кровоточивость при чистке зубов, неприятный запах изо рта и возможное ощущение дискомфорта или боли в области десен.
Какова роль гигиены полости рта в лечении катарального гингивита?
Гигиена полости рта играет ключевую роль в лечении катарального гингивита. Регулярная и правильная чистка зубов, использование зубной нити и ополаскивателей для рта помогают удалить налет и бактерии, что способствует уменьшению воспаления и улучшению состояния десен.
Какие методы лечения могут быть рекомендованы при катаральном гингивите?
Методы лечения катарального гингивита могут включать профессиональную чистку зубов у стоматолога, использование антисептических растворов для полоскания, а также применение противовоспалительных средств. Важно также следить за состоянием десен и при необходимости корректировать гигиенические привычки.
Советы
СОВЕТ №1
Регулярно проводите гигиену полости рта. Чистите зубы не менее дважды в день и используйте зубную нить, чтобы удалить остатки пищи и налет, которые могут способствовать развитию катарального гингивита.
СОВЕТ №2
Обратите внимание на питание. Увеличьте потребление витаминов, особенно витамина C и B, которые способствуют укреплению десен. Избегайте слишком горячей или острой пищи, которая может раздражать десны.
СОВЕТ №3
Регулярно посещайте стоматолога для профилактических осмотров и профессиональной чистки зубов. Это поможет выявить проблемы на ранней стадии и предотвратить развитие гингивита.
СОВЕТ №4
При первых признаках воспаления десен, таких как покраснение, отек или кровоточивость, не откладывайте визит к врачу. Раннее обращение за помощью поможет избежать осложнений и ускорит процесс выздоровления.
