Хронический пульпит — воспаление зубной пульпы, которое может вызвать серьезные осложнения при отсутствии диагностики и лечения. В статье рассмотрим причины, симптомы и методы лечения хронического пульпита, а также рекомендации по профилактике. Понимание этого заболевания и способов его устранения поможет сохранить здоровье зубов и избежать неприятных последствий.
Что это за заболевание?
Пульпит — это воспаление нервно-сосудистого пучка внутри коронки и корней зуба, возникающее при недостаточном лечении острого заболевания. Хронический пульпит проявляется длительными, но менее выраженными воспалительными процессами.
Острая форма не является единственной причиной пульпита; самостоятельное развитие заболевания встречается редко, и пациенты могут не сразу заметить проблемы с зубом.
Хронический пульпит может возникнуть из-за некачественного лечения, травмы или кариеса. Часто заболевание протекает без явных симптомов, что затрудняет его выявление. Основные признаки включают периодические боли, особенно при воздействии горячей или холодной пищи.
Для лечения хронического пульпита необходимо обратиться к стоматологу. Врач проведет рентгенографию для оценки состояния зуба и окружающих тканей. Лечение обычно включает эндодонтическую терапию для удаления воспаленной пульпы и запечатывания корневых каналов. В некоторых случаях требуется установка коронки для восстановления функции зуба. Не откладывайте визит к специалисту, так как запущенные формы пульпита могут привести к серьезным осложнениям.
Хронический пульпит — это воспаление пульпы зуба, которое может возникнуть в результате не леченого кариеса или травмы. Эксперты отмечают, что данное заболевание часто проявляется болями, особенно при воздействии температуры или механическом раздражении. Важно понимать, что игнорирование симптомов может привести к серьезным осложнениям, таким как абсцесс или потеря зуба. Для эффективного лечения хронического пульпита стоматологи рекомендуют провести эндодонтическое лечение, которое включает удаление воспаленной пульпы и пломбирование корневых каналов. В некоторых случаях может потребоваться установка коронки для восстановления зуба. Профилактика заболевания заключается в регулярных визитах к стоматологу и соблюдении гигиенических норм.
https://youtube.com/watch?v=90hwypIKs_s
Причины возникновения
Этиология хронического пульпита достаточно хорошо изучена. Почему же он возникает?
- повреждение поверхности зуба кариесом – вредоносные микроорганизмы попадают к нервно-сосудистому пучку, вызывая воспаление.
- серьезная травма зуба, которая привела к открытию зубной коронки и попаданию туда инфекции.
- стоматологические ошибки во время лечения: слишком грубая обработка больного зуба; влияние медицинской химии; несоблюдение термических норм проведения стоматологических процедур; после лечения кариеса, под пломбой могут остаться частицы пораженных им тканей; введение разнообразных медицинских препаратов, с последующим их попаданием в пульпу.
- нарушение органического состава зубов.
- влияние различных ортодонтических систем на состояние зубной поверхности.
Как показывает практика, чаще всего возникновению недуга способствует не один фактор, а несколько.
| Симптом | Возможная причина (в контексте хронического пульпита) | Методы лечения |
|---|---|---|
| Тупая, ноющая боль, усиливающаяся при воздействии температур (горячего или холодного) | Воспаление пульпы зуба, вызванное кариесом, травмой или другими факторами | Лечение корневых каналов, в некоторых случаях — удаление зуба |
| Изменение цвета зуба (потемнение) | Некроз пульпы (отмирание нерва зуба) | Лечение корневых каналов, в некоторых случаях — удаление зуба, реставрация коронкой |
| Спонтанная боль, которая может длиться несколько часов или дней | Воспаление пульпы, возможно, с периодонтитом (воспалением тканей вокруг корня зуба) | Лечение корневых каналов, антибиотики (при наличии инфекции), возможно — хирургическое вмешательство |
| Отсутствие реакции на тесты на чувствительность | Полная некротизация пульпы | Лечение корневых каналов, в некоторых случаях — удаление зуба |
| Припухлость десны вокруг зуба | Инфекция, распространяющаяся из воспаленной пульпы | Лечение корневых каналов, антибиотики, хирургическое вмешательство (в случае абсцесса) |
| Периодическая боль, которая может стихать и возобновляться | Периодическое обострение хронического воспаления | Лечение корневых каналов, противовоспалительные препараты |
Интересные факты
Вот несколько интересных фактов о хроническом пульпите и способах его лечения:
-
Причины и симптомы: Хронический пульпит обычно развивается в результате длительного воздействия на зубы кариеса, травм или химических раздражителей. Симптомы могут включать постоянную боль, чувствительность к горячему и холодному, а также отек десен. Интересно, что иногда пульпит может протекать бессимптомно, что делает его особенно опасным.
-
Лечение: Основным методом лечения хронического пульпита является эндодонтическое лечение (лечение корневых каналов). Во время процедуры стоматолог удаляет воспаленную или инфицированную пульпу, очищает и заполняет корневые каналы специальным материалом. Важно отметить, что при своевременном обращении к стоматологу можно сохранить зуб, избегая его удаления.
-
Профилактика: Профилактика хронического пульпита включает регулярные стоматологические осмотры, правильную гигиену полости рта и своевременное лечение кариеса. Интересно, что использование фторсодержащих зубных паст и ополаскивателей может значительно снизить риск развития кариеса и, как следствие, пульпита.
https://youtube.com/watch?v=NJUbflK9Hgw
Виды и формы
Классификация хронического пульпита основывается на причинах и особенностях течения. Выделяют несколько типов заболевания:
- Гипертрофический (гиперпластический) – встречается редко. Признаки: значительное разрушение коронки зуба и разросшаяся пульпа. Боль отсутствует, зуб не вызывает дискомфорта.
- Фиброзный (простой) – часто является переходной стадией от острого к хроническому пульпиту. Характеризуется высокой чувствительностью к раздражителям.
- Гангренозный (язвенный) – на пульпе образуется язва, боль возникает только под воздействием раздражителей. Обычно зуб страдает от запущенного кариеса. При вскрытии кариозной полости стоматолог обнаруживает некротическую пульпу.
Наибольшую угрозу представляют фиброзный и гангренозный формы пульпита. Обострение может произойти из-за травмы, температурных колебаний или инфекций, что приводит к значительной болезненности.
Хронический пульпит – воспаление зубного нерва, возникающее из-за запущенного кариеса или травмы. Состояние описывают как неприятное, с постоянной болью, особенно при воздействии горячего или холодного. Игнорирование симптомов может привести к осложнениям, таким как абсцесс. Стоматологи рекомендуют обращаться за помощью как можно скорее. Лечение может включать удаление нерва, пломбирование канала и применение обезболивающих. Некоторые пациенты используют народные средства, такие как полоскания с солью или травами, но врачи предупреждают, что это временные меры. Важно не откладывать визит к стоматологу, чтобы избежать серьезных последствий для здоровья зубов.
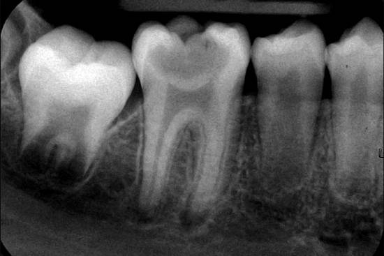
Фото и рентген
Чтобы с большей уверенностью можно было говорить о хроническом пульпите, необходимо знать, как он выглядит. Для этого мы предлагаем вам ознакомиться с фотографиями и рентгенограммами:
Симптомы
Хронические формы пульпита имеют специфические признаки. Пациенты часто отмечают:
- болезненность при постукивании по зубу;
- на поздних стадиях боль становится пульсирующей и может длиться даже после устранения причины;
- зуб начинает беспокоить ночью или при изменении температуры.
Без лечения заболевание может перейти в острую стадию. В этом случае пациенты испытывают иррадиирующую боль, которая может распространяться по лицевому нерву, а при постукивании болезненные ощущения могут отсутствовать. Боль периодическая, может быть ноющей или пульсирующей.
При отсутствии лечения в пульпе зуба может развиться гнойный процесс, инфекция быстро распространится, оставляя без здоровых участков. В этом случае пациент почувствует острую рвущую боль в области проблемного зуба.
Видео: о пульпите в программе “Жить Здорово” с Еленой Малышевой.
Диагностика
- Чтобы определить наличие стоматолог должен установить периодичность и причины появления боли.
- Врач обследует поверхность проблемного зуба, но если установить пульпит визуально не удается, то пациента отправляют на рентгенограмму, часто используют и эод (электродиагностику).
- В зависимости от конкретного случая стоматологу может помочь и история болезни, услышанная от пациента, но пациенты не всегда привязывают болевые ощущения именно к проблемному зубу. Таким образом, наиболее положительный результат дает дифференциальная диагностика.
Лучше всего обращаться к личному стоматологу, который уже ознакомлен с проблемными участками вашей ротовой полости и намного быстрее сможет установить причину боли и назначить лечение. Быстрота диагностики очень важна в случаях высокой болезненности и серьезного дискомфорта.
Обострение хронического пульпита
При недостаточном лечении хронического пульпита заболевание обостряется, и пациент начинает испытывать постепенно нарастающую боль в виде приступов.
- Боль может распространяться на близлежащие ткани.
- Воспаление охватывает пульпу зуба почти полностью.
- Жевательные функции пораженного зуба нарушаются.
- Изменяется структура других тканей зуба.
- Возможен открытый доступ к зубной полости.
- Диагностика затруднена, так как пациенты не всегда могут точно указать на проблемный зуб из-за распространения боли по лицевому нерву.
Лечение хронического пульпита
Наиболее эффективным способом лечения является удаление зубного нерва и пульпы, это действие осуществляется разными путями:
- при высокой болезненности удаление проводят под местной анестезией;
- при более щадящей форме болезни пульпу и нерв удаляют после применения специальных медицинских средств.
Описанный выше метод основан на хирургическом вмешательстве с целью удаления поврежденной болезнью пульпы, после чего полость зуба и каналы пломбируются.
► Лечить хронический пульпит можно и консервативным методом.
Он базируется на необходимости сохранить здоровые участки пульпы пациента, которые нужны для правильного обмена веществ в зубе. Методика используется на ранних этапах болезни, в случае, когда разрушительный процессы еще обратимы.
Стоматолог обрабатывает пораженную поверхность специальными медицинскими средствами, для этого используются различные препараты в зависимости от характера проблемы (антибиотики, антисептики). Очень важно, чтобы средства не повредили здоровую часть пульпы.
Завершающим этапом лечения является пломбирование зубной полости. После установки пломбы следует проконтролировать состояние зуба путем рентгенограммы, при этом особое внимание обращают на качество пломбирования зубных каналов.
Видео: поражение зуба пульпитом.
https://youtube.com/watch?v=TIoPVaIn86Q
Профилактика
Как предотвратить хронический пульпит? Вот несколько советов:
- тщательный уход за зубами и полостью рта;
- регулярные посещения стоматолога (не реже двух раз в год);
- после установки пломб следите за их состоянием и при первых признаках проблем обращайтесь к врачу.
Не откладывайте визит к специалисту при первых симптомах. Пульпит может вызывать дискомфорт и привести к серьезным заболеваниям.
Дополнительные вопросы
► Код по МКБ-10?
Согласно Международной классификации болезней, хронический пульпит находится в разделе «Болезни пульпы и периапикальных тканей» и имеет код К04.0
► Можно ли вылечить хронический пульпит народными средствами?
Лечение в домашних условиях невозможно. Более того любые средства могут серьезно навредить пациенту и только усилить болезненные ощущения. Иногда народные методы используют для облегчения болей до визита к стоматологу, но и этого делать не рекомендуется.
Последствия нелеченого хронического пульпита
Хронический пульпит, если его не лечить, может привести к ряду серьезных последствий, которые негативно сказываются на здоровье зубов и всего организма. Одним из наиболее распространенных последствий является развитие периодонтита — воспалительного процесса, затрагивающего ткани, окружающие корень зуба. Это может привести к образованию абсцессов, которые требуют более сложного и дорогостоящего лечения.
Кроме того, хронический пульпит может стать причиной распространения инфекции на соседние зубы и ткани. Инфекция может перейти в челюстные кости, что может вызвать остеомиелит — воспаление костной ткани. Это состояние требует немедленного медицинского вмешательства и может привести к потере зубов.
Еще одним последствием является хроническая боль. Пациенты, страдающие от нелеченого пульпита, могут испытывать постоянные или периодические боли, которые могут усиливаться при употреблении горячей или холодной пищи. Это не только ухудшает качество жизни, но и может привести к проблемам с психоэмоциональным состоянием, таким как стресс и депрессия.
Также стоит отметить, что хронический пульпит может повлиять на общее состояние здоровья. Исследования показывают, что инфекции в ротовой полости могут быть связаны с различными системными заболеваниями, такими как диабет, сердечно-сосудистые заболевания и даже заболевания дыхательных путей. Это связано с тем, что бактерии из воспаленных тканей могут попадать в кровоток и вызывать воспалительные процессы в других органах.
Наконец, нелеченый хронический пульпит может привести к эстетическим проблемам. Пораженные зубы могут изменять цвет, становиться более темными или даже ломаться, что негативно сказывается на внешнем виде улыбки. Это может привести к снижению самооценки и уверенности в себе.
Таким образом, последствия нелеченого хронического пульпита могут быть крайне серьезными и многообразными. Поэтому важно своевременно обращаться к стоматологу при первых признаках заболевания, чтобы избежать осложнений и сохранить здоровье зубов и всего организма.
Вопрос-ответ
Какие симптомы указывают на наличие хронического пульпита?
Симптомами хронического пульпита могут быть постоянная или периодическая зубная боль, чувствительность к горячему и холодному, а также отечность десен. В некоторых случаях может наблюдаться неприятный запах изо рта или изменение цвета зуба.
Каковы основные методы лечения хронического пульпита?
Лечение хронического пульпита обычно включает в себя эндодонтическое лечение (лечение корневых каналов), которое позволяет удалить воспаленную пульпу и сохранить зуб. В некоторых случаях может потребоваться удаление зуба, если он сильно поврежден.
Можно ли предотвратить развитие хронического пульпита?
Да, профилактика хронического пульпита включает регулярные посещения стоматолога, соблюдение гигиены полости рта, использование зубной нити и ограничение потребления сладостей. Раннее лечение кариеса также помогает избежать воспаления пульпы.
Советы
СОВЕТ №1
Регулярно посещайте стоматолога для профилактических осмотров. Это поможет выявить проблемы на ранних стадиях и предотвратить развитие хронического пульпита.
СОВЕТ №2
Обратите внимание на гигиену полости рта. Чистите зубы дважды в день и используйте зубную нить, чтобы удалить остатки пищи и налет, которые могут способствовать развитию кариеса и пульпита.
СОВЕТ №3
Не игнорируйте симптомы, такие как боль в зубах или чувствительность к горячему и холодному. При первых признаках дискомфорта обращайтесь к стоматологу для диагностики и лечения.
СОВЕТ №4
Следите за своим рационом. Употребление продуктов, богатых кальцием и витаминами, поможет укрепить зубы и снизить риск развития заболеваний, включая пульпит.
