Хронический периодонтит — воспаление тканей вокруг зуба, способное вызвать серьезные проблемы со здоровьем полости рта и организма. В отличие от острого периодонтита, хроническая форма развивается медленно и может долго оставаться незамеченной, что делает её опасной. В статье рассмотрим причины, симптомы и методы диагностики хронического периодонтита, а также важность своевременного лечения для предотвращения осложнений и сохранения зубов. Понимание этого заболевания поможет читателям лучше заботиться о стоматологическом здоровье.
Что это за болезнь?
Соединительная ткань между альвеолярным отростком челюсти и зубом называется периодонтом. Воспаление этой ткани — периодонтит.
Это заболевание может возникнуть у людей всех возрастов, включая детей. Периодонтит развивается из-за воспаления нерва (пульпита), некачественного стоматологического лечения или кариеса. Воспаление вызывается инфекцией, проникающей в корневой канал зуба и затрагивающей окружающие ткани.
Периодонтит требует обращения к стоматологу, который ведет историю болезни и назначает лечение — консервативное или хирургическое, в зависимости от степени воспаления.
Хронический периодонтит — воспалительное заболевание, поражающее ткани вокруг зубов и способное привести к их утрате. Это состояние развивается постепенно и часто без явных симптомов, что затрудняет раннюю диагностику. Основные признаки — покраснение и отек десен, образование карманов между зубами и деснами. Регулярные стоматологические осмотры важны, поскольку своевременное выявление и лечение хронического периодонтита могут предотвратить серьезные осложнения. Также необходимо соблюдать гигиенические нормы и поддерживать здоровье полости рта для профилактики этого заболевания.
Хронический периодонтит представляет собой воспалительное заболевание тканей, окружающих зуб, которое развивается медленно и может длиться годами. Эксперты отмечают, что основными причинами его возникновения являются инфекция, плохая гигиена полости рта и наличие кариеса. В отличие от острого периодонтита, хронический может протекать бессимптомно, что затрудняет его раннюю диагностику.
Среди особенностей хронического периодонтита выделяют образование карманов между зубом и десной, а также возможное разрушение костной ткани. Это заболевание может привести к потере зубов, если не будет своевременно диагностировано и лечено. Специалисты подчеркивают важность регулярных стоматологических осмотров и профессиональной гигиены для предотвращения развития хронического периодонтита и сохранения здоровья зубов.
Причины возникновения
Почему возникает и развивается заболевание? По этиологическим факторам периодонтит делится на следующие виды:
- Инфекционный – появляется из-за влияния микроорганизмов, главную роль играют стрептококки (негемолитический, зеленящий, гемолитический). Продукты распада пульпы и токсины попадают в зубодесневой карман и периодонт через корневой карман. Проникновение инфекции также возможно гематогенным и лимфогенным путем.
- Травматический – возникает из-за воздействия на периодонт значительной травмы либо при хронической микротравме. Периодонтит развивается быстро при острой травме, провоцируя кровоизлияния и острые явления, когда при травме хронического характера изменения в периодонте возникают постепенно.
Помимо этого, могут влиять и такие факторы:
- острый периодонтит переносился ранее;
- патогенез развился самостоятельно, из-за слабого иммунитета;
- кариес повлек за собой воспаление пульпы (периодонтальная и пульповая ткани тесно взаимосвязаны);
- для девитализации пульпы практиковалось использование препаратов, содержащих мышьяк;
- для стерилизации в корневой канал были введены прижигающие средства и сильнодействующие антисептики, воспалившие окружающие ткани.
Это заболевание, как и его формы, протикает бессимптомно, выраженная симптоматика проявляется только при обостренной форме. Это может быть вызвано из-за пониженного иммунитета в результате перенесенного ОРВИ или же переохлаждения.
Видео: после лечения каналов появился отек – периодонтит
https://youtube.com/watch?v=mbwpHRQp7go
| Характеристика | Острый периодонтит | Хронический периодонтит |
|---|---|---|
| Начало | Внезапное, быстрое развитие | Медленное, постепенное развитие |
| Боль | Интенсивная, пульсирующая, спонтанная | Тупая, ноющая, усиливающаяся при жевании или надавливании |
| Отек | Выраженный отек десны, щеки | Может отсутствовать или быть незначительным |
| Гной | Часто присутствует гнойное отделяемое | Может отсутствовать или выделяться небольшое количество гноя |
| Перкуссия | Резкая болезненность при постукивании по зубу | Может быть болезненность, но менее выраженная, чем при остром периодонтите |
| Рентгенологическая картина | Может не быть изменений или незначительное расширение периодонтальной щели | Расширение периодонтальной щели, резорбция корня зуба, наличие гранулемы или кисты |
| Лечение | Вскрытие гнойного очага, антибиотики, обезболивание | Лечение зависит от стадии и формы, может включать в себя медикаментозную терапию, хирургическое вмешательство (например, удаление гранулемы) |
| Прогноз | Благоприятный при своевременном лечении | Зависит от стадии и степени поражения, может привести к потере зуба |
Интересные факты
Вот несколько интересных фактов о хроническом периодонтите:
-
Микробиологическая природа: Хронический периодонтит вызывается комплексом микроорганизмов, среди которых наиболее известны бактерии рода Porphyromonas и Prevotella. Эти бактерии образуют биопленку на зубах и деснах, что затрудняет их удаление и способствует воспалению.
-
Безсимптомное течение: Одной из особенностей хронического периодонтита является его часто бессимптомное течение на ранних стадиях. Пациенты могут не ощущать боли или дискомфорта, что приводит к запущенным формам заболевания и серьезным последствиям для зубов и десен.
-
Связь с системными заболеваниями: Хронический периодонтит не только влияет на здоровье полости рта, но и может быть связан с различными системными заболеваниями, такими как диабет, сердечно-сосудистые заболевания и даже заболевания дыхательных путей. Это подчеркивает важность своевременной диагностики и лечения периодонтита для общего здоровья пациента.
Симптомы
Опасность заболевания в том, что оно может протекать без явных симптомов, и человек долго не подозревает о воспалительном процессе. Однако стоит обратить внимание на следующие признаки:
- повышенная подвижность зубов;
- появление межзубных промежутков из-за смещения зубов;
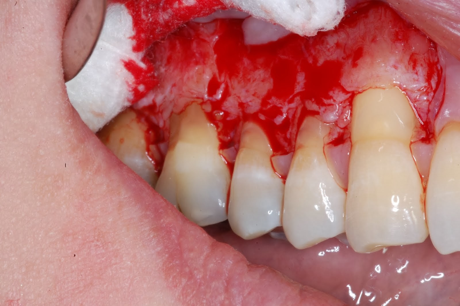
- сильное кровотечение десен, даже ночью;
- выделение гноя;
- интенсивная боль;
- образование абсцессов.
Заболевание характеризуется чередованием обострений и ремиссий. Обострения могут быть вызваны переохлаждением, травмами, сопутствующими заболеваниями или стрессами.
При хроническом периодонтите воспаление протекает тяжелее и быстрее, так как ткани периодонта уже повреждены. Наблюдается постоянная зубная боль, усиливающаяся при прикосновении, отек и покраснение десны, а также повышение температуры тела, что ухудшает общее состояние.
Хронический периодонтит — воспалительное заболевание тканей, окружающих зубы, которое может привести к их утрате. Симптомы могут проявляться не сразу. Основные признаки включают боль, отек десен и образование карманов между зубами и деснами. Заболевание часто развивается на фоне плохой гигиены полости рта или кариеса. Хронический периодонтит требует комплексного лечения: профессиональной чистки, медикаментозной терапии и, в некоторых случаях, хирургического вмешательства. Профилактика важна: регулярные визиты к стоматологу и правильный уход за зубами помогают избежать серьезных последствий.
Формы хронического периодонтита
По характеру воспаления хронический периодонтит классифицируют на:
- фиброзный – волокна периодонта (аппарата зуба, соединяющего зуб с костью) со временем замещаются фиброзной соединительной тканью, эта форма крайне скудна на симптоматику, а болевые ощущения могут не возникать вовсе. При этом диагноз можно установить только с помощью рентгеновского снимка: на рентгенограмме здоровый периодонт будет виден как узкая равномерная полоска между корнем зуба и альвеолой кости, тогда как при фиброзном расширяется периодонтальная щель;
- гранулематозный – похож на гнойный мешочек, состоящий из плотной слизистой оболочки. Различают три разновидности: гранулема – размером до 0,5 см в диаметре, кистогранулема – размером от 0,5 до 1-го см в диаметре, киста – на верхушке корня диаметр образования превышает 1 см. В первую очередь гранулема становится кистогранулемой, рост происходит из-за постоянного увеличения гноя внутри оболочки, приводя к увеличению ее давления на костную ткань, которая рассасывается под воздействием этого давления. В итоге кистогранулема занимает новое местоположение;
- гранулирующий – самая активная из всех форм, характеризуется появлением верхушек корней в области грануляционной ткани, выглядит как красная рыхлая зернистая ткань. Из-за способности к быстрому росту она активно разрушает кость. Пациентов беспокоят деструктивные боли ноющего характера, которым свойственно периодически обостряться, а при надкусывании и постукивании по зубу ощущается умеренная болевая реакция. На десне может образоваться гнойный свищ.
В зависимости от локализации периодонтита существуют следующие виды:
- апикальный (верхушечный) – очаг инфекции находится между верхушкой зубного корня и стенкой зубной альвеолы;
- маргинальный (краевой) – воспаление начинается от края травмированной десны.
Фото
Диагностика
Диагноз ставят после клинического обследования, которое включает в себя: опрос пациента и скрупулезный визуальный осмотр ротовой полости, а также зондирование полости зуба и определение степени его подвижности.
Так как хроническое течение воспаления диагностировать трудно из-за вялого течения процесса, для выбора терапевтического направления очень важна дифференциальная диагностика, которая проводится непосредственно вместе с рентгенографией. Она поможет точно отличить воспаление периодонта от остеомиелита, пульпита, периостита.
► Вне обострения болезнь дифференцируют с глубоким кариесом и хроническим остеомиелитом или пульпитом. Тогда как в случае обострения обычно различают с острым пульпитом или остеомиелитом.
Для точного диагноза стоматологи настоятельно рекомендуют использование рентгенологического обследования:
- радиовизиографию;
- трансиллюминацию;
- электродиагностику.
Если в случае острого воспаления на рентгеновском снимке не будут заметны изменения в периодонте, то при хронической форме как раз форму хронического периодонтита определяют с помощью рентгенографии:
- в случае фиброзного периодонтита на снимке проявляются изменения просвета периодонтальной щели, в верхушечной области может быть заметно утолщение корня.
- при гранулирующем периодонтите заметны намного более обширные грануляции в периодонте в виде нечетких округлых форм, на снимке также видно уменьшенную плотность костных тканей и сильную деформацию щели периодонта.
- если у больного гранулематозный периодонтит, на снимке проявится, что разросшаяся гранулема разрушила костную альвеолы, перерастая в кистогранулему – в таком случае данному процессу необходимо немедленное хирургическое вмешательство.
Лечение хронического периодонтита
Способы лечения направлены на устранение микрофлоры воспаления и решение основной проблемы. Основные методы:
- Консервативные.
- Оперативные.
- Альтернативные (домашние методы и т. д.).
Видео: терапия периодонтита.
https://youtube.com/watch?v=4TWDKDzymXE
Терапевтические методы
Заключаются в том, чтобы организовать полный доступ к каналам корней. Для этого кариозную полость зуба удаляют либо убирают старую пломбу, задействуют постоянную антисептическую обработку.
Удаляют внутреннюю твердую ткань зуба (дентин) с внутренних стенок корневого канала с помощью эндодонтических инструментов, промывая корневой канал растворами антисептиков (хлоргексидином, гипохлоридом натрия) множество раз.
Применение лазерных технологий считается эффективным методом лечения при периодонтите: в просвет корневого канала вводят световод, облучая все внутри, этот способ хорошо убивает микробов и дает хороший лечебный результат.
В конце всего лечения корневой канал пломбируют гуттаперчей – при удачном течении терапевтических методов исчезают симптомы любого вида хронического периодонтита, разрушенные ткани периодонта постепенно восстанавливаются. Если же терапевтическое лечение не оказывает положительного влияния, необходимо воспользоваться хирургическим методом.
К объективным причинам невозможности терапевтических способов относятся:
- деструкция костной ткани в области верхушки корня больших размеров;
- наличие околокорневых зубных кист;
- непроходимость корневых каналов.
Тогда как субъективная причина заключается в непроходимости канала из-за застрявшего в нем отломка эндодонтического инструмента.
Хирургия
Хирургическое вмешательство при периодонтите — радикальный метод, заключающийся в удалении пораженного зуба. Если возможно сохранить зуб, предпочтительнее резекция верхушки корня.
Сначала корневой канал заполняют нерассасывающимся быстросохнущим материалом. Затем выполняется разрез на пораженной десне для доступа к челюсти. Удаляется выступающая часть корня, а грануляционные ткани выскабливаются. Полость заполняется антибактериальной смесью, и рана зашивается.
В домашних условиях
В полной мере лечение народными средствами невозможно, благодаря профилактике на дому можно лишь немного уменьшить болевые ощущения и снизить уровень воспаления мягких тканей.
- полоскание рта – советуют растворить перманганат калия в стакане воды, но количество марганцовки должно быть минимальным, вода должна иметь розовый оттенок. Такое полоскание рекомендуют выполнять более 4 раз в день, можно чередовать с содовым раствором, развести половину чайной ложки соды в стакане теплой воды.
- коэнзим Q10 – вещество, встречающееся в организме и продуктах питания, важно в производстве клеточной энергии. Мощный антиоксидант, снижающий воспаление и устраняющий причину инфекции. Пищевые добавки и капсулы на масляной основе можно приобрести в аптеке, они отлично подходят для устранения проблемы в домашних условиях.
- экстракт семян грейпфрута – обладает антимикробными свойствами, рекомендуется добавлять каплю средства к пасте во время чистки зубов.
- клюква – предотвращает прикрепление бактерий к деснам и зубам, желательная доза – 100 мл сока или шесть клюквенных таблеток в день. Если организм пациента склонен к камнеобразованиям в почках, нужно обсудить дозировку приема клюквы с лечащим врачом.
Осложнения
К общим осложнениям относится интоксикация, вызванная накоплением продуктов жизнедеятельности микроорганизмов. Это может привести к повышению температуры, головным болям и риску сепсиса.
- Свищ – формируется при гранулирующей форме периодонтита из-за разрастания грануляций, что приводит к дефекту в окружающих зубных тканях. Свищевой ход появляется из-за дефекта на уровне зуба и может развиться в дефект лица с гнойными выделениями.
- Киста (радикулярная киста челюсти) – образуется на верхушке зуба и напоминает опухоль. Она развивается в гранулематозной стадии, медленно увеличивается и может долго оставаться бессимптомной, при этом дефект костной ткани прогрессирует, что может привести к осложнениям.
- Остеомиелит – инфекционное разрушение, приводящее к разрушению костной ткани челюсти.
Что делать при обострении?
При стадии обострения пациент ощущает болезненность при надкусывании, со временем, уровень боли становится все сильнее и любое прикосновение к зубу вызывает ужасный дискомфорт. Если не обратится к врачу, можно наблюдать угасание болезненных импульсов после того, как боль достигнет своего пика, зуб не реагирует на прикосновение, боль возникает только при сжимании челюстей.
Следом вздувается припухлость около зуба, появляется озноб, сопровождаемый высокой температурой. Поэтому при возникновении обострения следует немедленно обратиться к специалисту.
При обострении лечение предполагает собой снятие острой фазы заболевания и устранение болевых импульсов, выполняют качественное обезболивание, после чего делают отток гнойного экссудата.
Видео: лечение периодонтита у детей.
https://youtube.com/watch?v=zVNvcPgvcig
Профилактика
Профилактические меры:
- регулярные визиты к стоматологу;
- лечение инфекций;
- контролируемое применение медикаментов;
- тщательный уход за ротовой полостью;
- наблюдение за состоянием десен.
Дополнительные вопросы
► Код по МКБ-10
По международной классификации болезней хронический периодонтит носит код K04.5.
► Что делать при хроническом периодонтите у ребенка?
В ближайшее время обратитесь к стоматологу, который возьмет во внимание возраст ребенка и его готовность к лечению, проведет осмотр, проверив на наличие сопутствующих заболеваний и учтет возможные пожелания родителей.
Прогноз и последствия заболевания
Прогноз хронического периодонтита зависит от ряда факторов, включая степень запущенности заболевания, наличие сопутствующих заболеваний, а также соблюдение пациентом рекомендаций стоматолога. В большинстве случаев, при своевременной диагностике и адекватном лечении, прогноз может быть благоприятным. Однако, если заболевание не лечить, оно может привести к серьезным последствиям.
Одним из основных последствий хронического периодонтита является потеря зубов. Воспалительный процесс, затрагивающий ткани, окружающие зуб, может привести к разрушению костной ткани и, как следствие, к подвижности зубов. В запущенных случаях зубы могут полностью утратить свою устойчивость и потребовать удаления.
Кроме того, хронический периодонтит может стать причиной развития других стоматологических заболеваний. Например, инфекция, возникающая в результате воспаления периодонта, может распространиться на соседние зубы и вызвать их поражение. Также существует риск развития остеомиелита – воспалительного процесса в костной ткани, который может потребовать более сложного и длительного лечения.
Не менее важным аспектом является влияние хронического периодонтита на общее состояние здоровья пациента. Исследования показывают, что воспалительные процессы в полости рта могут быть связаны с различными системными заболеваниями, такими как диабет, сердечно-сосудистые заболевания и даже заболевания легких. Хронический воспалительный процесс может способствовать ухудшению общего состояния организма и снижению иммунной защиты.
Для предотвращения серьезных последствий хронического периодонтита необходимо регулярно посещать стоматолога для профилактических осмотров и профессиональной гигиены полости рта. Важно также соблюдать рекомендации по лечению и поддержанию здоровья зубов и десен, что включает в себя правильную гигиену полости рта, использование антисептических средств и, при необходимости, применение противовоспалительных препаратов.
В заключение, хронический периодонтит – это заболевание, требующее внимательного отношения и своевременного лечения. Прогноз может быть благоприятным при условии активного участия пациента в процессе лечения и соблюдения всех рекомендаций специалиста. Игнорирование симптомов и отсутствие лечения могут привести к серьезным последствиям, как для зубов, так и для общего состояния здоровья.
Вопрос-ответ
Какие симптомы могут указывать на хронический периодонтит?
Симптомы хронического периодонтита могут включать постоянную боль в области зуба, отек десен, наличие гноя, неприятный запах изо рта и подвижность зубов. Иногда заболевание может протекать бессимптомно, что делает его трудным для диагностики на ранних стадиях.
Каковы основные причины развития хронического периодонтита?
Основные причины хронического периодонтита включают инфекцию, вызванную бактериями, плохую гигиену полости рта, наличие кариеса, травмы зубов и системные заболевания, такие как диабет. Также факторы, такие как курение и генетическая предрасположенность, могут способствовать развитию этого заболевания.
Как лечится хронический периодонтит?
Лечение хронического периодонтита обычно включает профессиональную чистку зубов, удаление воспаленной ткани, применение антибиотиков и, в некоторых случаях, хирургическое вмешательство. Важно также соблюдать гигиену полости рта и регулярно посещать стоматолога для профилактики и контроля заболевания.
Советы
СОВЕТ №1
Регулярно посещайте стоматолога для профилактических осмотров. Хронический периодонтит может развиваться незаметно, поэтому важно выявлять его на ранних стадиях.
СОВЕТ №2
Обратите внимание на гигиену полости рта. Чистите зубы дважды в день и используйте зубную нить, чтобы предотвратить накопление бактерий, способствующих развитию периодонтита.
СОВЕТ №3
Следите за своим питанием. Употребление продуктов, богатых витаминами и минералами, особенно витамина C, может помочь укрепить десны и снизить риск воспалительных заболеваний.
СОВЕТ №4
Не игнорируйте симптомы, такие как кровоточивость десен или неприятный запах изо рта. Эти признаки могут указывать на наличие хронического периодонтита, и вам следует обратиться к стоматологу для диагностики и лечения.
