Акульи зубы, или полиодонтия, — уникальное явление в животном мире, вызывающее интерес у ученых и любителей природы. В отличие от большинства млекопитающих, акулы постоянно обновляют свои зубы на протяжении жизни, что помогает им эффективно охотиться и адаптироваться к условиям. В этой статье рассмотрим, что такое полиодонтия, как она работает и какие преимущества предоставляет акулам, а также обсудим уроки, которые можно извлечь из этого механизма природы.
Полиодонтия – что это такое?
Полиодонтия — это состояние, при котором у человека наблюдается избыточное количество зубов. Чаще встречается у мужчин, но также встречается и у женщин, особенно у детей. В редких случаях новорожденный может родиться с одним зубом, а также с другими зубными зачатками. Родителям рекомендуется рассмотреть возможность удаления «лишнего» зуба у малыша.
Избыточное количество зубов — не редкость. Обычно формируется один дополнительный зуб, но бывают случаи с двумя (около 25% случаев полиодонтии), тремя и более. Третьи моляры, или «зубы мудрости», не относятся к полиодонтии, так как появляются не у всех.
Полиодонтия — необычное стоматологическое состояние с аномально высоким количеством зубов. Врачи связывают это с генетическими факторами и нарушениями в формировании зубной системы. Наличие дополнительных зубов может привести к проблемам, таким как скученность, неправильный прикус и сложности с гигиеной полости рта.
Некоторые эксперты считают, что полиодонтия может быть связана с определенными синдромами, например, синдромом Гарднера. Поэтому важно, чтобы пациенты с этой аномалией регулярно проходили обследования у стоматолога для предотвращения осложнений. Врачи рекомендуют индивидуальный подход к каждому случаю, включая возможность удаления лишних зубов и коррекцию прикуса, что может улучшить качество жизни и сохранить здоровье зубов.
Полиодонтия — это уникальное явление, наблюдаемое у акул и некоторых других рыб, которое заключается в постоянной замене зубов на протяжении всей жизни. Эксперты отмечают, что акулы могут терять до тысячи зубов за год, что связано с их охотничьим образом жизни и необходимостью поддерживать острые и функциональные зубные ряды. Каждый новый зуб формируется в специальной ячейке, и по мере износа старые зубы выпадают. Это позволяет акулам эффективно охотиться на разнообразную добычу, включая рыбу и моллюсков. Исследования показывают, что такая адаптация является ключевым фактором выживания этих хищников в различных условиях среды обитания. Полиодонтия также вдохновляет ученых на изучение возможностей регенерации зубов у человека, что может привести к новым подходам в стоматологии.
https://youtube.com/watch?v=FYbgWX7iTcg
Причины
Почему может возникать аномалия сверхкомплектных зубов? Есть несколько причин:
- патологии развития зубных зачатков – подобные процессы развиваются у плода еще в утробе матери. Это происходит из-за сбоев в ее организме, которые могут быть связаны с неблагоприятными факторами (например, экологией). Как утверждают ученые, зубной зачаток разрастается на несколько частей, что в итоге и приводит к появлению аномалии у ребенка;
- сбои в генетическом коде – считается, что у первых людей было не четыре, а шесть резцов на каждой челюсти. Ученые связывают это с тем, что в первобытные времена люди употребляли не обработанную мясную пищу, для этого требовалось большое количество зубов, функцией которых является откусывание кусков пищи. Со временем и благодаря эволюции, человеческий организм перестал нуждаться в таком количестве резцов. Появление лишних зубов у некоторых людей в наше время, как считают специалисты, связано с остатком элементов генетического кода древних людей, но это всего лишь гипотеза.
Тем не менее, точного ответа причины появления болезни нет. Приведенные выше причины просто наиболее вероятные из предложенных наукой. Таким образом, этиология данной болезни остается довольно загадочной.
| Признак | Полиодонтия (избыточное количество зубов) | Нормальное количество зубов |
|---|---|---|
| Количество зубов | Больше, чем обычно для данного вида/возраста | Обычно встречающееся количество зубов для данного вида/возраста |
| Расположение дополнительных зубов | Может быть в зубном ряду, за ним или в других областях челюсти | Только в зубном ряду |
| Размер и форма дополнительных зубов | Разнообразный, может быть от маленьких рудиментарных до полностью сформированных | Обычно однородный размер и форма в пределах одного типа зубов |
| Функциональность | Может быть функциональной или нет, зависит от размера и положения | Функциональны для пережевывания пищи |
| Связь с акульими зубами | Аналогия: постоянная смена зубов у акул, постоянное образование новых зубов в случае полиодонтия (хотя механизм другой) | Нет прямой аналогии |
| Лечение | Хирургическое удаление дополнительных зубов, ортодонтическое лечение | Профилактическая стоматология |
| Возможные осложнения | Переполненность зубного ряда, неправильный прикус, проблемы с прорезыванием зубов, кисты | Кариес, гингивит, пародонтит |
Интересные факты
Вот несколько интересных фактов о акульих зубах и полиодонтии:
-
Полиодонтия: Акулы являются полиодонтами, что означает, что они имеют множество зубов, которые постоянно заменяются на протяжении всей жизни. В отличие от человека, у акул зубы не прикреплены к челюсти, а находятся в специальных карманах. Это позволяет им терять и заменять зубы без особых проблем.
-
Количество зубов: В течение своей жизни акула может потерять и заменить до 30 000 зубов. Некоторые виды акул могут иметь до 300 зубов одновременно, расположенных в несколько рядов. Это обеспечивает им эффективное захватывание и удержание добычи.
-
Разнообразие форм и функций: Зубы акул варьируются по форме и размеру в зависимости от их рациона. Например, у акул, питающихся рыбой, зубы острые и заостренные, в то время как у тех, кто ест моллюсков, зубы более плоские и широкие, что помогает им раскалывать раковины.
Эти факты подчеркивают уникальные адаптации акул, которые помогают им выживать в различных условиях океанической среды.
https://youtube.com/watch?v=0RN2tpHADh4
Симптомы
Заболевание проявляется четкими симптомами, которые делятся на детские и взрослые. У взрослых полиодонтия имеет следующие признаки:
- «лишние» зубы на небе и деснах с аномальной формой и структурой;
- нарушения произношения и прикуса;
- неправильное расположение обычных зубов: наклон или близость друг к другу из-за сверхкомплектных зубов;
- трудности с пережевыванием пищи, что может вызвать расстройства пищеварения;
- частые воспаления слизистых оболочек рта из-за повреждений от сверхкомплектных зубов.
У детей сверхкомплектные молочные зубы могут появляться в первые месяцы жизни или сразу после рождения. В этом случае наблюдаются следующие симптомы:
- трудности с кормлением – ребенку сложно сосать грудь, что создает проблемы для матери из-за укусов;
- расстройства пищеварения из-за нарушений в приеме пищи;
- проблемы со слюноотделением и отек слизистой носа;
- повышение температуры и отечность в области прорезывания зуба.
Несмотря на проблемы с речью и другие осложнения, для ребенка особенно болезненными могут стать насмешки сверстников, что может привести к психологическим травмам. Дети начинают реже улыбаться, чтобы не демонстрировать аномалию, особенно в общении с малознакомыми людьми или ровесниками. Со временем это может перерасти в замкнутость и чувство неполноценности.
Акульи зубы, или полиодонтия, представляют собой уникальную особенность, вызывающую интерес у ученых и любителей природы. Акулы постоянно заменяют свои зубы на протяжении жизни. Каждый раз, когда зуб теряется или повреждается, на его месте вырастает новый. Это позволяет им поддерживать острые инструменты для охоты. Люди удивляются, узнав, что акулы могут иметь до 30 000 зубов за жизнь, что делает их успешными хищниками в океане. Исследования акульих зубов помогают ученым лучше понять эволюцию и адаптацию этих древних существ. В последние годы акульи зубы стали популярными в ювелирных изделиях и сувенирах, подчеркивая их уникальность и красоту.
Виды
Существует несколько видов аномалии сверхкомплектных зубов. Классификация базируется на расположении и типе «лишних» зубов. Так, специалисты выделяют: типичную и нетипичную полиодонтию, настоящую и ложную.
- Типичная форма характеризуется расположением сверхкомплектных зубов внутри зубного ряда. Иногда их очень сложно отличить от обычных и часто они похожи на клыки. В этом случае зубы будут очень плотно прижаты друг к другу.
- Нетипичная полиодонтия – сверхкомплектные зубы вырастают вне приделов зубного ряда, они могут появляться на небе и в других местах. В уникальных случаях могут прорезаться вне ротовой полости.
- Настоящая полиодонтия характеризуется классическим прорезыванием и формой сверхкомплектных зубов. Места их появления не выходят за приделы зубного ряда.
- Для ложной формы заболевания характерно увеличение количества зубов у взрослого человека из-за неполного выпадения молочных зубов. Последние могут оставаться в зубном ряде на протяжении многих десятилетий после предполагаемого момента их выпадения. Случается, что наличие подобных сверхкомплектных зубов даже не мешает прикусу и не причиняет никаких других форм дискомфорта. Еще одним симптомом ложной формы являются сросшиеся между собой зубы.
- Ретинированные сверхкомплектные зубы – они не прорастают наружу, а остаются под покрытием тканей рта. Как правило, пациенты не чувствуют никакого дискомфорта, а обнаруживают их только во время тщательного обследования или лечения других зубов.
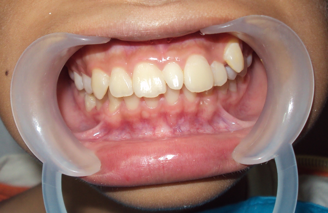
Фото
Рекомендуем ознакомиться с фотографиями ротовой полости пациентов с аномалиями для более глубокого понимания проблемы.
Диагностика
Диагностика не вызывает особых проблем практически при всех формах. Как правило, пациенты сами сообщают о данном заболевании, ведь не так и сложно заметить, что у вас есть лишний зуб, особенно если его рост вызывает серьезные проблемы с дикцией и прикусом.
Если же имеют место ретинированные сверхкомплектные зубы, то наиболее подходящим способом их диагностики является рентген. В этом случае стоматолог легко определить, где и сколько у вас имеется лишних зубов.
Если с помощью рентгена невозможно установить точное местоположение проблемного зуба, то врач может назначить томографию. Раннее диагностирование болезни не позволит ей развиваться и причинять серьезные неудобства.
Как лечится полиодонтия?
Существует два основных подхода к лечению: удаление проблемных зубов и ортодонтические процедуры. Удаление зубов — сложная задача даже для опытных стоматологов. В процессе могут удаляться не только сверхкомплектные зубы, но и те, на которые негативно повлиял рост соседних.
В детском прикусе необходимо удалять все лишние элементы зубочелюстной системы, иначе это может привести к изменениям прикуса и формы лица. Процесс удаления сверхкомплектных зубов включает следующие этапы:
- Рентгенография зубочелюстной системы для определения расположения проблемного зуба и особенностей его роста (в некоторых случаях может быть назначена компьютерная томография).
- Введение местного наркоза (в сложных ситуациях может быть рекомендован общий наркоз).
- Удаление зуба. Если зуб ретинирован, врач делает разрез десны, обычно со стороны языка, и удаляет коронку и корень.
- При сложных разрезах специалист может наложить несколько швов.
После операции пациенту необходимо пройти реабилитацию, которая включает прием назначенных препаратов и временный отказ от определенных видов пищи (слишком острая или горячая) и вредных привычек.
► Какова стоимость удаления сверхкомплектных зубов? Она зависит от сложности процедуры и ряда факторов (например, стоимость анестезии, обследования, консультации). Цены варьируются от 2 до 20 тысяч рублей.
Удаление лишних зубов не всегда необходимо, так как иногда сверхкомплектный зуб может быть более функциональным, чем здоровый соседний. В таких случаях поврежденный «правильный» зуб удаляется, а сверхкомплектный начинает выполнять его функции.
Если сверхкомплектный зуб плохо вписывается в зубной ряд, врач может предложить ортодонтические методы. Установка капп и брекетов поможет интегрировать сверхкомплектный зуб в зубной ряд и исправить другие нарушения прикуса.
Видео: мировой рекорд полиодонтии – 232 зуба.
https://youtube.com/watch?v=kS1cSc_T6Fw
Профилактика полиодонтии
Профилактика полиодонтии включает в себя ряд мер, направленных на поддержание здоровья зубов и десен, а также на предотвращение заболеваний, которые могут привести к потере зубов. Полиодонтия, как состояние, характеризующееся наличием большого количества зубов, может быть как врожденной, так и приобретенной. Важно понимать, что правильный уход за полостью рта и регулярные профилактические меры могут значительно снизить риск возникновения проблем с зубами.
Первым шагом в профилактике полиодонтии является регулярная гигиена полости рта. Это включает в себя чистку зубов два раза в день с использованием фторсодержащей зубной пасты и зубной нити для удаления налета и остатков пищи между зубами. Также рекомендуется использовать ополаскиватели для рта, которые помогают уничтожить бактерии и освежить дыхание.
Вторым важным аспектом является регулярное посещение стоматолога. Профилактические осмотры и профессиональная чистка зубов должны проводиться не реже двух раз в год. Стоматолог сможет выявить ранние признаки заболеваний десен или кариеса и предложить соответствующее лечение, что поможет избежать более серьезных проблем в будущем.
Кроме того, важно следить за своим рационом. Употребление пищи, богатой витаминами и минералами, особенно кальцием и витамином D, способствует укреплению зубов и десен. Избегание избыточного потребления сахара и кислых продуктов также поможет снизить риск кариеса и других стоматологических заболеваний.
Не менее важным является отказ от вредных привычек, таких как курение и чрезмерное употребление алкоголя, которые могут негативно сказаться на здоровье зубов и десен. Курение, в частности, связано с повышенным риском заболеваний десен и потери зубов.
Также стоит обратить внимание на использование защитных средств при занятиях спортом, особенно контактными видами. Специальные капы могут предотвратить травмы зубов и десен, что особенно актуально для людей, занимающихся активными видами спорта.
В заключение, профилактика полиодонтии требует комплексного подхода, включающего в себя регулярную гигиену, профессиональные осмотры, сбалансированное питание и отказ от вредных привычек. Соблюдение этих рекомендаций поможет сохранить здоровье зубов и предотвратить развитие заболеваний, связанных с полиодонтией.
Вопрос-ответ
Что такое полиодонтия и как она связана с акулами?
Полиодонтия — это состояние, при котором у животного имеется множество зубов, что характерно для акул. У акул зубы постоянно обновляются, и они могут иметь до нескольких тысяч зубов в течение своей жизни, что позволяет им эффективно охотиться и адаптироваться к различным условиям.
Как акулы обновляют свои зубы?
Акулы имеют уникальную систему замены зубов: новые зубы растут в специальных карманах за старыми. Когда старый зуб выпадает, новый сразу занимает его место. Этот процесс может происходить на протяжении всей жизни акулы, что обеспечивает их постоянную готовность к охоте.
Как полиодонтия влияет на питание акул?
Полиодонтия позволяет акулам эффективно захватывать и разжевывать свою добычу. Множество острых зубов обеспечивает лучшее удержание жертвы и помогает в процессе питания, что делает акул одними из самых успешных хищников в океане.
Советы
СОВЕТ №1
Изучите анатомию акул и их зубов. Понимание структуры и функции зубов акул поможет вам лучше понять, как полиодонтия влияет на их охотничьи навыки и выживание в дикой природе.
СОВЕТ №2
Обратите внимание на разнообразие видов акул. Разные виды имеют различные типы зубов, адаптированных к их диете. Это знание поможет вам оценить, как полиодонтия способствует эволюции и адаптации акул к их среде обитания.
СОВЕТ №3
Посетите аквариумы или морские центры, где можно увидеть акул вживую. Наблюдение за акульими зубами и поведением этих животных в естественной среде поможет вам лучше понять концепцию полиодонтии и её значение в экосистеме.
СОВЕТ №4
Следите за новыми исследованиями в области морской биологии. Научные открытия о полиодонтии и зубах акул могут изменить ваше представление о этих удивительных существах и их роли в океанах.

